JavaScript is disabled in your browser. Please enable JavaScript to view this website.
AB254415

Anti-CXCR5 antibody [EPR23463-30]

  • BOND RX™ Validated
  • RabMAb
  • Recombinant
  • KO Validated
  • What is this?

3

(2 Reviews)

|

(12 Publications)

Anti-CXCR5 antibody [EPR23463-30] (ab254415) is a rabbit monoclonal antibody detecting CXCR5 in Western Blot, Flow Cytometry, IHC-P, ICC/IF. Suitable for Human, Mouse, Rat.

- KO validated for confirmed specificity
- Biophysical QC for unrivalled batch-batch consistency

View Alternative Names

CD185, BLR1, MDR15, CXCR5, C-X-C chemokine receptor type 5, CXC-R5, CXCR-5, Burkitt lymphoma receptor 1, Monocyte-derived receptor 15, MDR-15

11 Images
Flow Cytometry - Anti-CXCR5 antibody [EPR23463-30] (AB254415)
  • Flow Cyt

Lab

Flow Cytometry - Anti-CXCR5 antibody [EPR23463-30] (AB254415)

Flow cytometry staining of human peripheral blood mononuclear cells (PBMCs) with ab254415 (right) or Recombinant Rabbit IgG, monoclonal [EPR25A] - Isotype Control (ab172730) (left). PBMCs were incubated for 30 mins on ice in 1x PBS containing 10 µg/ml human IgG and 10 % normal goat serum to block FC receptors and non-specific protein-protein interaction followed by the antibody ab254415 or Recombinant Rabbit IgG, monoclonal [EPR25A] - Isotype Control (ab172730) (1x 106 in 100 µl at 0.2 μg/ml (1/11500 dilution)) for 30 mins on ice. The cells were simultaneously stained with CD19.

The secondary antibody Goat Anti-Rabbit IgG H&L (Alexa Fluor® 488) preadsorbed was incubated at 1/4000 dilution for 30 mins on ice

Acquisition of >30000 events were collected using a 50 mW Blue laser (488nm) and 525/40 bandpass filter. Events were gated on live cells.

Immunohistochemistry (Formalin/PFA-fixed paraffin-embedded sections) - Anti-CXCR5 antibody [EPR23463-30] (AB254415)
  • IHC-P

Unknown

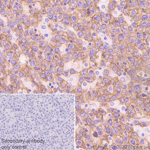
Immunohistochemistry (Formalin/PFA-fixed paraffin-embedded sections) - Anti-CXCR5 antibody [EPR23463-30] (AB254415)

Immunohistochemical analysis of paraffin-embedded human diffuse large B-cell lymphoma tissue labeling CXCR5 with ab254415 at 1/5000 dilution followed by ready to use Rabbit specific IHC polymer detection kit HRP/DAB (ab209101). Positive staining on human diffuse large B-cell lymphoma. The section was incubated with ab254415 for 10 mins at room temperature. The immunostaining was performed on a Leica Biosystems BOND® RX instrument. Counterstained with Hematoxylin.

Secondary antibody only control : Secondary antibody is ready to use Rabbit specific IHC polymer detection kit HRP/DAB (ab209101).

Heat mediated antigen retrieval with Citrate buffer (pH 6.0, epitope retrieval solution 1) for 20 mins.

Flow Cytometry - Anti-CXCR5 antibody [EPR23463-30] (AB254415)
  • Flow Cyt

Unknown

Flow Cytometry - Anti-CXCR5 antibody [EPR23463-30] (AB254415)

Flow cytometric analysis of human peripheral blood mononuclear cell (PBMC) cells labelling CXCR5 with ab254415 at 1/500 dilution (0.1μg) (Right) compared with a Rabbit monoclonal IgG (ab172730) isotype control (Left). Goat anti rabbit IgG (Alexa Fluor® 488, ab150077) was used as the secondary at a 1/2000 dilution. Cells were stained with rabbit IgG (Left) or ab254415 (Right), then stained with anti-CD19 conjugated to Alexa Fluor® 647.

