JavaScript is disabled in your browser. Please enable JavaScript to view this website.
AB197203

Anti-CXCR4 antibody [UMB2] - BSA and Azide free

2

(1 Review)

|

(21 Publications)

Rabbit Recombinant Monoclonal CXCR4 antibody. Carrier free. Suitable for IHC-P, ICC/IF, WB, IHC-Fr, Flow Cyt (Intra) and reacts with Human, Mouse, Rat, Transfected cell lysate - Mouse, Transfected cell line - Human samples. Cited in 21 publications.

View Alternative Names

CD184, C-X-C chemokine receptor type 4, CXC-R4, CXCR-4, FB22, Fusin, HM89, LCR1, Leukocyte-derived seven transmembrane domain receptor, Lipopolysaccharide-associated protein 3, NPYRL, Stromal cell-derived factor 1 receptor, LESTR, LAP-3, LPS-associated protein 3, SDF-1 receptor, CXCR4

17 Images
Immunocytochemistry/ Immunofluorescence - Anti-CXCR4 antibody [UMB2] - BSA and Azide free (AB197203)
  • ICC/IF

PubMed

Immunocytochemistry/ Immunofluorescence - Anti-CXCR4 antibody [UMB2] - BSA and Azide free (AB197203)

Characterization of UMB-2 (ab124824) by immunofluorescent staining of transfected cells. HEK-293 cells expressing CCR7 or CXCR4 were either not exposed or exposed to 100 ng/ml MIP-3 or 100 ng/ml SDF-1 for 30 min, subsequently fixed and immunofluorescently stained with 1 µg/ml anti-CCR7 {1188} or anti-CXCR4 {UMB-2} at a dilution of 1 : 100. Note that UMB-2 detected prominent immunofluorescence at the level of the plasma membrane only in CXCR4- but not in CCR7-expressing cells, and that SDF-1 exposure induced a rapid translocation of CXCR4 receptor immunostaining from the plasma membrane into the cytosol. Representative results from one of three independent experiments are shown. Scale bar, 20 µm.

This data was developed using the same antibody clone in a different buffer formulation containing PBS, BSA, glycerol, and sodium azide (ab124824).

Fischer, T. et al PLoS One. 2008;3(12):e4069. doi: 10.1371/journal.pone.0004069. Epub 2008 Dec 31 Reproduced under the Creative Commons license http://creativecommons.org/licenses/by/4.0/

Flow Cytometry (Intracellular) - Anti-CXCR4 antibody [UMB2] - BSA and Azide free (AB197203)
  • Flow Cyt (Intra)

Lab

Flow Cytometry (Intracellular) - Anti-CXCR4 antibody [UMB2] - BSA and Azide free (AB197203)

This data was developed using the same antibody clone in a different buffer formulation containing PBS, BSA, glycerol, and sodium azide (ab124824).

Flow cytometry overlay histogram showing left Jurkat positive cells and right negative HepG2 stained with ab124824 (red line). The cells were fixed with 80% methanol (5 min) and then permeabilised with 0.1% PBS-Triton X-100 for 15 min. The cells were then incubated in 1x PBS containing 10% normal goat serum to block non-specific protein-protein interaction followed by the antibody (ab124824) (1x 106 in 100μl at 1.0μg/ml (1/1900)) for 30min at 22°C.

The secondary antibody Goat Anti-Rabbit IgG H&L (Alexa Fluor® 488) preadsorbed was incubated at 1/4000 for 30min at 22°C

Isotype control antibody (black line) was Recombinant Rabbit IgG, monoclonal [EPR25A] - Isotype Control used at the same concentration and conditions as the primary antibody. Unlabelled sample (blue line) was also used as a control.

Acquisition of >5000 events were collected using a 50 mW Blue laser (488nm) and 525/40 bandpass filter.

This antibody gave a positive signal in Jurkat Fixed with 4% formaldehyde (10 min) / permeabilised with 0.1% PBS-Triton X-100 for 15 min under the same conditions.

Immunohistochemistry (Formalin/PFA-fixed paraffin-embedded sections) - Anti-CXCR4 antibody [UMB2] - BSA and Azide free (AB197203)
  • IHC-P

Lab

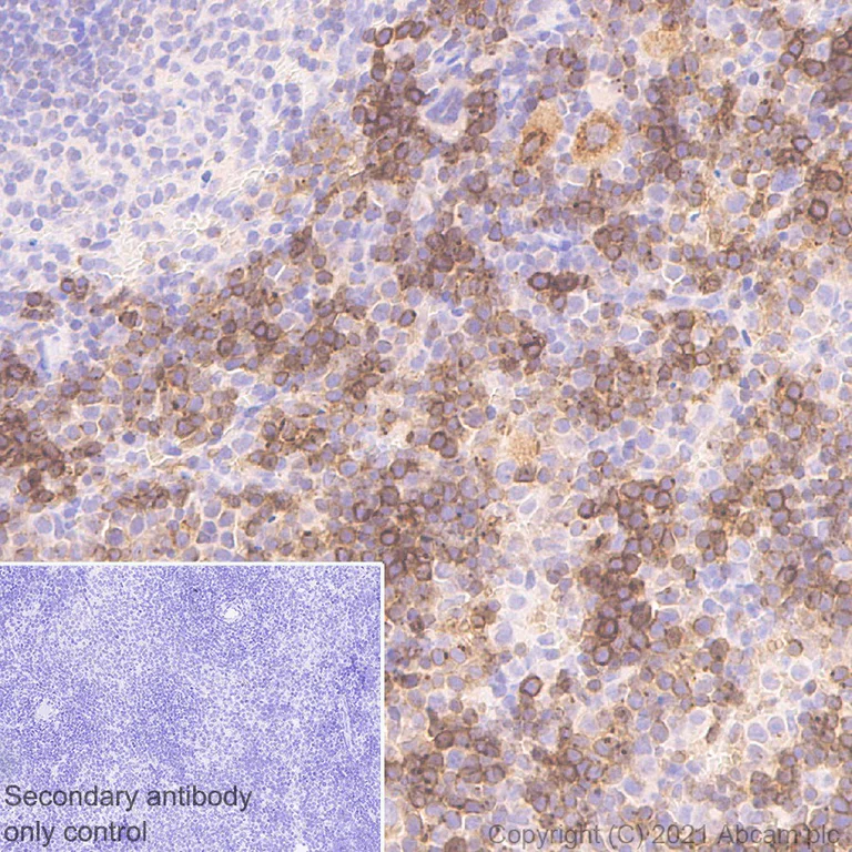
Immunohistochemistry (Formalin/PFA-fixed paraffin-embedded sections) - Anti-CXCR4 antibody [UMB2] - BSA and Azide free (AB197203)

