JavaScript is disabled in your browser. Please enable JavaScript to view this website.
AB124824

Anti-CXCR4 antibody [UMB2]

4

(17 Reviews)

|

(238 Publications)

Anti-CXCR4 antibody [UMB2] (ab124824) is a rabbit monoclonal antibody detecting CXCR4 in Western Blot, Flow Cytometry (Intra), Flow Cytometry, IHC-P, IHC-Fr, ICC/IF. Suitable for Human, Mouse, Rat.

- Biophysical QC for unrivalled batch-batch consistency
- Over 230 publications

View Alternative Names

CD184, C-X-C chemokine receptor type 4, CXC-R4, CXCR-4, FB22, Fusin, HM89, LCR1, Leukocyte-derived seven transmembrane domain receptor, Lipopolysaccharide-associated protein 3, NPYRL, Stromal cell-derived factor 1 receptor, LESTR, LAP-3, LPS-associated protein 3, SDF-1 receptor, CXCR4

21 Images
Immunohistochemistry (Formalin/PFA-fixed paraffin-embedded sections) - Anti-CXCR4 antibody [UMB2] (AB124824)
  • IHC-P

Unknown

Immunohistochemistry (Formalin/PFA-fixed paraffin-embedded sections) - Anti-CXCR4 antibody [UMB2] (AB124824)

Immunohistochemical staining of paraffin embedded human bladder cancer with purified ab124824 at a working dilution of 1/500. The secondary antibody used is ab97051, a HRP-conjugated goat anti-rabbit IgG (H+L), at a dilution of 1/500. The sample is counter-stained with hematoxylin. Antigen retrieval was perfomed using Tris-EDTA buffer, pH 9.0. PBS was used instead of the primary antibody as the negative control, and is shown in the inset.

Immunocytochemistry/ Immunofluorescence - Anti-CXCR4 antibody [UMB2] (AB124824)
  • ICC/IF

PubMed

Immunocytochemistry/ Immunofluorescence - Anti-CXCR4 antibody [UMB2] (AB124824)

Characterization of UMB-2 (ab124824) by immunofluorescent staining of transfected cells. HEK-293 cells expressing CCR7 or CXCR4 were either not exposed or exposed to 100 ng/ml MIP-3 or 100 ng/ml SDF-1 for 30 min, subsequently fixed and immunofluorescently stained with 1 μg/ml anti-CCR7 {1188} or anti-CXCR4 {UMB-2} at a dilution of 1∶100. Note that UMB-2 detected prominent immunofluorescence at the level of the plasma membrane only in CXCR4- but not in CCR7-expressing cells, and that SDF-1 exposure induced a rapid translocation of CXCR4 receptor immunostaining from the plasma membrane into the cytosol. Representative results from one of three independent experiments are shown. Scale bar, 20 μm.

Fischer, T. et al PLoS One. 2008;3(12):e4069. doi: 10.1371/journal.pone.0004069. Epub 2008 Dec 31 Reproduced under the Creative Commons license http://creativecommons.org/licenses/by/4.0/

Immunohistochemistry (Formalin/PFA-fixed paraffin-embedded sections) - Anti-CXCR4 antibody [UMB2] (AB124824)
  • IHC-P

PubMed

Immunohistochemistry (Formalin/PFA-fixed paraffin-embedded sections) - Anti-CXCR4 antibody [UMB2] (AB124824)

Immunohistochemistry analysis of cryosections from carotid endarterectomy specimens labeling CXCR4 with ab124824 at 1/300 dilution. CXCR4 expression in a representative inflamed carotid plaque lesion. Brightfield micrographs showed brown chemoimmunoreactive CXCR4 and CD68 (macrophage) staining. Co-localized CXCR4 and CD68 expression was observed in these two adjacent sections.

Li X et al., European journal of nuclear medicine and molecular imaging. 45,4 (2018): 558-566. Fig 3. doi:10.1007/s00259-017-3831-0. Reproduced under the Creative Commons license http://creativecommons.org/licenses/by/4.0/

Flow Cytometry (Intracellular) - Anti-CXCR4 antibody [UMB2] (AB124824)
  • Flow Cyt (Intra)

Lab

Flow Cytometry (Intracellular) - Anti-CXCR4 antibody [UMB2] (AB124824)

Flow cytometry overlay histogram showing left Jurkat positive cells and right negative HepG2 stained with ab124824 (red line). The cells were fixed with 80% methanol (5 min) and then permeabilised with 0.1% PBS-Triton X-100 for 15 min. The cells were then incubated in 1x PBS containing 10% normal goat serum to block non-specific protein-protein interaction followed by the antibody (ab124824) (1x 106 in 100μl at 1.0μg/ml (1/1900)) for 30min at 22°C.

The secondary antibody Goat Anti-Rabbit IgG H&L (Alexa Fluor® 488) preadsorbed was incubated at 1/4000 for 30min at 22°C

Isotype control antibody (black line) was Recombinant Rabbit IgG, monoclonal [EPR25A] - Isotype Control used at the same concentration and conditions as the primary antibody. Unlabelled sample (blue line) was also used as a control.

Acquisition of >5000 events were collected using a 50 mW Blue laser (488nm) and 525/40 bandpass filter.

This antibody gave a positive signal in Jurkat Fixed with 4% formaldehyde (10 min) / permeabilised with 0.1% PBS-Triton X-100 for 15 min under the same conditions.

