JavaScript is disabled in your browser. Please enable JavaScript to view this website.
AB181591

Anti-Cyclin A2 antibody [EPR17351]

5

(3 Reviews)

|

(99 Publications)

Anti-Cyclin A2 antibody [EPR17351] (ab181591) is a rabbit monoclonal antibody detecting Cyclin A2 in Western Blot, IHC-P, ICC/IF. Suitable for Human, Mouse, Rat.

- Biophysical QC for unrivalled batch-batch consistency
- Over 90 publications

View Alternative Names

CCN1, CCNA, CCNA2, Cyclin-A2, Cyclin-A, Cyclin A

11 Images
Western blot - Anti-Cyclin A2 antibody [EPR17351] (AB181591)
  • WB

Supplier Data

Western blot - Anti-Cyclin A2 antibody [EPR17351] (AB181591)

Blocking/Dilution buffer : 5% NFDM/TBST.

The smaller band is due to a tissue-specific splice variant, PMID 22745723.

All lanes:

Western blot - Anti-Cyclin A2 antibody [EPR17351] (ab181591) at 1/2000 dilution

All lanes:

Human fetal kidney lysate at 10 µg

Secondary

All lanes:

Anti-Rabbit IgG (HRP), specific to the non-reduced form of IgG at 1/1000 dilution

Predicted band size: 22 kDa,49 kDa,84 kDa

Observed band size: 110 kDa,18 kDa,22 kDa,50 kDa

false

Exposure time: 3min

Western blot - Anti-Cyclin A2 antibody [EPR17351] (AB181591)
  • WB

Supplier Data

Western blot - Anti-Cyclin A2 antibody [EPR17351] (AB181591)

Blocking/Dilution buffer : 5% NFDM/TBST.

All lanes:

Western blot - Anti-Cyclin A2 antibody [EPR17351] (ab181591) at 1/20000 dilution

All lanes:

Jurkat (Human T cell leukemia cell line from peripheral blood) whole cell lysate at 20 µg

Secondary

All lanes:

Goat Anti-Rabbit IgG, (H+L),Peroxidase conjugated at 1/1000 dilution

Predicted band size: 49 kDa

Observed band size: 50 kDa

false

Exposure time: 10s

Western blot - Anti-Cyclin A2 antibody [EPR17351] (AB181591)
  • WB

Supplier Data

Western blot - Anti-Cyclin A2 antibody [EPR17351] (AB181591)

Blocking/Dilution buffer : 5% NFDM/TBST.

Cyclin A2 is down regulated at the G2/M phase.

All lanes:

Western blot - Anti-Cyclin A2 antibody [EPR17351] (ab181591) at 1/20000 dilution

Lane 1:

HeLa (Human epithelial cell line from cervix adenocarcinoma) lysate; Untreated, asynchronous cells (ab136811) at 1 µg

Lane 2:

HeLa (Human epithelial cell line from cervix adenocarcinoma) lysate; G1/S arrested cells (thymidine treatment) (ab136811) at 1 µg

Lane 3:

HeLa (Human epithelial cell line from cervix adenocarcinoma) lysate; G2/M arrested cells (sequential thymidine and nocodazole treatments) (ab136811) at 1 µg

Secondary

All lanes:

Goat Anti-Rabbit IgG, (H+L),Peroxidase conjugated or Anti-Rabbit IgG (HRP), specific to the non-reduced form of IgG at 1/1000 dilution

Predicted band size: 49 kDa

Observed band size: 50 kDa

false

Exposure time: 30s

Immunohistochemistry (Formalin/PFA-fixed paraffin-embedded sections) - Anti-Cyclin A2 antibody [EPR17351] (AB181591)
  • IHC-P

Supplier Data

Immunohistochemistry (Formalin/PFA-fixed paraffin-embedded sections) - Anti-Cyclin A2 antibody [EPR17351] (AB181591)

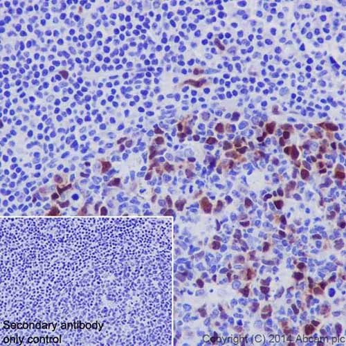
Immunohistochemical analysis of paraffin-embedded Human tonsil tissue labeling Cyclin A2 with ab181591 at 1/500 dilution, followed by Goat Anti-Rabbit IgG H&L (HRP) (ab97051) at 1/500 dilution. Nuclear and weak cytoplasmic staining on germinal center cells of Human tonsil tissue is observed. Counter stained with Hematoxylin.

Secondary antibody only control : Used PBS instead of primary antibody, secondary antibody is Goat Anti-Rabbit IgG H&L (HRP) (ab97051) at 1/500 dilution.

