JavaScript is disabled in your browser. Please enable JavaScript to view this website.
AB290643

Anti-CXCL9 antibody [EPR26512-118]

  • BOND RX™ Validated
  • 20ul selling size
  • RabMAb
  • Recombinant
  • What is this?

Be the first to review this product! Submit a review

|

(5 Publications)

Anti-CXCL9 antibody [EPR26512-118] (ab290643) is a rabbit monoclonal antibody detecting CXCL9 in Western Blot, Flow Cytometry (Intra), Flow Cytometry, IP, IHC-P, ICC/IF. Suitable for Human.

- Biophysical QC for unrivalled batch-batch consistency

View Alternative Names

CMK, MIG, SCYB9, CXCL9, C-X-C motif chemokine 9, Gamma-interferon-induced monokine, Monokine induced by interferon-gamma, Small-inducible cytokine B9, HuMIG

10 Images
Immunohistochemistry (Formalin/PFA-fixed paraffin-embedded sections) - Anti-CXCL9 antibody [EPR26512-118] (AB290643)
  • IHC-P

Supplier Data

Immunohistochemistry (Formalin/PFA-fixed paraffin-embedded sections) - Anti-CXCL9 antibody [EPR26512-118] (AB290643)

Immunohistochemical analysis of paraffin-embedded Human cerebrum tissue labelling CXCL9 with ab290643 at 1/100 (5.38 ug/ml) followed by a ready to use LeicaDS9800 (Bond™ Polymer Refine Detection) was used. Negative control : no staining on human cerebrum. The section was incubated with ab290643 for 30 mins at room temperature.The immunostaining was performed on a Leica Biosystems BOND® RX instrument Counterstained with Hematoxylin.

Secondary antibody only control : Secondary antibody is a ready to use LeicaDS9800 (Bond™ Polymer Refine Detection) was used.

Heat mediated antigen retrieval with Tris-EDTA buffer (pH 9.0, epitope retrieval solution2) for 20 mins

Immunocytochemistry/ Immunofluorescence - Anti-CXCL9 antibody [EPR26512-118] (AB290643)
  • ICC/IF

Lab

Immunocytochemistry/ Immunofluorescence - Anti-CXCL9 antibody [EPR26512-118] (AB290643)

Immunofluorescent analysis of 4% paraformaldehyde-fixed, 0.1% Triton X-100 permeabilized KATO III (Human stomach spherical) cells labelling CXCL9 with primary antibody anti-CXCL9 (ab290643) at 1/50 dilution, followed by Goat Anti-Rabbit IgG H&L (Alexa Fluor® 488) preadsorbed (ab150081) secondary antibody at 1/1000 dilution. Confocal image showing increased cytoplasmic staining in KATO III cells treated with IFN gamma (human) (100 ng/ml) and TNF alpha (human) (100 ng/ml) for 16 hours. Anti-alpha Tubulin mouse monoclonal antibody - Microtubule Marker (Alexa Fluor® 594) (ab195889) was used to counterstain tubulin at 1/200 dilution. The nuclear counter stain is DAPI (blue).

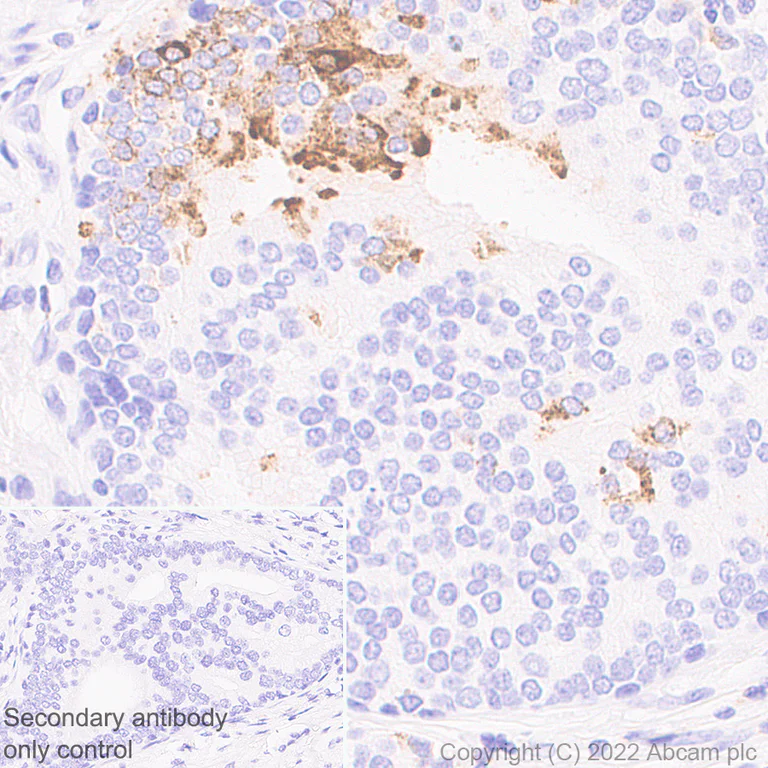
Immunohistochemistry (Formalin/PFA-fixed paraffin-embedded sections) - Anti-CXCL9 antibody [EPR26512-118] (AB290643)
  • IHC-P

