JavaScript is disabled in your browser. Please enable JavaScript to view this website.
AB245982

Anti-CXCR2 antibody [EPR22301-103] - BSA and Azide free

Be the first to review this product! Submit a review

|

(2 Publications)

Rabbit Recombinant Monoclonal CXCR2 antibody. Carrier free. Suitable for IHC-P and reacts with Human samples. Cited in 2 publications.

View Alternative Names

CD182, IL8RB, CXCR2, C-X-C chemokine receptor type 2, CXC-R2, CXCR-2, CDw128b, GRO/MGSA receptor, High affinity interleukin-8 receptor B, IL-8 receptor type 2, IL-8R B

4 Images
Immunohistochemistry (Formalin/PFA-fixed paraffin-embedded sections) - Anti-CXCR2 antibody [EPR22301-103] - BSA and Azide free (AB245982)
  • IHC-P

Unknown

Immunohistochemistry (Formalin/PFA-fixed paraffin-embedded sections) - Anti-CXCR2 antibody [EPR22301-103] - BSA and Azide free (AB245982)

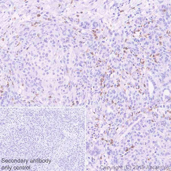
Immunohistochemical analysis of paraffin-embedded human gastric adenocarcinoma tissue labeling CXCR2 using ab225732 at 1/2000 dilution, followed by a ready to use Goat Anti-Rabbit IgG H&L (HRP) secondary antibody. Positive staining in stromal cells of human gastric adenocarcinoma (PMID : 28575019) is observed. Counter stained with Hematoxylin.

Secondary antibody only control : Used PBS instead of primary antibody, secondary antibody is a ready to use Goat Anti-Rabbit IgG H&L (HRP) secondary antibody.

This data was developed using the same antibody clone in a different buffer formulation containing PBS, BSA, glycerol, and sodium azide (ab225732).

Perform heat mediated antigen retrieval with Tris/EDTA buffer pH 9.0 before commencing with IHC staining protocol.

Immunohistochemistry (Formalin/PFA-fixed paraffin-embedded sections) - Anti-CXCR2 antibody [EPR22301-103] - BSA and Azide free (AB245982)
  • IHC-P

Unknown

Immunohistochemistry (Formalin/PFA-fixed paraffin-embedded sections) - Anti-CXCR2 antibody [EPR22301-103] - BSA and Azide free (AB245982)

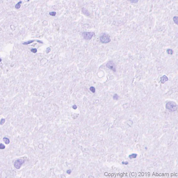
Immunohistochemical analysis of paraffin-embedded human cerebrum tissue labeling CXCR2 using ab225732 at 1/2000 dilution, followed by a ready to use Goat Anti-Rabbit IgG H&L (HRP) secondary antibody. Negative control : No staining on human cerebrum (PMID : 28529637) is observed. Counter stained with Hematoxylin.

Secondary antibody only control : Used PBS instead of primary antibody, secondary antibody is a ready to use Goat Anti-Rabbit IgG H&L (HRP) secondary antibody.

This data was developed using the same antibody clone in a different buffer formulation containing PBS, BSA, glycerol, and sodium azide (ab225732).

Perform heat mediated antigen retrieval with Tris/EDTA buffer pH 9.0 before commencing with IHC staining protocol.

Immunohistochemistry (Formalin/PFA-fixed paraffin-embedded sections) - Anti-CXCR2 antibody [EPR22301-103] - BSA and Azide free (AB245982)
  • IHC-P

Unknown

Immunohistochemistry (Formalin/PFA-fixed paraffin-embedded sections) - Anti-CXCR2 antibody [EPR22301-103] - BSA and Azide free (AB245982)

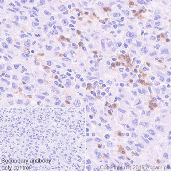
Immunohistochemical analysis of paraffin-embedded human spleen tissue labeling CXCR2 using ab225732 at 1/2000 dilution, followed by a ready to use Goat Anti-Rabbit IgG H&L (HRP) secondary antibody. Positive staining in neutrophils of human spleen (PMID : 29661142) is observed. Counter stained with Hematoxylin.

Secondary antibody only control : Used PBS instead of primary antibody, secondary antibody is a ready to use Goat Anti-Rabbit IgG H&L (HRP) secondary antibody.

This data was developed using the same antibody clone in a different buffer formulation containing PBS, BSA, glycerol, and sodium azide (ab225732).

Perform heat mediated antigen retrieval with Tris/EDTA buffer pH 9.0 before commencing with IHC staining protocol.

Immunohistochemistry (Formalin/PFA-fixed paraffin-embedded sections) - Anti-CXCR2 antibody [EPR22301-103] - BSA and Azide free (AB245982)
  • IHC-P

Unknown

Immunohistochemistry (Formalin/PFA-fixed paraffin-embedded sections) - Anti-CXCR2 antibody [EPR22301-103] - BSA and Azide free (AB245982)

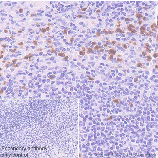
Immunohistochemical analysis of paraffin-embedded human adenocarcinoma of pancreas tissue labeling CXCR2 using ab225732 at 1/2000 dilution, followed by a ready to use Goat Anti-Rabbit IgG H&L (HRP) secondary antibody. Positive staining inn stromal cells of human adenocarcinoma of pancreas (PMID : 27265504) is observed. Counter stained with Hematoxylin.

