JavaScript is disabled in your browser. Please enable JavaScript to view this website.
AB251265

Anti-CXCL13 antibody [EPR19259-147] - BSA and Azide free

Be the first to review this product! Submit a review

|

(1 Publication)

Rabbit Recombinant Monoclonal BCA1 antibody. Carrier free. Suitable for IHC-P and reacts with Mouse samples. Cited in 1 publication.

View Alternative Names

Blc, Scyb13, Cxcl13, C-X-C motif chemokine 13, B lymphocyte chemoattractant, CXC chemokine BLC, Small-inducible cytokine B13

2 Images
Immunohistochemistry (Formalin/PFA-fixed paraffin-embedded sections) - Anti-CXCL13 antibody [EPR19259-147] - BSA and Azide free (AB251265)
  • IHC-P

Unknown

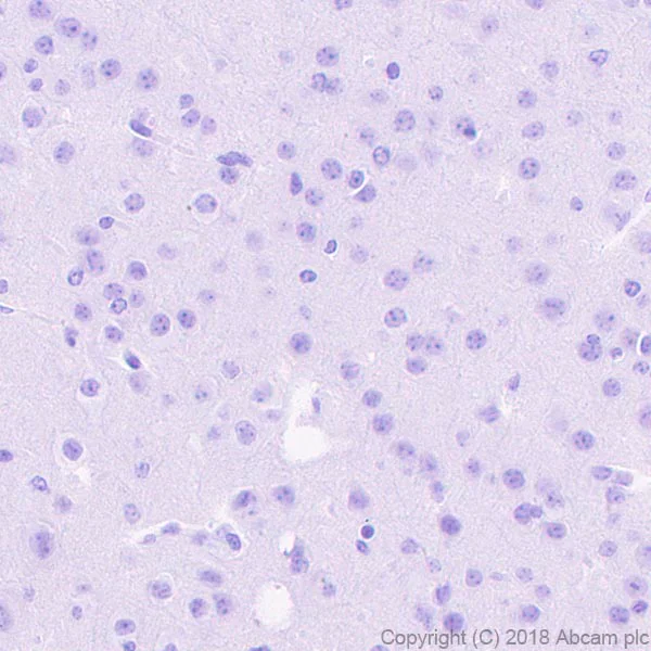
Immunohistochemistry (Formalin/PFA-fixed paraffin-embedded sections) - Anti-CXCL13 antibody [EPR19259-147] - BSA and Azide free (AB251265)

This data was developed using ab199043, the same antibody clone in a different buffer formulation. Negative Control : Immunohistochemical analysis of paraffin-embedded mouse cerebral cortex tissue labeling CXCL13 with ab199043 at 1/500 dilution, followed by Goat Anti-Rabbit IgG H&L (HRP) Ready to use. No staining on mouse cerebral cortex (PMID : 17563386). Counterstained with hematoxylin. Secondary antibody only control : Used PBS instead of primary antibody, secondary antibody is Goat Anti-Rabbit IgG H&L (HRP) (ab97051) Ready to use. Perform heat mediated antigen retrieval with Tris/EDTA buffer pH 9.0 before commencing with IHC staining protocol.

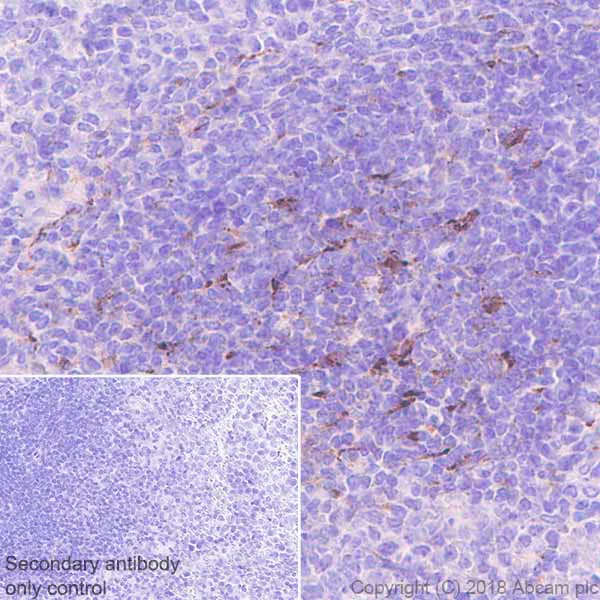
Immunohistochemistry (Formalin/PFA-fixed paraffin-embedded sections) - Anti-CXCL13 antibody [EPR19259-147] - BSA and Azide free (AB251265)
  • IHC-P

