JavaScript is disabled in your browser. Please enable JavaScript to view this website.
AB251455

Anti-CXCL7/PBP antibody [EPR20036] - BSA and Azide free

Be the first to review this product! Submit a review

|

(0 Publication)

Rabbit Recombinant Monoclonal CXCL7/PBP antibody. Carrier free. Suitable for IP, WB, IHC-Fr, IHC-P and reacts with Mouse samples.
6 Images
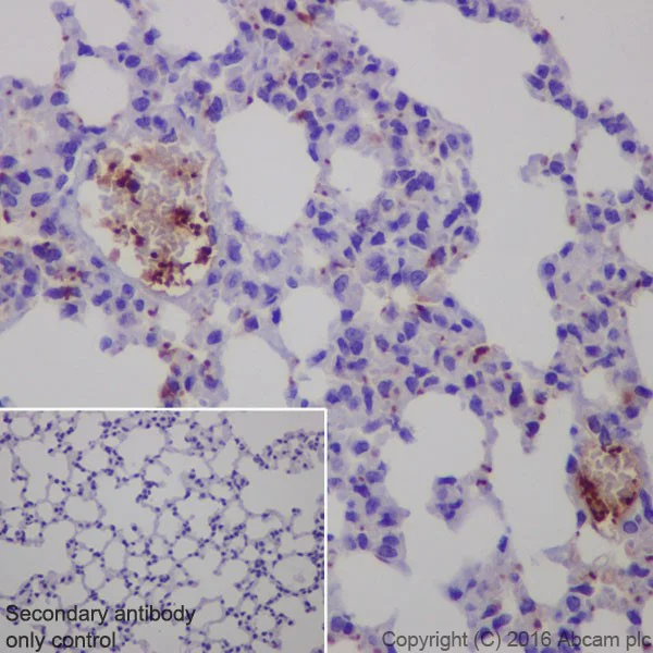
Immunohistochemistry (Formalin/PFA-fixed paraffin-embedded sections) - Anti-CXCL7/PBP antibody [EPR20036] - BSA and Azide free (AB251455)
  • IHC-P

Supplier Data

Immunohistochemistry (Formalin/PFA-fixed paraffin-embedded sections) - Anti-CXCL7/PBP antibody [EPR20036] - BSA and Azide free (AB251455)

This data was developed using ab206406, the same antibody clone in a different buffer formulation.

Immunohistochemical analysis of paraffin-embedded mouse lung tissue labeling CXCL7/PBP with ab206406 at 1/2000 dilution, followed by Goat Anti-Rabbit IgG H&L (HRP) (ab97051) at 1/500 dilution. Cytoplasmic staining on platelets of mouse lung is observed. Counter stained with Hematoxylin.

Secondary antibody only control : Used PBS instead of primary antibody, secondary antibody is Goat Anti-Rabbit IgG H&L (HRP) (ab97051) at 1/500 dilution.

Perform heat mediated antigen retrieval with Tris/EDTA buffer pH 9.0 before commencing with IHC staining protocol.

Immunohistochemistry (Frozen sections) - Anti-CXCL7/PBP antibody [EPR20036] - BSA and Azide free (AB251455)
  • IHC-Fr

Supplier Data

Immunohistochemistry (Frozen sections) - Anti-CXCL7/PBP antibody [EPR20036] - BSA and Azide free (AB251455)

This data was developed using ab206406, the same antibody clone in a different buffer formulation.

Immunohistochemical analysis of 4% paraformaldehyde-fixed, 0.2% Triton X-100 permeabilized frozen Mouse spleen tissue labeling CXCL7/PBP with ab206406 at 1/500 dilution, followed by Goat anti-rabbit IgG (Alexa Fluor® 488) (ab150077) secondary antibody at 1/1000 dilution (green). Cytoplasmic staining on megakaryocytes and platelets of mouse spleen was observed. The nuclear counterstain is DAPI (blue).

Secondary antibody only control : Used PBS instead of primary antibody, secondary antibody is Goat anti-rabbit IgG (Alexa Fluor® 488) (ab150077) secondary antibody at 1/1000 dilution.

