JavaScript is disabled in your browser. Please enable JavaScript to view this website.
AB288446

Anti-CXCR3 antibody [EPR25373-32] - BSA and Azide free

4

(3 Reviews)

|

(0 Publication)

Anti-CXCR3 antibody [EPR25373-32] - BSA and Azide free (ab288446) is a rabbit recombinant monoclonal antibody provided in a PBS only buffer for easy conjugation detecting CXCR3 in Western Blot, IP, IHC-P. Suitable for Human, Mouse, Rat.

- BSA, sodium azide, and glycerol-free for easy conjugation
- Biophysical QC for unrivalled batch-batch consistency

View Alternative Names

CD183, GPR9, CXCR3, C-X-C chemokine receptor type 3, CXC-R3, CXCR-3, CKR-L2, G protein-coupled receptor 9, Interferon-inducible protein 10 receptor, IP-10 receptor

7 Images
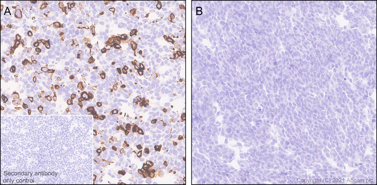
Immunohistochemistry (Formalin/PFA-fixed paraffin-embedded sections) - Anti-CXCR3 antibody [EPR25373-32] - BSA and Azide free (AB288446)
  • IHC-P

Lab

Immunohistochemistry (Formalin/PFA-fixed paraffin-embedded sections) - Anti-CXCR3 antibody [EPR25373-32] - BSA and Azide free (AB288446)

This data was developed using ab288437, the same antibody clone in a different buffer formulation.

Immunohistochemical analysis of paraffin-embedded (A) HEK-293T cells labelling CXCR3 with ab288437 at 1/500 (6.04 ug/ml) followed by a ready to use LeicaDS9800 (Bond®, Polymer Refine Detection) was used. Positive staining on (A) HEK-293T cells transfected with a CXCR3 expression vector containing a his tag. No staining on (B) HEK-293T cells transfected with empty vector containing a his tag. The section was incubated with ab288437 for 30 mins at room temperature.The immunostaining was performed on a Leica Biosystems BOND® RX instrument. Counterstained with Hematoxylin.

Secondary antibody only control : Secondary antibody is a ready to use LeicaDS9800 (Bond®, Polymer Refine Detection) was used.

Heat mediated antigen retrieval with Tris-EDTA buffer (pH 9.0, epitope retrieval solution2) for 20 mins

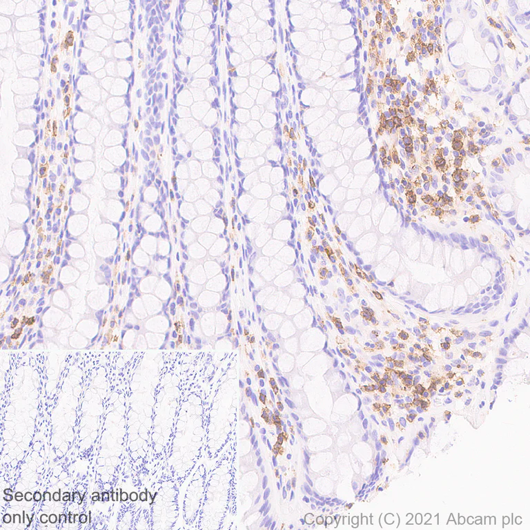
Immunohistochemistry (Formalin/PFA-fixed paraffin-embedded sections) - Anti-CXCR3 antibody [EPR25373-32] - BSA and Azide free (AB288446)
  • IHC-P

Lab

Immunohistochemistry (Formalin/PFA-fixed paraffin-embedded sections) - Anti-CXCR3 antibody [EPR25373-32] - BSA and Azide free (AB288446)

This data was developed using ab288437, the same antibody clone in a different buffer formulation.

Immunohistochemical analysis of paraffin-embedded Human colon tissue labelling CXCR3 with ab288437 at 1/500 (1.208 ug/ml) followed by a ready to use Leica DS9800 (BOND®, Polymer Refine Detection) was used. Positive staining on human colon. The section was incubated with ab288437 for 30 mins at room temperature. The immunostaining was performed on a Leica Biosystems BOND® RX instrument. Counterstained with Hematoxylin.

Secondary antibody only control : Secondary antibody is a ready to use Leica DS9800 (Bond®, Polymer Refine Detection) was used.