Secondary antibody only control : Used PBS instead of primary antibody, secondary antibody is a ready to use Goat Anti-Rabbit IgG H&L (HRP) secondary antibody.

This data was developed using the same antibody clone in a different buffer formulation containing PBS, BSA, glycerol, and sodium azide (ab225732).

Perform heat mediated antigen retrieval with Tris/EDTA buffer pH 9.0 before commencing with IHC staining protocol.

  • Unconjugated

    Anti-CXCR2 antibody [EPR22301-103]

  • 665 Alexa Fluor® 647

    Alexa Fluor® 647 Anti-CXCR2 antibody [EPR22301-103]

  • 660 APC

    APC Anti-CXCR2 antibody [EPR22301-103]

  • 519 Alexa Fluor® 488

    Alexa Fluor® 488 Anti-CXCR2 antibody [EPR22301-103]

  • 617 Alexa Fluor® 594

    Alexa Fluor® 594 Anti-CXCR2 antibody [EPR22301-103]

  • 578 PE

    PE Anti-CXCR2 antibody [EPR22301-103]

  • 565 Alexa Fluor® 555

    Alexa Fluor® 555 Anti-CXCR2 antibody [EPR22301-103]

  • 775 Alexa Fluor® 750

    Alexa Fluor® 750 Anti-CXCR2 antibody [EPR22301-103]

Key facts

Host species

Rabbit

Clonality

Monoclonal

Clone number

EPR22301-103

Isotype

IgG

Carrier free

Yes

Reacts with

Human

Applications

IHC-P

applications

Immunogen

The exact immunogen used to generate this antibody is proprietary information.

Reactivity data

{ "title": "Reactivity Data", "filters": { "stats": ["", "Species", "Dilution Info", "Notes"], "tabs": { "all-applications": {"fullname" : "All Applications", "shortname": "All Applications"}, "IP" : {"fullname" : "Immunoprecipitation", "shortname":"IP"}, "FlowCyt" : {"fullname" : "Flow Cytometry", "shortname":"Flow Cyt"}, "WB" : {"fullname" : "Western blot", "shortname":"WB"}, "ICCIF" : {"fullname" : "Immunocytochemistry/ Immunofluorescence", "shortname":"ICC/IF"}, "IHCP" : {"fullname" : "Immunohistochemistry (Formalin/PFA-fixed paraffin-embedded sections)", "shortname":"IHC-P"} }, "product-promise": { "all": "all", "testedAndGuaranteed": "tested", "guaranteed": "expected", "predicted": "predicted", "notRecommended": "not-recommended" } }, "values": { "Human": { "IP-species-checked": "notRecommended", "IP-species-dilution-info": "", "IP-species-notes": "<p></p>", "FlowCyt-species-checked": "notRecommended", "FlowCyt-species-dilution-info": "", "FlowCyt-species-notes": "<p></p>", "WB-species-checked": "notRecommended", "WB-species-dilution-info": "", "WB-species-notes": "<p></p>", "ICCIF-species-checked": "notRecommended", "ICCIF-species-dilution-info": "", "ICCIF-species-notes": "<p></p>", "IHCP-species-checked": "testedAndGuaranteed", "IHCP-species-dilution-info": "", "IHCP-species-notes": "<p></p> Perform heat-mediated antigen retrieval with Tris/EDTA buffer pH 9.0 before commencing with IHC staining protocol." } } }

Product details

ab245982 is the carrier-free version of ab225732.

Patented technology
Our RabMAb® technology is a patented hybridoma-based technology for making rabbit monoclonal antibodies. For details on our patents, please refer to RabMAb® patents.

What are the advantages of a recombinant monoclonal antibody?
This product is a recombinant monoclonal antibody, which offers several advantages including:

  • - High batch-to-batch consistency and reproducibility
  • - Improved sensitivity and specificity
  • - Long-term security of supply
  • - Animal-free batch production

For more information, read more on recombinant antibodies.

Conjugation ready
Our carrier-free antibodies are typically supplied in a PBS-only formulation, purified and free of BSA, sodium azide and glycerol. This conjugation-ready format is designed for use with fluorochromes, metal isotopes, oligonucleotides, and enzymes, which makes them ideal for antibody labelling, functional and cell-based assays, flow-based assays (e.g. mass cytometry) and Multiplex Imaging applications.

Use our conjugation kits for antibody conjugates that are ready-to-use in as little as 20 minutes with 1 minute hands-on-time and 100% antibody recovery: available for fluorescent dyes, HRP, biotin and gold.

Compatibility
This product is compatible with the Maxpar® Antibody Labeling Kit from Fluidigm, without the need for antibody preparation. Maxpar® is a trademark of Fluidigm Canada Inc.

