JavaScript is disabled in your browser. Please enable JavaScript to view this website.
AB272936

Anti-CXCR5 antibody [EPR23463-30] - BSA and Azide free

  • BOND RX™ Validated
  • RabMAb
  • Recombinant
  • KO Validated
  • What is this?

Be the first to review this product! Submit a review

|

(0 Publication)

Anti-CXCR5 antibody [EPR23463-30] - BSA and Azide free (ab272936) is a rabbit recombinant monoclonal antibody in a PBS only buffer for easy conjugation detecting CXCR5 in Western Blot, Flow Cytometry, IHC-P, ICC/IF. Suitable for Human, Mouse, Rat.

- KO validated for confirmed specificity
- BSA, sodium azide, and glycerol-free for easy conjugation
- Biophysical QC for unrivalled batch-batch consistency

View Alternative Names

CD185, BLR1, MDR15, CXCR5, C-X-C chemokine receptor type 5, CXC-R5, CXCR-5, Burkitt lymphoma receptor 1, Monocyte-derived receptor 15, MDR-15

8 Images
Flow Cytometry - Anti-CXCR5 antibody [EPR23463-30] - BSA and Azide free (AB272936)
  • Flow Cyt

Lab

Flow Cytometry - Anti-CXCR5 antibody [EPR23463-30] - BSA and Azide free (AB272936)

This data was developed using the same antibody clone in a different buffer formulation (ab254415).

Flow cytometry staining of human peripheral blood mononuclear cells (PBMCs) with ab254415 (right) or Recombinant Rabbit IgG, monoclonal [EPR25A] - Isotype Control (ab172730) (left). PBMCs were incubated for 30 mins on ice in 1x PBS containing 10 µg/ml human IgG and 10 % normal goat serum to block FC receptors and non-specific protein-protein interaction followed by the antibody ab254415 or Recombinant Rabbit IgG, monoclonal [EPR25A] - Isotype Control (ab172730) (1x 106 in 100 µl at 0.2 μg/ml (1/11500 dilution)) for 30 mins on ice. The cells were simultaneously stained with CD19.

The secondary antibody Goat Anti-Rabbit IgG H&L (Alexa Fluor® 488) preadsorbed was incubated at 1/4000 dilution for 30 mins on ice

Acquisition of >30000 events were collected using a 50 mW Blue laser (488nm) and 525/40 bandpass filter. Events were gated on live cells.

Flow Cytometry - Anti-CXCR5 antibody [EPR23463-30] - BSA and Azide free (AB272936)
  • Flow Cyt

Unknown

Flow Cytometry - Anti-CXCR5 antibody [EPR23463-30] - BSA and Azide free (AB272936)

Flow cytometric analysis of Raji (Human Burkitt's lymphoma B lymphocyte) cells labelling CXCR5 with ab254415 at 1/500 dilution (0.1μg) (Red) compared with a Rabbit monoclonal IgG (ab172730) (Black) isotype control and an unlabelled control (cells without incubation with primary antibody and secondary antibody) (Blue). Goat anti rabbit IgG (Alexa Fluor® 488, ab150077) at 1/2000 dilution was used as the secondary antibody. Gated on viable cells.

This data was developed using the same antibody clone in a different buffer formulation containing PBS, BSA, glycerol, and sodium azide (ab254415).

Flow Cytometry - Anti-CXCR5 antibody [EPR23463-30] - BSA and Azide free (AB272936)
  • Flow Cyt

Lab

Flow Cytometry - Anti-CXCR5 antibody [EPR23463-30] - BSA and Azide free (AB272936)

This data was developed using the same antibody clone in a different buffer formulation (ab254415)

Flow cytometry overlay histogram showing wild-type Raji (green line) and CXCR5 knockout Raji cells (ab273380) stained with ab254415 (red line). The cells were incubated in 1x PBS containing 10μg/ml human IgG and 10% normal goat serumto block FC receptors and non-specific protein-protein interaction followed by the antibody (ab254415) (1x106 in 100μl at 0.2 μg/ml) for 30 min at 4°C.

The secondary antibody Goat anti-rabbit IgG H&L (Alexa Fluor® 488 pre-adsorbed) (ab150081) was used at 1/2000 for 30 min at 4°C.

Isotype control antibody was Rabbit IgG (monoclonal) (ab172730) used at the same concentration and conditions as the primary antibody (wild-type Raji - black line; CXCR5 knockout Raji - grey line). Unlabelled sample was also used as a control (this line is not shown for the purpose of simplicity).

