JavaScript is disabled in your browser. Please enable JavaScript to view this website.
AB307695

Anti-CXCL16 antibody [EPR25370-42] - BSA and Azide free

Be the first to review this product! Submit a review

|

(0 Publication)

Rabbit Recombinant Monoclonal CXCL16 antibody. Carrier free. Suitable for WB, IHC-P and reacts with Human samples.

View Alternative Names

SCYB16, SRPSOX, UNQ2759/PRO6714, CXCL16, C-X-C motif chemokine 16, Scavenger receptor for phosphatidylserine and oxidized low density lipoprotein, Small-inducible cytokine B16, Transmembrane chemokine CXCL16, SR-PSOX

8 Images
Immunohistochemistry - Anti-CXCL16 antibody [EPR25370-42] - BSA and Azide free (AB307695)
  • IHC

Supplier Data

Immunohistochemistry - Anti-CXCL16 antibody [EPR25370-42] - BSA and Azide free (AB307695)

This data was produced using ab307694, the same clone but in a different formulation. Immunohistochemical analysis of paraffin-embedded human skeletal muscle tissue labeling CXCL16 with ab307694 at 1/200 followed by ready to use Rabbit specific IHC polymer detection kit HRP/DAB (ab209101). Negative control : no staining on human skeletal muscle. The section was incubated with ab307694 for 30 mins at room temperature. The immunostaining was performed on a Leica Biosystems BOND® RX instrument. Counterstained with Hematoxylin. Heat mediated antigen retrieval with Tris-EDTA buffer (pH 9.0, epitope retrieval solution2) for 20 mins.

Immunohistochemistry - Anti-CXCL16 antibody [EPR25370-42] - BSA and Azide free (AB307695)
  • IHC

Supplier Data

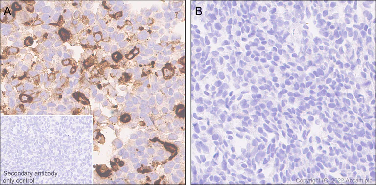
Immunohistochemistry - Anti-CXCL16 antibody [EPR25370-42] - BSA and Azide free (AB307695)

This data was produced using ab307694, the same clone but in a different formulation. Immunohistochemical analysis of paraffin-embedded cells labeling CXCL16 with ab307694 at 1/2000 followed by ready to use Rabbit specific IHC polymer detection kit HRP/DAB (ab209101). Positive staining in (A) HEK293T cells co-transfected with a CXCL16 expression vector containing a his tag and no staining in (B) HEK-293T cells transfected with empty vector containing a his tag. The section was incubated with ab307694 for 30 mins at room temperature. The immunostaining was performed on a Leica Biosystems BOND® RX instrument. Counterstained with Hematoxylin. Secondary antibody only control : Secondary antibody is a ready to use Rabbit specific IHC polymer detection kit HRP/DAB (ab209101). Heat mediated antigen retrieval with Tris-EDTA buffer (pH 9.0, epitope retrieval solution2) for 20 mins.

Immunohistochemistry - Anti-CXCL16 antibody [EPR25370-42] - BSA and Azide free (AB307695)
  • IHC

