JavaScript is disabled in your browser. Please enable JavaScript to view this website.
AB106533

Anti-CXXC5 antibody

Be the first to review this product! Submit a review

|

(4 Publications)

Rabbit Polyclonal CXXC5 antibody. Suitable for WB, IHC-P, ICC/IF and reacts with Human samples. Cited in 4 publications. Immunogen corresponding to Synthetic Peptide within Human CXXC5.

View Alternative Names

HSPC195, TCCCIA00297, CXXC5, CXXC-type zinc finger protein 5, CF5, Putative MAPK-activating protein PM08, Putative NF-kappa-B-activating protein 102, Retinoid-inducible nuclear factor, RINF

3 Images
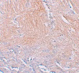
Immunohistochemistry (Formalin/PFA-fixed paraffin-embedded sections) - Anti-CXXC5 antibody (AB106533)
  • IHC-P

Unknown

Immunohistochemistry (Formalin/PFA-fixed paraffin-embedded sections) - Anti-CXXC5 antibody (AB106533)

Immunohistochemistry of CXXC5 in human brain tissue with ab106533 at 2.5 µg/ml.

Immunocytochemistry/ Immunofluorescence - Anti-CXXC5 antibody (AB106533)
  • ICC/IF

Unknown

Immunocytochemistry/ Immunofluorescence - Anti-CXXC5 antibody (AB106533)

Immunofluorescence of CXXC5 in Human Brain cells using ab106533 at 20 ug/ml.

Western blot - Anti-CXXC5 antibody (AB106533)
  • WB

Unknown

Western blot - Anti-CXXC5 antibody (AB106533)

All lanes:

Western blot - Anti-CXXC5 antibody (ab106533) at 1 µg/mL

All lanes:

human brain tissue lysate at 15 µg/mL

Predicted band size: 32 kDa

false

Key facts

Host species

Rabbit

Clonality

Polyclonal

Isotype

IgG

Carrier free

No

Reacts with

Human

Applications

WB, IHC-P, ICC/IF

applications

Immunogen

Synthetic Peptide within Human CXXC5. The exact immunogen used to generate this antibody is proprietary information.

Q7LFL8

Reactivity data

{ "title": "Reactivity Data", "filters": { "stats": ["", "Species", "Dilution Info", "Notes"], "tabs": { "all-applications": {"fullname" : "All Applications", "shortname": "All Applications"}, "WB" : {"fullname" : "Western blot", "shortname":"WB"}, "IHCP" : {"fullname" : "Immunohistochemistry (Formalin/PFA-fixed paraffin-embedded sections)", "shortname":"IHC-P"}, "ICCIF" : {"fullname" : "Immunocytochemistry/ Immunofluorescence", "shortname":"ICC/IF"} }, "product-promise": { "all": "all", "testedAndGuaranteed": "tested", "guaranteed": "expected", "predicted": "predicted", "notRecommended": "not-recommended" } }, "values": { "Human": { "WB-species-checked": "testedAndGuaranteed", "WB-species-dilution-info": "1-2 µg/mL", "WB-species-notes": "<p>Isoform 2 predicted molecular weight 24 kDa</p>", "IHCP-species-checked": "testedAndGuaranteed", "IHCP-species-dilution-info": "2.5 µg/mL", "IHCP-species-notes": "<p></p>", "ICCIF-species-checked": "testedAndGuaranteed", "ICCIF-species-dilution-info": "20 µg/mL", "ICCIF-species-notes": "<p></p>" } } }

Product details

Predicted to not cross-react with other CXXC protein family members.

Properties and storage information

Form
Liquid
Purification technique
Affinity purification Immunogen
Storage buffer
pH: 7.2 Preservative: 0.02% Sodium azide Constituents: PBS
Shipped at conditions
Blue Ice
Appropriate short-term storage duration
Up to 12 months
Appropriate short-term storage conditions
+4°C
Appropriate long-term storage conditions
-20°C

Supplementary information

This supplementary information is collated from multiple sources and compiled automatically.

CXXC5 also known as CXXC finger protein 5 is a DNA-binding protein with a molecular weight of approximately 35 kDa. This protein is expressed in various tissues including the brain and bone marrow. It functions mechanically by binding to unmethylated CpG dinucleotides influencing gene expression by affecting chromatin structure. Due to its DNA-binding ability CXXC5 can regulate transcription impacting various cellular processes.
Biological function summary

CXXC5 plays a role in the regulation of Wnt/β-catenin signaling pathway and is involved in controlling cellular proliferation and differentiation. It does not form part of a larger protein complex but it interacts with other proteins to exert its function. CXXC5 can act as a transcriptional regulator by recruiting other proteins to modify epigenetic marks and modulates pathways critical for development and disease.