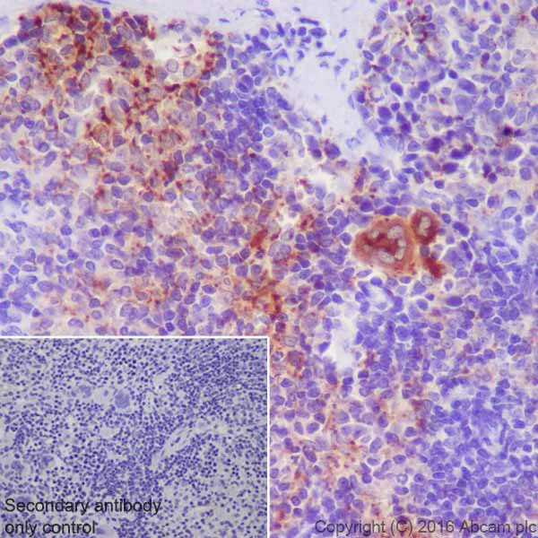
Immunohistochemistry (Formalin/PFA-fixed paraffin-embedded sections) - Anti-CXCL7/PBP antibody [EPR20036] - BSA and Azide free (AB251455)
  • IHC-P

Supplier Data

Immunohistochemistry (Formalin/PFA-fixed paraffin-embedded sections) - Anti-CXCL7/PBP antibody [EPR20036] - BSA and Azide free (AB251455)

This data was developed using ab206406, the same antibody clone in a different buffer formulation.

Immunohistochemical analysis of paraffin-embedded mouse spleen tissue labeling CXCL7/PBP with ab206406 at 1/2000 dilution, followed by Goat Anti-Rabbit IgG H&L (HRP) (ab97051) at 1/500 dilution. Cytoplasmic staining on megakaryocytes and platelets of mouse spleen is observed [PMID : 16391012]. Counter stained with Hematoxylin.

Secondary antibody only control : Used PBS instead of primary antibody, secondary antibody is Goat Anti-Rabbit IgG H&L (HRP) (ab97051) at 1/500 dilution.

Perform heat mediated antigen retrieval with Tris/EDTA buffer pH 9.0 before commencing with IHC staining protocol.

Immunoprecipitation - Anti-CXCL7/PBP antibody [EPR20036] - BSA and Azide free (AB251455)
  • IP

Supplier Data

Immunoprecipitation - Anti-CXCL7/PBP antibody [EPR20036] - BSA and Azide free (AB251455)

This data was developed using ab206406, the same antibody clone in a different buffer formulation.

CXCL7/PBP was immunoprecipitated from 0.35 mg of Mouse spleen lysate with ab206406 at 1/40 dilution. Western blot was performed from the immunoprecipitate using ab206406 at 1/1000 dilution. VeriBlot for IP Detection Reagent (HRP) (ab131366), was used for detection at 1/10000 dilution.

Lane 1 : Mouse spleen lysate, 10 μg (Input).
Lane 2 : ab206406 IP in Mouse spleen lysate.
Lane 3 : Rabbit monoclonal IgG (ab172730) instead of ab206406 in Mouse spleen lysate.

Blocking and dilution buffer and concentration : 5% NFDM/TBST.

Exposure time : 1 second.

All lanes:

Immunoprecipitation - Anti-CXCL7/PBP antibody [EPR20036] (<a href='/en-us/products/primary-antibodies/cxcl7-pbp-antibody-epr20036-ab206406'>ab206406</a>)

Predicted band size: 14 kDa

false

Western blot - Anti-CXCL7/PBP antibody [EPR20036] - BSA and Azide free (AB251455)
  • WB

Supplier Data

Western blot - Anti-CXCL7/PBP antibody [EPR20036] - BSA and Azide free (AB251455)

This data was developed using ab206406, the same antibody clone in a different buffer formulation.

Blocking and dilution buffer : 5% NFDM/TBST.

Exposure times : Lanes 1-2 : 4 seconds; Lanes 3-4 : 1 second.