Gated on viable cells.

Immunohistochemistry (Formalin/PFA-fixed paraffin-embedded sections) - Anti-CXCR5 antibody [EPR23463-30] (AB254415)
  • IHC-P

Unknown

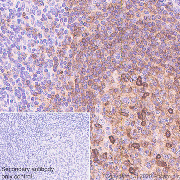
Immunohistochemistry (Formalin/PFA-fixed paraffin-embedded sections) - Anti-CXCR5 antibody [EPR23463-30] (AB254415)

Immunohistochemical analysis of paraffin-embedded human tonsil tissue labeling CXCR5 with ab254415 at 1/5000 dilution followed by ready to use Rabbit specific IHC polymer detection kit HRP/DAB (ab209101). Positive staining on human tonsil (PMID : 12393412). The section was incubated with ab254415 for 10 mins at room temperature. The immunostaining was performed on a Leica Biosystems BOND® RX instrument. Counterstained with Hematoxylin.

Secondary antibody only control : Secondary antibody is ready to use Rabbit specific IHC polymer detection kit HRP/DAB (ab209101).

Heat mediated antigen retrieval with Citrate buffer (pH 6.0, epitope retrieval solution 1) for 20 mins.

Flow Cytometry - Anti-CXCR5 antibody [EPR23463-30] (AB254415)
  • Flow Cyt

Unknown

Flow Cytometry - Anti-CXCR5 antibody [EPR23463-30] (AB254415)

Flow cytometric analysis of Raji (Human Burkitt's lymphoma B lymphocyte) cells labelling CXCR5 with ab254415 at 1/500 dilution (0.1μg) (Red) compared with a Rabbit monoclonal IgG (ab172730) (Black) isotype control and an unlabelled control (cells without incubation with primary antibody and secondary antibody) (Blue). Goat anti rabbit IgG (Alexa Fluor® 488, ab150077) at 1/2000 dilution was used as the secondary antibody. Gated on viable cells.

Flow Cytometry - Anti-CXCR5 antibody [EPR23463-30] (AB254415)
  • Flow Cyt

Lab

Flow Cytometry - Anti-CXCR5 antibody [EPR23463-30] (AB254415)

Flow cytometry overlay histogram showing wild-type Raji (green line) and CXCR5 knockout Raji cells (ab273380) stained with ab254415 (red line). The cells were incubated in 1x PBS containing 10μg/ml human IgG and 10% normal goat serumto block FC receptors and non-specific protein-protein interaction followed by the antibody (ab254415) (1x106 in 100μl at 0.2 μg/ml) for 30 min at 4°C.

The secondary antibody Goat anti-rabbit IgG H&L (Alexa Fluor® 488 pre-adsorbed) (ab150081) was used at 1/2000 for 30 min at 4°C.

Isotype control antibody was Rabbit IgG (monoclonal) (ab172730) used at the same concentration and conditions as the primary antibody (wild-type Raji - black line; CXCR5 knockout Raji - grey line). Unlabelled sample was also used as a control (this line is not shown for the purpose of simplicity).

Acquisition of >5000 events were collected using a 50 mW Blue laser (488nm) and 525/40 bandpass filter.

Immunocytochemistry/ Immunofluorescence - Anti-CXCR5 antibody [EPR23463-30] (AB254415)
  • ICC/IF

Lab

Immunocytochemistry/ Immunofluorescence - Anti-CXCR5 antibody [EPR23463-30] (AB254415)

ab254415 staining CXCR5 in Daudi cells (top panel, positive control) and Jurkat cells (bottom panel, negative control). The cells were fixed with 4% paraformaldehyde (10 min) then permeabilized with 0.1% Triton X-100 for 5 minutes and then blocked with 1% BSA/10% normal goat serum/0.3M glycine in 0.1% PBS-Tween for 1h. The cells were then incubated with ab254415 at 5μg/ml concentration and ab7291 (Mouse monoclonal to alpha Tubulin) at 1/1000 dilution overnight at 4°C followed by a further incubation at room temperature for 1h with a goat secondary antibody to rabbit IgG (Alexa Fluor® 488) (ab150081) at 2 μg/ml (shown in green) and a goat secondary antibody to mouse IgG (Alexa Fluor® 594) (ab150120) at 2 μg/ml (shown in red). Nuclear DNA was labelled in blue with DAPI.
Image was taken with a confocal microscope (Leica-Microsystems TCS SP8).