Immunohistochemistry (Frozen sections) - Anti-CXCR4 antibody [UMB2] (AB124824)
  • IHC-Fr

Lab

Immunohistochemistry (Frozen sections) - Anti-CXCR4 antibody [UMB2] (AB124824)

Immunohistochemical (Frozen) analysis of mouse E14.5 cerebrum labeling CXCR4 with ab124824 at 1/250 (10.8 μg/mL). Sections were fixed with 4% PFA and permeabilised with 0.2% Triton X-100. ab150077 AlexaFluor®488 Goat anti-Rabbit secondary at 1/1000 (2 μg/mL) was used as the secondary antibody. Nuclei were counterstained blue with DAPI. Heat mediated antigen retrieval was performed using sodium citrate buffer (10mM citrate pH 6.0 + 0.05% Tween-20).

Positive staining on mouse embryonic cerebrum.

Immunohistochemistry (Frozen sections) - Anti-CXCR4 antibody [UMB2] (AB124824)
  • IHC-Fr

Lab

Immunohistochemistry (Frozen sections) - Anti-CXCR4 antibody [UMB2] (AB124824)

Immunohistochemical (Frozen) analysis of rat E14.5 cerebrum labeling CXCR4 with ab124824 at 1/250 (10.8 μg/mL). Sections were fixed with 4% PFA and permeabilised with 0.2% Triton X-100. ab150077 AlexaFluor®488 Goat anti-Rabbit secondary at 1/1000 (2 μg/mL) was used as the secondary antibody. Nuclei were counterstained blue with DAPI. Heat mediated antigen retrieval was performed using sodium citrate buffer (10mM citrate pH 6.0 + 0.05% Tween-20).

Positive staining on rat embryonic cerebrum.

Immunohistochemistry (Formalin/PFA-fixed paraffin-embedded sections) - Anti-CXCR4 antibody [UMB2] (AB124824)
  • IHC-P

Lab

Immunohistochemistry (Formalin/PFA-fixed paraffin-embedded sections) - Anti-CXCR4 antibody [UMB2] (AB124824)

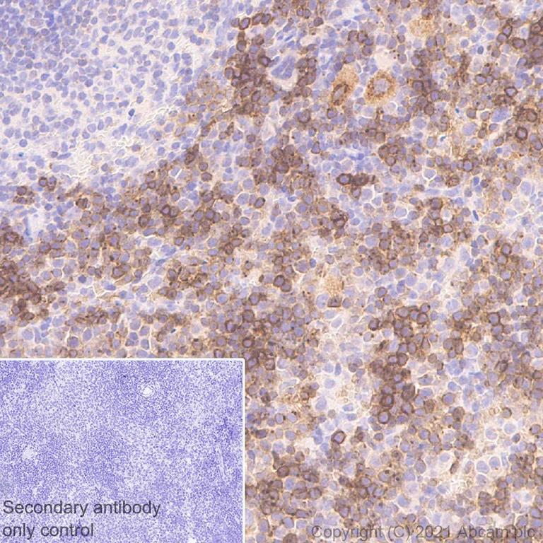
Immunohistochemical analysis of Paraffin-embedded sections Mouse spleen tissue labelling CXCR4 with ab124824 at 1/1000 dilution, followed by LeicaDS9800 (Bond™ Polymer Refine Detection). Cytoplasmic and membranous staining on mouse spleen tissue is observed. Counter stained with Hematoxylin. Secondary antibody only control : Used PBS instead of primary antibody, secondary antibody is LeicaDS9800 (Bond™ Polymer Refine Detection).

The section was incubated with ab124824 for 30 mins at room temperature.

The immunostaining was performed on a Leica Biosystems BOND® RX instrument

Heat mediated antigen retrieval with Tris-EDTA buffer (pH 9.0, epitope retrieval solution2) for 20 mins

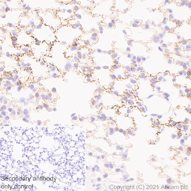
Immunohistochemistry (Formalin/PFA-fixed paraffin-embedded sections) - Anti-CXCR4 antibody [UMB2] (AB124824)
  • IHC-P

Lab

Immunohistochemistry (Formalin/PFA-fixed paraffin-embedded sections) - Anti-CXCR4 antibody [UMB2] (AB124824)

Immunohistochemical analysis of Paraffin-embedded sections Mouse lung tissue labelling CXCR4 with ab124824 at 1/1000 dilution, followed by LeicaDS9800 (Bond™ Polymer Refine Detection). Cytoplasmic and membranous staining on mouse lung tissue is observed. Counter stained with Hematoxylin. Secondary antibody only control : Used PBS instead of primary antibody, secondary antibody is LeicaDS9800 (Bond™ Polymer Refine Detection).

The section was incubated with ab124824 for 30 mins at room temperature.

