JavaScript is disabled in your browser. Please enable JavaScript to view this website.
AB320828

Anti-CXCL9 antibody [EPR28968-26] - BSA and Azide free

Be the first to review this product! Submit a review

|

(0 Publication)

Rabbit Recombinant Monoclonal CXCL9 antibody. Carrier free. Suitable for WB, IHC-P and reacts with Mouse samples.

View Alternative Names

Mig, Scyb9, Cxcl9, C-X-C motif chemokine 9, Gamma-interferon-induced monokine, Monokine induced by interferon-gamma, Protein m119, Small-inducible cytokine B9, MIG, MuMIG

4 Images
Immunohistochemistry (Formalin/PFA-fixed paraffin-embedded sections) - Anti-CXCL9 antibody [EPR28968-26] - BSA and Azide free (AB320828)
  • IHC-P

Supplier Data

Immunohistochemistry (Formalin/PFA-fixed paraffin-embedded sections) - Anti-CXCL9 antibody [EPR28968-26] - BSA and Azide free (AB320828)

This data was developed using ab320827, the same antibody clone in a different buffer formulation.

Immunohistochemical analysis of paraffin-embedded Mouse testis tissue labeling CXCL9 with ab320827 at 1/1000 (0.488 ug/ml) dilution, followed by a ready to use LeicaDS9800 (Bond™ Polymer Refine Detection).

Negative control : no staining on mouse testis.
The section was incubated with ab320827 for 30 mins at room temperature.
The immunostaining was performed on a Leica Biosystems BOND® RX instrument
Incubate slides with 3% Hydrogen Peroxide for 10 mins at room temperature after secondary antibody incubation to reduce the background

Counterstained with Hematoxylin.

Secondary antibody only control : Secondary antibody is a ready to use LeicaDS9800 (Bond™ Polymer Refine Detection).

Heat mediated antigen retrieval was performed with Tris-EDTA buffer (pH 9.0, Epitope Retrieval Solution2) for 20 mins

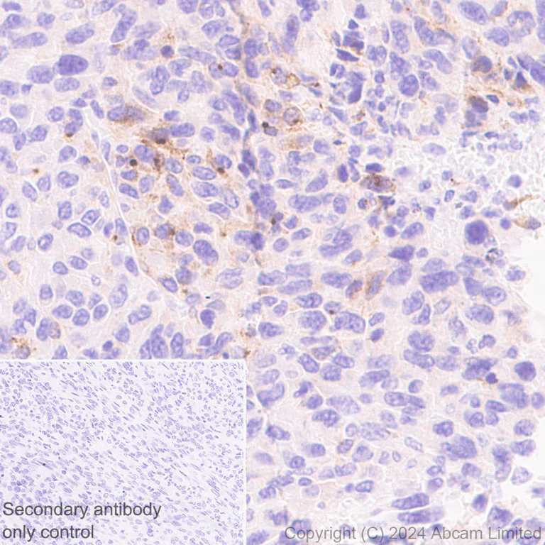
Immunohistochemistry (Formalin/PFA-fixed paraffin-embedded sections) - Anti-CXCL9 antibody [EPR28968-26] - BSA and Azide free (AB320828)
  • IHC-P

Supplier Data

Immunohistochemistry (Formalin/PFA-fixed paraffin-embedded sections) - Anti-CXCL9 antibody [EPR28968-26] - BSA and Azide free (AB320828)

This data was developed using ab320827, the same antibody clone in a different buffer formulation.

Immunohistochemical analysis of paraffin-embedded Mouse pancreatic cancer tissue labeling CXCL9 with ab320827 at 1/1000 (0.488 ug/ml) dilution, followed by a ready to use LeicaDS9800 (Bond™ Polymer Refine Detection).

Positive staining on immune cells of mouse pancreatic cancer.
The section was incubated with ab320827 for 30 mins at room temperature.
The immunostaining was performed on a Leica Biosystems BOND® RX instrument
Incubate slides with 3% Hydrogen Peroxide for 10 mins at room temperature after secondary antibody incubation to reduce the background

Counterstained with Hematoxylin.