Heat mediated antigen retrieval with Tris-EDTA buffer (pH 9.0, epitope retrieval solution2) for 20 mins

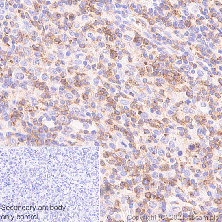
Immunohistochemistry (Formalin/PFA-fixed paraffin-embedded sections) - Anti-CXCR3 antibody [EPR25373-32] - BSA and Azide free (AB288446)
  • IHC-P

Lab

Immunohistochemistry (Formalin/PFA-fixed paraffin-embedded sections) - Anti-CXCR3 antibody [EPR25373-32] - BSA and Azide free (AB288446)

This data was developed using ab288437, the same antibody clone in a different buffer formulation.

Immunohistochemical analysis of paraffin-embedded Human tonsil tissue labelling CXCR3 with ab288437 at 1/500 (1.208 ug/ml) followed by a ready to use Leica DS9800 (BOND®, Polymer Refine Detection) was used. Positive staining on human tonsil (PMID : 10627472). The section was incubated with ab288437 for 30 mins at room temperature. The immunostaining was performed on a Leica Biosystems BOND® RX instrument. Counterstained with Hematoxylin.

Secondary antibody only control : Secondary antibody is a ready to use Leica DS9800 (BOND®, Polymer Refine Detection) was used.

Heat mediated antigen retrieval with Tris-EDTA buffer (pH 9.0, epitope retrieval solution2) for 20 mins

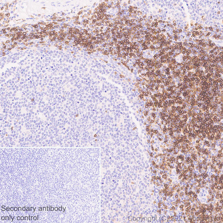
Immunohistochemistry (Formalin/PFA-fixed paraffin-embedded sections) - Anti-CXCR3 antibody [EPR25373-32] - BSA and Azide free (AB288446)
  • IHC-P

Lab

Immunohistochemistry (Formalin/PFA-fixed paraffin-embedded sections) - Anti-CXCR3 antibody [EPR25373-32] - BSA and Azide free (AB288446)

This data was developed using ab288437, the same antibody clone in a different buffer formulation.

Immunohistochemical analysis of paraffin-embedded human large B-cell lymphoma tissue labelling CXCR3 with ab288437 at 1/500 (1.208 ug/ml) followed by a ready to use Leica DS9800 (BOND®, Polymer Refine Detection) was used. Positive staining on human large B-cell lymphoma (PMID : 10627472). The section was incubated with ab288437 for 30 mins at room temperature. The immunostaining was performed on a Leica Biosystems BOND® RX instrument. Counterstained with Hematoxylin.

Secondary antibody only control : Secondary antibody is a ready to use Leica DS9800 (BOND®, Polymer Refine Detection) was used.

Heat mediated antigen retrieval with Tris-EDTA buffer (pH 9.0, epitope retrieval solution2) for 20 mins.

Immunoprecipitation - Anti-CXCR3 antibody [EPR25373-32] - BSA and Azide free (AB288446)
  • IP

Lab

Immunoprecipitation - Anti-CXCR3 antibody [EPR25373-32] - BSA and Azide free (AB288446)

This data was developed using ab288437, the same antibody clone in a different buffer formulation.

CXCR3 was immunoprecipitated from 0.35 mg HT-29 (human colorectal adenocarcinoma epithelial cell) whole cell lysate 10 ug with ab288437 at 1/30 dilution (2ug in 0.35mg lysates). Western blot was performed on the immunoprecipitate using ab288437 at 1/1000 dilution. VeriBlot for IP secondary antibody(HRP)(ab131366) was used at 1/5000 dilution.

Lane 1 : HT-29 (human colorectal adenocarcinoma epithelial cell) whole cell lysate 10 ug

Lane 2 : ab288437 IP in HT-29 whole cell lysate

Lane 3 : Rabbit monoclonal IgG (ab172730) instead of ab288437 in HT-29 whole cell lysate

Blocking and dilution buffer and concentration : 5% NFDM/TBST.

Exposure time : 3 minutes

All lanes:

Immunoprecipitation - Anti-CXCR3 antibody [EPR25373-32] (<a href='/en-us/products/primary-antibodies/cxcr3-antibody-epr25373-32-ab288437'>ab288437</a>)

Predicted band size: 40 kDa

false

Immunoprecipitation - Anti-CXCR3 antibody [EPR25373-32] - BSA and Azide free (AB288446)
  • IP

Lab

Immunoprecipitation - Anti-CXCR3 antibody [EPR25373-32] - BSA and Azide free (AB288446)

This data was developed using ab288437, the same antibody clone in a different buffer formulation.