Perform heat mediated antigen retrieval with Tris/EDTA buffer pH 9.0 before commencing with IHC staining protocol.

Immunocytochemistry/ Immunofluorescence - Anti-Cyclin A2 antibody [EPR17351] (AB181591)
  • ICC/IF

Supplier Data

Immunocytochemistry/ Immunofluorescence - Anti-Cyclin A2 antibody [EPR17351] (AB181591)

Immunofluorescent analysis of 4% paraformaldehyde-fixed, 0.1% Triton X-100 permeabilized HeLa (Human epithelial cell line from cervix adenocarcinoma) cells labeling Cyclin A2 with ab181591 at 1/500 dilution, followed by Goat Anti-Rabbit IgG H&L (Alexa Fluor® 488) (ab150077) secondary antibody at 1/500 dilution (green). Confocal image showing nuclear and weakly cytoplasmic staining on HeLa cells. The nuclear counter stain is DAPI (blue).

Tubulin is detected with Anti-alpha Tubulin antibody [EPR17351]- Loading Control (ab7291) at 1/1000 dilution, followed by Goat Anti-Mouse IgG H&L (Alexa Fluor® 594) preadsorbed (ab150120) at 1/1000 dilution (red).

The negative controls are as follows :
-ve control 1 : ab181591 at 1/500 dilution, followed by Goat Anti-Mouse IgG H&L (Alexa Fluor® 594) preadsorbed (ab150120) at 1/500 dilution.
-ve control 2 : Anti-alpha Tubulin antibody [EPR17351]- Loading Control (ab7291) at 1/1000 dilution, followed by Goat Anti-Rabbit IgG H&L (Alexa Fluor® 488) (ab150077) secondary antibody at 1/500 dilution.

Immunohistochemistry (Formalin/PFA-fixed paraffin-embedded sections) - Anti-Cyclin A2 antibody [EPR17351] (AB181591)
  • IHC-P

Supplier Data

Immunohistochemistry (Formalin/PFA-fixed paraffin-embedded sections) - Anti-Cyclin A2 antibody [EPR17351] (AB181591)

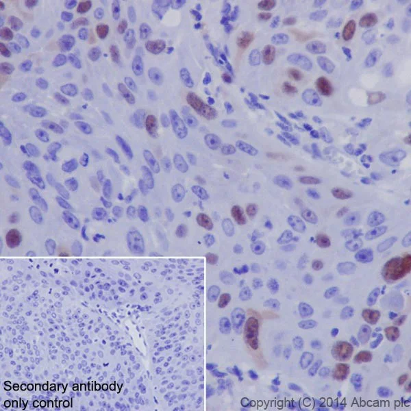
Immunohistochemical analysis of paraffin-embedded Human cervix carcinoma tissue labeling Cyclin A2 with ab181591 at 1/500 dilution, followed by Goat Anti-Rabbit IgG H&L (HRP) (ab97051) at 1/500 dilution. Nuclear and weak cytoplasmic staining on some tumor cells in Human cervix carcinoma tissue is observed. Counter stained with Hematoxylin.

Secondary antibody only control : Used PBS instead of primary antibody, secondary antibody is Goat Anti-Rabbit IgG H&L (HRP) (ab97051) at 1/500 dilution.

Perform heat mediated antigen retrieval with Tris/EDTA buffer pH 9.0 before commencing with IHC staining protocol.

Immunohistochemistry (Formalin/PFA-fixed paraffin-embedded sections) - Anti-Cyclin A2 antibody [EPR17351] (AB181591)
  • IHC-P

Supplier Data

Immunohistochemistry (Formalin/PFA-fixed paraffin-embedded sections) - Anti-Cyclin A2 antibody [EPR17351] (AB181591)

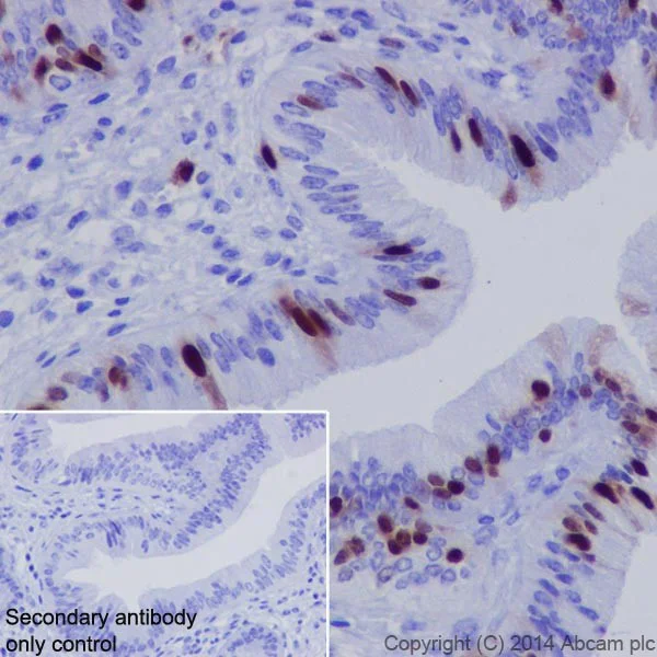
Immunohistochemical analysis of paraffin-embedded mouse endometrium tissue labeling Cyclin A2 with ab181591 at 1/500 dilution, followed by Goat Anti-Rabbit IgG H&L (HRP) (ab97051) at 1/500 dilution. Nuclear and weak cytoplasmic staining on a proportion of epithelial cells in mouse endometrial tissue is observed. Counter stained with Hematoxylin.

