JavaScript is disabled in your browser. Please enable JavaScript to view this website.
AB133247

Anti-CYB5R3 antibody [EPR3868]

Be the first to review this product! Submit a review

|

(2 Publications)

Rabbit Recombinant Monoclonal CYB5R3 antibody. Suitable for IHC-P, WB and reacts with Human samples. Cited in 2 publications.

View Alternative Names

DIA1, CYB5R3, NADH-cytochrome b5 reductase 3, B5R, Cytochrome b5 reductase, Diaphorase-1

2 Images
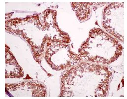
Immunohistochemistry (Formalin/PFA-fixed paraffin-embedded sections) - Anti-CYB5R3 antibody [EPR3868] (AB133247)
  • IHC-P

Unknown

Immunohistochemistry (Formalin/PFA-fixed paraffin-embedded sections) - Anti-CYB5R3 antibody [EPR3868] (AB133247)

Immunohistochemical analysis of paraffin embedded Human testis tissue labelling CYB5R3 with ab133247 at 1/50 dilution.

Perform heat mediated antigen retrieval with citrate buffer pH 6 before commencing with IHC staining protocol.

Western blot - Anti-CYB5R3 antibody [EPR3868] (AB133247)
  • WB

Unknown

Western blot - Anti-CYB5R3 antibody [EPR3868] (AB133247)

Note : Primary antibody ab133247 is diluted with 1% BSA

All lanes:

Western blot - Anti-CYB5R3 antibody [EPR3868] (ab133247) at 1/1000 dilution

Lane 1:

A431 cell lysate at 10 µg

Lane 2:

Fetal liver cell lysate at 10 µg

Lane 3:

HeLa cell lysate at 10 µg

Lane 4:

U87 MG cell lysate at 10 µg

Predicted band size: 34 kDa

false

Key facts

Host species

Rabbit

Clonality

Monoclonal

Clone number

EPR3868

Isotype

IgG

Carrier free

No

Reacts with

Human

Applications

IHC-P, WB

applications

Immunogen

The exact immunogen used to generate this antibody is proprietary information.

Reactivity data

{ "title": "Reactivity Data", "filters": { "stats": ["", "Species", "Dilution Info", "Notes"], "tabs": { "all-applications": {"fullname" : "All Applications", "shortname": "All Applications"}, "IHCP" : {"fullname" : "Immunohistochemistry (Formalin/PFA-fixed paraffin-embedded sections)", "shortname":"IHC-P"}, "IP" : {"fullname" : "Immunoprecipitation", "shortname":"IP"}, "FlowCyt" : {"fullname" : "Flow Cytometry", "shortname":"Flow Cyt"}, "WB" : {"fullname" : "Western blot", "shortname":"WB"}, "ICCIF" : {"fullname" : "Immunocytochemistry/ Immunofluorescence", "shortname":"ICC/IF"} }, "product-promise": { "all": "all", "testedAndGuaranteed": "tested", "guaranteed": "expected", "predicted": "predicted", "notRecommended": "not-recommended" } }, "values": { "Human": { "IHCP-species-checked": "testedAndGuaranteed", "IHCP-species-dilution-info": "1/50 - 1/100", "IHCP-species-notes": "<p></p>", "IP-species-checked": "notRecommended", "IP-species-dilution-info": "", "IP-species-notes": "<p></p>", "FlowCyt-species-checked": "notRecommended", "FlowCyt-species-dilution-info": "", "FlowCyt-species-notes": "<p></p>", "WB-species-checked": "testedAndGuaranteed", "WB-species-dilution-info": "1/1000 - 1/10000", "WB-species-notes": "<p></p>", "ICCIF-species-checked": "notRecommended", "ICCIF-species-dilution-info": "", "ICCIF-species-notes": "<p></p>" } } }

Product details

Species reactivity
Mouse, Rat: We have preliminary internal testing data to indicate this antibody may not react with these species.
Please contact us for more information.

Patented technology
Our RabMAb® technology is a patented hybridoma-based technology for making rabbit monoclonal antibodies. For details on our patents, please refer to RabMAb® patents.

What are the advantages of a recombinant monoclonal antibody?
This product is a recombinant monoclonal antibody, which offers several advantages including:

  • - High batch-to-batch consistency and reproducibility
  • - Improved sensitivity and specificity
  • - Long-term security of supply
  • - Animal-free batch production

For more information, read more on recombinant antibodies.