Supplier Data

Immunohistochemistry (Formalin/PFA-fixed paraffin-embedded sections) - Anti-CXCL9 antibody [EPR26512-118] (AB290643)

Immunohistochemical analysis of paraffin-embedded Panel A THP-1 cell tissue labelling CXCL9 with ab290643 at 1/2000 (0.269 ug/ml) followed by a ready to use LeicaDS9800 (Bond™ Polymer Refine Detection) was used. Positive staining on (A) THP-1 cells treated with a combination of IFN-γ (200ng/ml, 24h) and LPS (50ng/ml, 24h); no staining on (B) untreated THP-1 cells. The section was incubated with ab290643 for 30 mins at room temperature.The immunostaining was performed on a Leica Biosystems BOND® RX instrument Counterstained with Hematoxylin.

Secondary antibody only control : Secondary antibody is a ready to use LeicaDS9800 (Bond® Polymer Refine Detection) was used.

Heat mediated antigen retrieval with Tris-EDTA buffer (pH 9.0, epitope retrieval solution2) for 20 mins

Immunohistochemistry (Formalin/PFA-fixed paraffin-embedded sections) - Anti-CXCL9 antibody [EPR26512-118] (AB290643)
  • IHC-P

Supplier Data

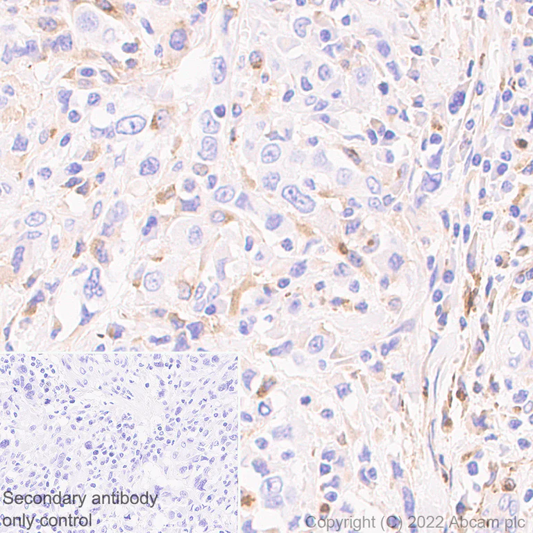
Immunohistochemistry (Formalin/PFA-fixed paraffin-embedded sections) - Anti-CXCL9 antibody [EPR26512-118] (AB290643)

Immunohistochemical analysis of paraffin-embedded Human prostate carcinoma tissue labelling CXCL9 with ab290643 at 1/100 (5.38 ug/ml) followed by a ready to use LeicaDS9800 (Bond™ Polymer Refine Detection) was used. Positive staining on human prostate carcinoma. The section was incubated with ab290643 for 30 mins at room temperature.The immunostaining was performed on a Leica Biosystems BOND® RX instrument. Counterstained with Hematoxylin.

Secondary antibody only control : Secondary antibody is a ready to use LeicaDS9800 (Bond™ Polymer Refine Detection) was used.

Heat mediated antigen retrieval with Tris-EDTA buffer (pH 9.0, epitope retrieval solution2) for 20 mins

Flow Cytometry (Intracellular) - Anti-CXCL9 antibody [EPR26512-118] (AB290643)
  • Flow Cyt (Intra)

Supplier Data

Flow Cytometry (Intracellular) - Anti-CXCL9 antibody [EPR26512-118] (AB290643)

Intracellular flow cytometric analysis of 4% paraformaldehyde, 90% methanol THP-1 (Human monocytic leukemia monocyte) treated with 200ng/ml IFN gamma and 50ng/ml LPS for 24h (Right) labelling CXCL9 with ab290743 at 1/50 dilution/ Untreated control (Left). Goat Anti-Rabbit IgG (Alexa Fluor® 488, ab150081) at 1/2000 dilution was used as a secondary antibody.