CXCR3 was immunoprecipitated from 0.35 mg K-562 (human chronic myelogenous leukemia lymphoblast) whole cell lysate 10 ug with ab288437 at 1/30 dilution (2ug in 0.35mg lysates). Western blot was performed on the immunoprecipitate using ab288437 at 1/1000 dilution. VeriBlot for IP secondary antibody (HRP) (ab131366) was used at 1/5000 dilution.

Lane 1 : K-562 (human chronic myelogenous leukemia lymphoblast) whole cell lysate 10 ug

Lane 2 : ab288437 IP in K-562 whole cell lysate

Lane 3 : Rabbit monoclonal IgG (ab172730) instead of ab288437 in K-562 whole cell lysate

Blocking and dilution buffer and concentration : 5% NFDM/TBST.

Exposure time : 3 minutes

All lanes:

Immunoprecipitation - Anti-CXCR3 antibody [EPR25373-32] (<a href='/en-us/products/primary-antibodies/cxcr3-antibody-epr25373-32-ab288437'>ab288437</a>)

Predicted band size: 40 kDa

false

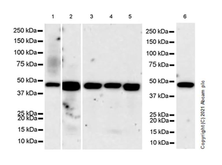
Western blot - Anti-CXCR3 antibody [EPR25373-32] - BSA and Azide free (AB288446)
  • WB

Lab

Western blot - Anti-CXCR3 antibody [EPR25373-32] - BSA and Azide free (AB288446)

This data was developed using ab288437, the same antibody clone in a different buffer formulation.

Blocking and diluting buffer and concentration :

Exposure time : 3 minutes

All lanes:

Western blot - Anti-CXCR3 antibody [EPR25373-32] (<a href='/en-us/products/primary-antibodies/cxcr3-antibody-epr25373-32-ab288437'>ab288437</a>) at 1/1000 dilution

Lane 1:

Human tonsil tissue lysate at 20 µg

Lane 2:

K-562 (human chronic myelogenous leukemia lymphoblast) whole cell lysate at 20 µg

Lane 3:

EL4 (mouse lymphoma T lymphocyte) whole cell lysate at 20 µg

Lane 4:

AR42J (rat pancreatic tumor epithelial cell) whole cell lysate at 20 µg

Lane 5:

GH3 (rat pituitary gland tumor epithelial cell) whole cell lysate at 20 µg

Lane 6:

Mouse thymus tissue lysate at 20 µg

Secondary

Lane 1:

Western blot - Goat Anti-Rabbit IgG H&L (HRP) (<a href='/en-us/products/secondary-antibodies/goat-rabbit-igg-h-l-hrp-ab97051'>ab97051</a>) at 1/2000 dilution

Lanes 2 - 6:

Western blot - Goat Anti-Rabbit IgG H&L (HRP) (<a href='/en-us/products/secondary-antibodies/goat-rabbit-igg-h-l-hrp-ab97051'>ab97051</a>) at 1/20000 dilution

Predicted band size: 40 kDa

Observed band size: 46 kDa

false

Key facts

Host species

Rabbit

Clonality

Monoclonal

Clone number

EPR25373-32

Isotype

IgG

Carrier free

Yes

Reacts with

Human, Rat, Mouse

Applications

IP, IHC-P, WB

applications

Immunogen

The exact immunogen used to generate this antibody is proprietary information.

Specificity

IHC application does not react with Mouse and Rat species.

