JavaScript is disabled in your browser. Please enable JavaScript to view this website.
AB197016

Anti-CXCL15 antibody [EPR14470]

Be the first to review this product! Submit a review

|

(6 Publications)

Rabbit Recombinant Monoclonal CXCL15 antibody. Suitable for IP, WB, IHC-P and reacts with Mouse samples. Cited in 6 publications.

View Alternative Names

Scyb15, Cxcl15, C-X-C motif chemokine 15, Lungkine, Small-inducible cytokine B15

4 Images
Immunohistochemistry (Formalin/PFA-fixed paraffin-embedded sections) - Anti-CXCL15 antibody [EPR14470] (AB197016)
  • IHC-P

Supplier Data

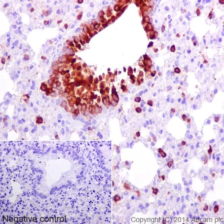
Immunohistochemistry (Formalin/PFA-fixed paraffin-embedded sections) - Anti-CXCL15 antibody [EPR14470] (AB197016)

Immunohistochemical analysis of paraffin-embedded mouse lung tissue labeling CXCL15 with ab197016 at 1/500 dilution followed by Goat Anti-Rabbit IgG H&L (HRP) (ab97051) secondary antibody at 1/500 dilution. Cytoplasm staining on mouse lung tissue is observed. Counter stained with Hematoxylin.

Negative control : Used PBS instead of primary antibody secondary antibody is Goat Anti-Rabbit IgG H&L (HRP) (ab97051) at 1/500 dilution.

Perform heat mediated antigen retrieval with Tris/EDTA buffer pH 9.0 before commencing with IHC staining protocol.

Immunohistochemistry (Formalin/PFA-fixed paraffin-embedded sections) - Anti-CXCL15 antibody [EPR14470] (AB197016)
  • IHC-P

Supplier Data

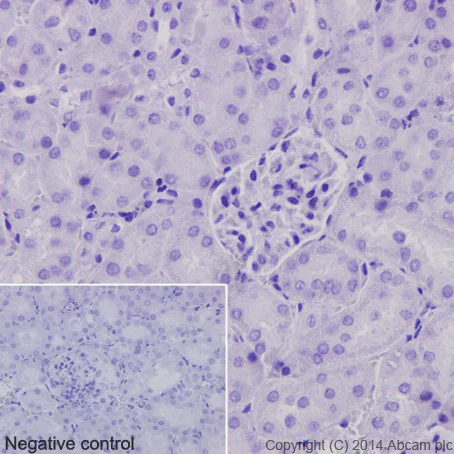
Immunohistochemistry (Formalin/PFA-fixed paraffin-embedded sections) - Anti-CXCL15 antibody [EPR14470] (AB197016)

Immunohistochemical analysis of paraffin-embedded mouse kidney tissue labeling CXCL15 with ab197016 at 1/500 dilution followed by Goat Anti-Rabbit IgG H&L (HRP) (ab97051) secondary antibody at 1/500 dilution. Negative on mouse kidney tissue. Counter stained with Hematoxylin.

Negative control : Used PBS instead of primary antibody secondary antibody is Goat Anti-Rabbit IgG H&L (HRP) (ab97051) at 1/500 dilution.

Perform heat mediated antigen retrieval with Tris/EDTA buffer pH 9.0 before commencing with IHC staining protocol.

Immunoprecipitation - Anti-CXCL15 antibody [EPR14470] (AB197016)
  • IP

Supplier Data

Immunoprecipitation - Anti-CXCL15 antibody [EPR14470] (AB197016)

CXCL15 was immunoprecipitated from Mouse lung lysates with ab197016 at 1/70 dilution. Western blot was performed from the immunoprecipitate using ab197016 at 1/1000 dilution. Anti-Rabbit IgG (HRP), specific to the non-reduced form of IgG, was used as secondary antibody at 1/1500 dilution.

Lane 1 : Mouse lung lysate 10 μg (Input). Lane 2 : ab197016 IP in Mouse lung lysate. Lane 3 : Rabbit monoclonal IgG (ab172730) instead of ab197016 in Mouse lung lysate.

Blocking and dilution buffer and concentration : 5% NFDM/TBST.

All lanes:

Immunoprecipitation - Anti-CXCL15 antibody [EPR14470] (ab197016)

Predicted band size: 19 kDa

false

Western blot - Anti-CXCL15 antibody [EPR14470] (AB197016)
  • WB

Supplier Data

Western blot - Anti-CXCL15 antibody [EPR14470] (AB197016)

Blocking/Dilution buffer : 5% NFDM/TBST.