Acquisition of >5000 events were collected using a 50 mW Blue laser (488nm) and 525/40 bandpass filter.

Immunocytochemistry/ Immunofluorescence - Anti-CXCR5 antibody [EPR23463-30] - BSA and Azide free (AB272936)
  • ICC/IF

Lab

Immunocytochemistry/ Immunofluorescence - Anti-CXCR5 antibody [EPR23463-30] - BSA and Azide free (AB272936)

This data was developed using the same antibody clone in a different buffer formulation (ab254415). ab254415 staining CXCR5 in Daudi cells (top panel, positive control) and Jurkat cells (bottom panel, negative control). The cells were fixed with 4% paraformaldehyde (10 min) then permeabilized with 0.1% Triton X-100 for 5 minutes and then blocked with 1% BSA/10% normal goat serum/0.3M glycine in 0.1% PBS-Tween for 1h. The cells were then incubated with ab254415 at 5μg/ml concentration and ab7291 (Mouse monoclonal to alpha Tubulin) at 1/1000 dilution overnight at 4°C followed by a further incubation at room temperature for 1h with a goat secondary antibody to rabbit IgG (Alexa Fluor® 488) (ab150081) at 2 μg/ml (shown in green) and a goat secondary antibody to mouse IgG (Alexa Fluor® 594) (ab150120) at 2 μg/ml (shown in red). Nuclear DNA was labelled in blue with DAPI.
Image was taken with a confocal microscope (Leica-Microsystems TCS SP8).

Immunohistochemistry (Formalin/PFA-fixed paraffin-embedded sections) - Anti-CXCR5 antibody [EPR23463-30] - BSA and Azide free (AB272936)
  • IHC-P

Unknown

Immunohistochemistry (Formalin/PFA-fixed paraffin-embedded sections) - Anti-CXCR5 antibody [EPR23463-30] - BSA and Azide free (AB272936)

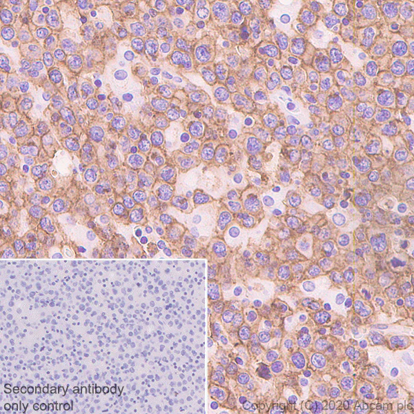
Immunohistochemical analysis of paraffin-embedded human diffuse large B-cell lymphoma tissue labeling CXCR5 with ab254415 at 1/5000 dilution followed by ready to use Rabbit specific IHC polymer detection kit HRP/DAB (ab209101). Positive staining on human diffuse large B-cell lymphoma. The section was incubated with ab254415 for 10 mins at room temperature. The immunostaining was performed on a Leica Biosystems BOND® RX instrument. Counterstained with Hematoxylin.

Secondary antibody only control : Secondary antibody is ready to use Rabbit specific IHC polymer detection kit HRP/DAB (ab209101).

Heat mediated antigen retrieval with Citrate buffer (pH 6.0, epitope retrieval solution 1) for 20 mins.

This data was developed using the same antibody clone in a different buffer formulation containing PBS, BSA, glycerol, and sodium azide (ab254415).

Flow Cytometry - Anti-CXCR5 antibody [EPR23463-30] - BSA and Azide free (AB272936)
  • Flow Cyt

Unknown

Flow Cytometry - Anti-CXCR5 antibody [EPR23463-30] - BSA and Azide free (AB272936)

Flow cytometric analysis of human peripheral blood mononuclear cell (PBMC) cells labelling CXCR5 with ab254415 at 1/500 dilution (0.1μg) (Right) compared with a Rabbit monoclonal IgG (ab172730) isotype control (Left). Goat anti rabbit IgG (Alexa Fluor® 488, ab150077) was used as the secondary at a 1/2000 dilution. Cells were stained with rabbit IgG (Left) or ab254415 (Right), then stained with anti-CD19 conjugated to Alexa Fluor® 647.

Gated on viable cells.

This data was developed using the same antibody clone in a different buffer formulation containing PBS, BSA, glycerol, and sodium azide (ab254415).

