JavaScript is disabled in your browser. Please enable JavaScript to view this website.
AB137344

Anti-CXCR6 antibody

Be the first to review this product! Submit a review

|

(2 Publications)

Rabbit Polyclonal CXCR6 antibody. Suitable for WB, IHC-P and reacts with Human samples. Cited in 2 publications. Immunogen corresponding to Synthetic Peptide within Human CXCR6 aa 50-200.

View Alternative Names

CD186, BONZO, STRL33, TYMSTR, CXCR6, C-X-C chemokine receptor type 6, CXC-R6, CXCR-6, CDw186, G-protein coupled receptor STRL33, G-protein coupled receptor bonzo

2 Images
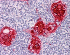
Immunohistochemistry (Formalin/PFA-fixed paraffin-embedded sections) - Anti-CXCR6 antibody (AB137344)
  • IHC-P

Unknown

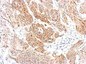
Immunohistochemistry (Formalin/PFA-fixed paraffin-embedded sections) - Anti-CXCR6 antibody (AB137344)

Immunohistochemical analysis of paraffin-embedded Cal27 xenograft labelling CXCR6 with ab137344 at 1/500 dilution.

Western blot - Anti-CXCR6 antibody (AB137344)
  • WB

Unknown

Western blot - Anti-CXCR6 antibody (AB137344)

12% SDS PAGE

All lanes:

Western blot - Anti-CXCR6 antibody (ab137344) at 1/1000 dilution

All lanes:

293T whole cell lysate at 30 µg

Predicted band size: 39 kDa

false

Key facts

Host species

Rabbit

Clonality

Polyclonal

Isotype

IgG

Carrier free

No

Reacts with

Human

Applications

WB, IHC-P

applications

Immunogen

Synthetic Peptide within Human CXCR6 aa 50-200. The exact immunogen used to generate this antibody is proprietary information.

O00574

Reactivity data

{ "title": "Reactivity Data", "filters": { "stats": ["", "Species", "Dilution Info", "Notes"], "tabs": { "all-applications": {"fullname" : "All Applications", "shortname": "All Applications"}, "WB" : {"fullname" : "Western blot", "shortname":"WB"}, "IHCP" : {"fullname" : "Immunohistochemistry (Formalin/PFA-fixed paraffin-embedded sections)", "shortname":"IHC-P"} }, "product-promise": { "all": "all", "testedAndGuaranteed": "tested", "guaranteed": "expected", "predicted": "predicted", "notRecommended": "not-recommended" } }, "values": { "Human": { "WB-species-checked": "testedAndGuaranteed", "WB-species-dilution-info": "1/500 - 1/3000", "WB-species-notes": "<p></p>", "IHCP-species-checked": "testedAndGuaranteed", "IHCP-species-dilution-info": "1/100 - 1/1000", "IHCP-species-notes": "<p></p>" } } }

Properties and storage information

Form
Liquid
Purification technique
Affinity purification Immunogen
Storage buffer
pH: 7 Preservative: 0.01% Thimerosal (merthiolate) Constituents: 10% Glycerol (glycerin, glycerine), 1.21% Tris, 0.75% Glycine
Shipped at conditions
Blue Ice
Appropriate long-term storage conditions
-20°C
Aliquoting information
Upon delivery aliquot
Storage information
Avoid freeze / thaw cycle

Supplementary information

This supplementary information is collated from multiple sources and compiled automatically.

CXCR6 also known as CD186 or BONZO is a chemokine receptor that belongs to the larger family of G protein-coupled receptors. This receptor has a molecular weight of approximately 45 kDa. CXCR6 gets expressed on various leukocytes including T-cells and natural killer cells. This expression profiles CXCR6 as essential in the immune system where its occupation involves directing cell movement via chemotaxis a process integral for normal immune surveillance and inflammatory response.
Biological function summary

CXCR6 critically orchestrates the interactions between T-cells and antigen-presenting cells within tissues. By engaging its ligand CXCL16 CXCR6 helps mediate cell adhesion and migration. This receptor works as part of an immune complex influencing the migration and retention of immune cells at sites of inflammation. The presence of CXCR6 enhances tissue-specific homing which is vital for localized immune responses.

Pathways

CXCR6 plays a significant role in the chemokine signaling pathway. This pathway leads immune cells to sites of inflammation or infection. Moreover CXCR6 interacts closely with other chemokine receptors such as CCR5. These receptor interactions ensure efficient communication and coordination in cell trafficking across immune environments all of which are critical for proper immune function.

CXCR6 has a known association with diseases like HIV and certain forms of cancer. CXCR6 can act as a co-receptor for the entry of some HIV strains into cells linking it to viral pathogenesis. In the context of cancer CXCR6 and its ligand CXCL16 have connections with tumor cell migration and metastasis. The interaction of CXCR6 with proteins like CXCL16 creates a microenvironment that can either suppress or promote tumor progression depending on the context.

Product protocols

For this product, it's our understanding that no specific protocols are required. You can visit:

Target data

Receptor for the C-X-C chemokine CXCL16. Used as a coreceptor by SIVs and by strains of HIV-2 and m-tropic HIV-1.
See full target information CXCR6

Publications (2)

Recent publications for all applications. Explore the full list and refine your search

Cellular and molecular life sciences : CMLS 81:215 PubMed38739166

2024

Prenatal treatment with preimplantation factor improves early postnatal neurogenesis and cognitive impairments in a mouse model of Down syndrome.

Applications

Unspecified application

Species

Unspecified reactive species

Manon Moreau,Rodolphe Dard,Amélia Madani,Janany Kandiah,Nadim Kassis,Jessica Ziga,Héloïse Castiglione,Solenn Day,Thomas Bourgeois,Boris Matrot,François Vialard,Nathalie Janel

Frontiers in immunology 11:601639 PubMed33552057

2021

Evaluation of Proteoforms of the Transmembrane Chemokines CXCL16 and CX3CL1, Their Receptors, and Their Processing Metalloproteinases ADAM10 and ADAM17 in Proliferative Diabetic Retinopathy.

Applications

Unspecified application

Species

Unspecified reactive species

Ahmed M Abu El-Asrar,Mohd Imtiaz Nawaz,Ajmal Ahmad,Alexandra De Zutter,Mohammad Mairaj Siddiquei,Marfa Blanter,Eef Allegaert,Priscilla W Gikandi,Gert De Hertogh,Jo Van Damme,Ghislain Opdenakker,Sofie Struyf
View all publications

Product promise

We are committed to supporting your work with high-quality reagents, and we're here for you every step of the way. In the unlikely event that one of our products does not perform as expected, you're protected by our Product Promise.
For full details, please see our Terms & Conditions

Please note: All products are 'FOR RESEARCH USE ONLY. NOT FOR USE IN DIAGNOSTIC OR THERAPEUTIC PROCEDURES'.

For licensing inquiries, please contact partnerships@abcam.com