JavaScript is disabled in your browser. Please enable JavaScript to view this website.
AB322902

Anti-CXCL11 antibody [EPR27375-62]

Be the first to review this product! Submit a review

|

(0 Publication)

Rabbit Recombinant Monoclonal CXCL11 antibody. Suitable for IHC-P and reacts with Transfected cell line - Human, Human samples.

View Alternative Names

ITAC, SCYB11, SCYB9B, CXCL11, C-X-C motif chemokine 11, Beta-R1, H174, Interferon gamma-inducible protein 9, Interferon-inducible T-cell alpha chemoattractant, Small-inducible cytokine B11, IP-9, I-TAC

3 Images
Immunohistochemistry (Formalin/PFA-fixed paraffin-embedded sections) - Anti-CXCL11 antibody [EPR27375-62] (AB322902)
  • IHC-P

Supplier Data

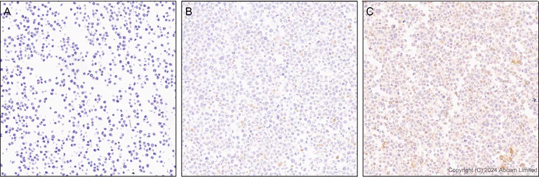
Immunohistochemistry (Formalin/PFA-fixed paraffin-embedded sections) - Anti-CXCL11 antibody [EPR27375-62] (AB322902)

Immunohistochemical analysis of paraffin-embedded Panel A untreated THP-1 cells, Panel B THP-1 cells treated with a combination of IFN-γ (200ng/ml, 24h) and LPS (50ng/ml, 24h). Panel C THP-1 cells treated with a combination of IFN-γ (200ng/ml 16h+8h), LPS (50ng/ml 16h+8h) add BFA (300ng/ml 8h). tissue labeling CXCL11 with ab322902 at 1/20 (25.85 ug/ml) dilution, followed by a ready to use Goat Anti-Rabbit IgG H&L (HRP).

Positive staining on (C) THP-1 cells treated with a combination of IFN-γ, LPS add BFA; weak staining on (B) THP-1 cells treated with a combination of IFN-γ and LPS; no staining on (A) untreated THP-1 cells.
The section was incubated with ab322902 at 4°C overnight.

Counterstained with Hematoxylin.

Secondary antibody only control : Secondary antibody is a ready to use Goat Anti-Rabbit IgG H&L (HRP).

Heat mediated antigen retrieval was performed using ab93684 (Tris/EDTA buffer, pH 9.0)

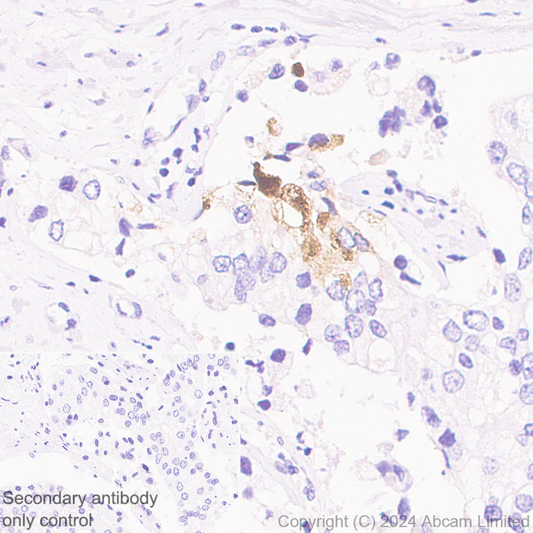
Immunohistochemistry (Formalin/PFA-fixed paraffin-embedded sections) - Anti-CXCL11 antibody [EPR27375-62] (AB322902)
  • IHC-P

Supplier Data

Immunohistochemistry (Formalin/PFA-fixed paraffin-embedded sections) - Anti-CXCL11 antibody [EPR27375-62] (AB322902)

Immunohistochemical analysis of paraffin-embedded Human prostate cancer tissue labeling CXCL11 with ab322902 at 1/100 (5.17 ug/ml) dilution, followed by a ready to use LeicaDS9800 (Bond™ Polymer Refine Detection).

Positive staining on human prostate cancer.
The section was incubated with ab322902 for 30 mins at room temperature.
The immunostaining was performed on a Leica Biosystems BOND® RX instrument

Counterstained with Hematoxylin.

Secondary antibody only control : Secondary antibody is a ready to use LeicaDS9800 (Bond™ Polymer Refine Detection).

Heat mediated antigen retrieval was performed with Tris-EDTA buffer (pH 9.0, Epitope Retrieval Solution2) for 20 mins

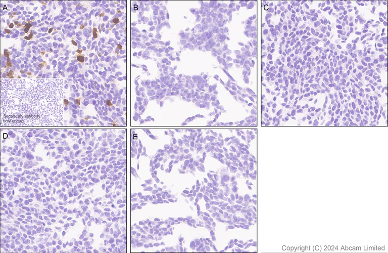
Immunohistochemistry (Formalin/PFA-fixed paraffin-embedded sections) - Anti-CXCL11 antibody [EPR27375-62] (AB322902)
  • IHC-P

Supplier Data

Immunohistochemistry (Formalin/PFA-fixed paraffin-embedded sections) - Anti-CXCL11 antibody [EPR27375-62] (AB322902)

Immunohistochemical analysis of paraffin-embedded Panel A HEK-293T cells transfected with a CXCL11 expression vector containing a his tag. Panel B HEK-293T cells transfected with a CXCL9 expression vector containing a his tag. Panel C HEK-293T cells transfected with a CXCL10 expression vector containing a his tag. Panel D HEK-293T cells transfected with a CXCL2 expression vector containing a his tag. Panel E HEK-293T cells transfected with empty vector containing a his tag. tissue labeling CXCL11 with ab322902 at 1/2000 (0.259 ug/ml) dilution, followed by a ready to use LeicaDS9800 (Bond™ Polymer Refine Detection).