Reactivity data

{ "title": "Reactivity Data", "filters": { "stats": ["", "Species", "Dilution Info", "Notes"], "tabs": { "all-applications": {"fullname" : "All Applications", "shortname": "All Applications"}, "IP" : {"fullname" : "Immunoprecipitation", "shortname":"IP"}, "WB" : {"fullname" : "Western blot", "shortname":"WB"}, "IHCP" : {"fullname" : "Immunohistochemistry (Formalin/PFA-fixed paraffin-embedded sections)", "shortname":"IHC-P"}, "ICCIF" : {"fullname" : "Immunocytochemistry/ Immunofluorescence", "shortname":"ICC/IF"}, "FlowCytIntra" : {"fullname" : "Flow Cytometry (Intracellular)", "shortname":"Flow Cyt (Intra)"} }, "product-promise": { "all": "all", "testedAndGuaranteed": "tested", "guaranteed": "expected", "predicted": "predicted", "notRecommended": "not-recommended" } }, "values": { "Human": { "IP-species-checked": "testedAndGuaranteed", "IP-species-dilution-info": "", "IP-species-notes": "<p></p>", "WB-species-checked": "testedAndGuaranteed", "WB-species-dilution-info": "", "WB-species-notes": "<p></p>", "IHCP-species-checked": "testedAndGuaranteed", "IHCP-species-dilution-info": "", "IHCP-species-notes": "<p>IHC application does not react with Mouse and Rat species.</p>", "ICCIF-species-checked": "notRecommended", "ICCIF-species-dilution-info": "", "ICCIF-species-notes": "<p></p>", "FlowCytIntra-species-checked": "notRecommended", "FlowCytIntra-species-dilution-info": "", "FlowCytIntra-species-notes": "<p></p>" }, "Mouse": { "IP-species-checked": "guaranteed", "IP-species-dilution-info": "", "IP-species-notes": "", "WB-species-checked": "testedAndGuaranteed", "WB-species-dilution-info": "", "WB-species-notes": "<p></p>", "IHCP-species-checked": "notRecommended", "IHCP-species-dilution-info": "", "IHCP-species-notes": "<p>IHC application does not react with Mouse and Rat species.</p>", "ICCIF-species-checked": "notRecommended", "ICCIF-species-dilution-info": "", "ICCIF-species-notes": "<p></p>", "FlowCytIntra-species-checked": "notRecommended", "FlowCytIntra-species-dilution-info": "", "FlowCytIntra-species-notes": "<p></p>" }, "Rat": { "IP-species-checked": "guaranteed", "IP-species-dilution-info": "", "IP-species-notes": "", "WB-species-checked": "testedAndGuaranteed", "WB-species-dilution-info": "", "WB-species-notes": "<p></p>", "IHCP-species-checked": "notRecommended", "IHCP-species-dilution-info": "", "IHCP-species-notes": "<p>IHC application does not react with Mouse and Rat species.</p>", "ICCIF-species-checked": "notRecommended", "ICCIF-species-dilution-info": "", "ICCIF-species-notes": "<p></p>", "FlowCytIntra-species-checked": "notRecommended", "FlowCytIntra-species-dilution-info": "", "FlowCytIntra-species-notes": "" }, "Transfected cell line": { "IP-species-checked": "notRecommended", "IP-species-dilution-info": "", "IP-species-notes": "", "WB-species-checked": "notRecommended", "WB-species-dilution-info": "", "WB-species-notes": "", "IHCP-species-checked": "testedAndGuaranteed", "IHCP-species-dilution-info": "", "IHCP-species-notes": "<p>IHC application does not react with Mouse and Rat species.</p>", "ICCIF-species-checked": "notRecommended", "ICCIF-species-dilution-info": "", "ICCIF-species-notes": "", "FlowCytIntra-species-checked": "notRecommended", "FlowCytIntra-species-dilution-info": "", "FlowCytIntra-species-notes": "" } } }

Product details

What is this antibody validated in?
Anti-CXCR3 antibody [EPR25373-32] - BSA and Azide free (ab288446) is a rabbit recombinant monoclonal antibody and is validated for use in Western Blot (WB), Immunoprecipitation (IP), Immunohistochemistry (IHC-P) in Human, Mouse, Rat samples.

What is the molecular weight of CXCR3?
Anti-CXCR3 [EPR25373-32] - BSA and Azide free (ab288446) specifically detects a band for CXCR3 (UniProt: P49682) at a molecular weight of 40kDa.

Other related products
We have a range of other formats of antibody clone [EPR25373-32] also available for your convenience: ab288437, Carrier free - ab288446, PE - ab317883, APC - ab317919, Alexa Fluor® 488 - ab317959, Alexa Fluor® 594 - ab318000, Alexa Fluor® 555 - ab318042, Alexa Fluor® 647 - ab318084, Alexa Fluor® 750 - ab321546

Patented technology
Our RabMAb® technology is a patented hybridoma-based technology for making rabbit monoclonal antibodies. For details on our patents, please refer to RabMAb® patents.

What are the advantages of a recombinant monoclonal antibody?
This product is a recombinant monoclonal antibody, which offers several advantages including:

  • - High batch-to-batch consistency and reproducibility
  • - Improved sensitivity and specificity
  • - Long-term security of supply
  • - Animal-free batch production

For more information, read more on recombinant antibodies.