Immunohistochemistry (Formalin/PFA-fixed paraffin-embedded sections) - Anti-CXCR5 antibody [EPR23463-30] - BSA and Azide free (AB272936)
  • IHC-P

Unknown

Immunohistochemistry (Formalin/PFA-fixed paraffin-embedded sections) - Anti-CXCR5 antibody [EPR23463-30] - BSA and Azide free (AB272936)

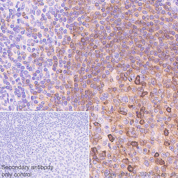
Immunohistochemical analysis of paraffin-embedded human tonsil tissue labeling CXCR5 with ab254415 at 1/5000 dilution followed by ready to use Rabbit specific IHC polymer detection kit HRP/DAB (ab209101). Positive staining on human tonsil (PMID : 12393412). The section was incubated with ab254415 for 10 mins at room temperature. The immunostaining was performed on a Leica Biosystems BOND® RX instrument. Counterstained with Hematoxylin.

Secondary antibody only control : Secondary antibody is ready to use Rabbit specific IHC polymer detection kit HRP/DAB (ab209101).

Heat mediated antigen retrieval with Citrate buffer (pH 6.0, epitope retrieval solution 1) for 20 mins.

This data was developed using the same antibody clone in a different buffer formulation containing PBS, BSA, glycerol, and sodium azide (ab254415).

Western blot - Anti-CXCR5 antibody [EPR23463-30] - BSA and Azide free (AB272936)
  • WB

Lab

Western blot - Anti-CXCR5 antibody [EPR23463-30] - BSA and Azide free (AB272936)

This data was developed using the same antibody clone in a different buffer formulation (ab254415).

Lanes 1 - 4 : Merged signal (red and green). Green - ab254415 observed at 60 kDa. Red - loading control ab7291 (Mouse anti-Alpha Tubulin [DM1A]) observed at 55 kDa.

ab254415 was shown to react with CXCR5 in Raji wild-type cells in Western blot with loss of signal observed in CXCR5 knockout sample. Wild-type and CXCR5 knockout Raji cell lysates were subjected to SDS-PAGE. Membranes were blocked in fluorescent western blot (TBS-based) blocking solution before incubation with ab254415 and ab7291 (Mouse anti-Alpha Tubulin [DM1A]) overnight at 4 °C at a 1 in 1000 dilution and a 1 in 20000 dilution respectively. Blots were incubated with Goat anti-Rabbit IgG H&L (IRDye® 800CW) preabsorbed (ab216773) and Goat anti-Mouse IgG H&L (IRDye® 680RD) preabsorbed (ab216776) secondary antibodies at 1 in 20000 dilution for 1 h at room temperature before imaging.

All lanes:

Western blot - Anti-CXCR5 antibody [EPR23463-30] (<a href='/en-us/products/primary-antibodies/cxcr5-antibody-epr23463-30-ab254415'>ab254415</a>) at 1/1000 dilution

Lane 1:

Wild-type Raji cell lysate at 30 µg

Lane 2:

CXCR5 knockout Raji cell lysate at 30 µg

Lane 2:

Western blot - Human CXCR5 knockout Raji cell line (<a href='/en-us/products/cell-lines/human-cxcr5-knockout-raji-cell-line-ab273380'>ab273380</a>)

Lane 3:

Daudi cell lysate at 30 µg

Lane 4:

Jurkat cell lysate at 30 µg

Predicted band size: 42 kDa

false

  • Unconjugated

    Anti-CXCR5 antibody [EPR23463-30]

  • 660 APC

    APC Anti-CXCR5 antibody [EPR23463-30]

  • 519 FITC

    FITC Anti-CXCR5 antibody [EPR23463-30]

  • Carrier free

    Anti-CXCR5 antibody [EPR23463-30] - BSA and Azide free (Detector)

  • 578 PE

    PE Anti-CXCR5 antibody [EPR23463-30]

Key facts

Host species

Rabbit

Clonality

Monoclonal

Clone number

EPR23463-30

Isotype

IgG

Carrier free

Yes

Reacts with

Mouse, Rat, Human

Applications

WB, Flow Cyt, IHC-P, ICC/IF

applications

Immunogen

The exact immunogen used to generate this antibody is proprietary information.

Specificity

We observe only weak staining in human WB. We do not suggest this product for use in IHC with mouse or rat.