All lanes:

Western blot - Anti-CXCL15 antibody [EPR14470] (ab197016) at 1/5000 dilution

Lane 1:

Mouse lung tissue lysate at 10 µg

Lane 2:

Mouse brain tissue lysate at 10 µg

Lane 3:

Mouse heart tissue lysate at 10 µg

Lane 4:

Mouse kidney tissue lysate at 10 µg

Lane 5:

Mouse spleen tissue lysate at 10 µg

Lane 6:

RAW 264.7 (Mouse macrophage cells transformed with Abelson murine leukemia virus) whole cell lysate at 10 µg

Lane 7:

NIH/3T3 (Mouse embyro fibroblast cells) whole cell lysate at 10 µg

Secondary

All lanes:

Goat Anti-Rabbit IgG, (H+L), Peroxidase conjugated at 1/1000 dilution

Predicted band size: 19 kDa

Observed band size: 19 kDa

false

  • Carrier free

    Anti-CXCL15 antibody [EPR14470] - BSA and Azide free

Key facts

Host species

Rabbit

Clonality

Monoclonal

Clone number

EPR14470

Isotype

IgG

Carrier free

No

Reacts with

Mouse

Applications

IHC-P, IP, WB

applications

Immunogen

The exact immunogen used to generate this antibody is proprietary information.

Reactivity data

{ "title": "Reactivity Data", "filters": { "stats": ["", "Species", "Dilution Info", "Notes"], "tabs": { "all-applications": {"fullname" : "All Applications", "shortname": "All Applications"}, "IP" : {"fullname" : "Immunoprecipitation", "shortname":"IP"}, "WB" : {"fullname" : "Western blot", "shortname":"WB"}, "IHCP" : {"fullname" : "Immunohistochemistry (Formalin/PFA-fixed paraffin-embedded sections)", "shortname":"IHC-P"} }, "product-promise": { "all": "all", "testedAndGuaranteed": "tested", "guaranteed": "expected", "predicted": "predicted", "notRecommended": "not-recommended" } }, "values": { "Mouse": { "IP-species-checked": "testedAndGuaranteed", "IP-species-dilution-info": "1/70", "IP-species-notes": "<p></p>", "WB-species-checked": "testedAndGuaranteed", "WB-species-dilution-info": "1/5000", "WB-species-notes": "<p></p>", "IHCP-species-checked": "testedAndGuaranteed", "IHCP-species-dilution-info": "1/250 - 1/500", "IHCP-species-notes": "<p></p>" } } }

Product details

Patented technology
Our RabMAb® technology is a patented hybridoma-based technology for making rabbit monoclonal antibodies. For details on our patents, please refer to RabMAb® patents.

What are the advantages of a recombinant monoclonal antibody?
This product is a recombinant monoclonal antibody, which offers several advantages including:

  • - High batch-to-batch consistency and reproducibility
  • - Improved sensitivity and specificity
  • - Long-term security of supply
  • - Animal-free batch production

For more information, read more on recombinant antibodies.

Properties and storage information

Form
Liquid
Purification technique
Affinity purification Protein A
Storage buffer
pH: 7.2 - 7.4 Preservative: 0.01% Sodium azide Constituents: PBS, 40% Glycerol (glycerin, glycerine), 0.05% BSA
Shipped at conditions
Blue Ice
Appropriate short-term storage duration
1-2 weeks
Appropriate short-term storage conditions
+4°C
Appropriate long-term storage conditions
-20°C
Aliquoting information
Upon delivery aliquot
Storage information
Avoid freeze / thaw cycle

Supplementary information

This supplementary information is collated from multiple sources and compiled automatically.

CXCL15 also known as lungkine is a small cytokine belonging to the CXC chemokine family. This protein exhibits a molecular mass of approximately 9 kDa. CXCL15 is expressed mainly in epithelial cells of the lung where it facilitates the recruitment of neutrophils. Unlike some other cytokines lungkine is produced constitutively and does not require induction by inflammatory stimuli. Its role as a chemokine indicates a specific involvement in respiratory immune responses.
Biological function summary

CXCL15 is involved in the recruitment and activation of neutrophils playing a pivotal role in the innate immune defense. It does not form a complex; instead it functions as a soluble signal guiding the migration of immune cells to sites of inflammation in the lungs. CXCL15 contributes to the body's defense mechanisms against infection. Its interaction with neutrophils is important for maintaining pulmonary health and responding to pathogenic challenges.