Conjugation ready
Our carrier-free antibodies are typically supplied in a PBS-only formulation, purified and free of BSA, sodium azide and glycerol. This conjugation-ready format is designed for use with fluorochromes, metal isotopes, oligonucleotides, and enzymes, which makes them ideal for antibody labelling, functional and cell-based assays, flow-based assays (e.g. mass cytometry) and Multiplex Imaging applications.

Use our conjugation kits for antibody conjugates that are ready-to-use in as little as 20 minutes with 1 minute hands-on-time and 100% antibody recovery: available for fluorescent dyes, HRP, biotin and gold.

Compatibility
This product is compatible with the Maxpar® Antibody Labeling Kit from Fluidigm, without the need for antibody preparation. Maxpar® is a trademark of Fluidigm Canada Inc.

Properties and storage information

Form
Liquid
Purification technique
Affinity purification Protein A
Storage buffer
pH: 7.2 - 7.4 Constituents: PBS
Shipped at conditions
Blue Ice
Appropriate short-term storage conditions
+4°C
Appropriate long-term storage conditions
+4°C

Supplementary information

This supplementary information is collated from multiple sources and compiled automatically.

The chemokine receptor CXCR3 also known as CD183 is a protein that plays an important role in immune responses. This receptor is a part of the G protein-coupled receptor (GPCR) family and weighs approximately 41 kDa. CXCR3 is expressed on activated T cells some B cells natural killer (NK) cells and certain subsets of dendritic cells. Its expression is mostly found in inflamed tissues and in conditions where the immune system is active such as infections or autoimmune diseases.
Biological function summary

CXCR3 is involved in directing the migration of immune cells to sites of inflammation. This receptor binds to specific chemokines—CXCL9 CXCL10 and CXCL11—that are produced in response to cytokines like IFN-gamma. CXCR3 does not function as part of a larger protein complex; instead it operates independently facilitating the trafficking and activation of its expressing cells. Its activity is pivotal in immune responses assisting in rapid mobilization and targeting of effector cells to needed areas.

Pathways

CXCR3 is a component of the chemokine signaling pathway which is important for leukocyte chemotaxis. Within this pathway CXCR3 interacts with other receptors and proteins that modulate immune responses such as CXCR4 and CCR5 which also mediate chemotactic migration of leukocytes. Moreover it plays a role in the Jak-STAT signaling pathway impacting gene transcription and cell survival particularly in response to inflammatory signals.

CXCR3 is closely associated with autoimmune diseases like multiple sclerosis and rheumatoid arthritis due to its role in inflammation and immune cell recruitment. The receptor is also involved in cancer where its dysregulation can impact tumor growth and metastasis. CXCR3 through its interaction with chemokines like CXCL10 can influence the tumor microenvironment by affecting the infiltration and function of immune cells. Understanding these interactions can provide insights into therapeutic strategies targeting CXCR3 in these conditions.

Product protocols

For this product, it's our understanding that no specific protocols are required. You can visit:

Target data

Isoform 1. Receptor for the C-X-C chemokine CXCL9, CXCL10 and CXCL11 and mediates the proliferation, survival and angiogenic activity of human mesangial cells (HMC) through a heterotrimeric G-protein signaling pathway (PubMed : 12782716). Binds to CCL21. Probably promotes cell chemotaxis response. Upon activation by PF4, induces activated T-lymphocytes migration mediated via downstream Ras/extracellular signal-regulated kinase (ERK) signaling.. Isoform 2. Receptor for the C-X-C chemokine CXCL4 and also mediates the inhibitory activities of CXCL9, CXCL10 and CXCL11 on the proliferation, survival and angiogenic activity of human microvascular endothelial cells (HMVEC) through a cAMP-mediated signaling pathway (PubMed : 12782716). Does not promote cell chemotaxis respons. Interaction with CXCL4 or CXCL10 leads to activation of the p38MAPK pathway and contributes to inhibition of angiogenesis. Overexpression in renal cancer cells down-regulates expression of the anti-apoptotic protein HMOX1 and promotes apoptosis.. Isoform 3. Mediates the activity of CXCL11.
See full target information CXCR3

Product promise

We are committed to supporting your work with high-quality reagents, and we're here for you every step of the way. In the unlikely event that one of our products does not perform as expected, you're protected by our Product Promise.
For full details, please see our Terms & Conditions

Please note: All products are 'FOR RESEARCH USE ONLY. NOT FOR USE IN DIAGNOSTIC OR THERAPEUTIC PROCEDURES'.

For licensing inquiries, please contact partnerships@abcam.com