JavaScript is disabled in your browser. Please enable JavaScript to view this website.
AB8023

Anti-CXCR6 antibody

4

(1 Review)

|

(13 Publications)

Rabbit Polyclonal CXCR6 antibody. Suitable for WB, IF, IHC-P and reacts with Human samples. Cited in 13 publications. Immunogen corresponding to Synthetic Peptide within Human CXCR6 aa 1-50.

View Alternative Names

CD186, BONZO, STRL33, TYMSTR, CXCR6, C-X-C chemokine receptor type 6, CXC-R6, CXCR-6, CDw186, G-protein coupled receptor STRL33, G-protein coupled receptor bonzo

3 Images
Immunofluorescence - Anti-CXCR6 antibody (AB8023)
  • IF

Supplier Data

Immunofluorescence - Anti-CXCR6 antibody (AB8023)

Immunofluorescence of human spleen tissue labeling CXCR6 (Green) using ab8023 at 20 μg/ml. DAPI staining (Blue).

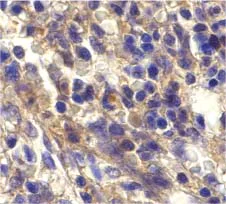
Immunohistochemistry (Formalin/PFA-fixed paraffin-embedded sections) - Anti-CXCR6 antibody (AB8023)
  • IHC-P

Unknown

Immunohistochemistry (Formalin/PFA-fixed paraffin-embedded sections) - Anti-CXCR6 antibody (AB8023)

ab8023 at 20μg/ml staining CXCR6 in human spleen cells by IHC

Western blot - Anti-CXCR6 antibody (AB8023)
  • WB

Unknown

Western blot - Anti-CXCR6 antibody (AB8023)

All lanes:

Western blot - Anti-CXCR6 antibody (ab8023) at 1/500 dilution

Lane 1:

human spleen tissue lysate with absence of peptide

Lane 2:

human spleen tissue lysate with presence of peptide

Predicted band size: 39 kDa

Observed band size: 44 kDa

false

Key facts

Host species

Rabbit

Clonality

Polyclonal

Isotype

IgG

Carrier free

No

Reacts with

Human

Applications

WB, IHC-P, IF

applications

Immunogen

Synthetic Peptide within Human CXCR6 aa 1-50. The exact immunogen used to generate this antibody is proprietary information.

O00574

Reactivity data

{ "title": "Reactivity Data", "filters": { "stats": ["", "Species", "Dilution Info", "Notes"], "tabs": { "all-applications": {"fullname" : "All Applications", "shortname": "All Applications"}, "WB" : {"fullname" : "Western blot", "shortname":"WB"}, "IF" : {"fullname" : "Immunofluorescence", "shortname":"IF"}, "IHCP" : {"fullname" : "Immunohistochemistry (Formalin/PFA-fixed paraffin-embedded sections)", "shortname":"IHC-P"} }, "product-promise": { "all": "all", "testedAndGuaranteed": "tested", "guaranteed": "expected", "predicted": "predicted", "notRecommended": "not-recommended" } }, "values": { "Human": { "WB-species-checked": "testedAndGuaranteed", "WB-species-dilution-info": "0.5 µg/mL", "WB-species-notes": "<p></p>", "IF-species-checked": "testedAndGuaranteed", "IF-species-dilution-info": "20 µg/mL", "IF-species-notes": "<p></p>", "IHCP-species-checked": "testedAndGuaranteed", "IHCP-species-dilution-info": "2.5-20 µg/mL", "IHCP-species-notes": "<p></p>" } } }

Properties and storage information

Form
Liquid
Purification technique
Affinity purification
Storage buffer
pH: 7.2 Preservative: 0.02% Sodium azide Constituents: PBS
Shipped at conditions
Blue Ice
Appropriate short-term storage conditions
+4°C
Appropriate long-term storage conditions
+4°C

Supplementary information

This supplementary information is collated from multiple sources and compiled automatically.

CXCR6 also known as CD186 or BONZO is a chemokine receptor that belongs to the larger family of G protein-coupled receptors. This receptor has a molecular weight of approximately 45 kDa. CXCR6 gets expressed on various leukocytes including T-cells and natural killer cells. This expression profiles CXCR6 as essential in the immune system where its occupation involves directing cell movement via chemotaxis a process integral for normal immune surveillance and inflammatory response.
Biological function summary

CXCR6 critically orchestrates the interactions between T-cells and antigen-presenting cells within tissues. By engaging its ligand CXCL16 CXCR6 helps mediate cell adhesion and migration. This receptor works as part of an immune complex influencing the migration and retention of immune cells at sites of inflammation. The presence of CXCR6 enhances tissue-specific homing which is vital for localized immune responses.

Pathways

CXCR6 plays a significant role in the chemokine signaling pathway. This pathway leads immune cells to sites of inflammation or infection. Moreover CXCR6 interacts closely with other chemokine receptors such as CCR5. These receptor interactions ensure efficient communication and coordination in cell trafficking across immune environments all of which are critical for proper immune function.

CXCR6 has a known association with diseases like HIV and certain forms of cancer. CXCR6 can act as a co-receptor for the entry of some HIV strains into cells linking it to viral pathogenesis. In the context of cancer CXCR6 and its ligand CXCL16 have connections with tumor cell migration and metastasis. The interaction of CXCR6 with proteins like CXCL16 creates a microenvironment that can either suppress or promote tumor progression depending on the context.