This data was developed using ab124824, the same antibody clone in a different buffer formulation.

Immunohistochemical analysis of Paraffin-embedded sections Mouse spleen tissue labelling CXCR4 with ab124824 at 1/1000 dilution, followed by LeicaDS9800 (Bond™ Polymer Refine Detection). Cytoplasmic and membranous staining on mouse spleen tissue is observed. Counter stained with Hematoxylin. Secondary antibody only control : Used PBS instead of primary antibody, secondary antibody is LeicaDS9800 (Bond™ Polymer Refine Detection).

The section was incubated with ab124824 for 30 mins at room temperature.

The immunostaining was performed on a Leica Biosystems BOND® RX instrument

Heat mediated antigen retrieval with Tris-EDTA buffer (pH 9.0, epitope retrieval solution2) for 20 mins

Immunohistochemistry (Formalin/PFA-fixed paraffin-embedded sections) - Anti-CXCR4 antibody [UMB2] - BSA and Azide free (AB197203)
  • IHC-P

Lab

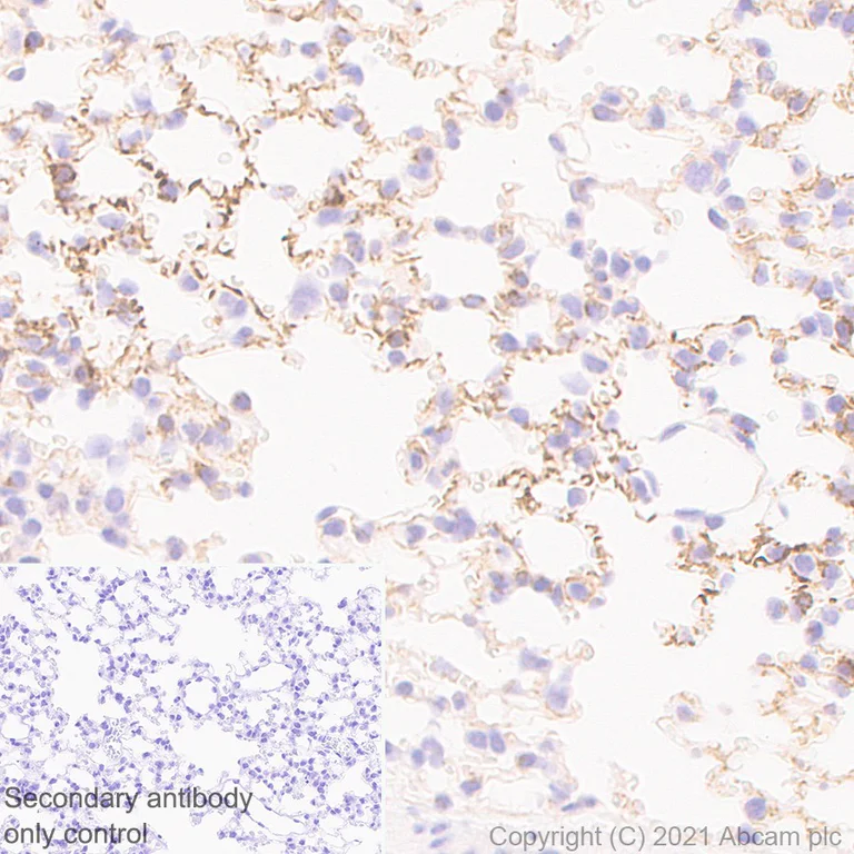
Immunohistochemistry (Formalin/PFA-fixed paraffin-embedded sections) - Anti-CXCR4 antibody [UMB2] - BSA and Azide free (AB197203)

This data was developed using ab124824, the same antibody clone in a different buffer formulation.

Immunohistochemical analysis of Paraffin-embedded sections Mouse lung tissue labelling CXCR4 with ab124824 at 1/1000 dilution, followed by LeicaDS9800 (Bond™ Polymer Refine Detection). Cytoplasmic and membranous staining on mouse lung tissue is observed. Counter stained with Hematoxylin. Secondary antibody only control : Used PBS instead of primary antibody, secondary antibody is LeicaDS9800 (Bond™ Polymer Refine Detection).

The section was incubated with ab124824 for 30 mins at room temperature.