The immunostaining was performed on a Leica Biosystems BOND® RX instrument

Heat mediated antigen retrieval with Tris-EDTA buffer (pH 9.0, epitope retrieval solution2) for 20 mins

Western blot - Anti-CXCR4 antibody [UMB2] (AB124824)
  • WB

PubMed

Western blot - Anti-CXCR4 antibody [UMB2] (AB124824)

Western blot analysis of the specificity of anti-CXCR4 antibodies. Membrane preparations from HEK-293 cells stably transfected to express either CCR7 or CXCR4 were separated on 10% SDS-polyacrylamide gels and blotted onto nitrocellulose membranes. Membranes were then incubated with affinity-purified 1 μg/ml anti-CCR7 {1188} or anti-CXCR4 {UMB-2} hybridoma supernatant at a dilution of 1∶100. Blots were developed using enhanced chemiluminescence. Note that UMB-2 detected a band of the expected molecular weight only in CXCR4- but not in CCR7-transfected cells. Two additional experiments gave similar results.

All lanes:

Western blot - Anti-CXCR4 antibody [UMB2] (ab124824)

Predicted band size: 39 kDa

false

Fischer, T. et al PLoS One. 2008;3(12):e4069. doi: 10.1371/journal.pone.0004069. Epub 2008 Dec 31. Reproduced under the Creative Commons license http://creativecommons.org/licenses/by/4.0/.

Western blot - Anti-CXCR4 antibody [UMB2] (AB124824)
  • WB

Unknown

Western blot - Anti-CXCR4 antibody [UMB2] (AB124824)

Blocking buffer : 5% NFDM/TBST

Dilution buffer : 5% NFDM/TBST

All lanes:

Western blot - Anti-CXCR4 antibody [UMB2] (ab124824) at 1/100 dilution

All lanes:

WI-38 cell lysate at 10 µg

Secondary

All lanes:

HRP goat anti-rabbit (H+L) at 1/1000 dilution

Predicted band size: 39 kDa

Observed band size: 43 kDa

false

Western blot - Anti-CXCR4 antibody [UMB2] (AB124824)
  • WB

AbReview39488****

Western blot - Anti-CXCR4 antibody [UMB2] (AB124824)

All lanes:

Western blot - Anti-CXCR4 antibody [UMB2] (ab124824) at 1/500 dilution

Lane 1:

HEK239 transfected with a CXCR4 (mouse) expression vector cell lysate at 100000 Cells

Lane 2:

HEK239 transfected with an empty expression vector cell lysate at 100000 Cells

Secondary

All lanes:

HRP-conjugated Goat anti-rabbit IgG polyclonal at 1/50000 dilution

Predicted band size: 39 kDa

Observed band size: 42 kDa,47 kDa

true

Exposure time: 10s

This image is courtesy of an anonymous Abreview

Immunocytochemistry/ Immunofluorescence - Anti-CXCR4 antibody [UMB2] (AB124824)
  • ICC/IF

Lab

Immunocytochemistry/ Immunofluorescence - Anti-CXCR4 antibody [UMB2] (AB124824)

Immunofluorescence staining of Jurkat cells with purified ab124824 at a working dilution of 1 in 250, counter-stained with DAPI. Tubulin was stained with mouse anti-tubulin at a dilution of 1/1000 (ab7291) and Alexa Fluor® 594 goat anti-mouse at a dilution of 1/500 (ab150120) . The secondary antibody was ab150077 Alexa Fluor® 488 goat anti rabbit, used at a dilution of 1 in 500. The cells were fixed in 4% PFA and permeabilized using 0.1% Triton X 100. The negative controls are shown in the bottom middle and right hand panels - for the first negative control, purified ab124824 was used at a dilution of 1/200 followed by an Alexa Fluor® 555 goat anti-mouse antibody at a dilution of 1/500 and for the second negative control mouse primary antibody (ab7291) and anti-rabbit secondary antibody (ab15007) were used.

Immunohistochemistry (Formalin/PFA-fixed paraffin-embedded sections) - Anti-CXCR4 antibody [UMB2] (AB124824)
  • IHC-P

Unknown

Immunohistochemistry (Formalin/PFA-fixed paraffin-embedded sections) - Anti-CXCR4 antibody [UMB2] (AB124824)

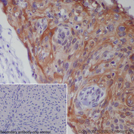
Unpurified ab124824, at 1/50 dilution, staining CXCR4 in paraffin-embedded Human ovarian adenocarcinoma tissue by immunohistochemistry.

Perform heat mediated antigen retrieval before commencing with IHC staining protocol.

Immunohistochemistry (Formalin/PFA-fixed paraffin-embedded sections) - Anti-CXCR4 antibody [UMB2] (AB124824)
  • IHC-P

Unknown

Immunohistochemistry (Formalin/PFA-fixed paraffin-embedded sections) - Anti-CXCR4 antibody [UMB2] (AB124824)

Unpurified ab124824, at 1/50 dilution, staining CXCR4 in paraffin-embedded Human tonsil tissue by immunohistochemistry.

Perform heat mediated antigen retrieval before commencing with IHC staining protocol.

Immunocytochemistry/ Immunofluorescence - Anti-CXCR4 antibody [UMB2] (AB124824)
  • ICC/IF

Unknown

Immunocytochemistry/ Immunofluorescence - Anti-CXCR4 antibody [UMB2] (AB124824)

ab124824 stained Jurkat cells. The cells were 100% methanol fixed for 5 minutes at -20°C and then incubated in 1%BSA / 10% normal goat serum / 0.3M glycine in 0.1% PBS-Tween for 1hour at room temperature to permeabilise the cells and block non-specific protein-protein interactions. The cells were then incubated with the antibody (ab124824 at 5ug/ml) overnight at +4°C. The secondary antibody (pseudo-colored green) was Goat Anti-Rabbit IgG H&L (Alexa Fluor® 488) preadsorbed (ab150081) used at a 1/1000 dilution for 1hour at room temperature. Alexa Fluor® 594 WGA was used to label plasma membranes (pseudo-colored red) at a 1/200 dilution for 1hour at room temperature. DAPI was used to stain the cell nuclei (pseudo-colored blue) at a concentration of 1.43μM for 1hour at room temperature.