Secondary antibody only control : Secondary antibody is a ready to use LeicaDS9800 (Bond™ Polymer Refine Detection).

Heat mediated antigen retrieval was performed with Tris-EDTA buffer (pH 9.0, Epitope Retrieval Solution2) for 20 mins

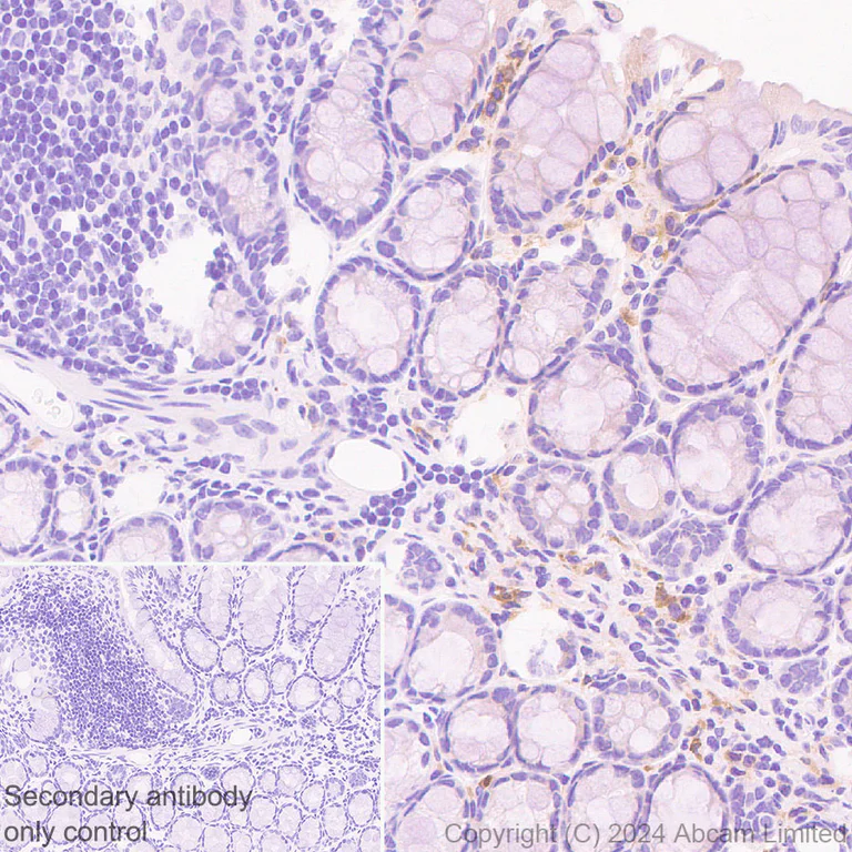
Immunohistochemistry (Formalin/PFA-fixed paraffin-embedded sections) - Anti-CXCL9 antibody [EPR28968-26] - BSA and Azide free (AB320828)
  • IHC-P

Supplier Data

Immunohistochemistry (Formalin/PFA-fixed paraffin-embedded sections) - Anti-CXCL9 antibody [EPR28968-26] - BSA and Azide free (AB320828)

This data was developed using ab320827, the same antibody clone in a different buffer formulation.

Immunohistochemical analysis of paraffin-embedded Mouse Inflammatory bowel disease tissue labeling CXCL9 with ab320827 at 1/1000 (0.488 ug/ml) dilution, followed by a ready to use LeicaDS9800 (Bond™ Polymer Refine Detection).

Positive staining observed on immune cells in a mouse colon sample from an inflammatory bowel disease model (Dinitrobenzene sulfonic acid (DNBS)-induced model) (PMID : 34964822).
The section was incubated with ab320827 for 30 mins at room temperature.
The immunostaining was performed on a Leica Biosystems BOND® RX instrument
Incubate slides with 3% Hydrogen Peroxide for 10 mins at room temperature after secondary antibody incubation to reduce the background

Counterstained with Hematoxylin.