Reactivity data

{ "title": "Reactivity Data", "filters": { "stats": ["", "Species", "Dilution Info", "Notes"], "tabs": { "all-applications": {"fullname" : "All Applications", "shortname": "All Applications"}, "IHCP" : {"fullname" : "Immunohistochemistry (Formalin/PFA-fixed paraffin-embedded sections)", "shortname":"IHC-P"}, "ICCIF" : {"fullname" : "Immunocytochemistry/ Immunofluorescence", "shortname":"ICC/IF"}, "IP" : {"fullname" : "Immunoprecipitation", "shortname":"IP"}, "FlowCyt" : {"fullname" : "Flow Cytometry", "shortname":"Flow Cyt"}, "WB" : {"fullname" : "Western blot", "shortname":"WB"} }, "product-promise": { "all": "all", "testedAndGuaranteed": "tested", "guaranteed": "expected", "predicted": "predicted", "notRecommended": "not-recommended" } }, "values": { "Human": { "IHCP-species-checked": "testedAndGuaranteed", "IHCP-species-dilution-info": "", "IHCP-species-notes": "<p></p>", "ICCIF-species-checked": "notRecommended", "ICCIF-species-dilution-info": "5 µg/mL", "ICCIF-species-notes": "<p></p>", "IP-species-checked": "notRecommended", "IP-species-dilution-info": "", "IP-species-notes": "<p></p>", "FlowCyt-species-checked": "testedAndGuaranteed", "FlowCyt-species-dilution-info": "", "FlowCyt-species-notes": "<p></p>", "WB-species-checked": "testedAndGuaranteed", "WB-species-dilution-info": "", "WB-species-notes": "<p>We observe only weak staining in human WB.</p>" }, "Mouse": { "IHCP-species-checked": "notRecommended", "IHCP-species-dilution-info": "", "IHCP-species-notes": "<p></p>", "ICCIF-species-checked": "notRecommended", "ICCIF-species-dilution-info": "5 µg/mL", "ICCIF-species-notes": "<p></p>", "IP-species-checked": "notRecommended", "IP-species-dilution-info": "", "IP-species-notes": "<p></p>", "FlowCyt-species-checked": "notRecommended", "FlowCyt-species-dilution-info": "", "FlowCyt-species-notes": "<p></p>", "WB-species-checked": "testedAndGuaranteed", "WB-species-dilution-info": "", "WB-species-notes": "<p>We observe only weak staining in human WB.</p>" }, "Rat": { "IHCP-species-checked": "notRecommended", "IHCP-species-dilution-info": "", "IHCP-species-notes": "<p></p>", "ICCIF-species-checked": "guaranteed", "ICCIF-species-dilution-info": "", "ICCIF-species-notes": "", "IP-species-checked": "notRecommended", "IP-species-dilution-info": "", "IP-species-notes": "", "FlowCyt-species-checked": "guaranteed", "FlowCyt-species-dilution-info": "", "FlowCyt-species-notes": "", "WB-species-checked": "testedAndGuaranteed", "WB-species-dilution-info": "", "WB-species-notes": "<p>We observe only weak staining in human WB.</p>" } } }

Product details

What is this antibody validated in?
Anti-CXCR5 antibody [EPR23463-30] - BSA and Azide free (ab272936) is a rabbit recombinant monoclonal antibody and is validated for use in Western Blot (WB), Flow Cytometry (Flow Cyt), Immunohistochemistry (IHC-P), Immunocytochemistry/immunofluorescence (ICC/IF) in Human, Mouse, Rat samples.

What is the molecular weight of CXCR5?
Anti-CXCR5 [EPR23463-30] - BSA and Azide free (ab272936) specifically detects a band for CXCR5 (UniProt: P32302) at a molecular weight of 42kDa.

Specificity confirmed
The specificity of Anti-CXCR5 antibody [EPR23463-30] - BSA and Azide free (ab272936) has been confirmed by Western blot testing in CXCR5 Knockout Raji cell line.

Other related products
We have a range of other formats of antibody clone [EPR23463-30] also available for your convenience: ab254415, Carrier free - ab272936, Oligonucleotide - ab284446, Carrier free - ab305143, PE - ab307637, APC - ab316179, FITC - ab322305

Patented technology
Our RabMAb® technology is a patented hybridoma-based technology for making rabbit monoclonal antibodies. For details on our patents, please refer to RabMAb® patents.