Flow Cytometry (Intracellular) - Anti-CXCR4 antibody [UMB2] (AB124824)
  • Flow Cyt (Intra)

Unknown

Flow Cytometry (Intracellular) - Anti-CXCR4 antibody [UMB2] (AB124824)

Intracellular Flow Cytometry analysis of Jurkat (human T cell leukemia T lymphocyte) cells labeling CXCR4 with purified ab124824 at 1/260 dilution (10 μg/ml) - Red. Cells were fixed with 4% paraformaldehyde . A Goat anti rabbit IgG (Alexa Fluor® 488, ab150077) secondary antibody was used at 1/2000 dilution. Isotype control - Rabbit monoclonal IgG (ab172730) - Black. Unlabeled control - Blue. Untreated cells - Green

Immunohistochemistry (Formalin/PFA-fixed paraffin-embedded sections) - Anti-CXCR4 antibody [UMB2] (AB124824)
  • IHC-P

PubMed

Immunohistochemistry (Formalin/PFA-fixed paraffin-embedded sections) - Anti-CXCR4 antibody [UMB2] (AB124824)

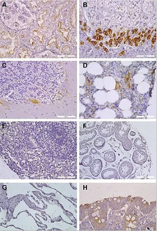
Immunohistochemical detection of CXCR4 expression in human tissue specimens of normal appearance

CXCR4 was detected in the indicated PFA-fixed, paraffin-embedded human tissues using ab124824 at 5 μ/ml overnight at 4°C.

A, kidney. B, adrenal gland. C, cerebellum. D, bone marrow, brown staining : CXCR4, green staining : CD45. E, Spleen. F, testis. G, lung. H, colon.

Costa, M.J. et al PLoS One. 2018 Mar 19;13(3):e0194688. doi: 10.1371/journal.pone.0194688. eCollection 2018 Reproduced under the Creative Commons license http://creativecommons.org/licenses/by/4.0/

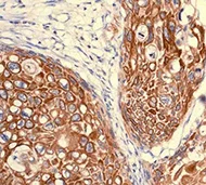
Immunohistochemistry (Formalin/PFA-fixed paraffin-embedded sections) - Anti-CXCR4 antibody [UMB2] (AB124824)
  • IHC-P

Unknown

Immunohistochemistry (Formalin/PFA-fixed paraffin-embedded sections) - Anti-CXCR4 antibody [UMB2] (AB124824)

Unpurified ab124824, at 1/50 dilution, staining CXCR4 in paraffin-embedded Human cervical carcinoma tissue by immunohistochemistry.

Perform heat mediated antigen retrieval before commencing with IHC staining protocol.

Flow Cytometry (Intracellular) - Anti-CXCR4 antibody [UMB2] (AB124824)
  • Flow Cyt (Intra)

Lab

Flow Cytometry (Intracellular) - Anti-CXCR4 antibody [UMB2] (AB124824)

Flow cytometric analysis of 4% paraformaldehyde fixed 90% methanol permeabilized HEK-293T (human embryonic kidney) cells transfected with a mix of human CXCR1, CXCR2, CXCR3 and CXCR5 expression vector containing a myc-his tag (Left) / HEK-293T transfected with a human CXCR4 expression vector containing a myc-his tag (Right) labelling CXCR4 with ab124824 at 1/2000 dilution (0.1μg)/ Left and Right. A Goat Anti-Rabbit IgG (Alexa Fluor® 488, ab150081) at 1/3000 dilution was used as the secondary antibody. No cross-reactivity with CXCR1/CXCR2/CXCR3/CXCR5.

Western blot - Anti-CXCR4 antibody [UMB2] (AB124824)
  • WB

Unknown

Western blot - Anti-CXCR4 antibody [UMB2] (AB124824)

Running buffer : MOPS.

Conditions : denatured/reduced.

This blot was produced using a 4-12% Bis-Tris gel under the MOPS buffer system. The gel was run at 200V for 60 minutes before being transferred onto a Nitrocellulose membrane at 30V for 70 minutes. The membrane was then blocked for an hour before being incubated with ab124824 (anti-CXCR4) and ab7671 (loading ctrl), overnight at 4°C. Before imaging, antibody binding was detected using labelled goat anti-rabbit (H+L; green) and labelled goat anti-mouse (H+L; red) at 1 : 10,000 dilutions for 1hr at room temperature.

All lanes:

Western blot - Anti-CXCR4 antibody [UMB2] (ab124824)

Lane 1:

CHO (negative control) at 20 µg

Lane 2:

Jurkat whole cell at 20 µg

Lane 3:

Jurkat membrane at 20 µg

Lane 4:

Jurkat nuclear (negative control) at 20 µg

Secondary

All lanes:

Goat anti-rabbit at 1/10000 dilution

Predicted band size: 39 kDa

Observed band size: 41 kDa

false

Western blot - Anti-CXCR4 antibody [UMB2] (AB124824)
  • WB

Lab

Western blot - Anti-CXCR4 antibody [UMB2] (AB124824)

Blocking and diluting buffer : 5% NFDM/TBST

We suggest to not boil the sample after lysis.

