JavaScript is disabled in your browser. Please enable JavaScript to view this website.
AB204795

Anti-CXorf20 antibody

Be the first to review this product! Submit a review

|

(1 Publication)

Rabbit Polyclonal CXorf20 antibody. Suitable for IHC-P, WB and reacts with Human samples. Cited in 1 publication. Immunogen corresponding to Recombinant Fragment Protein within Human BEND2 aa 400-600.

View Alternative Names

CXorf20, BEND2, BEN domain-containing protein 2

2 Images
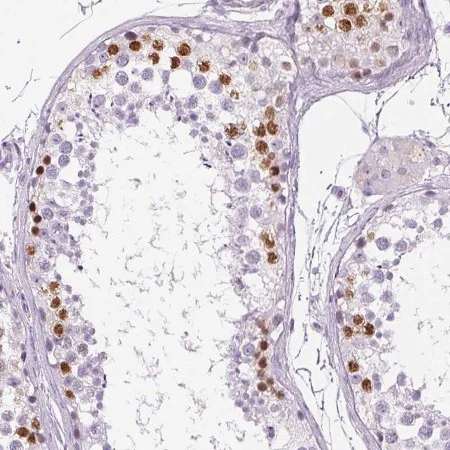
Immunohistochemistry (Formalin/PFA-fixed paraffin-embedded sections) - Anti-CXorf20 antibody (AB204795)
  • IHC-P

Supplier Data

Immunohistochemistry (Formalin/PFA-fixed paraffin-embedded sections) - Anti-CXorf20 antibody (AB204795)

Immunohistochemical analysis of paraffin-embedded Human testis tissue labeling CXorf20 with ab204795 at 1/50 dilution.

Western blot - Anti-CXorf20 antibody (AB204795)
  • WB

Supplier Data

Western blot - Anti-CXorf20 antibody (AB204795)

All lanes:

Western blot - Anti-CXorf20 antibody (ab204795) at 1/100 dilution

Lane 1:

Negative control

Lane 2:

CXorf20 overexpression HEK293T lysate

Predicted band size: 70 kDa,88 kDa

false

Key facts

Host species

Rabbit

Clonality

Polyclonal

Isotype

IgG

Carrier free

No

Reacts with

Human

Applications

WB, IHC-P

applications

Immunogen

Recombinant Fragment Protein within Human BEND2 aa 400-600. The exact immunogen used to generate this antibody is proprietary information.

Q8NDZ0

Reactivity data

{ "title": "Reactivity Data", "filters": { "stats": ["", "Species", "Dilution Info", "Notes"], "tabs": { "all-applications": {"fullname" : "All Applications", "shortname": "All Applications"}, "IHCP" : {"fullname" : "Immunohistochemistry (Formalin/PFA-fixed paraffin-embedded sections)", "shortname":"IHC-P"}, "WB" : {"fullname" : "Western blot", "shortname":"WB"} }, "product-promise": { "all": "all", "testedAndGuaranteed": "tested", "guaranteed": "expected", "predicted": "predicted", "notRecommended": "not-recommended" } }, "values": { "Human": { "IHCP-species-checked": "testedAndGuaranteed", "IHCP-species-dilution-info": "1/50 - 1/200", "IHCP-species-notes": "<p></p> Perform heat-mediated antigen retrieval with citrate buffer pH 6 before commencing with IHC staining protocol.", "WB-species-checked": "testedAndGuaranteed", "WB-species-dilution-info": "0.04-0.4 µg/mL", "WB-species-notes": "<p></p>" } } }

Properties and storage information

Form
Liquid
Purification technique
Affinity purification Immunogen
Storage buffer
pH: 7.2 Preservative: 0.02% Sodium azide Constituents: PBS, 40% Glycerol (glycerin, glycerine)
Shipped at conditions
Blue Ice
Appropriate short-term storage duration
1-2 weeks
Appropriate short-term storage conditions
+4°C
Appropriate long-term storage conditions
-20°C
Aliquoting information
Upon delivery aliquot
Storage information
Avoid freeze / thaw cycle

Supplementary information

This supplementary information is collated from multiple sources and compiled automatically.

CXorf20 also known as "Chromosome X Open Reading Frame 20" is a protein coded by a gene located on the X chromosome. It has a mass of approximately 30 kDa. Researchers have observed its expression in various tissues including the brain testis and muscle. Though its exact mechanical function remains not entirely understood CXorf20 is believed to participate in cellular processes due to its presence in these diverse tissues.
Biological function summary

Researchers believe CXorf20 plays an important role in neuronal development although it has not yet been fully elucidated. The protein does not seem to be part of any characterized complex but its expression pattern implies a function related to cellular differentiation and specialized tissue formation. The varying tissue expression indicates CXorf20 may contribute to the regulation of genes involved in cognitive and muscular functions.

Pathways

CXorf20 shows some connectivity within transcriptional regulatory networks. Although specific pathways involving CXorf20 are not yet completely mapped interactions with proteins such as NF-kB and AP-1 suggest a role in signaling pathways that govern immune response and cell growth. Investigating these pathways may unravel more about its function in cellular processes.

Researchers have been exploring CXorf20’s potential link to neurodevelopmental conditions like autism spectrum disorders and muscular dystrophies. Its association with X-linked genes like MECP2 which is implicated in Rett syndrome shows that CXorf20 could influence neural pathologies. These connections suggest that further study may reveal novel insights into these diseases' molecular underpinnings.

Product protocols

For this product, it's our understanding that no specific protocols are required. You can visit:

Publications (1)

Recent publications for all applications. Explore the full list and refine your search

Nature 638:469-478 PubMed39814878

2025

Specification of claustro-amygdalar and palaeocortical neurons and circuits.

Applications

Unspecified application

Species

Unspecified reactive species

Navjot Kaur,Rothem Kovner,Forrest O Gulden,Mihovil Pletikos,David Andrijevic,Tianjia Zhu,John Silbereis,Mikihito Shibata,Akemi Shibata,Yuting Liu,Shaojie Ma,Nikkita Salla,Xabier de Martin,Thomas S Klarić,Megan Burke,Daniel Franjic,Hyesun Cho,Matthew Yuen,Ipsita Chatterjee,Paula Soric,Devippriya Esakkimuthu,Markus Moser,Gabriel Santpere,Yann S Mineur,Kartik Pattabiraman,Marina R Picciotto,Hao Huang,Nenad Sestan
View all publications

Product promise

We are committed to supporting your work with high-quality reagents, and we're here for you every step of the way. In the unlikely event that one of our products does not perform as expected, you're protected by our Product Promise.
For full details, please see our Terms & Conditions

Please note: All products are 'FOR RESEARCH USE ONLY. NOT FOR USE IN DIAGNOSTIC OR THERAPEUTIC PROCEDURES'.

For licensing inquiries, please contact partnerships@abcam.com