Western blot - Anti-CXCR5 antibody [EPR23463-30] (AB254415)
  • WB

Lab

Western blot - Anti-CXCR5 antibody [EPR23463-30] (AB254415)

Lanes 1 - 4 : Merged signal (red and green). Green - ab254415 observed at 60 kDa. Red - loading control ab7291 (Mouse anti-Alpha Tubulin [DM1A]) observed at 55 kDa.

ab254415 was shown to react with CXCR5 in Raji wild-type cells in Western blot with loss of signal observed in CXCR5 knockout sample. Wild-type and CXCR5 knockout Raji cell lysates were subjected to SDS-PAGE. Membranes were blocked in fluorescent western blot (TBS-based) blocking solution before incubation with ab254415 and ab7291 (Mouse anti-Alpha Tubulin [DM1A]) overnight at 4 °C at a 1 in 1000 dilution and a 1 in 20000 dilution respectively. Blots were incubated with Goat anti-Rabbit IgG H&L (IRDye® 800CW) preabsorbed (ab216773) and Goat anti-Mouse IgG H&L (IRDye® 680RD) preabsorbed (ab216776) secondary antibodies at 1 in 20000 dilution for 1 h at room temperature before imaging.

All lanes:

Western blot - Anti-CXCR5 antibody [EPR23463-30] (ab254415) at 1/1000 dilution

Lane 1:

Wild-type Raji cell lysate at 30 µg

Lane 2:

CXCR5 knockout Raji cell lysate at 30 µg

Lane 2:

Western blot - Human CXCR5 knockout Raji cell line (<a href='/en-us/products/cell-lines/human-cxcr5-knockout-raji-cell-line-ab273380'>ab273380</a>)

Lane 3:

Daudi cell lysate at 30 µg

Lane 4:

Jurkat cell lysate at 30 µg

Predicted band size: 42 kDa

false

Western blot - Anti-CXCR5 antibody [EPR23463-30] (AB254415)
  • WB

Lab

Western blot - Anti-CXCR5 antibody [EPR23463-30] (AB254415)

Blocking and diluting buffer and concentration : 5% NFDM/TBST.

This blot was developed using a higher sensitivity ECL substrate.

Samples are non-boiled as boiling may cause protein aggregates.

The expression profile/ molecular weight observed is consistent with what has been described in the literature (PMID : 30553016).

Exposure time : 122 seconds.

All lanes:

Western blot - Anti-CXCR5 antibody [EPR23463-30] (ab254415) at 1/1000 dilution

Lane 1:

Rat lymph node tissue lysate at 20 µg

Lane 2:

C6 (rat glial tumor glial cell), whole cell lysate at 20 µg

Secondary

All lanes:

Goat Anti-Rabbit IgG, (H+L), Peroxidase conjugated (<a href='/en-us/products/secondary-antibodies/goat-rabbit-igg-h-l-hrp-ab97051'>ab97051</a>) at 1/100000 dilution

Predicted band size: 42 kDa

Observed band size: 42 kDa

false

Western blot - Anti-CXCR5 antibody [EPR23463-30] (AB254415)
  • WB

Lab

Western blot - Anti-CXCR5 antibody [EPR23463-30] (AB254415)

Blocking and diluting buffer and concentration : 5% NFDM/TBST.

This blot was developed using a higher sensitivity ECL substrate.

Samples are non-boiled as boiling may cause protein aggregates.

The expression profile/ molecular weight observed is consistent with what has been described in the literature (PMID : 30553016).

Exposure time : 122 seconds.