Positive staining on (A) HEK-293T transfected with a CXCL11 expression vector, no staining on (B) HEK-293T transfected with a CXCL9 expression vector, (C) HEK-293T transfected with a CXCL10 expression vector, (D) HEK-293T transfected with a CXCL2 expression vector, and (E) HEK-293T transfected with empty vector.
The section was incubated with ab322902 for 30 mins at room temperature.
The immunostaining was performed on a Leica Biosystems BOND® RX instrument

Counterstained with Hematoxylin.

Secondary antibody only control : Secondary antibody is a ready to use LeicaDS9800 (Bond™ Polymer Refine Detection).

Heat mediated antigen retrieval was performed with Tris-EDTA buffer (pH 9.0, Epitope Retrieval Solution2) for 20 mins

Key facts

Host species

Rabbit

Clonality

Monoclonal

Clone number

EPR27375-62

Isotype

IgG

Carrier free

No

Reacts with

Human

Applications

IHC-P

applications

Immunogen

The exact immunogen used to generate this antibody is proprietary information.

Specificity

The IHC-P application was recommended based on cell pellets. For tissues, the positive staining was only observed in one case of human prostate cancer.

Reactivity data

{ "title": "Reactivity Data", "filters": { "stats": ["", "Species", "Dilution Info", "Notes"], "tabs": { "all-applications": {"fullname" : "All Applications", "shortname": "All Applications"}, "IHCP" : {"fullname" : "Immunohistochemistry (Formalin/PFA-fixed paraffin-embedded sections)", "shortname":"IHC-P"} }, "product-promise": { "all": "all", "testedAndGuaranteed": "tested", "guaranteed": "expected", "predicted": "predicted", "notRecommended": "not-recommended" } }, "values": { "Human": { "IHCP-species-checked": "testedAndGuaranteed", "IHCP-species-dilution-info": "1/20 - 1/100", "IHCP-species-notes": "<p></p> Perform heat-mediated antigen retrieval with Tris/EDTA buffer pH 9.0 before commencing with IHC staining protocol." }, "Mouse": { "IHCP-species-checked": "notRecommended", "IHCP-species-dilution-info": "", "IHCP-species-notes": "<p></p>" }, "Transfected cell line - Human": { "IHCP-species-checked": "testedAndGuaranteed", "IHCP-species-dilution-info": "1/2000", "IHCP-species-notes": "<p></p> Perform heat-mediated antigen retrieval with Tris/EDTA buffer pH 9.0 before commencing with IHC staining protocol." } } }

You may be interested in:

AB289695

Human CXCL11 ELISA Kit

0

0 Reviews

View product

We recommend this product because it’s often used in the same experiment or related research.

We advise that you always check the datasheet to ensure it fits your experiments, or contact ourtechnical teamfor help.

Product details

Patented technology
Our RabMAb® technology is a patented hybridoma-based technology for making rabbit monoclonal antibodies. For details on our patents, please refer to RabMAb® patents.

What are the advantages of a recombinant monoclonal antibody?
This product is a recombinant monoclonal antibody, which offers several advantages including:

  • - High batch-to-batch consistency and reproducibility
  • - Improved sensitivity and specificity
  • - Long-term security of supply
  • - Animal-free batch production

For more information, read more on recombinant antibodies.

Properties and storage information

Form
Liquid
Purification technique
Affinity purification Protein A
Storage buffer
pH: 7.2 - 7.4 Preservative: 0.01% Sodium azide Constituents: PBS, 40% Glycerol (glycerin, glycerine), 0.05% BSA
Shipped at conditions
Blue Ice
Appropriate short-term storage duration
1-2 weeks
Appropriate short-term storage conditions
+4°C
Appropriate long-term storage conditions
-20°C
Aliquoting information
Upon delivery aliquot
Storage information
Avoid freeze / thaw cycle

Product protocols

For this product, it's our understanding that no specific protocols are required. You can visit:

Target data

Chemotactic for interleukin-activated T-cells but not unstimulated T-cells, neutrophils or monocytes. Induces calcium release in activated T-cells. Binds to CXCR3. May play an important role in CNS diseases which involve T-cell recruitment. May play a role in skin immune responses.
See full target information CXCL11

Product promise

We are committed to supporting your work with high-quality reagents, and we're here for you every step of the way. In the unlikely event that one of our products does not perform as expected, you're protected by our Product Promise.
For full details, please see our Terms & Conditions

Please note: All products are 'FOR RESEARCH USE ONLY. NOT FOR USE IN DIAGNOSTIC OR THERAPEUTIC PROCEDURES'.

For licensing inquiries, please contact partnerships@abcam.com