All lanes:

Western blot - Anti-CXCR4 antibody [UMB2] (ab124824) at 1/1000 dilution

Lane 1:

HeLa (Human cervix adenocarcinoma epithelial cell) whole cell lysates at 15 µg

Lanes 2 - 3:

Jurkat (Human T cell leukemia T lymphocyte) whole cell lysates at 15 µg

Secondary

All lanes:

Western blot - Goat Anti-Rabbit IgG H&L (HRP) (<a href='/en-us/products/secondary-antibodies/goat-rabbit-igg-h-l-hrp-ab97051'>ab97051</a>) at 1/20000 dilution

Predicted band size: 39 kDa

Observed band size: 43 kDa

false

Exposure time: 1s

Key facts

Host species

Rabbit

Clonality

Monoclonal

Clone number

UMB2

Isotype

IgG

Carrier free

No

Reacts with

Mouse, Rat, Human

Applications

IHC-P, WB, Flow Cyt (Intra), ICC/IF, IHC-Fr

applications

Immunogen

The exact immunogen used to generate this antibody is proprietary information.

Specificity

This antibody recognizes only the non-phosphorylated C-terminus of CXCR4 (residues 341-352). Phosphorylation of S346/347 blocks antibody binding. PMID: 24154522, 25451233.

We recommend dephosphorylation of samples using lambda phosphatase treatment. Please refer to application notes.

Reactivity data

{ "title": "Reactivity Data", "filters": { "stats": ["", "Species", "Dilution Info", "Notes"], "tabs": { "all-applications": {"fullname" : "All Applications", "shortname": "All Applications"}, "IHCP" : {"fullname" : "Immunohistochemistry (Formalin/PFA-fixed paraffin-embedded sections)", "shortname":"IHC-P"}, "WB" : {"fullname" : "Western blot", "shortname":"WB"}, "ICCIF" : {"fullname" : "Immunocytochemistry/ Immunofluorescence", "shortname":"ICC/IF"}, "IHCFr" : {"fullname" : "Immunohistochemistry (Frozen sections)", "shortname":"IHC-Fr"}, "FlowCytIntra" : {"fullname" : "Flow Cytometry (Intracellular)", "shortname":"Flow Cyt (Intra)"} }, "product-promise": { "all": "all", "testedAndGuaranteed": "tested", "guaranteed": "expected", "predicted": "predicted", "notRecommended": "not-recommended" } }, "values": { "Human": { "IHCP-species-checked": "testedAndGuaranteed", "IHCP-species-dilution-info": "1/500", "IHCP-species-notes": "<p>We recommend lambda protein phosphatase treatment prior to IHC processing (PMID 24154522). Use 800U for 1 hr at RT then rinse in PBS three times.</p> Perform heat-mediated antigen retrieval before commencing with IHC staining protocol.", "WB-species-checked": "testedAndGuaranteed", "WB-species-dilution-info": "1/100", "WB-species-notes": "<p>Being CXCR4 a membrane protein, we recommend to not boil the samples after the lysis (before loading the samples on the WB gel).</p><p>We recommend lambda protein phosphatase treatment of the membrane prior to primary antibody incubation (PMID 24154522). Use 800U for 1 hr at RT then rinse in wash buffer three times.</p>", "ICCIF-species-checked": "testedAndGuaranteed", "ICCIF-species-dilution-info": "5 µg/mL", "ICCIF-species-notes": "<p></p>", "IHCFr-species-checked": "guaranteed", "IHCFr-species-dilution-info": "", "IHCFr-species-notes": "", "FlowCytIntra-species-checked": "testedAndGuaranteed", "FlowCytIntra-species-dilution-info": "", "FlowCytIntra-species-notes": "<p></p>" }, "Mouse": { "IHCP-species-checked": "testedAndGuaranteed", "IHCP-species-dilution-info": "1/500", "IHCP-species-notes": "<p></p> Perform heat-mediated antigen retrieval before commencing with IHC staining protocol.", "WB-species-checked": "notRecommended", "WB-species-dilution-info": "1/100", "WB-species-notes": "<p></p>", "ICCIF-species-checked": "guaranteed", "ICCIF-species-dilution-info": "", "ICCIF-species-notes": "", "IHCFr-species-checked": "testedAndGuaranteed", "IHCFr-species-dilution-info": "", "IHCFr-species-notes": "<p></p>", "FlowCytIntra-species-checked": "guaranteed", "FlowCytIntra-species-dilution-info": "", "FlowCytIntra-species-notes": "" }, "Rat": { "IHCP-species-checked": "notRecommended", "IHCP-species-dilution-info": "1/500", "IHCP-species-notes": "<p></p> Perform heat-mediated antigen retrieval before commencing with IHC staining protocol.", "WB-species-checked": "notRecommended", "WB-species-dilution-info": "1/100", "WB-species-notes": "<p></p>", "ICCIF-species-checked": "guaranteed", "ICCIF-species-dilution-info": "", "ICCIF-species-notes": "", "IHCFr-species-checked": "testedAndGuaranteed", "IHCFr-species-dilution-info": "", "IHCFr-species-notes": "<p></p>", "FlowCytIntra-species-checked": "guaranteed", "FlowCytIntra-species-dilution-info": "", "FlowCytIntra-species-notes": "" }, "Transfected cell line - Human": { "IHCP-species-checked": "notRecommended", "IHCP-species-dilution-info": "", "IHCP-species-notes": "", "WB-species-checked": "notRecommended", "WB-species-dilution-info": "", "WB-species-notes": "", "ICCIF-species-checked": "notRecommended", "ICCIF-species-dilution-info": "", "ICCIF-species-notes": "", "IHCFr-species-checked": "notRecommended", "IHCFr-species-dilution-info": "", "IHCFr-species-notes": "", "FlowCytIntra-species-checked": "testedAndGuaranteed", "FlowCytIntra-species-dilution-info": "", "FlowCytIntra-species-notes": "<p></p>" }, "Transfected cell lysate - Mouse": { "IHCP-species-checked": "notRecommended", "IHCP-species-dilution-info": "", "IHCP-species-notes": "", "WB-species-checked": "testedAndGuaranteed", "WB-species-dilution-info": "1/100", "WB-species-notes": "<p>Being CXCR4 a membrane protein, we recommend to not boil the samples after the lysis (before loading the samples on the WB gel).</p><p>We recommend lambda protein phosphatase treatment of the membrane prior to primary antibody incubation (PMID 24154522). Use 800U for 1 hr at RT then rinse in wash buffer three times.</p>", "ICCIF-species-checked": "notRecommended", "ICCIF-species-dilution-info": "", "ICCIF-species-notes": "", "IHCFr-species-checked": "notRecommended", "IHCFr-species-dilution-info": "", "IHCFr-species-notes": "", "FlowCytIntra-species-checked": "notRecommended", "FlowCytIntra-species-dilution-info": "", "FlowCytIntra-species-notes": "" } } }