Immunohistochemistry (Formalin/PFA-fixed paraffin-embedded sections) - Anti-CXCL9 antibody [EPR26512-118] (AB290643)
  • IHC-P

Supplier Data

Immunohistochemistry (Formalin/PFA-fixed paraffin-embedded sections) - Anti-CXCL9 antibody [EPR26512-118] (AB290643)

Immunohistochemical analysis of paraffin-embedded human lung carcinoma tissue labelling CXCL9 with ab290643 at 1/100 dilution followed by a ready to use LeicaDS9800 (Bond™ Polymer Refine Detection). Positive staining on human lung carcinoma. The section was incubated with ab290643 for 30 mins at room temperature.The immunostaining was performed on a Leica Biosystems BOND® RX instrument Counterstained with Hematoxylin.

Secondary antibody only control : Secondary antibody is a ready to use LeicaDS9800 (Bond™ Polymer Refine Detection) was used.

Heat mediated antigen retrieval with Tris-EDTA buffer (pH 9.0, epitope retrieval solution2) for 20 mins

Immunoprecipitation - Anti-CXCL9 antibody [EPR26512-118] (AB290643)
  • IP

Supplier Data

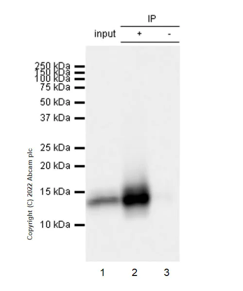
Immunoprecipitation - Anti-CXCL9 antibody [EPR26512-118] (AB290643)

CXCL9 was immunoprecipitated from 0.35 mg KATO III (human gastric carcinoma) treated with 100ng/ml IFN gamma and 100 ng/ml TNF alpha for 16 hours whole cell lysate 10 ug with ab290643 at 1/30 dilution. Western blot was performed on the immunoprecipitate using ab290643 at 1/1000 dilution. VeriBlot for IP secondary antibody(HRP)(ab131366) was used at 1/5000 dilution.

Lane 1 : KATO III (human gastric carcinoma) treated with 100ng/ml IFN gamma and 100 ng/ml TNF alpha for 16 hours whole cell lysate 10 ug

Lane 2 : ab290643 IP in KATO III treated with 100ng/ml IFN gamma and 100 ng/ml TNF alpha for 16 hours whole cell lysate

Lane 3 : Rabbit monoclonal IgG (ab172730) instead of ab290643 in KATO III treated with 100ng/ml IFN gamma and 100 ng/ml TNF alpha for 16 hours whole cell lysate

Blocking and dilution buffer and concentration : 5% NFDM/TBST.

Exposure time : 3.25 seconds

All lanes:

Immunoprecipitation - Anti-CXCL9 antibody [EPR26512-118] (ab290643)

Predicted band size: 14 kDa

Observed band size: 14 kDa

false

Western blot - Anti-CXCL9 antibody [EPR26512-118] (AB290643)
  • WB

Supplier Data

Western blot - Anti-CXCL9 antibody [EPR26512-118] (AB290643)

Blocking and diluting buffers and concentration was 5% NFDM/TBST.

Exposure time : 7.75 seconds.

The expression of CXCL9 is upregulated in response to TNF gamma and LPS treatment (PMID : 12946268, 20650898).

All lanes:

Western blot - Anti-CXCL9 antibody [EPR26512-118] (ab290643) at 1/1000 dilution

Lane 1:

Untreated THP-1 (human monocytic leukemia monocyte) whole cell lysate at 20 µg

Lane 2:

THP-1 treated with 200ng/ml IFN gamma and 50 ng/ml LPS(Lipopolysaccharide) for 24 hours whole cell lysate at 20 µg

Secondary

All lanes:

Western blot - Goat Anti-Rabbit IgG H&L (HRP) (<a href='/en-us/products/secondary-antibodies/goat-rabbit-igg-h-l-hrp-ab97051'>ab97051</a>) at 1/100000 dilution

Predicted band size: 14 kDa

Observed band size: 14 kDa

false

Western blot - Anti-CXCL9 antibody [EPR26512-118] (AB290643)
  • WB

Supplier Data

Western blot - Anti-CXCL9 antibody [EPR26512-118] (AB290643)

Blocking and diluting buffers and concentration was 5% NFDM/TBST.