All lanes:

Western blot - Anti-CXCR5 antibody [EPR23463-30] (ab254415) at 1/1000 dilution

Lane 1:

Mouse spleen tissue lysate at 20 µg

Lane 2:

Mouse lymph node tissue lysate at 20 µg

Secondary

All lanes:

Goat Anti-Rabbit IgG, (H+L), Peroxidase conjugated (<a href='/en-us/products/secondary-antibodies/goat-rabbit-igg-h-l-hrp-ab97051'>ab97051</a>) at 1/100000 dilution

Predicted band size: 42 kDa

Observed band size: 42 kDa

false

Western blot - Anti-CXCR5 antibody [EPR23463-30] (AB254415)
  • WB

Lab

Western blot - Anti-CXCR5 antibody [EPR23463-30] (AB254415)

Blocking and diluting buffer and concentration : 5% NFDM/TBST.

Samples are non-boiled as boiling may cause protein aggregates.

The expression profile/ molecular weight observed is consistent with what has been described in the literature (PMID : 30553016).

Exposure time : 20 seconds.

All lanes:

Western blot - Anti-CXCR5 antibody [EPR23463-30] (ab254415) at 1/1000 dilution

Lane 1:

Neuro-2a (mouse neuroblastoma neuroblast), whole cell lysate at 20 µg

Lane 2:

A20 (mouse reticulum sarcoma B lymphocyte), whole cell lysate at 20 µg

Secondary

All lanes:

Goat Anti-Rabbit IgG, (H+L), Peroxidase conjugated (<a href='/en-us/products/secondary-antibodies/goat-rabbit-igg-h-l-hrp-ab97051'>ab97051</a>) at 1/100000 dilution

Predicted band size: 42 kDa

Observed band size: 42 kDa

false

  • Carrier free

    Anti-CXCR5 antibody [EPR23463-30] - BSA and Azide free

  • 578 PE

    PE Anti-CXCR5 antibody [EPR23463-30]

  • 660 APC

    APC Anti-CXCR5 antibody [EPR23463-30]

  • 519 FITC

    FITC Anti-CXCR5 antibody [EPR23463-30]

  • Carrier free

    Anti-CXCR5 antibody [EPR23463-30] - BSA and Azide free (Detector)

Key facts

Host species

Rabbit

Clonality

Monoclonal

Clone number

EPR23463-30

Isotype

IgG

Carrier free

No

Reacts with

Mouse, Rat, Human

Applications

ICC/IF, WB, IHC-P, Flow Cyt

applications

Immunogen

The exact immunogen used to generate this antibody is proprietary information.

Specificity

We observe only weak staining in human WB. We do not suggest this product for use in IHC with mouse or rat.