Supplier Data

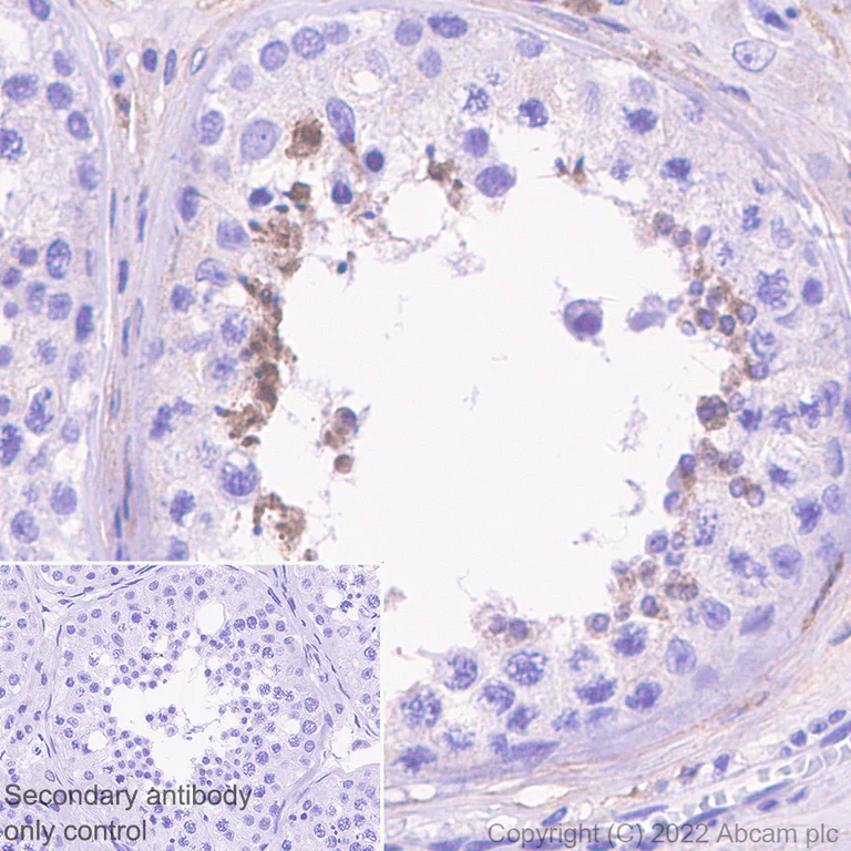
Immunohistochemistry - Anti-CXCL16 antibody [EPR25370-42] - BSA and Azide free (AB307695)

This data was produced using ab307694, the same clone but in a different formulation. Immunohistochemical analysis of paraffin-embedded human testis tissue labeling CXCL16 with ab307694 at 1/200 followed by ready to use Rabbit specific IHC polymer detection kit HRP/DAB (ab209101). Positive staining on human testis. The section was incubated with ab307694 for 30 mins at room temperature. The immunostaining was performed on a Leica Biosystems BOND® RX instrument. Counterstained with Hematoxylin. Secondary antibody only control : Secondary antibody is ready to use Rabbit specific IHC polymer detection kit HRP/DAB (ab209101). Heat mediated antigen retrieval with Tris-EDTA buffer (pH 9.0, epitope retrieval solution2) for 20 mins.

Immunohistochemistry - Anti-CXCL16 antibody [EPR25370-42] - BSA and Azide free (AB307695)
  • IHC

Supplier Data

Immunohistochemistry - Anti-CXCL16 antibody [EPR25370-42] - BSA and Azide free (AB307695)

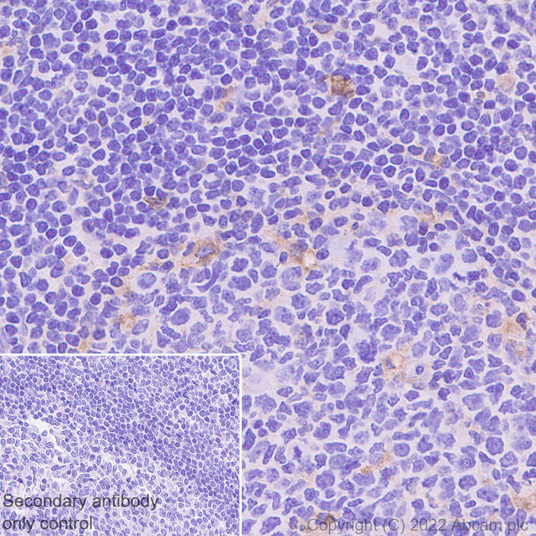
This data was produced using ab307694, the same clone but in a different formulation. Immunohistochemical analysis of paraffin-embedded human tonsil tissue labeling CXCL16 with ab307694 at 1/200 followed by ready to use Rabbit specific IHC polymer detection kit HRP/DAB (ab209101). Positive staining on human tonsil. The section was incubated with ab307694 for 30 mins at room temperature. The immunostaining was performed on a Leica Biosystems BOND® RX instrument. Counterstained with Hematoxylin. Secondary antibody only control : Secondary antibody is ready to use Rabbit specific IHC polymer detection kit HRP/DAB (ab209101). Heat mediated antigen retrieval with Tris-EDTA buffer (pH 9.0, epitope retrieval solution2) for 20 mins.

