JavaScript is disabled in your browser. Please enable JavaScript to view this website.
AB308023

Anti-CXCL5 antibody [RP23040004]

Be the first to review this product! Submit a review

|

(0 Publication)

Rabbit Recombinant Multiclonal CXCL5 antibody. Suitable for WB, IHC-P and reacts with Human samples.

View Alternative Names

ENA78, SCYB5, CXCL5, C-X-C motif chemokine 5, ENA-78(1-78), Epithelial-derived neutrophil-activating protein 78, Neutrophil-activating peptide ENA-78, Small-inducible cytokine B5

5 Images
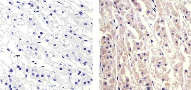
Immunohistochemistry paraffin embedded sections - Anti-CXCL5 antibody [RP23040004] (AB308023)
  • IHC-P

Supplier Data

Immunohistochemistry paraffin embedded sections - Anti-CXCL5 antibody [RP23040004] (AB308023)

Immunohistochemical analysis of paraffin-embedded human brain tissue labelling CXCL5 with ab308023 followed by HRP-conjugated secondary antibody and colorimetric detection using a DAB kit. (right) and without ab308023 (left). The section was incubated with ab308023 at 1/20 dilution overnight at 4ºC in a humidified chamber. Counter stained with hematoxylin and dehydrated with ethanol and xylene to prep for mounting. Antigen retrieval was performed using 10mM sodium citrate (pH 6.0), microwaved for 8-15 min. Following antigen retrieval, tissues were blocked in 3% H2O2-methanol for 15 min at room temperature, washed with ddH2O and PBS

Immunohistochemistry paraffin embedded sections - Anti-CXCL5 antibody [RP23040004] (AB308023)
  • IHC-P

Supplier Data

Immunohistochemistry paraffin embedded sections - Anti-CXCL5 antibody [RP23040004] (AB308023)

Immunohistochemical analysis of paraffin-embedded human pancreas tissue labelling CXCL5 with ab308023 diluted in 3% BSA-PBS at a 1/100 dilution followed by HRP-conjugated secondary antibody followed by colorimetric detection using a DAB kit. (right) and without ab308023 (left). The section was incubated with ab308023 overnight at 4ºC in a humidified chamber. Counter stained with hematoxylin and dehydrated with ethanol and xylene to prep for mounting. Antigen retrieval was performed using 10mM sodium citrate (pH 6.0), microwaved for 8-15 min. Following antigen retrieval, tissues were blocked in 3% H2O2-methanol for 15 min at room temperature, washed with ddH2O and PBS.

Immunohistochemistry paraffin embedded sections - Anti-CXCL5 antibody [RP23040004] (AB308023)
  • IHC-P

Supplier Data

Immunohistochemistry paraffin embedded sections - Anti-CXCL5 antibody [RP23040004] (AB308023)

Immunohistochemical analysis of paraffin-embedded human adrenal gland tissue labelling CXCL5 with ab308023 diluted in 3% BSA-PBS at a 1/50 dilution followed by HRP-conjugated secondary antibody and detection using a DAB kit. (right) and without ab308023 (left). The section was incubated with ab308023 at 1/50 dilution overnight at 4ºC in a humidified chamber. Counter stained with hematoxylin and dehydrated with ethanol and xylene to prep for mounting. Antigen retrieval was performed using 10mM sodium citrate (pH 6.0), microwaved for 8-15 min. Following antigen retrieval, tissues were blocked in 3% H2O2-methanol for 15 min at room temperature, washed with ddH2O and PBS

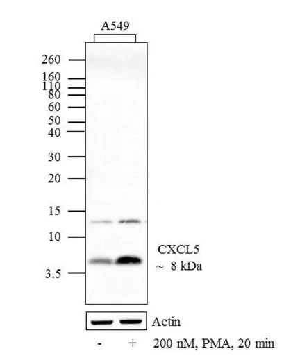
Western blot - Anti-CXCL5 antibody [RP23040004] (AB308023)
  • WB

Supplier Data

Western blot - Anti-CXCL5 antibody [RP23040004] (AB308023)

Blocking and dilution buffer : 5% skim milk

CXCL5 was detected at ~ 8 kDa using ab308023 Anti-CXCL5 antibody [RP23040004] at 1-3 μg/mL in 5 % skim milk for 3 hours at room temperature on a rocking platform

All lanes:

Western blot - Anti-CXCL5 antibody [RP23040004] (ab308023)

Lane 1:

Human A549 cell lysate at 30 µg

Lane 2:

Human A549 treated for 20 min with 200 nM of PMA cell lysate

Secondary

All lanes:

Goat anti-Rabbit IgG - HRP at 1/5000 dilution

Predicted band size: 12 kDa

Observed band size: 8 kDa

false

Western blot - Anti-CXCL5 antibody [RP23040004] (AB308023)
  • WB

Supplier Data

Western blot - Anti-CXCL5 antibody [RP23040004] (AB308023)

Western blot analysis of CXCL5 in A549 cell lysate (30 µg/lane) using ab308023 at a dilution of 2 µg/mL. NBT/BCIP was used as the substrate.