Reactivity data

{ "title": "Reactivity Data", "filters": { "stats": ["", "Species", "Dilution Info", "Notes"], "tabs": { "all-applications": {"fullname" : "All Applications", "shortname": "All Applications"}, "IHCP" : {"fullname" : "Immunohistochemistry (Formalin/PFA-fixed paraffin-embedded sections)", "shortname":"IHC-P"}, "ICCIF" : {"fullname" : "Immunocytochemistry/ Immunofluorescence", "shortname":"ICC/IF"}, "IP" : {"fullname" : "Immunoprecipitation", "shortname":"IP"}, "FlowCyt" : {"fullname" : "Flow Cytometry", "shortname":"Flow Cyt"}, "WB" : {"fullname" : "Western blot", "shortname":"WB"} }, "product-promise": { "all": "all", "testedAndGuaranteed": "tested", "guaranteed": "expected", "predicted": "predicted", "notRecommended": "not-recommended" } }, "values": { "Human": { "IHCP-species-checked": "testedAndGuaranteed", "IHCP-species-dilution-info": "1/5000", "IHCP-species-notes": "<p>We do not suggest this product for use in IHC with mouse or rat.</p>", "ICCIF-species-checked": "testedAndGuaranteed", "ICCIF-species-dilution-info": "5 µg/mL", "ICCIF-species-notes": "<p></p>", "IP-species-checked": "notRecommended", "IP-species-dilution-info": "", "IP-species-notes": "<p></p>", "FlowCyt-species-checked": "testedAndGuaranteed", "FlowCyt-species-dilution-info": "1/11500", "FlowCyt-species-notes": "<p></p>", "WB-species-checked": "testedAndGuaranteed", "WB-species-dilution-info": "1/1000", "WB-species-notes": "<p>We observe only weak staining in human WB.</p>" }, "Mouse": { "IHCP-species-checked": "notRecommended", "IHCP-species-dilution-info": "1/5000", "IHCP-species-notes": "<p>We do not suggest this product for use in IHC with mouse or rat.</p>", "ICCIF-species-checked": "notRecommended", "ICCIF-species-dilution-info": "5 g/mL", "ICCIF-species-notes": "<p></p>", "IP-species-checked": "notRecommended", "IP-species-dilution-info": "", "IP-species-notes": "<p></p>", "FlowCyt-species-checked": "notRecommended", "FlowCyt-species-dilution-info": "", "FlowCyt-species-notes": "<p></p>", "WB-species-checked": "testedAndGuaranteed", "WB-species-dilution-info": "1/1000", "WB-species-notes": "<p>We observe only weak staining in human WB.</p>" }, "Rat": { "IHCP-species-checked": "notRecommended", "IHCP-species-dilution-info": "1/5000", "IHCP-species-notes": "<p>We do not suggest this product for use in IHC with mouse or rat.</p>", "ICCIF-species-checked": "guaranteed", "ICCIF-species-dilution-info": "", "ICCIF-species-notes": "", "IP-species-checked": "notRecommended", "IP-species-dilution-info": "", "IP-species-notes": "", "FlowCyt-species-checked": "guaranteed", "FlowCyt-species-dilution-info": "", "FlowCyt-species-notes": "", "WB-species-checked": "testedAndGuaranteed", "WB-species-dilution-info": "1/1000", "WB-species-notes": "<p>We observe only weak staining in human WB.</p>" } } }

Product details

What is this antibody validated in?
Anti-CXCR5 antibody [EPR23463-30] (ab254415) is a rabbit recombinant monoclonal antibody and is validated for use in Western Blot (WB), Flow Cytometry (Flow Cyt), Immunohistochemistry (IHC-P), Immunocytochemistry/immunofluorescence (ICC/IF) in Human, Mouse, Rat samples.

What is the molecular weight of CXCR5?
Anti-CXCR5 [EPR23463-30] (ab254415) specifically detects a band for CXCR5 (UniProt: P32302) at a molecular weight of 42kDa.

Trial sizes available!
Test your antibody or perform pre-screening before committing to a larger quantity. Sold in 10µl. Discover our selection of trial-size antibodies.

Specificity confirmed
The specificity of Anti-CXCR5 antibody [EPR23463-30] (ab254415) has been confirmed by Western blot testing in CXCR5 Knockout Raji cell line, ab273380.

Other related products
We have a range of other formats of antibody clone [EPR23463-30] also available for your convenience: ab254415, Carrier free - ab272936, Oligonucleotide - ab284446, Carrier free - ab305143, PE - ab307637, APC - ab316179, FITC - ab322305

Patented technology
Our RabMAb® technology is a patented hybridoma-based technology for making rabbit monoclonal antibodies. For details on our patents, please refer to RabMAb® patents.

What are the advantages of a recombinant monoclonal antibody?
This product is a recombinant monoclonal antibody, which offers several advantages including:

  • - High batch-to-batch consistency and reproducibility
  • - Improved sensitivity and specificity
  • - Long-term security of supply
  • - Animal-free batch production

For more information, read more on recombinant antibodies.

Properties and storage information

Form
Liquid
Purification technique
Affinity purification Protein A
Storage buffer
pH: 7.2 - 7.4 Preservative: 0.01% Sodium azide Constituents: PBS, 40% Glycerol (glycerin, glycerine), 0.05% BSA
Shipped at conditions
Blue Ice
Appropriate short-term storage duration
1-2 weeks
Appropriate short-term storage conditions
+4°C
Appropriate long-term storage conditions
-20°C
Aliquoting information
Upon delivery aliquot
Storage information
Avoid freeze / thaw cycle

Supplementary information

This supplementary information is collated from multiple sources and compiled automatically.