Unknown

Immunohistochemistry (Formalin/PFA-fixed paraffin-embedded sections) - Anti-CXCL13 antibody [EPR19259-147] - BSA and Azide free (AB251265)

This data was developed using ab199043, the same antibody clone in a different buffer formulation. Immunohistochemical analysis of paraffin-embedded mouse spleen tissue labeling CXCL13 with ab199043 at 1/500 dilution, followed by Goat Anti-Rabbit IgG H&L (HRP) Ready to use. Sporadic staining on mouse spleen (PMID : 17563386). Counterstained with hematoxylin. Secondary antibody only control : Used PBS instead of primary antibody, secondary antibody is Goat Anti-Rabbit IgG H&L (HRP) (ab97051) Ready to use. Perform heat mediated antigen retrieval with Tris/EDTA buffer pH 9.0 before commencing with IHC staining protocol.

Key facts

Host species

Rabbit

Clonality

Monoclonal

Clone number

EPR19259-147

Isotype

IgG

Carrier free

Yes

Reacts with

Mouse

Applications

IHC-P

applications

Immunogen

The exact immunogen used to generate this antibody is proprietary information.

Reactivity data

{ "title": "Reactivity Data", "filters": { "stats": ["", "Species", "Dilution Info", "Notes"], "tabs": { "all-applications": {"fullname" : "All Applications", "shortname": "All Applications"}, "FlowCyt" : {"fullname" : "Flow Cytometry", "shortname":"Flow Cyt"}, "WB" : {"fullname" : "Western blot", "shortname":"WB"}, "IHCFr" : {"fullname" : "Immunohistochemistry (Frozen sections)", "shortname":"IHC-Fr"}, "IHCP" : {"fullname" : "Immunohistochemistry (Formalin/PFA-fixed paraffin-embedded sections)", "shortname":"IHC-P"} }, "product-promise": { "all": "all", "testedAndGuaranteed": "tested", "guaranteed": "expected", "predicted": "predicted", "notRecommended": "not-recommended" } }, "values": { "Mouse": { "FlowCyt-species-checked": "notRecommended", "FlowCyt-species-dilution-info": "", "FlowCyt-species-notes": "<p></p>", "WB-species-checked": "notRecommended", "WB-species-dilution-info": "", "WB-species-notes": "<p></p>", "IHCFr-species-checked": "notRecommended", "IHCFr-species-dilution-info": "", "IHCFr-species-notes": "<p></p>", "IHCP-species-checked": "testedAndGuaranteed", "IHCP-species-dilution-info": "", "IHCP-species-notes": "<p></p>" } } }

Product details

ab251265 is the carrier-free version of ab199043.

Patented technology
Our RabMAb® technology is a patented hybridoma-based technology for making rabbit monoclonal antibodies. For details on our patents, please refer to RabMAb® patents.

What are the advantages of a recombinant monoclonal antibody?
This product is a recombinant monoclonal antibody, which offers several advantages including:

  • - High batch-to-batch consistency and reproducibility
  • - Improved sensitivity and specificity
  • - Long-term security of supply
  • - Animal-free batch production

For more information, read more on recombinant antibodies.

Conjugation ready
Our carrier-free antibodies are typically supplied in a PBS-only formulation, purified and free of BSA, sodium azide and glycerol. This conjugation-ready format is designed for use with fluorochromes, metal isotopes, oligonucleotides, and enzymes, which makes them ideal for antibody labelling, functional and cell-based assays, flow-based assays (e.g. mass cytometry) and Multiplex Imaging applications.