Properties and storage information

Form
Liquid
Purification technique
Affinity purification Protein A
Storage buffer
pH: 7.2 - 7.4 Preservative: 0.05% Sodium azide Constituents: PBS, 40% Glycerol (glycerin, glycerine), 9.85% Tris glycine, 0.1% BSA
Shipped at conditions
Blue Ice
Appropriate short-term storage conditions
+4°C
Appropriate long-term storage conditions
-20°C
Storage information
Stable for 12 months at -20°C

Supplementary information

This supplementary information is collated from multiple sources and compiled automatically.

The protein CYB5R3 also known as Cytochrome b5 reductase 3 has a molecular mass of approximately 34 kDa. This enzyme is located in various cellular compartments including the outer mitochondrial membrane and the endoplasmic reticulum. CYB5R3 plays a role in electron transfer by reducing cytochrome b5 using NADH or NADPH as electron donors. This reduction is important for various biosynthesis reactions including fatty acid desaturation and elongation as well as steroid biosynthesis.
Biological function summary

CYB5R3 contributes to the electron transport chain by facilitating the transfer of reducing equivalents to other systems. This enzyme efficiently elevates the electron flow when functioning within a larger enzymatic complex. CYB5R3 is necessary for maintaining redox balance in cells and supports the synthesis of important biomolecules like cholesterol and lipids due to its involvement in these processes.

Pathways

CYB5R3 integrates into the fatty acid metabolism and steroid biosynthesis pathways. It effectively partners with cytochrome b5 and other reductases to enable efficient electron flux within these pathways. CYB5R3's activity supports metabolic cooperation with other enzymes such as fatty acid desaturase promoting the production and transformation of essential fatty acids.

Mutations or malfunctions in CYB5R3 lead to conditions such as methemoglobinemia and insulin resistance. Methemoglobinemia results from altered oxygen delivery in the blood due to improper reduction of methemoglobin. In this context the reduced function of CYB5R3 affects the ability of related proteins like hemoglobin to bind oxygen efficiently. Insulin resistance involves metabolic alterations where CYB5R3 acts in coordination with proteins associated with lipid metabolism influencing energy homeostasis and insulin action.

Product protocols

For this product, it's our understanding that no specific protocols are required. You can visit:

Target data

Catalyzes the reduction of two molecules of cytochrome b5 using NADH as the electron donor.
See full target information CYB5R3

Publications (2)

Recent publications for all applications. Explore the full list and refine your search

Circulation 151:8-30 PubMed39633569

2024

Sickle Trait and Alpha Thalassemia Increase NOS-Dependent Vasodilation of Human Arteries Through Disruption of Endothelial Hemoglobin-eNOS Interactions.

Applications

Unspecified application

Species

Unspecified reactive species

Steven D Brooks,A Parker Ruhl,Xianke Zeng,Phillip Cruz,Sergio A Hassan,Olena Kamenyeva,Md Abdul Hakim,Lauryn A Ridley,Bianca M Nagata,Juraj Kabat,Sundar Ganesan,Rachel L Smith,Mary Jackson,Jessica Nino de Rivera,Alison J McLure,Jarrett M Jackson,Robert O Emeh,Naomi Tesfuzigta,Kyeisha Laurence,Stacy Joyce,Christina Yek,Sophana Chea,Derron A Alves,Brant E Isakson,Jessica Manning,Jeremy L Davis,Hans C Ackerman

Oncology reports 42:717-725 PubMed31173266

2019

PTPN1 promotes the progression of glioma by activating the MAPK/ERK and PI3K/AKT pathways and is associated with poor patient survival.

Applications

Unspecified application

Species

Unspecified reactive species

Tao Jin,Dongbo Li,Tao Yang,Feng Liu,Juan Kong,Yuefei Zhou
View all publications

Product promise

We are committed to supporting your work with high-quality reagents, and we're here for you every step of the way. In the unlikely event that one of our products does not perform as expected, you're protected by our Product Promise.
For full details, please see our Terms & Conditions

Please note: All products are 'FOR RESEARCH USE ONLY. NOT FOR USE IN DIAGNOSTIC OR THERAPEUTIC PROCEDURES'.

For licensing inquiries, please contact partnerships@abcam.com