The immunostaining was performed on a Leica Biosystems BOND® RX instrument

Heat mediated antigen retrieval with Tris-EDTA buffer (pH 9.0, epitope retrieval solution2) for 20 mins

Immunohistochemistry (Formalin/PFA-fixed paraffin-embedded sections) - Anti-CXCR4 antibody [UMB2] - BSA and Azide free (AB197203)
  • IHC-P

Lab

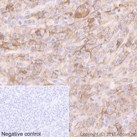
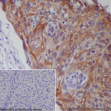
Immunohistochemistry (Formalin/PFA-fixed paraffin-embedded sections) - Anti-CXCR4 antibody [UMB2] - BSA and Azide free (AB197203)

Immunohistochemistry (Formalin/PFA-fixed paraffin-embedded sections) analysis of Human B-cell non-hodgkin lymphoma tissue sections labeling CXCR4 with purified ab197203 at 1/1000 dilution (1.067 μg/ml). Heat mediated antigen retrieval was performed using Tris/EDTA Buffer, PH9 (ab93684). Hematoxylin was used to counter stain. Goat Anti-Rabbit IgG H&L (HRP) secondary antibody was used.

Cytoplasmic and membranous staining on tumor cells of human B-cell non-Hodgkin lymphoma.

Immunocytochemistry/ Immunofluorescence - Anti-CXCR4 antibody [UMB2] - BSA and Azide free (AB197203)
  • ICC/IF

Unknown

Immunocytochemistry/ Immunofluorescence - Anti-CXCR4 antibody [UMB2] - BSA and Azide free (AB197203)

Clone UMB2 (ab197203) has been successfully conjugated by Abcam. This image was generated using Anti-CXCR4 antibody [UMB2] (Alexa Fluor® 647). Please refer to ab208129 for protocol details.

ab208129 staining CXCR4 in Jurkat cells. The cells were fixed with 80% methanol (5min), permeabilized with 0.1% Triton X-100 for 5 minutes and then blocked with 1% BSA/10% normal goat serum/0.3M glycine in 0.1% PBS-Tween for 1h. The cells were then incubated overnight at +4°C with ab208129 at 1/50 dilution (shown in red) and ab195887, Mouse monoclonal to alpha Tubulin (Alexa Fluor® 488), at 1/250 dilution (shown in green). Nuclear DNA was labelled with DAPI (shown in blue).

Image was taken with a confocal microscope (Leica-Microsystems, TCS SP8).

This product also gave a positive signal under the same testing conditions in Jurkat cells fixed with 4% formaldehyde (10 min).

Immunohistochemistry (Formalin/PFA-fixed paraffin-embedded sections) - Anti-CXCR4 antibody [UMB2] - BSA and Azide free (AB197203)
  • IHC-P

Unknown

Immunohistochemistry (Formalin/PFA-fixed paraffin-embedded sections) - Anti-CXCR4 antibody [UMB2] - BSA and Azide free (AB197203)

Unpurified ab124824, at 1/50 dilution, staining CXCR4 in paraffin-embedded Human tonsil tissue by immunohistochemistry.

This data was developed using the same antibody clone in a different buffer formulation containing PBS, BSA, glycerol, and sodium azide (ab124824).

Perform heat mediated antigen retrieval before commencing with IHC staining protocol.

Immunohistochemistry (Formalin/PFA-fixed paraffin-embedded sections) - Anti-CXCR4 antibody [UMB2] - BSA and Azide free (AB197203)
  • IHC-P

PubMed

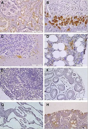
Immunohistochemistry (Formalin/PFA-fixed paraffin-embedded sections) - Anti-CXCR4 antibody [UMB2] - BSA and Azide free (AB197203)

Immunohistochemical detection of CXCR4 expression in human tissue specimens of normal appearance

CXCR4 was detected in the indicated PFA-fixed, paraffin-embedded human tissues using ab124824 at 5 μ/ml overnight at 4°C.

A, kidney. B, adrenal gland. C, cerebellum. D, bone marrow, brown staining : CXCR4, green staining : CD45. E, Spleen. F, testis. G, lung. H, colon.

This data was developed using the same antibody clone in a different buffer formulation containing PBS, BSA, glycerol, and sodium azide (ab124824).

Perform heat mediated antigen retrieval before commencing with IHC staining protocol.

Costa, M.J. et al PLoS One. 2018 Mar 19;13(3):e0194688. doi: 10.1371/journal.pone.0194688. eCollection 2018 Reproduced under the Creative Commons license http://creativecommons.org/licenses/by/4.0/

Immunohistochemistry (Formalin/PFA-fixed paraffin-embedded sections) - Anti-CXCR4 antibody [UMB2] - BSA and Azide free (AB197203)
  • IHC-P

Lab

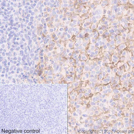
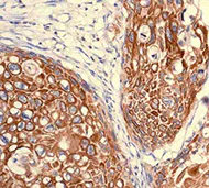
Immunohistochemistry (Formalin/PFA-fixed paraffin-embedded sections) - Anti-CXCR4 antibody [UMB2] - BSA and Azide free (AB197203)

Immunohistochemistry (Formalin/PFA-fixed paraffin-embedded sections) analysis of human tonsil tissue sections labeling CXCR4 with purified ab197203 at 1/1000 dilution (1.067 μg/ml). Heat mediated antigen retrieval was performed using Tris/EDTA Buffer, PH9 (ab93684). Hematoxylin was used to counter stain. Goat Anti-Rabbit IgG H&L (HRP) secondary antibody was used.