Product protocols

For this product, it's our understanding that no specific protocols are required. You can visit:

Target data

Receptor for the C-X-C chemokine CXCL16. Used as a coreceptor by SIVs and by strains of HIV-2 and m-tropic HIV-1.
See full target information CXCR6

Publications (13)

Recent publications for all applications. Explore the full list and refine your search

Advanced science (Weinheim, Baden-Wurttemberg, Germany) 11:e2305724 PubMed38483933

2024

Integration Analysis of Single-Cell Multi-Omics Reveals Prostate Cancer Heterogeneity.

Applications

Unspecified application

Species

Unspecified reactive species

Xiaojie Bian,Wenfeng Wang,Mierxiati Abudurexiti,Xingming Zhang,Weiwei Ma,Guohai Shi,Leilei Du,Midie Xu,Xin Wang,Cong Tan,Hui Sun,Xiadi He,Chenyue Zhang,Yao Zhu,Min Zhang,Dingwei Ye,Jianhua Wang

Frontiers in immunology 14:1331287 PubMed38299146

2024

The CXCL16-CXCR6 axis in glioblastoma modulates T-cell activity in a spatiotemporal context.

Applications

Unspecified application

Species

Unspecified reactive species

Tzu-Yi Chia,Leah K Billingham,Lauren Boland,Joshua L Katz,Victor A Arrieta,Jack Shireman,Aurora-Lopez Rosas,Susan L DeLay,Kaylee Zillinger,Yuheng Geng,Jeandre Kruger,Caylee Silvers,Hanxiang Wang,Gustavo Ignacio Vazquez Cervantes,David Hou,Si Wang,Hanxiao Wan,Adam Sonabend,Peng Zhang,Catalina Lee-Chang,Jason Miska

Cells, tissues, organs 213:120-132 PubMed36509081

2022

Nuclear Biophysical Changes during Human Melanoma Plasticity.

Applications

Unspecified application

Species

Unspecified reactive species

Maria Chiara Lionetti,Maria Rita Fumagalli,Caterina A M La Porta

Experimental dermatology 32:359-367 PubMed36394347

2022

Reduced expression of CXCL16/CXCR6 is involved in the pathogenesis of hidradenitis suppurativa.

Applications

Unspecified application

Species

Unspecified reactive species

Zhongshuai Wang,Huijuan Zhao,Wanying Zhai,Xiaofeng Zhang,Li Li,Chen Yuan,Yi Li,Yangqun Li,Yan Yan,Baoxi Wang

BioMed research international 2021:8883800 PubMed33829065

2021

Determination of Potential Therapeutic Targets and Prognostic Markers of Ovarian Cancer by Bioinformatics Analysis.

Applications

Unspecified application

Species

Unspecified reactive species

Jing Zhang,Shouguo Huang,Lini Quan,Qiu Meng,Haiyan Wang,Jie Wang,Jin Chen

Journal of cellular and molecular medicine 23:5380-5389 PubMed31199046

2019

CXCL16/CXCR6 is involved in LPS-induced acute lung injury via P38 signalling.

Applications

Unspecified application

Species

Unspecified reactive species

Guo-Wei Tu,Min-Jie Ju,Yi-Jun Zheng,Guang-Wei Hao,Guo-Guang Ma,Jun-Yi Hou,Xue-Peng Zhang,Zhe Luo,Li-Ming Lu

Oncology letters 13:4661-4668 PubMed28599467

2017

Association between CXCL16/CXCR6 expression and the clinicopathological features of patients with non-small cell lung cancer.

Applications

Unspecified application

Species

Unspecified reactive species

Chuangwu Ke,Yanchen Ren,Lu Lv,Weidong Hu,Wenhui Zhou

The Journal of allergy and clinical immunology 140:177-189.e9 PubMed27826097

2016

Oxidative stress drives CD8 T-cell skin trafficking in patients with vitiligo through CXCL16 upregulation by activating the unfolded protein response in keratinocytes.

Applications

Unspecified application

Species

Unspecified reactive species

Shuli Li,Guannan Zhu,Yuqi Yang,Zhe Jian,Sen Guo,Wei Dai,Qiong Shi,Rui Ge,Jingjing Ma,Ling Liu,Kai Li,Qi Luan,Gang Wang,Tianwen Gao,Chunying Li

Biochemical and biophysical research communication 479:901-906 PubMed27641667

2016

miR-361-5p inhibits hepatocellular carcinoma cell proliferation and invasion by targeting VEGFA.

Applications

Unspecified application

Species

Unspecified reactive species

Wenxian Cui,Yuanguo Li,Keqing Xu,Guijin Chen,Xiaoqun Lu,Qiuqin Duan,Zhirong Kang

Cellular physiology and biochemistry : internation 38:777-85 PubMed26872014

2016

MicroRNA-361-5p Inhibits Cancer Cell Growth by Targeting CXCR6 in Hepatocellular Carcinoma.

Applications

Unspecified application

Species

Unspecified reactive species

Jian-Jun Sun,Guo-Yong Chen,Zhan-Tao Xie
View all publications

Product promise

We are committed to supporting your work with high-quality reagents, and we're here for you every step of the way. In the unlikely event that one of our products does not perform as expected, you're protected by our Product Promise.
For full details, please see our Terms & Conditions

Please note: All products are 'FOR RESEARCH USE ONLY. NOT FOR USE IN DIAGNOSTIC OR THERAPEUTIC PROCEDURES'.

For licensing inquiries, please contact partnerships@abcam.com