Properties and storage information

Form
Liquid
Purification technique
Affinity purification Protein A
Storage buffer
pH: 7.2 - 7.4 Constituents: PBS
Shipped at conditions
Blue Ice
Appropriate short-term storage conditions
+4°C
Appropriate long-term storage conditions
+4°C
Storage information
Do Not Freeze

Supplementary information

This supplementary information is collated from multiple sources and compiled automatically.

CXCR2 also called C-X-C chemokine receptor type 2 is a G protein-coupled receptor with a mass of approximately 53 kDa. It primarily binds to chemokines like CXCL1 CXCL2 CXCL3 CXCL5 CXCL6 CXCL7 and CXCL8 (also known as IL-8). CXCR2 is expressed in a variety of cells but is found especially in neutrophils where it plays a role in mediating immune response. Additionally it shows expression in some epithelial and endothelial cells contributing to its specialized functions in various tissues.
Biological function summary

CXCR2 plays significant roles in mediating inflammatory responses and is part of the chemokine receptor family. It functions by promoting chemotaxis of neutrophils to sites of inflammation infection or injury. This receptor operates with other chemokine receptors in the recruitment and migration of different immune cells helping coordinate an effective immune response. CXCR2 does not function alone and often interacts with other cell surface receptors and signaling molecules during immune responses.

Pathways

CXCR2 contributes prominently to the chemokine signaling pathway and the inflammatory response pathway. It interacts closely with proteins like CXCR1 another chemokine receptor to perform its functions. These interactions can activate downstream signaling cascades involving MAPK and PI3K pathways which are important for various cellular responses like proliferation survival and migration.

CXCR2 has associations with inflammatory diseases such as chronic obstructive pulmonary disease (COPD) and rheumatoid arthritis. In these conditions excessive activation or expression of CXCR2 can lead to pathological inflammation. CXCR2 coordinates with proteins like IL-8 contributing to the chemotaxis of inflammatory cells in affected tissues and this coordination often exacerbates the inflammatory process in these diseases.

Product protocols

For this product, it's our understanding that no specific protocols are required. You can visit:

Target data

Receptor for interleukin-8 which is a powerful neutrophil chemotactic factor (PubMed : 1891716). Binding of IL-8 to the receptor causes activation of neutrophils. This response is mediated via a G-protein that activates a phosphatidylinositol-calcium second messenger system (PubMed : 8662698). Binds to IL-8 with high affinity. Also binds with high affinity to CXCL3, GRO/MGSA and NAP-2.
See full target information CXCR2

Publications (2)

Recent publications for all applications. Explore the full list and refine your search

Transboundary and emerging diseases 2025:5586786 PubMed40607128

2025

Molecular and Histological Identification of Bovine Papillomavirus 1, 2 and a Novel Genotype in Cutaneous Papillomas of Dairy Cattle in Taiwan.

Applications

Unspecified application

Species

Unspecified reactive species

Guan-Shiun Chen,Hue-Ying Chiou,Yen-Chen Chang,Hao-Ping Liu,Yu-I Pan,Ming-Yun Chan,Tsung-Ching Liu,Ming-Yuan Chia,Chienjin Huang,Jacky Peng-Wen Chan,Chia-Yu Chang

Nature communications 15:9949 PubMed39550375

2024

Single cell and spatial transcriptomics highlight the interaction of club-like cells with immunosuppressive myeloid cells in prostate cancer.

Applications

Unspecified application

Species

Unspecified reactive species

Antti Kiviaho,Sini K Eerola,Heini M L Kallio,Maria K Andersen,Miina Hoikka,Aliisa M Tiihonen,Iida Salonen,Xander Spotbeen,Alexander Giesen,Charles T A Parker,Sinja Taavitsainen,Olli Hantula,Mikael Marttinen,Ismaïl Hermelo,Mazlina Ismail,Elise Midtbust,Maximilian Wess,Wout Devlies,Abhibhav Sharma,Sebastian Krossa,Tomi Häkkinen,Ebrahim Afyounian,Katy Vandereyken,Sam Kint,Juha Kesseli,Teemu Tolonen,Teuvo L J Tammela,Trond Viset,Øystein Størkersen,Guro F Giskeødegård,Morten B Rye,Teemu Murtola,Andrew Erickson,Leena Latonen,G Steven Bova,Ian G Mills,Steven Joniau,Johannes V Swinnen,Thierry Voet,Tuomas Mirtti,Gerhardt Attard,Frank Claessens,Tapio Visakorpi,Kirsi J Rautajoki,May-Britt Tessem,Alfonso Urbanucci,Matti Nykter
View all publications

Product promise

We are committed to supporting your work with high-quality reagents, and we're here for you every step of the way. In the unlikely event that one of our products does not perform as expected, you're protected by our Product Promise.
For full details, please see our Terms & Conditions

Please note: All products are 'FOR RESEARCH USE ONLY. NOT FOR USE IN DIAGNOSTIC OR THERAPEUTIC PROCEDURES'.

For licensing inquiries, please contact partnerships@abcam.com