What are the advantages of a recombinant monoclonal antibody?
This product is a recombinant monoclonal antibody, which offers several advantages including:

  • - High batch-to-batch consistency and reproducibility
  • - Improved sensitivity and specificity
  • - Long-term security of supply
  • - Animal-free batch production

For more information, read more on recombinant antibodies.

Conjugation ready
Our carrier-free antibodies are typically supplied in a PBS-only formulation, purified and free of BSA, sodium azide and glycerol. This conjugation-ready format is designed for use with fluorochromes, metal isotopes, oligonucleotides, and enzymes, which makes them ideal for antibody labelling, functional and cell-based assays, flow-based assays (e.g. mass cytometry) and Multiplex Imaging applications.

Use our conjugation kits for antibody conjugates that are ready-to-use in as little as 20 minutes with 1 minute hands-on-time and 100% antibody recovery: available for fluorescent dyes, HRP, biotin and gold.

Compatibility
This product is compatible with the Maxpar® Antibody Labeling Kit from Fluidigm, without the need for antibody preparation. Maxpar® is a trademark of Fluidigm Canada Inc.

Properties and storage information

Form
Liquid
Purification technique
Affinity purification Protein A
Storage buffer
pH: 7.2 - 7.4 Constituents: PBS
Shipped at conditions
Blue Ice
Appropriate short-term storage conditions
+4°C
Appropriate long-term storage conditions
+4°C
Storage information
Do Not Freeze

Supplementary information

This supplementary information is collated from multiple sources and compiled automatically.

CXCR5 also known as CD185 is a chemokine receptor with a mass of approximately 43 kDa. It is part of the G protein-coupled receptor family and is widely expressed on follicular B helper T (Tfh) cells B cells and a subset of circulating blood cells. CXCR5 is recognized as a marker for Tfh cells which are critical for the function and maturation of B cells within germinal centers. In tissues CXCR5 expression appears prominently in regions where immune cell interactions facilitate immune and inflammatory responses.
Biological function summary

CXCR5 serves a significant role in directing B cells and Tfh cells to lymphoid tissues by interacting with its ligand CXCL13. This interaction involves recruitment and organization of B cells into follicles within secondary lymphoid organs. The presence of CXCR5 allows B cells and Tfh cells to navigate the follicular zones efficiently enhance antigen-specific immune responses and contribute to long-lived humoral immunity. CXCR5 functions as part of a complex that includes signaling pathways influencing cellular movements and location.

Pathways

CXCR5 plays a significant part in the immune system's trafficking pathways particularly within the crosstalk between chemokines and their receptors. CXCR5 expression facilitates the CXC chemokine pathway which important for positioning immune cells within lymphoid organs. Additionally CXCR5 interacts with proteins such as CXCL13 working together to pattern the architecture of germinal centers where affinity maturation and class switching of antibodies occur critical processes in adaptive immunity.

CXCR5 has been implicated in autoimmune diseases and certain lymphomas. For example aberrant CXCR5 expression is linked to the pathogenesis of diseases like systemic lupus erythematosus (SLE) where it might contribute to immune dysregulation and chronic inflammation. In the context of certain lymphomas CXCR5's role in lymphoid organ architecture and cell migration becomes even more relevant. Its expression often parallels the presence of CXCL13 hinting at a network of interactions promoting tumor survival and growth within lymphoid landscapes. Understanding these relationships can offer insight into developing therapeutic strategies potentially involving CXCR5 inhibitors or anti-CXCR5 antibodies to address these diseases.

Product protocols

For this product, it's our understanding that no specific protocols are required. You can visit:

Target data

Cytokine receptor that binds to B-lymphocyte chemoattractant (BLC). Involved in B-cell migration into B-cell follicles of spleen and Peyer patches but not into those of mesenteric or peripheral lymph nodes. May have a regulatory function in Burkitt lymphoma (BL) lymphomagenesis and/or B-cell differentiation.
See full target information CXCR5

Product promise

We are committed to supporting your work with high-quality reagents, and we're here for you every step of the way. In the unlikely event that one of our products does not perform as expected, you're protected by our Product Promise.
For full details, please see our Terms & Conditions

Please note: All products are 'FOR RESEARCH USE ONLY. NOT FOR USE IN DIAGNOSTIC OR THERAPEUTIC PROCEDURES'.

For licensing inquiries, please contact partnerships@abcam.com