JavaScript is disabled in your browser. Please enable JavaScript to view this website.
AB237813

Anti-CYB5R2 antibody

Be the first to review this product! Submit a review

|

(1 Publication)

Rabbit Polyclonal CYB5R2 antibody. Suitable for WB, IHC-P and reacts with Mouse, Human samples. Cited in 1 publication. Immunogen corresponding to Recombinant Full Length Protein corresponding to Human CYB5R2.

View Alternative Names

NADH-cytochrome b5 reductase 2, b5R.2, CYB5R2

2 Images
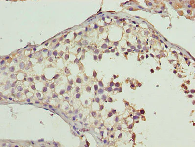
Immunohistochemistry (Formalin/PFA-fixed paraffin-embedded sections) - Anti-CYB5R2 antibody (AB237813)
  • IHC-P

Supplier Data

Immunohistochemistry (Formalin/PFA-fixed paraffin-embedded sections) - Anti-CYB5R2 antibody (AB237813)

Paraffin-embedded human testis tissue stained for CYB5R2 using ab237813 at 1/100 dilution in immunohistochemical analysis.

Western blot - Anti-CYB5R2 antibody (AB237813)
  • WB

Supplier Data

Western blot - Anti-CYB5R2 antibody (AB237813)

All lanes:

Western blot - Anti-CYB5R2 antibody (ab237813) at 1/1000 dilution

All lanes:

Mouse kidney lysate

Secondary

All lanes:

Goat polyclonal to rabbit IgG at 1/10000 dilution

Predicted band size: 31 kDa

false

Key facts

Host species

Rabbit

Clonality

Polyclonal

Isotype

IgG

Carrier free

No

Reacts with

Mouse, Human

Applications

WB, IHC-P

applications

Immunogen

Recombinant Full Length Protein corresponding to Human CYB5R2.

Q6BCY4

Reactivity data

{ "title": "Reactivity Data", "filters": { "stats": ["", "Species", "Dilution Info", "Notes"], "tabs": { "all-applications": {"fullname" : "All Applications", "shortname": "All Applications"}, "WB" : {"fullname" : "Western blot", "shortname":"WB"}, "IHCP" : {"fullname" : "Immunohistochemistry (Formalin/PFA-fixed paraffin-embedded sections)", "shortname":"IHC-P"} }, "product-promise": { "all": "all", "testedAndGuaranteed": "tested", "guaranteed": "expected", "predicted": "predicted", "notRecommended": "not-recommended" } }, "values": { "Human": { "WB-species-checked": "guaranteed", "WB-species-dilution-info": "", "WB-species-notes": "", "IHCP-species-checked": "testedAndGuaranteed", "IHCP-species-dilution-info": "1/20 - 1/200", "IHCP-species-notes": "<p></p>" }, "Mouse": { "WB-species-checked": "testedAndGuaranteed", "WB-species-dilution-info": "1/1000 - 1/5000", "WB-species-notes": "<p></p>", "IHCP-species-checked": "guaranteed", "IHCP-species-dilution-info": "", "IHCP-species-notes": "" } } }

Properties and storage information

Form
Liquid
Purification technique
Affinity purification Protein G
Purification notes
Purity greater than 95%.
Storage buffer
pH: 7.4 Preservative: 0.03% Proclin 300 Constituents: PBS, 50% Glycerol (glycerin, glycerine)
Shipped at conditions
Blue Ice
Appropriate short-term storage duration
1-2 weeks
Appropriate short-term storage conditions
+4°C
Appropriate long-term storage conditions
-20°C
Aliquoting information
Upon delivery aliquot
Storage information
Avoid freeze / thaw cycle

Supplementary information

This supplementary information is collated from multiple sources and compiled automatically.

The CYB5R2 target also known as cytochrome b5 reductase 2 functions as an enzyme involved in electron transfer processes. It catalyzes the reduction of cytochrome b5 using NADH as an electron donor playing a critical role in the redox reactions. The molecular mass of CYB5R2 is approximately 34 kDa. This protein shows expression in multiple tissues including the liver and testis which suggests its widespread importance in cellular processes.
Biological function summary

Cytochrome b5 reductase 2 facilitates fatty acid desaturation and elongation. This protein does not function alone but often participates as part of larger enzyme complexes. In particular CYB5R2 operates in electron transport processes that are essential for maintaining cellular oxidation-reduction balance. Its activity in these processes highlights its role in maintaining metabolic homeostasis.

Pathways

CYB5R2 engages in fatty acid metabolism and lipid biosynthesis pathways. The protein collaborates with cytochrome P450 enzymes to contribute to lipid modification. These pathways play fundamental roles in energy storage and membrane structure which are necessary for cell function and survival. CYB5R2 shows interactivity with proteins such as CYB5A highlighting the intricate network of cellular electron transport.

Mutations or dysregulation in cytochrome b5 reductase 2 have associations with methemoglobinemia and certain cancers. Methemoglobinemia emerges due to the inability to effectively reduce methemoglobin to hemoglobin causing inefficient oxygen delivery to tissues. The connection with CYB5R2 in this disease involves its critical function in electron transfer. Additionally research indicates links between variations in CYB5R2 and prostate cancer emphasizing its role in cellular growth and proliferation alongside interactions with other proteins such as CYB5A.

Product protocols

For this product, it's our understanding that no specific protocols are required. You can visit:

Target data

NADH-cytochrome b5 reductases are involved in desaturation and elongation of fatty acids, cholesterol biosynthesis, drug metabolism, and, in erythrocyte, methemoglobin reduction (By similarity). Responsible for NADH-dependent lucigenin chemiluminescence in spermatozoa by reducing both lucigenin and 2-[4-iodophenyl]-3-[4-nitrophenyl]-5-[2,4-disulfophenyl]-2H tetrazolium monosodium salt (WST-1).
See full target information CYB5R2

Publications (1)

Recent publications for all applications. Explore the full list and refine your search

iScience 25:105503 PubMed36404924

2022

Biofabrication of synthetic human liver tissue with advanced programmable functions.

Applications

Unspecified application

Species

Unspecified reactive species

Rodrigo M Florentino,Kazutoyo Morita,Nils Haep,Takashi Motomura,Ricardo Diaz-Aragon,Lanuza A P Faccioli,Alexandra Collin de l'Hortet,Zeliha Cetin,Carla Frau,Lawrence Vernetti,Anna-Klara Amler,Alexander Thomas,Tobias Lam,Lutz Kloke,Kazuki Takeishi,D Lansing Taylor,Ira J Fox,Alejandro Soto-Gutierrez
View all publications

Product promise

We are committed to supporting your work with high-quality reagents, and we're here for you every step of the way. In the unlikely event that one of our products does not perform as expected, you're protected by our Product Promise.
For full details, please see our Terms & Conditions

Please note: All products are 'FOR RESEARCH USE ONLY. NOT FOR USE IN DIAGNOSTIC OR THERAPEUTIC PROCEDURES'.

For licensing inquiries, please contact partnerships@abcam.com