Immunohistochemistry - Anti-CXCL16 antibody [EPR25370-42] - BSA and Azide free (AB307695)
  • IHC

Supplier Data

Immunohistochemistry - Anti-CXCL16 antibody [EPR25370-42] - BSA and Azide free (AB307695)

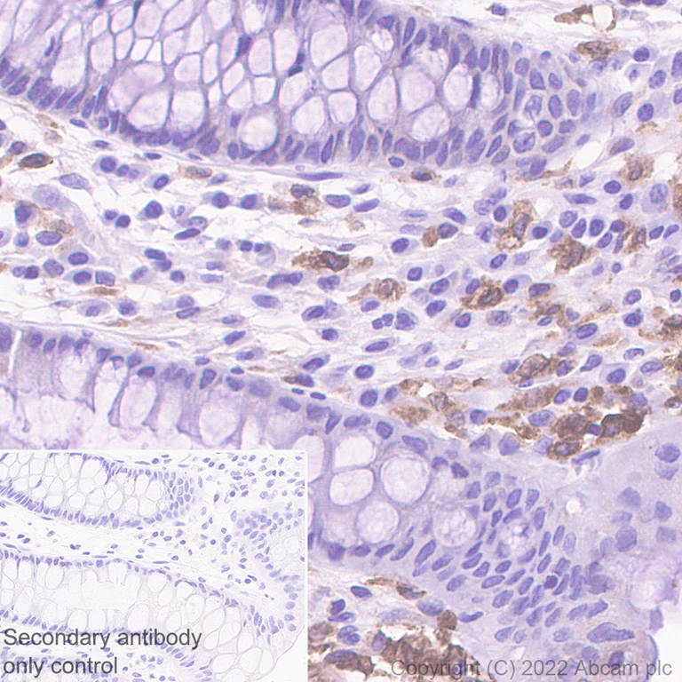
This data was produced using ab307694, the same clone but in a different formulation. Immunohistochemical analysis of paraffin-embedded human colon tissue labeling CXCL16 with ab307694 at 1/200 followed by ready to use Rabbit specific IHC polymer detection kit HRP/DAB (ab209101). Positive staining on immune cells of human colon. The section was incubated with ab307694 for 30 mins at room temperature. The immunostaining was performed on a Leica Biosystems BOND® RX instrument. Counterstained with Hematoxylin. Secondary antibody only control : Secondary antibody is ready to use Rabbit specific IHC polymer detection kit HRP/DAB (ab209101). Heat mediated antigen retrieval with Tris-EDTA buffer (pH 9.0, epitope retrieval solution2) for 20 mins.

Western blot - Anti-CXCL16 antibody [EPR25370-42] - BSA and Azide free (AB307695)
  • WB

Supplier Data

Western blot - Anti-CXCL16 antibody [EPR25370-42] - BSA and Azide free (AB307695)

This data was produced using ab307694, the same clone but in a different formulation.

Blocking and diluting buffer and concentration : 5% NFDM/TBST.

Negative control : skeletal muscle.

This blot was developed using a high sensitivity ECL substrate. The high-sensitivity ECL substrate used allows for the detection of proteins in the mid-femtogram range.

All lanes:

Western blot - Anti-CXCL16 antibody [EPR25370-42] (<a href='/en-us/products/primary-antibodies/cxcl16-antibody-epr25370-42-ab307694'>ab307694</a>) at 1/1000 dilution

Lane 1:

Human brain tissue lysate at 20 µg

Lane 2:

Human skeletal muscle tissue lysate at 20 µg

Secondary

All lanes:

Western blot - VeriBlot for IP Detection Reagent (HRP) (<a href='/en-us/products/reagents/veriblot-for-ip-detection-reagent-hrp-ab131366'>ab131366</a>) at 1/1000 dilution

Observed band size: 30 kDa

true

Exposure time: 180s

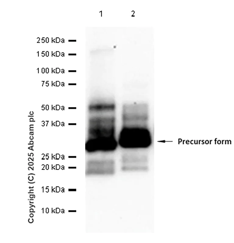
Western blot - Anti-CXCL16 antibody [EPR25370-42] - BSA and Azide free (AB307695)
  • WB

Lab

Western blot - Anti-CXCL16 antibody [EPR25370-42] - BSA and Azide free (AB307695)

This data was developed using ab307694, the same antibody clone in a different buffer formulation.