CXCR5 also known as CD185 is a chemokine receptor with a mass of approximately 43 kDa. It is part of the G protein-coupled receptor family and is widely expressed on follicular B helper T (Tfh) cells B cells and a subset of circulating blood cells. CXCR5 is recognized as a marker for Tfh cells which are critical for the function and maturation of B cells within germinal centers. In tissues CXCR5 expression appears prominently in regions where immune cell interactions facilitate immune and inflammatory responses.
Biological function summary

CXCR5 serves a significant role in directing B cells and Tfh cells to lymphoid tissues by interacting with its ligand CXCL13. This interaction involves recruitment and organization of B cells into follicles within secondary lymphoid organs. The presence of CXCR5 allows B cells and Tfh cells to navigate the follicular zones efficiently enhance antigen-specific immune responses and contribute to long-lived humoral immunity. CXCR5 functions as part of a complex that includes signaling pathways influencing cellular movements and location.

Pathways

CXCR5 plays a significant part in the immune system's trafficking pathways particularly within the crosstalk between chemokines and their receptors. CXCR5 expression facilitates the CXC chemokine pathway which important for positioning immune cells within lymphoid organs. Additionally CXCR5 interacts with proteins such as CXCL13 working together to pattern the architecture of germinal centers where affinity maturation and class switching of antibodies occur critical processes in adaptive immunity.

CXCR5 has been implicated in autoimmune diseases and certain lymphomas. For example aberrant CXCR5 expression is linked to the pathogenesis of diseases like systemic lupus erythematosus (SLE) where it might contribute to immune dysregulation and chronic inflammation. In the context of certain lymphomas CXCR5's role in lymphoid organ architecture and cell migration becomes even more relevant. Its expression often parallels the presence of CXCL13 hinting at a network of interactions promoting tumor survival and growth within lymphoid landscapes. Understanding these relationships can offer insight into developing therapeutic strategies potentially involving CXCR5 inhibitors or anti-CXCR5 antibodies to address these diseases.

Product protocols

For this product, it's our understanding that no specific protocols are required. You can visit:

Target data

Cytokine receptor that binds to B-lymphocyte chemoattractant (BLC). Involved in B-cell migration into B-cell follicles of spleen and Peyer patches but not into those of mesenteric or peripheral lymph nodes. May have a regulatory function in Burkitt lymphoma (BL) lymphomagenesis and/or B-cell differentiation.
See full target information CXCR5

Publications (12)

Recent publications for all applications. Explore the full list and refine your search

Molecular neurodegeneration 20:103 PubMed41035073

2025

Molecular hallmarks of excitatory and inhibitory neuronal resilience to Alzheimer's disease.

Applications

Unspecified application

Species

Unspecified reactive species

Isabel Castanho,Pourya Naderi Yeganeh,Carles A Boix,Sarah L Morgan,Hansruedi Mathys,Dmitry Prokopenko,Bartholomew White,Larisa M Soto,Giulia Pegoraro,Saloni Shah,Athanasios Ploumakis,Nikolas Kalavros,David A Bennett,Christoph Lange,Doo Yeon Kim,Lars Bertram,Li-Huei Tsai,Manolis Kellis,Rudolph E Tanzi,Winston Hide

Frontiers in immunology 16:1508559 PubMed40078987

2025

Single-cell RNA-sequencing reveals cellular heterogeneity and immune microenvironment characteristics between ocular adnexal mucosa-associated lymphoid lymphoma and IgG4-related ophthalmic disease.

Applications

Unspecified application

Species

Unspecified reactive species

Yu Yang,Yujiao Wang,Xuelian Jin,Weimin He

Cancer cell international 24:350 PubMed39462422

2024

Identification and validation of a prognostic model based on three TLS-Related genes in oral squamous cell carcinoma.