Secondary antibody only control : Secondary antibody is a ready to use LeicaDS9800 (Bond™ Polymer Refine Detection).

Heat mediated antigen retrieval was performed with Tris-EDTA buffer (pH 9.0, Epitope Retrieval Solution2) for 20 mins

Western blot - Anti-CXCL9 antibody [EPR28968-26] - BSA and Azide free (AB320828)
  • WB

Supplier Data

Western blot - Anti-CXCL9 antibody [EPR28968-26] - BSA and Azide free (AB320828)

This data was developed using ab320827, the same antibody clone in a different buffer formulation.

Blocking and diluting buffer and concentration : 5% NFDM/TBST.

The expression profile observed is consistent with what has been described in the literature (PMID : 2115167).

In Western blot, Anti-GAPDH antibody [EPR16891] - Loading Control (ab181602) staining at 1/200000 dilution.

All lanes:

Western blot - Anti-CXCL9 antibody [EPR28968-26] (<a href='/en-us/products/primary-antibodies/cxcl9-antibody-epr28968-26-ab320827'>ab320827</a>) at 1/1000 dilution

Lane 1:

Untreated RAW 264.7 (mouse abelson murine leukemia virus-induced tumor macrophage) whole cell lysate at 30 µg

Lane 2:

RAW 264.7 treated with 10ng/ml IFN gamma and 300ng/ml Brefeldin A/BFA for 8 hours whole cell lysate at 30 µg

Secondary

All lanes:

Western blot - Goat Anti-Rabbit IgG H&L (HRP) (<a href='/en-us/products/secondary-antibodies/goat-rabbit-igg-h-l-hrp-ab97051'>ab97051</a>) at 1/20000 dilution

Observed band size: 17 kDa,36 kDa

false

Exposure time: 81s

Key facts

Host species

Rabbit

Clonality

Monoclonal

Clone number

EPR28968-26

Isotype

IgG

Carrier free

Yes

Reacts with

Mouse

Applications

IHC-P, WB

applications

Immunogen

The exact immunogen used to generate this antibody is proprietary information.

Reactivity data

{ "title": "Reactivity Data", "filters": { "stats": ["", "Species", "Dilution Info", "Notes"], "tabs": { "all-applications": {"fullname" : "All Applications", "shortname": "All Applications"}, "WB" : {"fullname" : "Western blot", "shortname":"WB"}, "IHCP" : {"fullname" : "Immunohistochemistry (Formalin/PFA-fixed paraffin-embedded sections)", "shortname":"IHC-P"}, "ICCIF" : {"fullname" : "Immunocytochemistry/ Immunofluorescence", "shortname":"ICC/IF"}, "FlowCytIntra" : {"fullname" : "Flow Cytometry (Intracellular)", "shortname":"Flow Cyt (Intra)"} }, "product-promise": { "all": "all", "testedAndGuaranteed": "tested", "guaranteed": "expected", "predicted": "predicted", "notRecommended": "not-recommended" } }, "values": { "Mouse": { "WB-species-checked": "testedAndGuaranteed", "WB-species-dilution-info": "", "WB-species-notes": "<p></p>", "IHCP-species-checked": "testedAndGuaranteed", "IHCP-species-dilution-info": "", "IHCP-species-notes": "<p></p> Perform heat-mediated antigen retrieval with Tris/EDTA buffer pH 9.0 before commencing with IHC staining protocol.", "ICCIF-species-checked": "notRecommended", "ICCIF-species-dilution-info": "", "ICCIF-species-notes": "<p></p>", "FlowCytIntra-species-checked": "notRecommended", "FlowCytIntra-species-dilution-info": "", "FlowCytIntra-species-notes": "<p></p>" } } }

Product details

ab320828 is the carrier-free version of ab320827.

Patented technology
Our RabMAb® technology is a patented hybridoma-based technology for making rabbit monoclonal antibodies. For details on our patents, please refer to RabMAb® patents.