CXCL16 undergoes cleavage and glycosylation modifications. Consequently, different band sizes corresponding to its distinct forms can be detected : the 28 kDa precursor form, the 40-50 kDa mature form, and the 35 kDa soluble form. Please refer to publications such as PMID : 39436058, PMID : 17467666, and PMID : 33800554.

All lanes:

Western blot - Anti-CXCL16 antibody [EPR25370-42] (<a href='/en-us/products/primary-antibodies/cxcl16-antibody-epr25370-42-ab307694'>ab307694</a>) at 1/1000 dilution

Lane 1:

Human lymph node tissue lysate at 20 µg

Lane 2:

Human testis tissue lysate at 20 µg

Secondary

All lanes:

Goat Anti-Rabbit IgG (HRP) with minimal cross-reactivity with human IgG at 1/2000 dilution

Observed band size: 28 kDa

false

Exposure time: 180s

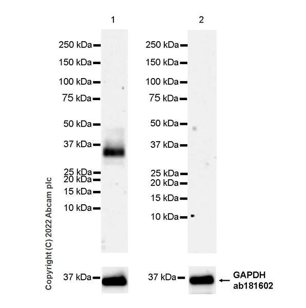
Western blot - Anti-CXCL16 antibody [EPR25370-42] - BSA and Azide free (AB307695)
  • WB

Lab

Western blot - Anti-CXCL16 antibody [EPR25370-42] - BSA and Azide free (AB307695)

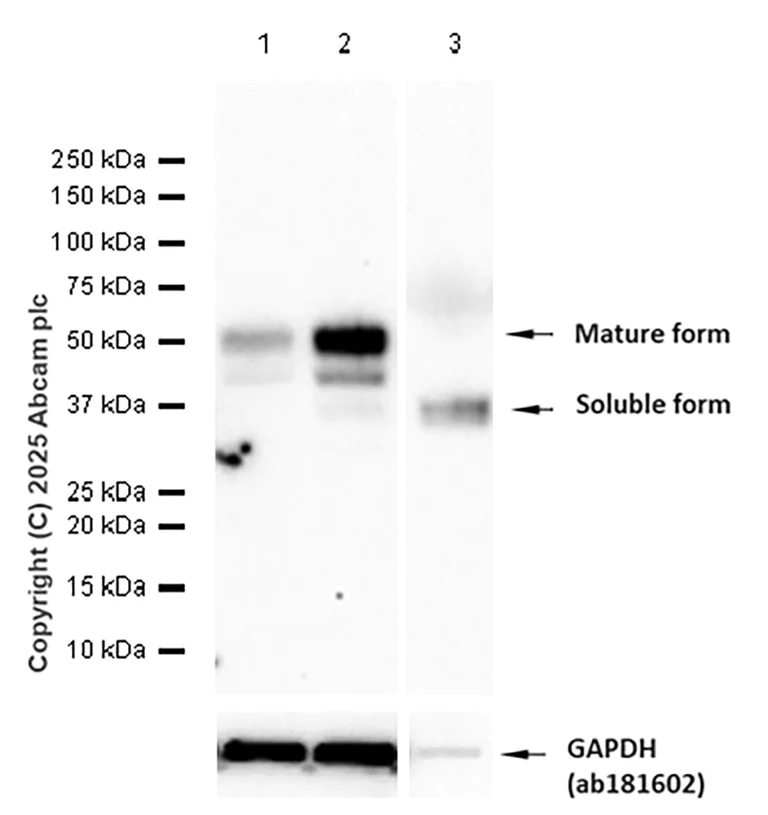
This data was developed using ab307694, the same antibody clone in a different buffer formulation.