You may be interested in:

AB323523

Human CXCR4 ELISA Kit- Extracellular

0

0 Reviews

View product

We recommend this product because it’s often used in the same experiment or related research.

We advise that you always check the datasheet to ensure it fits your experiments, or contact ourtechnical teamfor help.

Product details

Product Specifications
Anti-CXCR4 antibody [UMB2] (ab124824) was developed by Abcam using patented rabbit monoclonal antibody technology and is validated for use in Flow Cyt (Intra), ICC/IF, IHC-Fr, IHC-P, WB in human, mouse, rat samples.
Anti-CXCR4 antibody [UMB2] (ab124824) specifically detects CXCR4 (UniProt ID: P61073; Molecular weight: 40kDa) and is sold in 100 µL and 1 mL selling sizes.

Quality and Validation
Abcam's high quality manufacturing and validation processes ensure Anti-CXCR4 antibody [UMB2] (ab124824) has high sensitivity and specificity alongside high lot-to-lot consistency and reproducibility.
Anti-CXCR4 antibody [UMB2] (ab124824) has been cited over 238 times in peer reviewed journals and is trusted by the scientific community.
Anti-CXCR4 antibody [UMB2] (ab124824) has 12 independent reviews from customers.

Related Products
Conjugation-ready, carrier free format available for antibody clone UMB2 - ab197203.
Antibody clone UMB2 is also available pre-conjugated to a variety of labels for your convenience - Alexa Fluor® 488, Alexa Fluor® 647, Alexa Fluor® 555, Alexa Fluor® 594 (ab208128, ab208129, ab211982, ab211984).

Target Information
CXCR4 (fusin), also known as C-X-C chemokine receptor type 4 or CD184, is a protein encoded by the CXCR4 gene in humans. CXCR4 or CD184 protein is a receptor for the chemokine CXCL12 (SDF-1) and plays a significant role in oncology due to its involvement in tumor growth, metastasis, and the tumor microenvironment. CXCR4 and its ligand CXCL12 are crucial for the metastatic spread of cancer cells to organs where CXCL12 is expressed, such as the bone marrow, liver, and lungs. The CXCR4-CXCL12 axis helps tumor cells find niches that support their survival and growth.

Our internal data indicates that rat is not recommended for IHC.
Abcam recommended secondaries - Goat Anti-Rabbit HRP (ab205718) and Goat Anti-Rabbit Alexa Fluor® 488 (ab150077). Or search our wide range of secondary antibodies for use with your experiment.

Patented technology
Our RabMAb® technology is a patented hybridoma-based technology for making rabbit monoclonal antibodies. For details on our patents, please refer to RabMAb® patents.

What are the advantages of a recombinant monoclonal antibody?
This product is a recombinant monoclonal antibody, which offers several advantages including:

  • - High batch-to-batch consistency and reproducibility
  • - Improved sensitivity and specificity
  • - Long-term security of supply
  • - Animal-free batch production

For more information, read more on recombinant antibodies.

Properties and storage information

Form
Liquid
Purification technique
Affinity purification Protein A
Storage buffer
pH: 7.2 - 7.4 Preservative: 0.01% Sodium azide Constituents: 59% PBS, 40% Glycerol (glycerin, glycerine), 0.05% BSA
Shipped at conditions
Blue Ice
Appropriate short-term storage conditions
+4°C
Appropriate long-term storage conditions
-20°C
Storage information
Stable for 12 months at -20°C

Supplementary information

This supplementary information is collated from multiple sources and compiled automatically.