The molecular weight is consistent with what has been described in the literature : PMID : 14673015.

Lanes 1 - 2:

Western blot - Anti-CXCL7/PBP antibody [EPR20036] (<a href='/en-us/products/primary-antibodies/cxcl7-pbp-antibody-epr20036-ab206406'>ab206406</a>) at 1/2000 dilution

Lanes 3 - 4:

Western blot - Anti-CXCL7/PBP antibody [EPR20036] (<a href='/en-us/products/primary-antibodies/cxcl7-pbp-antibody-epr20036-ab206406'>ab206406</a>) at 1/10000 dilution

Lane 1:

Mouse spleen tissue lysate at 10 µg

Lane 2:

Mouse plasma at 10 µg

Lane 3:

Mouse platelet lysate at 10 µg

Lane 4:

Mouse serum at 10 µg

Secondary

All lanes:

Goat Anti-Rabbit IgG Peroxidase Conjugate, specific to the non-reduced form of IgG at 1/10000 dilution

Predicted band size: 14 kDa

Observed band size: 7 kDa

false

Western blot - Anti-CXCL7/PBP antibody [EPR20036] - BSA and Azide free (AB251455)
  • WB

Supplier Data

Western blot - Anti-CXCL7/PBP antibody [EPR20036] - BSA and Azide free (AB251455)

This data was developed using ab206406, the same antibody clone in a different buffer formulation.

Blocking and dilution buffer : 5% NFDM/TBST.

All lanes:

Western blot - Anti-CXCL7/PBP antibody [EPR20036] (<a href='/en-us/products/primary-antibodies/cxcl7-pbp-antibody-epr20036-ab206406'>ab206406</a>) at 1/5000 dilution

All lanes:

Mouse CXCL7/PBP active protein at 0.01 µg

Secondary

All lanes:

Western blot - Goat Anti-Rabbit IgG H&L (HRP) (<a href='/en-us/products/secondary-antibodies/goat-rabbit-igg-h-l-hrp-ab97051'>ab97051</a>) at 1/100000 dilution

Predicted band size: 14 kDa

Observed band size: 7 kDa

false

Exposure time: 8s

Key facts

Host species

Rabbit

Clonality

Monoclonal

Clone number

EPR20036

Isotype

IgG

Carrier free

Yes

Reacts with

Mouse

Applications

IHC-Fr, IHC-P, IP, WB

applications

Immunogen

The exact immunogen used to generate this antibody is proprietary information.

Reactivity data

{ "title": "Reactivity Data", "filters": { "stats": ["", "Species", "Dilution Info", "Notes"], "tabs": { "all-applications": {"fullname" : "All Applications", "shortname": "All Applications"}, "IP" : {"fullname" : "Immunoprecipitation", "shortname":"IP"}, "WB" : {"fullname" : "Western blot", "shortname":"WB"}, "IHCFr" : {"fullname" : "Immunohistochemistry (Frozen sections)", "shortname":"IHC-Fr"}, "IHCP" : {"fullname" : "Immunohistochemistry (Formalin/PFA-fixed paraffin-embedded sections)", "shortname":"IHC-P"} }, "product-promise": { "all": "all", "testedAndGuaranteed": "tested", "guaranteed": "expected", "predicted": "predicted", "notRecommended": "not-recommended" } }, "values": { "Mouse": { "IP-species-checked": "testedAndGuaranteed", "IP-species-dilution-info": "", "IP-species-notes": "<p></p>", "WB-species-checked": "testedAndGuaranteed", "WB-species-dilution-info": "", "WB-species-notes": "<p></p>", "IHCFr-species-checked": "testedAndGuaranteed", "IHCFr-species-dilution-info": "", "IHCFr-species-notes": "<p>Antigen retrieval: Heated citrate solution (10mM citrate PH 6.0 + 0.05% Tween-20).</p>", "IHCP-species-checked": "testedAndGuaranteed", "IHCP-species-dilution-info": "", "IHCP-species-notes": "<p></p>" } } }

You may be interested in:

AB236713

Mouse CXCL7 / PBP ELISA Kit

0

0 Reviews

View product

We recommend this product because it’s often used in the same experiment or related research.