In Western blot, Anti-GAPDH antibody [EPR16891] - Loading Control (ab181602) staining at 1/1000000 dilution.

CXCL16 undergoes cleavage and glycosylation modifications. Consequently, different band sizes corresponding to its distinct forms can be detected : the 28 kDa precursor form, the 40-50 kDa mature form, and the 35 kDa soluble form. Please refer to publications such as PMID : 39436058, PMID : 17467666, and PMID : 33800554.

All lanes:

Western blot - Anti-CXCL16 antibody [EPR25370-42] (<a href='/en-us/products/primary-antibodies/cxcl16-antibody-epr25370-42-ab307694'>ab307694</a>) at 1/1000 dilution

Lane 1:

Untreated HeLa (human cervix adenocarcinoma epithelial cell) whole cell lysate at 20 µg

Lane 2:

HeLa (human cervix adenocarcinoma epithelial cell) treated with 1000U/ml IFN gamma for 18 hours whole cell lysate at 20 µg

Lane 3:

HeLa (human cervix adenocarcinoma epithelial cell) cell culture supernatant lysate at 20 µg

Secondary

All lanes:

Goat Anti-Rabbit IgG (HRP) with minimal cross-reactivity with human IgG at 1/2000 dilution

Observed band size: 35 kDa,50 kDa

false

Exposure time: 180s

Key facts

Host species

Rabbit

Clonality

Monoclonal

Clone number

EPR25370-42

Isotype

IgG

Carrier free

Yes

Reacts with

Human

Applications

IHC-P, WB

applications

Immunogen

The exact immunogen used to generate this antibody is proprietary information.

Reactivity data

{ "title": "Reactivity Data", "filters": { "stats": ["", "Species", "Dilution Info", "Notes"], "tabs": { "all-applications": {"fullname" : "All Applications", "shortname": "All Applications"}, "WB" : {"fullname" : "Western blot", "shortname":"WB"}, "IHCP" : {"fullname" : "Immunohistochemistry (Formalin/PFA-fixed paraffin-embedded sections)", "shortname":"IHC-P"}, "ICCIF" : {"fullname" : "Immunocytochemistry/ Immunofluorescence", "shortname":"ICC/IF"}, "FlowCyt" : {"fullname" : "Flow Cytometry", "shortname":"Flow Cyt"}, "FlowCytIntra" : {"fullname" : "Flow Cytometry (Intracellular)", "shortname":"Flow Cyt (Intra)"}, "IP" : {"fullname" : "Immunoprecipitation", "shortname":"IP"} }, "product-promise": { "all": "all", "testedAndGuaranteed": "tested", "guaranteed": "expected", "predicted": "predicted", "notRecommended": "not-recommended" } }, "values": { "Human": { "WB-species-checked": "testedAndGuaranteed", "WB-species-dilution-info": "", "WB-species-notes": "<p>CXCL16 undergoes cleavage and glycosylation modifications. Consequently, different band sizes corresponding to its distinct forms can be detected: the 28 kDa precursor form, the 40-50 kDa mature form, and the 35 kDa soluble form. Please refer to publications such as PMID: 39436058, PMID: 17467666, and PMID: 33800554.</p>", "IHCP-species-checked": "testedAndGuaranteed", "IHCP-species-dilution-info": "", "IHCP-species-notes": "<p></p> Perform heat-mediated antigen retrieval with Tris/EDTA buffer pH 9.0 before commencing with IHC staining protocol.", "ICCIF-species-checked": "notRecommended", "ICCIF-species-dilution-info": "", "ICCIF-species-notes": "<p></p>", "FlowCyt-species-checked": "notRecommended", "FlowCyt-species-dilution-info": "", "FlowCyt-species-notes": "<p></p>", "FlowCytIntra-species-checked": "notRecommended", "FlowCytIntra-species-dilution-info": "", "FlowCytIntra-species-notes": "<p></p>", "IP-species-checked": "notRecommended", "IP-species-dilution-info": "", "IP-species-notes": "<p></p>" } } }

Product details

Patented technology
Our RabMAb® technology is a patented hybridoma-based technology for making rabbit monoclonal antibodies. For details on our patents, please refer to RabMAb® patents.