CXCR4 also known as C-X-C chemokine receptor type 4 is a G protein-coupled receptor that is involved in signal transduction. It has a molecular weight of approximately 41 kDa. CXCR4 is ubiquitously expressed across various tissues including immune cells like T and B lymphocytes as well as in bone marrow brain and heart. It binds specifically with the ligand CXCL12 also known as stromal cell-derived factor 1 (SDF-1) facilitating responses such as cell migration and proliferation.
Biological function summary

CXCR4 plays an important role in the immune system hematopoiesis and angiogenesis. It does not function alone and is often part of a larger protein complex where it recruits and activates other G proteins. The receptor mediates chemotactic responses directing cells to sites of inflammation or injury. Its interaction with CXCL12 is critical for maintaining immune surveillance aiding in the movement and positioning of immune cells.

Pathways

CXCR4 integrates into significant cellular signaling pathways such as the PI3K/AKT pathway and the MAPK pathway. It collaborates closely with signaling proteins like AKT1 and MAPK1 impacting cell survival and growth. These pathways are essential for various cellular functions including cell cycle progression and apoptosis regulation. The cross-talk between CXCR4 and these pathways underlines its influence on cell fate decisions.

CXCR4 is implicated in cancer metastasis and HIV entry into cells. Overexpression of CXCR4 is observed in several cancers contributing to tumor growth and metastasis. The interaction between CXCR4 and CXCL12 facilitates the infiltration and spread of cancer cells. Additionally in HIV CXCR4 serves as a coreceptor along with CD4 allowing the virus to enter and infect host cells. Both cancer and HIV illustrate CXCR4's central role in disease progression and pathogenesis.

Product protocols

For this product, it's our understanding that no specific protocols are required. You can visit:

Target data

Receptor for the C-X-C chemokine CXCL12/SDF-1 that transduces a signal by increasing intracellular calcium ion levels and enhancing MAPK1/MAPK3 activation (PubMed : 10452968, PubMed : 18799424, PubMed : 24912431, PubMed : 28978524). Involved in the AKT signaling cascade (PubMed : 24912431). Plays a role in regulation of cell migration, e.g. during wound healing (PubMed : 28978524). Acts as a receptor for extracellular ubiquitin; leading to enhanced intracellular calcium ions and reduced cellular cAMP levels (PubMed : 20228059). Binds bacterial lipopolysaccharide (LPS) et mediates LPS-induced inflammatory response, including TNF secretion by monocytes (PubMed : 11276205). Involved in hematopoiesis and in cardiac ventricular septum formation. Also plays an essential role in vascularization of the gastrointestinal tract, probably by regulating vascular branching and/or remodeling processes in endothelial cells. Involved in cerebellar development. In the CNS, could mediate hippocampal-neuron survival (By similarity).. (Microbial infection) Acts as a coreceptor (CD4 being the primary receptor) for human immunodeficiency virus-1/HIV-1 X4 isolates and as a primary receptor for some HIV-2 isolates. Promotes Env-mediated fusion of the virus (PubMed : 10074122, PubMed : 10756055, PubMed : 8849450, PubMed : 8929542, PubMed : 9427609).
See full target information CXCR4

Publications (238)

Recent publications for all applications. Explore the full list and refine your search

Medicine 102:e36582 PubMed38065867

2023

Bone Marrow Stromal Cells inhibited the growth and metastasis of human U87 cells through delivering exosomal miR-506.

Applications

Unspecified application

Species

Unspecified reactive species

Liexiang Zhang,Yu Ding,Wei Zhou,Xiaohong Xu,Jing Zheng

Nature communications 14:6341 PubMed37816732

2023

Subventricular zone cytogenesis provides trophic support for neural repair in a mouse model of stroke.

Applications

Unspecified application

Species

Unspecified reactive species

Michael R Williamson,Stephanie P Le,Ronald L Franzen,Nicole A Donlan,Jill L Rosow,Mathilda S Nicot-Cartsonis,Alexis Cervantes,Benjamin Deneen,Andrew K Dunn,Theresa A Jones,Michael R Drew

BMC gastroenterology 23:323 PubMed37730560

2023

Correlation between SDF-1α, CD34 positive hematopoietic stem cells and CXCR4 expression with liver fibrosis in CCl4 rat model.

Applications

Unspecified application

Species

Unspecified reactive species

Sara Abubakr,Noha M Hazem,R N Sherif,Adel Abdelmohdy Elhawary,Kamal G Botros

Archives of toxicology 97:2625-2641 PubMed37612375

2023

Effects of low doses of methylmercury (MeHg) exposure on definitive endoderm cell differentiation in human embryonic stem cells.

Applications

Unspecified application

Species

Unspecified reactive species

Bai Li,Xiaolei Jin,Hing Man Chan

Histochemistry and cell biology 160:407-418 PubMed37532885

2023

Demethylation in promoter region of severely damaged hepatocytes enhances chemokine receptor CXCR4 gene expression.

Applications

Unspecified application

Species

Unspecified reactive species

Chihiro Ito,Ryuma Haraguchi,Kohei Ogawa,Miku Iwata,Riko Kitazawa,Yasutsugu Takada,Sohei Kitazawa

PloS one 18:e0283015 PubMed37141381

2023

The N-terminus of CXCR4 splice variants determines expression and functional properties.