Use our conjugation kits for antibody conjugates that are ready-to-use in as little as 20 minutes with 1 minute hands-on-time and 100% antibody recovery: available for fluorescent dyes, HRP, biotin and gold.

Compatibility
This product is compatible with the Maxpar® Antibody Labeling Kit from Fluidigm, without the need for antibody preparation. Maxpar® is a trademark of Fluidigm Canada Inc.

Properties and storage information

Form
Liquid
Purification technique
Affinity purification Protein A
Storage buffer
pH: 7.2 - 7.4 Constituents: PBS
Shipped at conditions
Blue Ice
Appropriate short-term storage conditions
+4°C
Appropriate long-term storage conditions
+4°C
Storage information
Do Not Freeze

Supplementary information

This supplementary information is collated from multiple sources and compiled automatically.

CXCL13 also known as B cell-attracting chemokine 1 (BCA-1) is a chemokine with a molecular weight of approximately 11 kDa. This protein plays an important mechanical role in the immune system by guiding the movement of B cells via chemotaxis. CXCL13 expression occurs mainly in secondary lymphoid tissues such as the spleen lymph nodes and mucosa-associated lymphoid tissue. Its expression is also noted in certain non-lymphoid tissues under inflammatory conditions.
Biological function summary

In the context of immune response and lymphoid tissue organization CXCL13 attracts B cells by interacting with the chemokine receptor CXCR5. These interactions support the formation of B-cell follicles essential for efficient immune responses. CXCL13 is not known to be part of a larger protein complex but instead works through its specific receptor-ligand interactions. Its role in guiding cell migration is vital for the development of secondary lymphoid structures.

Pathways

CXCL13 is significantly involved in the B-cell receptor signaling pathway. The chemokine facilitates the homing of B cells to follicles an important step in the adaptive immune response. CXCL13 closely associates with CXCR5 its specific receptor playing a part in establishing the spatial organization of lymphoid tissues. Additionally the chemokine influences the germinal center reaction an integral part of the immune pathway for antibody maturation.

CXCL13 levels have been linked to autoimmune diseases like rheumatoid arthritis and certain types of lymphomas. In rheumatoid arthritis increased CXCL13 expression correlates with disease severity related to its role in recruiting B cells that contribute to chronic inflammation. In lymphomas particularly those involving B cells CXCL13 supports the growth and survival of malignant cells. Its association with disease states often involves changes in CXCR5 expression or function contributing to disrupted B-cell localization and abnormal immune responses.

Product protocols

For this product, it's our understanding that no specific protocols are required. You can visit:

Target data

Strongly chemotactic for B-lymphocytes, weakly for spleen monocytes and macrophages but no chemotactic activity for granulocytes. Binds to BLR1/CXCR5. May play a role in directing the migration of B-lymphocytes to follicles in secondary lymphoid organs.
See full target information Cxcl13

Publications (1)

Recent publications for all applications. Explore the full list and refine your search

Nutrients 16: PubMed38732558

2024

Differential Modulation by Eicosapentaenoic Acid (EPA) and Docosahexaenoic Acid (DHA) of Mesenteric Fat and Macrophages and T Cells in Adipose Tissue of Obese / Zucker Rats.

Applications

Unspecified application

Species

Unspecified reactive species

Lena Hong,Peter Zahradka,Carla G Taylor
View all publications

Product promise

We are committed to supporting your work with high-quality reagents, and we're here for you every step of the way. In the unlikely event that one of our products does not perform as expected, you're protected by our Product Promise.
For full details, please see our Terms & Conditions

Please note: All products are 'FOR RESEARCH USE ONLY. NOT FOR USE IN DIAGNOSTIC OR THERAPEUTIC PROCEDURES'.

For licensing inquiries, please contact partnerships@abcam.com