We advise that you always check the datasheet to ensure it fits your experiments, or contact ourtechnical teamfor help.

Product details

ab251455 is the carrier-free version of ab206406.

Patented technology
Our RabMAb® technology is a patented hybridoma-based technology for making rabbit monoclonal antibodies. For details on our patents, please refer to RabMAb® patents.

What are the advantages of a recombinant monoclonal antibody?
This product is a recombinant monoclonal antibody, which offers several advantages including:

  • - High batch-to-batch consistency and reproducibility
  • - Improved sensitivity and specificity
  • - Long-term security of supply
  • - Animal-free batch production

For more information, read more on recombinant antibodies.

Conjugation ready
Our carrier-free antibodies are typically supplied in a PBS-only formulation, purified and free of BSA, sodium azide and glycerol. This conjugation-ready format is designed for use with fluorochromes, metal isotopes, oligonucleotides, and enzymes, which makes them ideal for antibody labelling, functional and cell-based assays, flow-based assays (e.g. mass cytometry) and Multiplex Imaging applications.

Use our conjugation kits for antibody conjugates that are ready-to-use in as little as 20 minutes with 1 minute hands-on-time and 100% antibody recovery: available for fluorescent dyes, HRP, biotin and gold.

Compatibility
This product is compatible with the Maxpar® Antibody Labeling Kit from Fluidigm, without the need for antibody preparation. Maxpar® is a trademark of Fluidigm Canada Inc.

Properties and storage information

Form
Liquid
Storage buffer
pH: 7.2 - 7.4 Constituents: PBS
Shipped at conditions
Blue Ice
Appropriate short-term storage conditions
+4°C
Appropriate long-term storage conditions
+4°C
Storage information
Do Not Freeze

Supplementary information

This supplementary information is collated from multiple sources and compiled automatically.

The target CXCL7 also known as PBP PBP-172 or PPBP is a chemokine with a molecular mass of around 11 kDa. It is a platelet basic protein (PBP) belonging to the family of CXC chemokines. This protein is extensively expressed in megakaryocytes and stored in the alpha-granules of platelets. Upon platelet activation CXCL7 is released and becomes a potent attractant and activator of neutrophils. It travels through the bloodstream and impacts extracellular signaling processes.
Biological function summary

The chemokine plays a significant role in the regulation of inflammation. CXCL7 is not only an individual entity but can form complexes with glycosaminoglycans on cell surfaces enhancing its functionality. This interaction helps in modulating immune responses by recruiting neutrophils and monocytes to sites of injury or infection. The chemokine contributes to wound healing and tissue repair through its involvement in the inflammatory phase.

Pathways

CXCL7 is involved in the chemokine signaling pathway and is an important mediator in the immune system's response to infections. It is related to other chemokine family proteins like CXCL8 (IL-8) which share similar pathways in inflammatory responses. These proteins interact with specific receptors on leukocytes inducing changes in the cytoskeleton and promoting chemotaxis which is the directed movement towards chemical stimuli.

CXCL7 is associated with various inflammatory conditions and has been implicated in atherosclerosis and rheumatoid arthritis. In these conditions elevated levels of this chemokine correlate with increased recruitment and activation of neutrophils exacerbating inflammation. CXCL7 also shares interactions with other proteins such as CXCL1 affecting the progression and severity of these disorders. The understanding of CXCL7's role in such pathologies offers potential therapeutic avenues for intervention.

Product protocols

For this product, it's our understanding that no specific protocols are required. You can visit:

Product promise

We are committed to supporting your work with high-quality reagents, and we're here for you every step of the way. In the unlikely event that one of our products does not perform as expected, you're protected by our Product Promise.
For full details, please see our Terms & Conditions

Please note: All products are 'FOR RESEARCH USE ONLY. NOT FOR USE IN DIAGNOSTIC OR THERAPEUTIC PROCEDURES'.

For licensing inquiries, please contact partnerships@abcam.com