Membranous with weak cytoplasmic staining on human tonsil.

Flow Cytometry (Intracellular) - Anti-CXCR4 antibody [UMB2] - BSA and Azide free (AB197203)
  • Flow Cyt (Intra)

Lab

Flow Cytometry (Intracellular) - Anti-CXCR4 antibody [UMB2] - BSA and Azide free (AB197203)

This data was developed using the same antibody clone in a different buffer formulation containing PBS, BSA, glycerol, and sodium azide (ab124824). Flow cytometric analysis of 4% paraformaldehyde fixed 90% methanol permeabilized HEK-293T (human embryonic kidney) cells transfected with a mix of human CXCR1, CXCR2, CXCR3 and CXCR5 expression vector containing a myc-his tag (Left) / HEK-293T transfected with a human CXCR4 expression vector containing a myc-his tag (Right) labelling CXCR4 with ab124824 at 1/2000 dilution (0.1μg)/ Left and Right. A Goat Anti-Rabbit IgG (Alexa Fluor® 488, ab150081) at 1/3000 dilution was used as the secondary antibody. No cross-reactivity with CXCR1/CXCR2/CXCR3/CXCR5.

Immunocytochemistry/ Immunofluorescence - Anti-CXCR4 antibody [UMB2] - BSA and Azide free (AB197203)
  • ICC/IF

Lab

Immunocytochemistry/ Immunofluorescence - Anti-CXCR4 antibody [UMB2] - BSA and Azide free (AB197203)

Immunofluorescence staining of Jurkat cells with purified ab124824 at a working dilution of 1 in 250, counter-stained with DAPI. Tubulin was stained with mouse anti-tubulin at a dilution of 1/1000 (ab7291) and Alexa Fluor® 594 goat anti-mouse at a dilution of 1/500 (ab150120) . The secondary antibody was ab150077 Alexa Fluor® 488 goat anti rabbit, used at a dilution of 1 in 500. The cells were fixed in 4% PFA and permeabilized using 0.1% Triton X 100. The negative controls are shown in the bottom middle and right hand panels - for the first negative control, purified ab124824 was used at a dilution of 1/200 followed by an Alexa Fluor® 555 goat anti-mouse antibody at a dilution of 1/500 and for the second negative control mouse primary antibody (ab7291) and anti-rabbit secondary antibody (ab15007) were used.

This data was developed using the same antibody clone in a different buffer formulation containing PBS, BSA, glycerol, and sodium azide (ab124824).

Flow Cytometry (Intracellular) - Anti-CXCR4 antibody [UMB2] - BSA and Azide free (AB197203)
  • Flow Cyt (Intra)

Unknown

Flow Cytometry (Intracellular) - Anti-CXCR4 antibody [UMB2] - BSA and Azide free (AB197203)

Intracellular Flow Cytometry analysis of Jurkat (human T cell leukemia T lymphocyte) cells labeling CXCR4 with purified ab124824 at 1/260 dilution (10 μg/ml) - Red. Cells were fixed with 4% paraformaldehyde . A Goat anti rabbit IgG (Alexa Fluor® 488, ab150077) secondary antibody was used at 1/2000 dilution. Isotype control - Rabbit monoclonal IgG (ab172730) - Black. Unlabeled control - Blue. Untreated cells - GreenThis data was developed using the same antibody clone in a different buffer formulation containing PBS, BSA, glycerol, and sodium azide (ab197203)

Immunocytochemistry/ Immunofluorescence - Anti-CXCR4 antibody [UMB2] - BSA and Azide free (AB197203)
  • ICC/IF

Unknown

Immunocytochemistry/ Immunofluorescence - Anti-CXCR4 antibody [UMB2] - BSA and Azide free (AB197203)

ab124824 stained Jurkat cells. The cells were 100% methanol fixed for 5 minutes at -20°C and then incubated in 1%BSA / 10% normal goat serum / 0.3M glycine in 0.1% PBS-Tween for 1hour at room temperature to permeabilise the cells and block non-specific protein-protein interactions. The cells were then incubated with the antibody (ab124824 at 5ug/ml) overnight at +4°C. The secondary antibody (pseudo-colored green) was Goat Anti-Rabbit IgG H&L (Alexa Fluor® 488) preadsorbed (ab150081) used at a 1/1000 dilution for 1hour at room temperature. Alexa Fluor® 594 WGA was used to label plasma membranes (pseudo-colored red) at a 1/200 dilution for 1hour at room temperature. DAPI was used to stain the cell nuclei (pseudo-colored blue) at a concentration of 1.43µM for 1hour at room temperature.

This data was developed using the same antibody clone in a different buffer formulation containing PBS, BSA, glycerol, and sodium azide (ab124824).

Immunohistochemistry (Formalin/PFA-fixed paraffin-embedded sections) - Anti-CXCR4 antibody [UMB2] - BSA and Azide free (AB197203)
  • IHC-P

Unknown

Immunohistochemistry (Formalin/PFA-fixed paraffin-embedded sections) - Anti-CXCR4 antibody [UMB2] - BSA and Azide free (AB197203)

Immunohistochemical staining of paraffin embedded human bladder cancer with purified ab124824 at a working dilution of 1/500. The secondary antibody used is ab97051, a HRP-conjugated goat anti-rabbit IgG (H+L), at a dilution of 1/500. The sample is counter-stained with hematoxylin. Antigen retrieval was perfomed using Tris-EDTA buffer, pH 9.0. PBS was used instead of the primary antibody as the negative control, and is shown in the inset.