Pathways

CXXC5 is involved in the Wnt/β-catenin signaling cascade a major pathway that regulates cell fate decisions migration and organogenesis. This protein bears relation to other pathway components such as β-catenin by interacting with them to convey signaling outcomes during cellular processes. In the bone it influences osteoblastic differentiation and bone formation making it an important component in skeletal development.

CXXC5 has been linked to conditions such as osteoporosis and certain types of cancer. In osteoporosis the altered function of CXXC5 affects bone density due to its role in bone anabolic responses with interactions with β-catenin being important. In cancer disruptions in CXXC5 expression or function can lead to uncontrolled cell proliferation and it is often examined in relation to tumor suppressor pathways highlighting its role in cellular growth control mechanisms.

Product protocols

For this product, it's our understanding that no specific protocols are required. You can visit:

Target data

May indirectly participate in activation of the NF-kappa-B and MAPK pathways. Acts as a mediator of BMP4-mediated modulation of canonical Wnt signaling activity in neural stem cells (By similarity). Required for DNA damage-induced ATM phosphorylation, p53 activation and cell cycle arrest. Involved in myelopoiesis. Transcription factor. Binds to the oxygen responsive element of COX4I2 and represses its transcription under hypoxia conditions (4% oxygen), as well as normoxia conditions (20% oxygen) (PubMed : 23303788). May repress COX4I2 transactivation induced by CHCHD2 and RBPJ (PubMed : 23303788). Binds preferentially to DNA containing cytidine-phosphate-guanosine (CpG) dinucleotides over CpH (H=A, T, and C), hemimethylated-CpG and hemimethylated-hydroxymethyl-CpG (PubMed : 29276034).
See full target information CXXC5

Publications (4)

Recent publications for all applications. Explore the full list and refine your search

Cells 12: PubMed36831222

2023

CXXC5 Mediates DHT-Induced Androgenetic Alopecia via PGD.

Applications

Unspecified application

Species

Unspecified reactive species

Yeong Chan Ryu,Jiyeon Park,You-Rin Kim,Sehee Choi,Geon-Uk Kim,Eunhwan Kim,Yumi Hwang,Heejene Kim,Gyoonhee Han,Soung-Hoon Lee,Kang-Yell Choi

Scientific reports 10:5971 PubMed32249801

2020

CXXC5 as an unmethylated CpG dinucleotide binding protein contributes to estrogen-mediated cellular proliferation.

Applications

Unspecified application

Species

Unspecified reactive species

Gamze Ayaz,Negin Razizadeh,Pelin Yaşar,Gizem Kars,Deniz Cansen Kahraman,Özge Saatci,Özgür Şahin,Rengül Çetin-Atalay,Mesut Muyan

Scientific reports 6:37808 PubMed27886276

2016

Estradiol-Estrogen Receptor α Mediates the Expression of the CXXC5 Gene through the Estrogen Response Element-Dependent Signaling Pathway.

Applications

WB

Species

Human

Pelin Yaşar,Gamze Ayaz,Mesut Muyan

FASEB journal : official publication of the Federation of American Societies for Experimental Biology 28:615-26 PubMed24136587

2013

CXXC5 is a transcriptional activator of Flk-1 and mediates bone morphogenic protein-induced endothelial cell differentiation and vessel formation.

Applications

WB

Species

Mouse

Hyun-Yi Kim,Dong-Hwa Yang,Song-Weon Shin,Mi-Yeon Kim,Jae-Hyun Yoon,Suhyun Kim,Hae-Chul Park,Dong Woo Kang,Dosik Min,Man-Wook Hur,Kang-Yell Choi
View all publications

Product promise

We are committed to supporting your work with high-quality reagents, and we're here for you every step of the way. In the unlikely event that one of our products does not perform as expected, you're protected by our Product Promise.
For full details, please see our Terms & Conditions

Please note: All products are 'FOR RESEARCH USE ONLY. NOT FOR USE IN DIAGNOSTIC OR THERAPEUTIC PROCEDURES'.

For licensing inquiries, please contact partnerships@abcam.com