What are the advantages of a recombinant monoclonal antibody?
This product is a recombinant monoclonal antibody, which offers several advantages including:

  • - High batch-to-batch consistency and reproducibility
  • - Improved sensitivity and specificity
  • - Long-term security of supply
  • - Animal-free batch production

For more information, read more on recombinant antibodies.

Conjugation ready
Our carrier-free antibodies are typically supplied in a PBS-only formulation, purified and free of BSA, sodium azide and glycerol. This conjugation-ready format is designed for use with fluorochromes, metal isotopes, oligonucleotides, and enzymes, which makes them ideal for antibody labelling, functional and cell-based assays, flow-based assays (e.g. mass cytometry) and Multiplex Imaging applications.

Use our conjugation kits for antibody conjugates that are ready-to-use in as little as 20 minutes with 1 minute hands-on-time and 100% antibody recovery: available for fluorescent dyes, HRP, biotin and gold.

Compatibility
This product is compatible with the Maxpar® Antibody Labeling Kit from Fluidigm, without the need for antibody preparation. Maxpar® is a trademark of Fluidigm Canada Inc.

Properties and storage information

Form
Liquid
Purification technique
Affinity purification Protein A
Storage buffer
pH: 7.2 - 7.4 Constituents: PBS
Shipped at conditions
Blue Ice
Appropriate short-term storage conditions
+4°C
Appropriate long-term storage conditions
+4°C

Supplementary information

This supplementary information is collated from multiple sources and compiled automatically.

CXCL9 also known as MIG (monokine induced by gamma interferon) is a small cytokine protein with a molecular weight of approximately 13 kDa. CXCL9 exhibits strong chemotactic properties and is secreted by various cells including endothelial cells macrophages and fibroblasts upon stimulation by interferon-gamma. Its expression primarily occurs in inflamed tissues and is associated with immune responses. Researchers often use tools like a CXCL9 ELISA kit or CXCL9 test to measure its expression levels in biological samples aiding in understanding its role in various conditions.
Biological function summary

This cytokine plays a pivotal role in the immune system by regulating leukocyte trafficking. CXCL9 exerts its function through binding to the CXCR3 receptor attracting T cells towards sites of inflammation or infection. This interaction is significant in mediating immune surveillance and host defense. CXCL9 does not form part of a larger protein complex but its chemokine activity is critical for immune system coordination. Scientific studies often highlight its involvement through CXCL9 function and expression analysis.

Pathways

CXCL9 significantly influences the chemokine signaling pathway and the Th1-type adaptive immune response. Within these pathways it interacts closely with other chemokines like CXCL10 and CXCL11 which also bind to the CXCR3 receptor. These pathways highlight the coordinated mobilization of T cells during immune challenges and inflammation emphasizing how CXCL9 is often examined alongside these related chemokines in research settings.

CXCL9 is notably associated with autoimmune diseases such as rheumatoid arthritis and inflammatory conditions like psoriasis. Its elevated expression is often observed in affected tissues contributing to disease pathogenesis through T cell migration and activation. In these contexts CXCL9 is frequently examined alongside other pro-inflammatory cytokines such as interferon-gamma and TNF-alpha which are known to modulate its expression and activity impacting disease progression and therapeutic strategies.

Product protocols

For this product, it's our understanding that no specific protocols are required. You can visit:

Target data

May be a cytokine that affects the growth, movement, or activation state of cells that participate in immune and inflammatory response.
See full target information Cxcl9

Product promise

We are committed to supporting your work with high-quality reagents, and we're here for you every step of the way. In the unlikely event that one of our products does not perform as expected, you're protected by our Product Promise.
For full details, please see our Terms & Conditions

Please note: All products are 'FOR RESEARCH USE ONLY. NOT FOR USE IN DIAGNOSTIC OR THERAPEUTIC PROCEDURES'.

For licensing inquiries, please contact partnerships@abcam.com