This data was developed using the same antibody clone in a different buffer formulation containing PBS, BSA, glycerol, and sodium azide (ab124824).

Immunohistochemistry (Formalin/PFA-fixed paraffin-embedded sections) - Anti-CXCR4 antibody [UMB2] - BSA and Azide free (AB197203)
  • IHC-P

Unknown

Immunohistochemistry (Formalin/PFA-fixed paraffin-embedded sections) - Anti-CXCR4 antibody [UMB2] - BSA and Azide free (AB197203)

Unpurified ab124824, at 1/50 dilution, staining CXCR4 in paraffin-embedded Human cervical carcinoma tissue by immunohistochemistry.

This data was developed using the same antibody clone in a different buffer formulation containing PBS, BSA, glycerol, and sodium azide (ab124824).

Perform heat mediated antigen retrieval before commencing with IHC staining protocol.

Immunocytochemistry/ Immunofluorescence - Anti-CXCR4 antibody [UMB2] - BSA and Azide free (AB197203)
  • ICC/IF

Unknown

Immunocytochemistry/ Immunofluorescence - Anti-CXCR4 antibody [UMB2] - BSA and Azide free (AB197203)

Clone UMB2 (ab197203) has been successfully conjugated by Abcam. This image was generated using Anti-CXCR4 antibody [UMB2] (Alexa Fluor® 488). Please refer to ab208128 for protocol details.

ab208128 staining CXCR4 in Jurkat cells. The cells were fixed with 4% formaldehyde (10 min) and then incubated in 1%BSA/10% normal goat serum/0.3M glycine in 0.1% PBS-Tween for 1h to permeabilise the cells and block non-specific protein-protein interactions. The cells were then incubated overnight at +4°C with ab208128 at 1/100 dilution (shown in green) and ab195889, Mouse monoclonal to alpha Tubulin (Alexa Fluor® 594), at 1/250 dilution (shown in red). Nuclear DNA was labelled with DAPI (shown in blue).

Image was taken with a confocal microscope (Leica-Microsystems, TCS SP8).

This product also gave a positive signal under the same testing conditions in Jurkat cells fixed with 80% methanol (5 min).

Immunohistochemistry (Formalin/PFA-fixed paraffin-embedded sections) - Anti-CXCR4 antibody [UMB2] - BSA and Azide free (AB197203)
  • IHC-P

Unknown

Immunohistochemistry (Formalin/PFA-fixed paraffin-embedded sections) - Anti-CXCR4 antibody [UMB2] - BSA and Azide free (AB197203)

Unpurified ab124824, at 1/50 dilution, staining CXCR4 in paraffin-embedded Human ovarian adenocarcinoma tissue by immunohistochemistry.

This data was developed using the same antibody clone in a different buffer formulation containing PBS, BSA, glycerol, and sodium azide (ab124824).

Perform heat mediated antigen retrieval before commencing with IHC staining protocol.

Key facts

Host species

Rabbit

Clonality

Monoclonal

Clone number

UMB2

Isotype

IgG

Carrier free

Yes

Reacts with

Mouse, Rat, Human

Applications

IHC-P, ICC/IF, WB, Flow Cyt (Intra), IHC-Fr

applications

Immunogen

The exact immunogen used to generate this antibody is proprietary information.

Specificity

This antibody recognizes only the non-phosphorylated C-terminus of CXCR4 (residues 341-352). Phosphorylation of S346/347 blocks antibody binding. PMID: 24154522, 25451233.

We recommend dephosphorylation of samples using lambda phosphatase treatment. Please refer to application notes.