All lanes:

Western blot - Anti-CXCL5 antibody [RP23040004] (ab308023) at 2 µg/mL

All lanes:

A549 cell lysate at 30 µg

Observed band size: 8 kDa

true

Key facts

Host species

Rabbit

Clonality

Multiclonal

Clone number

RP23040004

Isotype

IgG

Carrier free

No

Reacts with

Human

Applications

WB, IHC-P

applications

Immunogen

The exact immunogen used to generate this antibody is proprietary information.

Reactivity data

{ "title": "Reactivity Data", "filters": { "stats": ["", "Species", "Dilution Info", "Notes"], "tabs": { "all-applications": {"fullname" : "All Applications", "shortname": "All Applications"}, "WB" : {"fullname" : "Western blot", "shortname":"WB"}, "IHCP" : {"fullname" : "Immunohistochemistry (Formalin/PFA-fixed paraffin-embedded sections)", "shortname":"IHC-P"} }, "product-promise": { "all": "all", "testedAndGuaranteed": "tested", "guaranteed": "expected", "predicted": "predicted", "notRecommended": "not-recommended" } }, "values": { "Human": { "WB-species-checked": "testedAndGuaranteed", "WB-species-dilution-info": "2 µg/mL", "WB-species-notes": "<p></p>", "IHCP-species-checked": "testedAndGuaranteed", "IHCP-species-dilution-info": "1/20 - 1/100", "IHCP-species-notes": "<p></p>" } } }

Product details

What are recombinant multiclonals?
Recombinant multiclonals are a mixture of recombinant antibodies co-expressed from a library of heavy and light chains. They offer several advantages including:

  • - The sensitivity of polyclonal antibodies by recognising multiple epitopes
  • - High batch-to-batch consistency and reproducibility
  • - Improved sensitivity and specificity
  • - Long-term security of supply
  • - Animal-free batch production

View our range of recombinant multiclonal antibodies.

Properties and storage information

Form
Liquid
Storage buffer
Preservative: 0.09% Sodium azide Constituents: PBS
Shipped at conditions
Blue Ice
Appropriate short-term storage duration
1-2 weeks
Appropriate short-term storage conditions
+4°C
Appropriate long-term storage conditions
-20°C
Aliquoting information
Upon delivery aliquot
Storage information
Avoid freeze / thaw cycle

Supplementary information

This supplementary information is collated from multiple sources and compiled automatically.

CXCL5 also known as LIX (Liposaccharide-induced CXC chemokine) is a small cytokine belonging to the CXC chemokine family. It plays a significant role in immunological responses by acting as a chemoattractant for neutrophils. CXCL5 has a molecular mass of around 12 kDa. The protein is mainly expressed in neutrophils epithelial cells and endothelial cells. It is often studied alongside its competitors in different therapeutic and diagnostic contexts.
Biological function summary

CXCL5 affects inflammation and the immune response by modulating neutrophil recruitment to sites of infection or injury. It is a part of the larger network of chemokines that direct leukocyte movement throughout the body. While CXCL5 does not form a complex in a traditional sense it does interact dynamically with CXCR2 receptor to exert its effects. These interactions are pivotal to the protein’s role in orchestrating the immune system’s response to diverse stimuli.

Pathways

CXCL5 plays a part in the chemokine signaling pathway and the inflammatory response pathway. These pathways are important in mediating immune surveillance and inflammation. CXCL5 through these pathways has a strong connection to other CXC family proteins like CXCL1 and the receptor CXCR2 which allows for a coordinated response during immune challenges and recovery processes.

CXCL5 is relevant in the context of chronic inflammatory disorders such as rheumatoid arthritis and cancer specifically its role in tumor-related inflammation. In these conditions CXCL5 is linked to the exacerbation of inflammatory states and promotion of tumor growth via angiogenesis. The protein's interactions with CXCR2 play a significant role in these disease processes representing potential therapeutic targets for managing inflammation and modulating cancer progression.

Product protocols

For this product, it's our understanding that no specific protocols are required. You can visit:

Target data

Involved in neutrophil activation. In vitro, ENA-78(8-78) and ENA-78(9-78) show a threefold higher chemotactic activity for neutrophil granulocytes.
See full target information CXCL5

Product promise

We are committed to supporting your work with high-quality reagents, and we're here for you every step of the way. In the unlikely event that one of our products does not perform as expected, you're protected by our Product Promise.
For full details, please see our Terms & Conditions

Please note: All products are 'FOR RESEARCH USE ONLY. NOT FOR USE IN DIAGNOSTIC OR THERAPEUTIC PROCEDURES'.

For licensing inquiries, please contact partnerships@abcam.com