Applications

Unspecified application

Species

Unspecified reactive species

Bincan Sun,Chengwen Gan,Yan Tang,Qian Xu,Kai Wang,Feiya Zhu

Scientific reports 14:24426 PubMed39424871

2024

Machine learning-based model for CD4 conventional T cell genes to predict survival and immune responses in colorectal cancer.

Applications

Unspecified application

Species

Unspecified reactive species

Zijing Wang,Zhanyuan Sun,Hengyi Lv,Wenjun Wu,Hai Li,Tao Jiang

Frontiers in immunology 15:1343805 PubMed39403387

2024

Unlocking the secrets of NPSLE: the role of dendritic cell-secreted CCL2 in blood-brain barrier disruption.

Applications

Unspecified application

Species

Unspecified reactive species

Lei Wang,Guimin Zheng,Peiwen Wang,Xiuchuan Jia

Nature communications 15:7713 PubMed39231979

2024

Single-cell and spatial transcriptome analyses reveal tertiary lymphoid structures linked to tumour progression and immunotherapy response in nasopharyngeal carcinoma.

Applications

Unspecified application

Species

Unspecified reactive species

Yang Liu,Shuang-Yan Ye,Shuai He,Dong-Mei Chi,Xiu-Zhi Wang,Yue-Feng Wen,Dong Ma,Run-Cong Nie,Pu Xiang,You Zhou,Zhao-Hui Ruan,Rou-Jun Peng,Chun-Ling Luo,Pan-Pan Wei,Guo-Wang Lin,Jian Zheng,Qian Cui,Mu-Yan Cai,Jing-Ping Yun,Junchao Dong,Hai-Qiang Mai,Xiaojun Xia,Jin-Xin Bei

Clinical and translational medicine 14:e1699 PubMed38783408

2024

Landscape of gut mucosal immune cells showed gap of follicular or memory B cells into plasma cells in immunological non-responders.

Applications

Unspecified application

Species

Unspecified reactive species

Zerui Wang,Cheng Zhen,Xiaoyan Guo,Mengmeng Qu,Chao Zhang,Jinwen Song,Xing Fan,Huihuang Huang,Ruonan Xu,Jiyuan Zhang,Jinhong Yuan,Weiguo Hong,Jiaying Li,Fu-Sheng Wang,Yan-Mei Jiao,Enqiang Linghu

Frontiers in immunology 15:1295309 PubMed38426098

2024

CXCR5TIM-3PD-1 stem-like cytotoxic CD8 T cells: elevated in chronic rhinosinusitis and associated with disease severity.

Applications

Unspecified application

Species

Unspecified reactive species

Zhichen Liu,Zixuan Zhao,Huanxia Xie,Ning Lu,Jisheng Liu,Qingqing Jiao

Vaccines 11: PubMed38140228

2023

Lipid A Is a Potent Adjuvant That Induces Sterilizing Immunity against Leptospirosis.

Applications

Unspecified application

Species

Unspecified reactive species

Vivek P Varma,Mohammad Kadivella,Sridhar Kavela,Syed M Faisal

Aging 15:9822-9841 PubMed37737713

2023

Single-cell and bulk sequencing analyses reveal the immune suppressive role of PTPN6 in glioblastoma.

Applications

Unspecified application

Species

Unspecified reactive species

Xiaonan Zhang,Jie Chen,Ming Zhang,Saisai Liu,Tao Wang,Tianyu Wu,Baiqing Li,Shidi Zhao,Hongtao Wang,Li Li,Chun Wang,Li Huang
View all publications

Product promise

We are committed to supporting your work with high-quality reagents, and we're here for you every step of the way. In the unlikely event that one of our products does not perform as expected, you're protected by our Product Promise.
For full details, please see our Terms & Conditions

Please note: All products are 'FOR RESEARCH USE ONLY. NOT FOR USE IN DIAGNOSTIC OR THERAPEUTIC PROCEDURES'.

For licensing inquiries, please contact partnerships@abcam.com