Exposure time : 5.5 seonds.

The expression of CXCL9 is upregulated in response to IFN gamma and TNF alpha treatment (PMID : 12946268, 20650898).

All lanes:

Western blot - Anti-CXCL9 antibody [EPR26512-118] (ab290643) at 1/1000 dilution

Lane 1:

Untreated KATO III (human gastric carcinoma) whole cell lysate at 20 µg

Lane 2:

KATO III treated with 100ng/ml IFN gamma and 100 ng/ml TNF alpha for 16 hours whole cell lysate at 20 µg

Secondary

All lanes:

Western blot - Goat Anti-Rabbit IgG H&L (HRP) (<a href='/en-us/products/secondary-antibodies/goat-rabbit-igg-h-l-hrp-ab97051'>ab97051</a>) at 1/100000 dilution

Predicted band size: 14 kDa

Observed band size: 14 kDa

false

Western blot - Anti-CXCL9 antibody [EPR26512-118] (AB290643)
  • WB

Supplier Data

Western blot - Anti-CXCL9 antibody [EPR26512-118] (AB290643)

Blocking and diluting buffers and concentration was 5% NFDM/TBST.

Exposure time : 10 seonds.

This antibody does not cross-react with CXCL10, CXCL11, or CXCL2 protein.

All lanes:

Western blot - Anti-CXCL9 antibody [EPR26512-118] (ab290643) at 1/1000 dilution

Lane 1:

HEK-293T (human embryonic kidney) cells transfected with a human CXCL9 expression vector containing a myc-His tag whole cell lysate at 4 µg

Lane 2:

HEK-293T cells transfected with a human CXCL10 expression vector containing a myc-His tag whole cell lysate at 20 µg

Lane 3:

HEK-293T cells transfected with a human CXCL11 expression vector containing a myc-His tag whole cell lysate at 40 µg

Lane 4:

HEK-293T cells transfected with a human CXCL2 expression vector containing a myc-His tag whole cell lysate at 20 µg

Secondary

All lanes:

Western blot - Goat Anti-Rabbit IgG H&L (HRP) (<a href='/en-us/products/secondary-antibodies/goat-rabbit-igg-h-l-hrp-ab97051'>ab97051</a>) at 1/100000 dilution

Predicted band size: 14 kDa

Observed band size: 14 kDa

false

Exposure time: 10s

Key facts

Host species

Rabbit

Clonality

Monoclonal

Clone number

EPR26512-118

Isotype

IgG

Carrier free

No

Reacts with

Human

Applications

IHC-P, ICC/IF, IP, WB, Flow Cyt (Intra)

applications

Immunogen

The exact immunogen used to generate this antibody is proprietary information.

Specificity

This antibody does not cross-react with CXCL10, CXCL11, or CXCL2 protein.