Applications

Unspecified application

Species

Unspecified reactive species

Hee-Kyung Park,Lan Phuong Nguyen,Thai Uy Nguyen,Minyeong Cho,Huong Thi Nguyen,Sunghoon Hurh,Hong-Rae Kim,Jae Young Seong,Cheol Soon Lee,Byung-Joo Ham,Jong-Ik Hwang

International journal of biological sciences 19:1791-1812 PubMed37063422

2023

M1 Microglia-derived Exosomes Promote Activation of Resting Microglia and Amplifies Proangiogenic Effects through Irf1/miR-155-5p/Socs1 Axis in the Retina.

Applications

Unspecified application

Species

Unspecified reactive species

Xi Chen,Xiao Wang,Zedu Cui,Qian Luo,Zihua Jiang,Yuke Huang,Jingyi Jiang,Jin Qiu,Yan Li,Keming Yu,Jing Zhuang

Science advances 9:eabq8225 PubMed36857458

2023

A bispecific glycopeptide spatiotemporally regulates tumor microenvironment for inhibiting bladder cancer recurrence.

Applications

Unspecified application

Species

Unspecified reactive species

Hong-Wei An,Da-Yong Hou,Jia Yang,Zi-Qi Wang,Man-Di Wang,Rui Zheng,Ni-Yuan Zhang,Xing-Jie Hu,Zhi-Jia Wang,Lu Wang,Di Liu,Jun-Feng Hao,Wanhai Xu,Yuliang Zhao,Hao Wang

PloS one 18:e0280001 PubMed36800350

2023

An expression and function analysis of the CXCR4/SDF-1 signalling axis during pituitary gland development.

Applications

Unspecified application

Species

Unspecified reactive species

Jose Mario Gonzalez-Meljem,Sarah Ivins,Cynthia Lilian Andoniadou,Paul Le Tissier,Peter Scambler,Juan Pedro Martinez-Barbera

Acta biochimica Polonica 70:117-122 PubMed36735564

2023

Knockdown of CD44 inhibits proliferation, migration, and invasiveness in hepatocellular carcinoma cells by modulating CXCR4/Wnt/β-Catenin Axis.

Applications

Unspecified application

Species

Unspecified reactive species

Xiaojing Song,Fanghui Ding,Wei Luo,Juan Tao,Kaili Yang,Qiaoping Li,Zhitao Zhang
View all publications

Product promise

We are committed to supporting your work with high-quality reagents, and we're here for you every step of the way. In the unlikely event that one of our products does not perform as expected, you're protected by our Product Promise.
For full details, please see our Terms & Conditions

Associated Products

Select an associated product type
Alternative Product
Primary Antibodies

AB74012

Anti-CXCR4 (phospho S339) antibody

primary-antibodies

cxcr4-phospho-s339-antibody-ab74012

4

(3 reviews)

Alternative Product
Proteins & Peptides

AB256223

CXCR4 peptide

proteins-peptides

cxcr4-peptide-ab256223

0

(0 reviews)

Alternative Product
Primary Antibodies

AB216548

Alexa Fluor® 647 Anti-CXCR4 antibody [EPUMBR3]

primary-antibodies

alexa-fluor-647-cxcr4-antibody-epumbr3-ab216548

0

(0 reviews)

Alternative Product
Primary Antibodies

AB216735

Alexa Fluor® 594 Anti-CXCR4 antibody [EPUMBR3]

primary-antibodies

alexa-fluor-594-cxcr4-antibody-epumbr3-ab216735

0

(0 reviews)

Alternative Product
Primary Antibodies

AB216926

Alexa Fluor® 555 Anti-CXCR4 antibody [EPUMBR3]

primary-antibodies

alexa-fluor-555-cxcr4-antibody-epumbr3-ab216926

0

(0 reviews)

Alternative Product
Primary Antibodies

AB181020

Anti-CXCR4 antibody [EPUMBR3]

primary-antibodies

cxcr4-antibody-epumbr3-ab181020

5

(2 reviews)

Alternative Product
Primary Antibodies

AB222223

Anti-CXCR4 antibody [EPUMBR3] - Low endotoxin, Azide free

primary-antibodies

cxcr4-antibody-epumbr3-low-endotoxin-azide-free-ab222223

0

(0 reviews)

Alternative Product
Primary Antibodies

AB216390

Alexa Fluor® 488 Anti-CXCR4 antibody [EPUMBR3]

primary-antibodies

alexa-fluor-488-cxcr4-antibody-epumbr3-ab216390

0

(0 reviews)

Alternative Product
Primary Antibodies

AB219178

Anti-CXCR4 antibody - C-terminal

primary-antibodies

cxcr4-antibody-c-terminal-ab219178

0

(0 reviews)

Alternative Product
Primary Antibodies

AB271934

Anti-CXCR4 antibody [EPUMBR3] - BSA and Azide free

primary-antibodies

cxcr4-antibody-epumbr3-bsa-and-azide-free-ab271934

0

(0 reviews)

Alternative Version
Primary Antibodies

AB211928

Anti-p130 (phospho T986) antibody [EPR2389(2)]

primary-antibodies

p130-phospho-t986-antibody-epr23892-ab211928

0

(0 reviews)

Please note: All products are 'FOR RESEARCH USE ONLY. NOT FOR USE IN DIAGNOSTIC OR THERAPEUTIC PROCEDURES'.

For licensing inquiries, please contact partnerships@abcam.com