Reactivity data

{ "title": "Reactivity Data", "filters": { "stats": ["", "Species", "Dilution Info", "Notes"], "tabs": { "all-applications": {"fullname" : "All Applications", "shortname": "All Applications"}, "IHCP" : {"fullname" : "Immunohistochemistry (Formalin/PFA-fixed paraffin-embedded sections)", "shortname":"IHC-P"}, "ICCIF" : {"fullname" : "Immunocytochemistry/ Immunofluorescence", "shortname":"ICC/IF"}, "WB" : {"fullname" : "Western blot", "shortname":"WB"}, "IHCFr" : {"fullname" : "Immunohistochemistry (Frozen sections)", "shortname":"IHC-Fr"}, "FlowCytIntra" : {"fullname" : "Flow Cytometry (Intracellular)", "shortname":"Flow Cyt (Intra)"} }, "product-promise": { "all": "all", "testedAndGuaranteed": "tested", "guaranteed": "expected", "predicted": "predicted", "notRecommended": "not-recommended" } }, "values": { "Human": { "IHCP-species-checked": "testedAndGuaranteed", "IHCP-species-dilution-info": "", "IHCP-species-notes": "<p></p>", "ICCIF-species-checked": "testedAndGuaranteed", "ICCIF-species-dilution-info": "", "ICCIF-species-notes": "<p></p>", "WB-species-checked": "testedAndGuaranteed", "WB-species-dilution-info": "", "WB-species-notes": "<p>Please check the parent abID, <a href='/en-us/products/primary-antibodies/cxcr4-antibody-umb2-ab124824'>ab124824</a>, for more information on dilution ranges.</p>", "IHCFr-species-checked": "guaranteed", "IHCFr-species-dilution-info": "", "IHCFr-species-notes": "", "FlowCytIntra-species-checked": "testedAndGuaranteed", "FlowCytIntra-species-dilution-info": "", "FlowCytIntra-species-notes": "<p></p>" }, "Mouse": { "IHCP-species-checked": "testedAndGuaranteed", "IHCP-species-dilution-info": "1/1000", "IHCP-species-notes": "<p></p>", "ICCIF-species-checked": "guaranteed", "ICCIF-species-dilution-info": "", "ICCIF-species-notes": "", "WB-species-checked": "notRecommended", "WB-species-dilution-info": "", "WB-species-notes": "<p>Please check the parent abID, <a href='/en-us/products/primary-antibodies/cxcr4-antibody-umb2-ab124824'>ab124824</a>, for more information on dilution ranges.</p>", "IHCFr-species-checked": "testedAndGuaranteed", "IHCFr-species-dilution-info": "", "IHCFr-species-notes": "<p></p>", "FlowCytIntra-species-checked": "guaranteed", "FlowCytIntra-species-dilution-info": "", "FlowCytIntra-species-notes": "" }, "Rat": { "IHCP-species-checked": "notRecommended", "IHCP-species-dilution-info": "", "IHCP-species-notes": "<p></p>", "ICCIF-species-checked": "guaranteed", "ICCIF-species-dilution-info": "", "ICCIF-species-notes": "", "WB-species-checked": "notRecommended", "WB-species-dilution-info": "", "WB-species-notes": "<p>Please check the parent abID, <a href='/en-us/products/primary-antibodies/cxcr4-antibody-umb2-ab124824'>ab124824</a>, for more information on dilution ranges.</p>", "IHCFr-species-checked": "testedAndGuaranteed", "IHCFr-species-dilution-info": "", "IHCFr-species-notes": "<p></p>", "FlowCytIntra-species-checked": "guaranteed", "FlowCytIntra-species-dilution-info": "", "FlowCytIntra-species-notes": "" }, "Transfected cell line - Human": { "IHCP-species-checked": "notRecommended", "IHCP-species-dilution-info": "", "IHCP-species-notes": "", "ICCIF-species-checked": "notRecommended", "ICCIF-species-dilution-info": "", "ICCIF-species-notes": "", "WB-species-checked": "notRecommended", "WB-species-dilution-info": "", "WB-species-notes": "", "IHCFr-species-checked": "notRecommended", "IHCFr-species-dilution-info": "", "IHCFr-species-notes": "", "FlowCytIntra-species-checked": "testedAndGuaranteed", "FlowCytIntra-species-dilution-info": "", "FlowCytIntra-species-notes": "<p></p>" }, "Transfected cell lysate - Mouse": { "IHCP-species-checked": "notRecommended", "IHCP-species-dilution-info": "", "IHCP-species-notes": "", "ICCIF-species-checked": "notRecommended", "ICCIF-species-dilution-info": "", "ICCIF-species-notes": "", "WB-species-checked": "testedAndGuaranteed", "WB-species-dilution-info": "", "WB-species-notes": "<p>Please check the parent abID, <a href='/en-us/products/primary-antibodies/cxcr4-antibody-umb2-ab124824'>ab124824</a>, for more information on dilution ranges.</p>", "IHCFr-species-checked": "notRecommended", "IHCFr-species-dilution-info": "", "IHCFr-species-notes": "", "FlowCytIntra-species-checked": "notRecommended", "FlowCytIntra-species-dilution-info": "", "FlowCytIntra-species-notes": "" } } }

You may be interested in:

AB323523

Human CXCR4 ELISA Kit- Extracellular

0

0 Reviews

View product

We recommend this product because it’s often used in the same experiment or related research.

We advise that you always check the datasheet to ensure it fits your experiments, or contact ourtechnical teamfor help.

Product details

ab197203 is the carrier-free version of ab124824.

Patented technology
Our RabMAb® technology is a patented hybridoma-based technology for making rabbit monoclonal antibodies. For details on our patents, please refer to RabMAb® patents.

Conjugation ready
Our carrier-free antibodies are typically supplied in a PBS-only formulation, purified and free of BSA, sodium azide and glycerol. This conjugation-ready format is designed for use with fluorochromes, metal isotopes, oligonucleotides, and enzymes, which makes them ideal for antibody labelling, functional and cell-based assays, flow-based assays (e.g. mass cytometry) and Multiplex Imaging applications.

Use our conjugation kits for antibody conjugates that are ready-to-use in as little as 20 minutes with 1 minute hands-on-time and 100% antibody recovery: available for fluorescent dyes, HRP, biotin and gold.

Compatibility
This product is compatible with the Maxpar® Antibody Labeling Kit from Fluidigm, without the need for antibody preparation. Maxpar® is a trademark of Fluidigm Canada Inc.

Properties and storage information

Form
Liquid
Purification technique
Affinity purification Protein A
Storage buffer
pH: 7.2 - 7.4 Constituents: PBS
Shipped at conditions
Blue Ice
Appropriate short-term storage conditions
+4°C
Appropriate long-term storage conditions
+4°C
Storage information
Do Not Freeze

Supplementary information

This supplementary information is collated from multiple sources and compiled automatically.

CXCR4 also known as C-X-C chemokine receptor type 4 is a G protein-coupled receptor that is involved in signal transduction. It has a molecular weight of approximately 41 kDa. CXCR4 is ubiquitously expressed across various tissues including immune cells like T and B lymphocytes as well as in bone marrow brain and heart. It binds specifically with the ligand CXCL12 also known as stromal cell-derived factor 1 (SDF-1) facilitating responses such as cell migration and proliferation.
Biological function summary

CXCR4 plays an important role in the immune system hematopoiesis and angiogenesis. It does not function alone and is often part of a larger protein complex where it recruits and activates other G proteins. The receptor mediates chemotactic responses directing cells to sites of inflammation or injury. Its interaction with CXCL12 is critical for maintaining immune surveillance aiding in the movement and positioning of immune cells.