Reactivity data

{ "title": "Reactivity Data", "filters": { "stats": ["", "Species", "Dilution Info", "Notes"], "tabs": { "all-applications": {"fullname" : "All Applications", "shortname": "All Applications"}, "ICCIF" : {"fullname" : "Immunocytochemistry/ Immunofluorescence", "shortname":"ICC/IF"}, "IP" : {"fullname" : "Immunoprecipitation", "shortname":"IP"}, "IHCP" : {"fullname" : "Immunohistochemistry (Formalin/PFA-fixed paraffin-embedded sections)", "shortname":"IHC-P"}, "FlowCytIntra" : {"fullname" : "Flow Cytometry (Intracellular)", "shortname":"Flow Cyt (Intra)"}, "WB" : {"fullname" : "Western blot", "shortname":"WB"} }, "product-promise": { "all": "all", "testedAndGuaranteed": "tested", "guaranteed": "expected", "predicted": "predicted", "notRecommended": "not-recommended" } }, "values": { "Human": { "ICCIF-species-checked": "testedAndGuaranteed", "ICCIF-species-dilution-info": "1/50", "ICCIF-species-notes": "<p></p>", "IP-species-checked": "testedAndGuaranteed", "IP-species-dilution-info": "1/30", "IP-species-notes": "<p></p>", "IHCP-species-checked": "testedAndGuaranteed", "IHCP-species-dilution-info": "1/100", "IHCP-species-notes": "<p></p>", "FlowCytIntra-species-checked": "testedAndGuaranteed", "FlowCytIntra-species-dilution-info": "1/50", "FlowCytIntra-species-notes": "<p></p>", "WB-species-checked": "testedAndGuaranteed", "WB-species-dilution-info": "1/1000", "WB-species-notes": "<p></p>" }, "Mouse": { "ICCIF-species-checked": "notRecommended", "ICCIF-species-dilution-info": "", "ICCIF-species-notes": "", "IP-species-checked": "notRecommended", "IP-species-dilution-info": "", "IP-species-notes": "", "IHCP-species-checked": "notRecommended", "IHCP-species-dilution-info": "1/100", "IHCP-species-notes": "<p></p>", "FlowCytIntra-species-checked": "notRecommended", "FlowCytIntra-species-dilution-info": "", "FlowCytIntra-species-notes": "", "WB-species-checked": "notRecommended", "WB-species-dilution-info": "", "WB-species-notes": "" }, "Rat": { "ICCIF-species-checked": "notRecommended", "ICCIF-species-dilution-info": "", "ICCIF-species-notes": "", "IP-species-checked": "notRecommended", "IP-species-dilution-info": "", "IP-species-notes": "", "IHCP-species-checked": "notRecommended", "IHCP-species-dilution-info": "1/100", "IHCP-species-notes": "<p></p>", "FlowCytIntra-species-checked": "notRecommended", "FlowCytIntra-species-dilution-info": "", "FlowCytIntra-species-notes": "", "WB-species-checked": "notRecommended", "WB-species-dilution-info": "", "WB-species-notes": "" } } }

Product details

What is this antibody validated in?
Anti-CXCL9 antibody [EPR26512-118] (ab290643) is a rabbit recombinant monoclonal antibody and is validated for use in Western Blot (WB), Flow Cytometry (Intra), Flow Cytometry (Flow Cyt), Immunoprecipitation (IP), Immunohistochemistry (IHC-P), Immunocytochemistry/immunofluorescence (ICC/IF) in Human samples.

What is the molecular weight of CXCL9?
Anti-CXCL9 [EPR26512-118] (ab290643) specifically detects a band for CXCL9 (UniProt: Q07325) at a molecular weight of 14kDa.

Trial sizes available!
Test your antibody or perform pre-screening before committing to a larger quantity. Sold in 10µl. Discover our selection of trial-size antibodies.

Other related products
We have a range of other formats of antibody clone [EPR26512-118] also available for your convenience: ab290643, Carrier free - ab290654, Alexa Fluor® 647 - ab308431, Alexa Fluor® 488 - ab308597

Patented technology
Our RabMAb® technology is a patented hybridoma-based technology for making rabbit monoclonal antibodies. For details on our patents, please refer to RabMAb® patents.

What are the advantages of a recombinant monoclonal antibody?
This product is a recombinant monoclonal antibody, which offers several advantages including:

  • - High batch-to-batch consistency and reproducibility
  • - Improved sensitivity and specificity
  • - Long-term security of supply
  • - Animal-free batch production

For more information, read more on recombinant antibodies.

Properties and storage information

Form
Liquid
Purification technique
Affinity purification Protein A
Storage buffer
pH: 7.2 - 7.4 Preservative: 0.01% Sodium azide Constituents: PBS, 40% Glycerol (glycerin, glycerine), 0.05% BSA
Shipped at conditions
Blue Ice
Appropriate short-term storage duration
1-2 weeks
Appropriate short-term storage conditions
+4°C
Appropriate long-term storage conditions
-20°C
Aliquoting information
Upon delivery aliquot
Storage information
Avoid freeze / thaw cycle

Supplementary information

This supplementary information is collated from multiple sources and compiled automatically.