Pathways

The recruitment activity of CXCL15 is involved in chemokine signaling and immune response pathways. CXCL15 interacts with G protein-coupled receptors on neutrophils to drive chemotaxis the directed movement of cells toward areas of infection. This pathway involves cooperation with other cytokines such as CXCL1 and CXCL8 which also play roles in neutrophil trafficking and activation in inflammatory scenarios.

CXCL15 has a relationship with chronic obstructive pulmonary disease (COPD) and acute lung injury. Elevated levels of CXCL15 may exacerbate inflammatory conditions contributing to the progression and severity of these diseases. In COPD CXCL15 influences neutrophil accumulation in the airways often linked with other chemokines like IL-8. Understanding its role may offer insight into therapeutic strategies targeting excessive neutrophilic infiltration in lung-related disorders.

Product protocols

For this product, it's our understanding that no specific protocols are required. You can visit:

Target data

Chemotactic for neutrophils. Involved in lung-specific neutrophil trafficking during normal and inflammatory conditions.
See full target information Cxcl15

Publications (6)

Recent publications for all applications. Explore the full list and refine your search

EBioMedicine 108:105339 PubMed39303666

2024

Therapeutic single-cell landscape: methotrexate exacerbates interstitial lung disease by compromising the stemness of alveolar epithelial cells under systemic inflammation.

Applications

Unspecified application

Species

Unspecified reactive species

Sung Hae Chang,Seyoung Jung,Jeong Jun Chae,Jeong Yeon Kim,Seon Uk Kim,Ji Yong Choi,Hye-Jeong Han,Hyun Taek Kim,Hak-Jae Kim,Hyun Je Kim,Woong Yang Park,Jeffrey A Sparks,Eun Young Lee,Jeong Seok Lee

Lipids in health and disease 21:147 PubMed36581870

2022

Exosomal IL-8 derived from Lung Cancer and Colon Cancer cells induced adipocyte atrophy via NF-κB signaling pathway.

Applications

Unspecified application

Species

Unspecified reactive species

Hairong Xiong,Jiaxin Ye,Kairu Xie,Wenjun Hu,Ning Xu,Hongmei Yang

Reproductive sciences (Thousand Oaks, Calif.) 28:60-68 PubMed32651899

2020

The Pre-Implantation Embryo Induces Uterine Inflammatory Reaction in Mice.

Applications

Unspecified application

Species

Unspecified reactive species

Can Zhu,Wei Hu,Miao Zhao,Ming-Yu Huang,Hao-Zhuang Cheng,Jia-Peng He,Ji-Long Liu

Cell stem cell 26:64-80.e13 PubMed31883834

2019

Endometrial Axin2 Cells Drive Epithelial Homeostasis, Regeneration, and Cancer following Oncogenic Transformation.

Applications

Unspecified application

Species

Unspecified reactive species

Shafiq M Syed,Manish Kumar,Arnab Ghosh,Florence Tomasetig,Ayesha Ali,Renee M Whan,Dariusz Alterman,Pradeep S Tanwar

Endocrinology 159:1897-1909 PubMed29546371

2018

Generation of Mouse for Conditional Expression of Forkhead Box A2.

Applications

Unspecified application

Species

Unspecified reactive species

Peng Wang,San-Pin Wu,Kelsey E Brooks,Andrew M Kelleher,Jessica J Milano-Foster,Francesco J DeMayo,Thomas E Spencer

Molecular medicine reports 17:4611-4618 PubMed29328454

2018

Resveratrol ameliorates depressive disorder through the NETRIN1-mediated extracellular signal-regulated kinase/cAMP signal transduction pathway.

Applications

Unspecified application

Species

Unspecified reactive species

Feifei Wang,Jinhui Wang,Jinghong An,Guoming Yuan,Xiaolei Hao,Yi Zhang
View all publications

Product promise

We are committed to supporting your work with high-quality reagents, and we're here for you every step of the way. In the unlikely event that one of our products does not perform as expected, you're protected by our Product Promise.
For full details, please see our Terms & Conditions

Please note: All products are 'FOR RESEARCH USE ONLY. NOT FOR USE IN DIAGNOSTIC OR THERAPEUTIC PROCEDURES'.

For licensing inquiries, please contact partnerships@abcam.com