What are the advantages of a recombinant monoclonal antibody?
This product is a recombinant monoclonal antibody, which offers several advantages including:

  • - High batch-to-batch consistency and reproducibility
  • - Improved sensitivity and specificity
  • - Long-term security of supply
  • - Animal-free batch production

For more information, read more on recombinant antibodies.

Conjugation ready
Our carrier-free antibodies are typically supplied in a PBS-only formulation, purified and free of BSA, sodium azide and glycerol. This conjugation-ready format is designed for use with fluorochromes, metal isotopes, oligonucleotides, and enzymes, which makes them ideal for antibody labelling, functional and cell-based assays, flow-based assays (e.g. mass cytometry) and Multiplex Imaging applications.

Use our conjugation kits for antibody conjugates that are ready-to-use in as little as 20 minutes with 1 minute hands-on-time and 100% antibody recovery: available for fluorescent dyes, HRP, biotin and gold.

Compatibility
This product is compatible with the Maxpar® Antibody Labeling Kit from Fluidigm, without the need for antibody preparation. Maxpar® is a trademark of Fluidigm Canada Inc.

Properties and storage information

Form
Liquid
Purification technique
Affinity purification Protein A
Storage buffer
pH: 7.2 - 7.4 Constituents: PBS
Shipped at conditions
Blue Ice
Appropriate short-term storage conditions
+4°C
Appropriate long-term storage conditions
+4°C

Supplementary information

This supplementary information is collated from multiple sources and compiled automatically.

CXCL16 also known as SR-PSOX is a chemokine that functions primarily in cellular signaling. It weighs approximately 32 kDa and exists in both membrane-bound and soluble forms. Primarily found in the spleen liver lungs and kidneys CXCL16 gets highly expressed on the surface of antigen-presenting cells such as dendritic cells and macrophages. This expression enables CXCL16 to perform its role in cell migration and adhesion by binding to its receptor CXCR6.
Biological function summary

CXCL16 plays a critical role in the immune response by mediating leukocyte migration. It acts as a chemoattractant for T cells especially those expressing the CXCR6 receptor facilitating their movement to sites of inflammation or injury. CXCL16 is not known to be part of a larger protein complex but interacts independently to moderate immune functions. It also participates in scavenging oxidized low-density lipoproteins linking it to processes in atherogenesis.

Pathways

CXCL16 is an important player in the inflammatory and immune pathways. It is involved in the NF-kB signaling pathway which regulates inflammatory responses and the chemokine signaling pathway. Through these pathways CXCL16 closely interacts with other chemokines and cytokines such as CCR5 and IL-8 helping coordinate immune surveillance and inflammatory cascade.

CXCL16 is heavily implicated in atherosclerosis and rheumatoid arthritis. In atherosclerosis CXCL16 contributes to the accumulation of macrophages and foam cell formation in plaques. This connection associates it with inflammatory molecules like TNF-alpha. In rheumatoid arthritis CXCL16 expression is increased in synovial tissues contributing to tissue damage and inflammation potentially linked through interactions with other inflammatory mediators such as IL-6.

Product protocols

For this product, it's our understanding that no specific protocols are required. You can visit:

Target data

Acts as a scavenger receptor on macrophages, which specifically binds to OxLDL (oxidized low density lipoprotein), suggesting that it may be involved in pathophysiology such as atherogenesis (By similarity). Induces a strong chemotactic response. Induces calcium mobilization. Binds to CXCR6/Bonzo.
See full target information CXCL16

Product promise

We are committed to supporting your work with high-quality reagents, and we're here for you every step of the way. In the unlikely event that one of our products does not perform as expected, you're protected by our Product Promise.
For full details, please see our Terms & Conditions

Please note: All products are 'FOR RESEARCH USE ONLY. NOT FOR USE IN DIAGNOSTIC OR THERAPEUTIC PROCEDURES'.

For licensing inquiries, please contact partnerships@abcam.com