CXCL9 also known as MIG (monokine induced by gamma interferon) is a small cytokine protein with a molecular weight of approximately 13 kDa. CXCL9 exhibits strong chemotactic properties and is secreted by various cells including endothelial cells macrophages and fibroblasts upon stimulation by interferon-gamma. Its expression primarily occurs in inflamed tissues and is associated with immune responses. Researchers often use tools like a CXCL9 ELISA kit or CXCL9 test to measure its expression levels in biological samples aiding in understanding its role in various conditions.
Biological function summary

This cytokine plays a pivotal role in the immune system by regulating leukocyte trafficking. CXCL9 exerts its function through binding to the CXCR3 receptor attracting T cells towards sites of inflammation or infection. This interaction is significant in mediating immune surveillance and host defense. CXCL9 does not form part of a larger protein complex but its chemokine activity is critical for immune system coordination. Scientific studies often highlight its involvement through CXCL9 function and expression analysis.

Pathways

CXCL9 significantly influences the chemokine signaling pathway and the Th1-type adaptive immune response. Within these pathways it interacts closely with other chemokines like CXCL10 and CXCL11 which also bind to the CXCR3 receptor. These pathways highlight the coordinated mobilization of T cells during immune challenges and inflammation emphasizing how CXCL9 is often examined alongside these related chemokines in research settings.

CXCL9 is notably associated with autoimmune diseases such as rheumatoid arthritis and inflammatory conditions like psoriasis. Its elevated expression is often observed in affected tissues contributing to disease pathogenesis through T cell migration and activation. In these contexts CXCL9 is frequently examined alongside other pro-inflammatory cytokines such as interferon-gamma and TNF-alpha which are known to modulate its expression and activity impacting disease progression and therapeutic strategies.

Product protocols

For this product, it's our understanding that no specific protocols are required. You can visit:

Target data

Cytokine that affects the growth, movement, or activation state of cells that participate in immune and inflammatory response. Chemotactic for activated T-cells. Binds to CXCR3.
See full target information CXCL9

Publications (5)

Recent publications for all applications. Explore the full list and refine your search

BMC immunology 26:61 PubMed40836320

2025

Exploration of biomarkers for predicting the prognosis of patients with diffuse large B-cell lymphoma by machine-learning analysis.

Applications

Unspecified application

Species

Unspecified reactive species

Shifen Wang,Hong Tao,Xingyun Zhao,Siwen Wu,Chunwei Yang,Yuanfei Shi,Zhenshu Xu,Dawei Cui

Inflammation : PubMed40608219

2025

A Comparative Analysis Dissecting the Immune Landscape of Vitiligo and Melanoma from a single-cell Perspective: Two Sides of the Same Coin?

Applications

Unspecified application

Species

Unspecified reactive species

Yongkai Yu,Yidan Wang,Jiawei Lu,Xuechen Cao,Yifei Feng,Tongxin Pei,Yan Lu

NPJ precision oncology 8:176 PubMed39117688

2024

Tumor-associated macrophage clusters linked to immunotherapy in a pan-cancer census.

Applications

Unspecified application

Species

Unspecified reactive species

Chen Wei,Yijie Ma,Mengyu Wang,Siyi Wang,Wenyue Yu,Shuailei Dong,Wenying Deng,Liangyu Bie,Chi Zhang,Wei Shen,Qingxin Xia,Suxia Luo,Ning Li

The Journal of clinical investigation 134: PubMed39024569

2024

TWIST1+FAP+ fibroblasts in the pathogenesis of intestinal fibrosis in Crohn's disease.

Applications

Unspecified application

Species

Unspecified reactive species

Yao Zhang,Jiaxin Wang,Hongxiang Sun,Zhenzhen Xun,Zirui He,Yizhou Zhao,Jingjing Qi,Sishen Sun,Qidi Yang,Yubei Gu,Ling Zhang,Chunhua Zhou,Youqiong Ye,Ningbo Wu,Duowu Zou,Bing Su

Frontiers in genetics 14:1083615 PubMed36861127

2023

Identification of key candidate genes and pathways in rheumatoid arthritis and osteoarthritis by integrated bioinformatical analysis.

Applications

Unspecified application

Species

Unspecified reactive species

Huijing Huang,Xinyi Dong,Kaimin Mao,Wanwan Pan,Bin'en Nie,Lindi Jiang
View all publications

Product promise

We are committed to supporting your work with high-quality reagents, and we're here for you every step of the way. In the unlikely event that one of our products does not perform as expected, you're protected by our Product Promise.
For full details, please see our Terms & Conditions

Please note: All products are 'FOR RESEARCH USE ONLY. NOT FOR USE IN DIAGNOSTIC OR THERAPEUTIC PROCEDURES'.

For licensing inquiries, please contact partnerships@abcam.com