Pathways

CXCR4 integrates into significant cellular signaling pathways such as the PI3K/AKT pathway and the MAPK pathway. It collaborates closely with signaling proteins like AKT1 and MAPK1 impacting cell survival and growth. These pathways are essential for various cellular functions including cell cycle progression and apoptosis regulation. The cross-talk between CXCR4 and these pathways underlines its influence on cell fate decisions.

CXCR4 is implicated in cancer metastasis and HIV entry into cells. Overexpression of CXCR4 is observed in several cancers contributing to tumor growth and metastasis. The interaction between CXCR4 and CXCL12 facilitates the infiltration and spread of cancer cells. Additionally in HIV CXCR4 serves as a coreceptor along with CD4 allowing the virus to enter and infect host cells. Both cancer and HIV illustrate CXCR4's central role in disease progression and pathogenesis.

Product protocols

For this product, it's our understanding that no specific protocols are required. You can visit:

Target data

Receptor for the C-X-C chemokine CXCL12/SDF-1 that transduces a signal by increasing intracellular calcium ion levels and enhancing MAPK1/MAPK3 activation (PubMed : 10452968, PubMed : 18799424, PubMed : 24912431, PubMed : 28978524). Involved in the AKT signaling cascade (PubMed : 24912431). Plays a role in regulation of cell migration, e.g. during wound healing (PubMed : 28978524). Acts as a receptor for extracellular ubiquitin; leading to enhanced intracellular calcium ions and reduced cellular cAMP levels (PubMed : 20228059). Binds bacterial lipopolysaccharide (LPS) et mediates LPS-induced inflammatory response, including TNF secretion by monocytes (PubMed : 11276205). Involved in hematopoiesis and in cardiac ventricular septum formation. Also plays an essential role in vascularization of the gastrointestinal tract, probably by regulating vascular branching and/or remodeling processes in endothelial cells. Involved in cerebellar development. In the CNS, could mediate hippocampal-neuron survival (By similarity).. (Microbial infection) Acts as a coreceptor (CD4 being the primary receptor) for human immunodeficiency virus-1/HIV-1 X4 isolates and as a primary receptor for some HIV-2 isolates. Promotes Env-mediated fusion of the virus (PubMed : 10074122, PubMed : 10756055, PubMed : 8849450, PubMed : 8929542, PubMed : 9427609).
See full target information CXCR4

Publications (21)

Recent publications for all applications. Explore the full list and refine your search

Aging 14:7093-7108 PubMed36103228

2022

Tyrosine kinase receptor RON activates MAPK/RSK/CREB signal pathway to enhance CXCR4 expression and promote cell migration and invasion in bladder cancer.

Applications

Unspecified application

Species

Unspecified reactive species

Junfeng Chen,Kejie Wang,Shazhou Ye,Xiangyu Meng,Xiaolong Jia,Youju Huang,Qi Ma

Disease markers 2021:4251763 PubMed34804261

2021

Development and Verification of an Immune-Based Gene Signature for Risk Stratification and Immunotherapeutic Efficacy Assessment in Gastric Cancer.

Applications

Unspecified application

Species

Unspecified reactive species

Feng Qiu,Yumei Zhu,Yafeng Shi,Jingjing Ji,Yingchao Jin

Molecular medicine reports 22:3201-3212 PubMed32945467

2020

AMD3100 and SDF‑1 regulate cellular functions of endothelial progenitor cells and accelerate endothelial regeneration in a rat carotid artery injury model.

Applications

Unspecified application

Species

Unspecified reactive species

Chunyu Jiang,Ruiting Li,Xu Ma,Hui Hu,Juan Guo,Jungong Zhao

Scientific reports 10:6810 PubMed32321944

2020

Possibility of cancer-stem-cell-targeted radioimmunotherapy for acute myelogenous leukemia using At-CXCR4 monoclonal antibody.

Applications

Unspecified application

Species

Unspecified reactive species

Noboru Oriuchi,Miho Aoki,Naoyuki Ukon,Kohshin Washiyama,Chengbo Tan,Saki Shimoyama,Ken-Ichi Nishijima,Kazuhiro Takahashi,Hiroshi Ito,Takayuki Ikezoe,Songji Zhao

Neuropharmacology 158:107748 PubMed31465784

2019

The diabetes drug semaglutide reduces infarct size, inflammation, and apoptosis, and normalizes neurogenesis in a rat model of stroke.

Applications

Unspecified application

Species

Unspecified reactive species

Xiaoyan Yang,Peng Feng,Xiangjian Zhang,Dongfang Li,Ruifang Wang,Chenhui Ji,Guanglai Li,Christian Hölscher

CNS neuroscience & therapeutics 25:922-936 PubMed30955244

2019

CXCL12/CXCR4 signaling contributes to neuropathic pain via central sensitization mechanisms in a rat spinal nerve ligation model.

Applications

Unspecified application

Species

Unspecified reactive species

Zhi-Yuan Liu,Zhi-Wen Song,Shi-Wu Guo,Jun-Sheng He,Shen-Yu Wang,Jian-Guo Zhu,Hui-Lin Yang,Jin-Bo Liu

Oncology research 27:55-64 PubMed29523218

2018

Knockdown of Urothelial Carcinoma-Associated 1 Suppressed Cell Growth and Migration Through Regulating miR-301a and CXCR4 in Osteosarcoma MHCC97 Cells.

Applications

Unspecified application

Species

Unspecified reactive species

Genglong Zhu,Xialei Liu,Yonghui Su,Fangen Kong,Xiaopeng Hong,Zhidong Lin

Molecular medicine reports 14:2231-7 PubMed27432087

2016

Increased protein expression levels of pCREB, BDNF and SDF-1/CXCR4 in the hippocampus may be associated with enhanced neurogenesis induced by environmental enrichment.

Applications

Unspecified application

Species

Unspecified reactive species

Xiao Qian Zhang,Jing Wei Mu,Hui Bin Wang,Jukka Jolkkonen,Ting Ting Liu,Ting Xiao,Mei Zhao,Chao Dong Zhang,Chuan Sheng Zhao

Anticancer research 34:4051-7 PubMed25075029

2014

Can expression of CXCL12 and CXCR4 be used to predict survival of gastric cancer patients?

Applications

Unspecified application

Species

Unspecified reactive species

Hitoshi Satomura,Kinro Sasaki,Masanobu Nakajima,Satoru Yamaguchi,Shinichi Onodera,Kichiro Otsuka,Masakazu Takahashi,Hiroto Muroi,Yosuke Shida,Hideo Ogata,Kentaro Okamoto,Hiroyuki Kato

Cancers 6:1047-64 PubMed24961933

2014

Inflammatory cell distribution in primary merkel cell carcinoma.

Applications

IHC-P

Species

Human

Rachel Wheat,Claudia Roberts,Tim Waterboer,Jane Steele,Jerry Marsden,Neil M Steven,David J Blackbourn
View all publications

Product promise

We are committed to supporting your work with high-quality reagents, and we're here for you every step of the way. In the unlikely event that one of our products does not perform as expected, you're protected by our Product Promise.
For full details, please see our Terms & Conditions

Associated Products

Select an associated product type
Alternative Product
Primary Antibodies

AB74012

Anti-CXCR4 (phospho S339) antibody

primary-antibodies

cxcr4-phospho-s339-antibody-ab74012

4

(3 reviews)

Alternative Product
Proteins & Peptides

AB256223

CXCR4 peptide

proteins-peptides

cxcr4-peptide-ab256223

0

(0 reviews)

Alternative Product
Primary Antibodies

AB216548

Alexa Fluor® 647 Anti-CXCR4 antibody [EPUMBR3]

primary-antibodies

alexa-fluor-647-cxcr4-antibody-epumbr3-ab216548

0

(0 reviews)

Alternative Product
Primary Antibodies

AB216735

Alexa Fluor® 594 Anti-CXCR4 antibody [EPUMBR3]

primary-antibodies

alexa-fluor-594-cxcr4-antibody-epumbr3-ab216735

0

(0 reviews)

Alternative Product
Primary Antibodies

AB216926

Alexa Fluor® 555 Anti-CXCR4 antibody [EPUMBR3]

primary-antibodies

alexa-fluor-555-cxcr4-antibody-epumbr3-ab216926

0

(0 reviews)

Alternative Product
Primary Antibodies

AB181020

Anti-CXCR4 antibody [EPUMBR3]

primary-antibodies

cxcr4-antibody-epumbr3-ab181020

5

(2 reviews)

Alternative Product
Primary Antibodies

AB222223

Anti-CXCR4 antibody [EPUMBR3] - Low endotoxin, Azide free

primary-antibodies

cxcr4-antibody-epumbr3-low-endotoxin-azide-free-ab222223

0

(0 reviews)

Alternative Product
Primary Antibodies

AB216390

Alexa Fluor® 488 Anti-CXCR4 antibody [EPUMBR3]

primary-antibodies

alexa-fluor-488-cxcr4-antibody-epumbr3-ab216390

0

(0 reviews)

Alternative Product
Primary Antibodies

AB219178

Anti-CXCR4 antibody - C-terminal

primary-antibodies

cxcr4-antibody-c-terminal-ab219178

0

(0 reviews)

Alternative Product
Primary Antibodies

AB271934

Anti-CXCR4 antibody [EPUMBR3] - BSA and Azide free

primary-antibodies

cxcr4-antibody-epumbr3-bsa-and-azide-free-ab271934

0

(0 reviews)

Alternative Version
Primary Antibodies

AB208128

Alexa Fluor® 488 Anti-CXCR4 antibody [UMB2]

primary-antibodies

alexa-fluor-488-cxcr4-antibody-umb2-ab208128

5

(1 reviews)

Alternative Version
Primary Antibodies

AB208129

Alexa Fluor® 647 Anti-CXCR4 antibody [UMB2]

primary-antibodies

alexa-fluor-647-cxcr4-antibody-umb2-ab208129

0

(0 reviews)

Alternative Version
Primary Antibodies

AB211982

Alexa Fluor® 555 Anti-CXCR4 antibody [UMB2]

primary-antibodies

alexa-fluor-555-cxcr4-antibody-umb2-ab211982

0

(0 reviews)

Alternative Version
Primary Antibodies

AB211984

Alexa Fluor® 594 Anti-CXCR4 antibody [UMB2]

primary-antibodies

alexa-fluor-594-cxcr4-antibody-umb2-ab211984

0

(0 reviews)

Please note: All products are 'FOR RESEARCH USE ONLY. NOT FOR USE IN DIAGNOSTIC OR THERAPEUTIC PROCEDURES'.

For licensing inquiries, please contact partnerships@abcam.com