Secondary antibody only control : Used PBS instead of primary antibody, secondary antibody is Goat Anti-Rabbit IgG H&L (HRP) (ab97051) at 1/500 dilution.

Perform heat mediated antigen retrieval with Tris/EDTA buffer pH 9.0 before commencing with IHC staining protocol.

Immunohistochemistry (Formalin/PFA-fixed paraffin-embedded sections) - Anti-Cyclin A2 antibody [EPR17351] (AB181591)
  • IHC-P

Supplier Data

Immunohistochemistry (Formalin/PFA-fixed paraffin-embedded sections) - Anti-Cyclin A2 antibody [EPR17351] (AB181591)

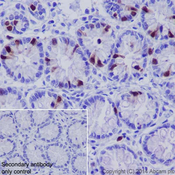
Immunohistochemical analysis of paraffin-embedded rat colon tissue labeling Cyclin A2 with ab181591 at 1/500 dilution, followed by Goat Anti-Rabbit IgG H&L (HRP) (ab97051) at 1/500 dilution. Nuclear and weak cytoplasmic staining on a proportion of epithelial cells in rat colon tissue is observed. Counter stained with Hematoxylin.

Secondary antibody only control : Used PBS instead of primary antibody, secondary antibody is Goat Anti-Rabbit IgG H&L (HRP) (ab97051) at 1/500 dilution.

Perform heat mediated antigen retrieval with Tris/EDTA buffer pH 9.0 before commencing with IHC staining protocol.

Western blot - Anti-Cyclin A2 antibody [EPR17351] (AB181591)
  • WB

Supplier Data

Western blot - Anti-Cyclin A2 antibody [EPR17351] (AB181591)

Blocking/Dilution buffer : 5% NFDM/TBST.

The smaller band is due to a tissue-specific splice variant, PMID 22745723.

All lanes:

Western blot - Anti-Cyclin A2 antibody [EPR17351] (ab181591) at 1/2000 dilution

All lanes:

Rat spleen lysate at 10 µg

Secondary

All lanes:

Goat Anti-Rabbit IgG, (H+L),Peroxidase conjugated at 1/1000 dilution

Predicted band size: 49 kDa

Observed band size: 50 kDa

false

Exposure time: 3min

Western blot - Anti-Cyclin A2 antibody [EPR17351] (AB181591)
  • WB

Supplier Data

Western blot - Anti-Cyclin A2 antibody [EPR17351] (AB181591)

Blocking/Dilution buffer : 5% NFDM/TBST.

All lanes:

Western blot - Anti-Cyclin A2 antibody [EPR17351] (ab181591) at 1/2000 dilution

Lane 1:

C6 (Rat glial tumor cell line) whole cell lysate at 10 µg

Lane 2:

RAW 264.7 (Mouse macrophage cell line transformed with Abelson murine leukemia virus) whole cell lysate at 10 µg

Lane 3:

PC-12 (Rat adrenal gland pheochromocytoma cell line) whole cell lysate at 10 µg

Secondary

All lanes:

Goat Anti-Rabbit IgG, (H+L),Peroxidase conjugated at 1/1000 dilution

Predicted band size: 49 kDa

Observed band size: 50 kDa

false

Exposure time: 3s

Western blot - Anti-Cyclin A2 antibody [EPR17351] (AB181591)
  • WB

Supplier Data

Western blot - Anti-Cyclin A2 antibody [EPR17351] (AB181591)

Blocking/Dilution buffer : 5% NFDM/TBST.

All lanes:

Western blot - Anti-Cyclin A2 antibody [EPR17351] (ab181591) at 1/20000 dilution

All lanes:

Human tonsil lysate at 10 µg

Secondary

All lanes:

Anti-Rabbit IgG (HRP), specific to the non-reduced form of IgG at 1/1000 dilution

Predicted band size: 49 kDa

Observed band size: 50 kDa

false

Exposure time: 1min

Key facts

Host species

Rabbit

Clonality

Monoclonal

Clone number

EPR17351

Isotype

IgG

Carrier free

No

Reacts with

Mouse, Rat, Human

Applications

WB, IHC-P, ICC/IF

applications

Immunogen

The exact immunogen used to generate this antibody is proprietary information.

Reactivity data

{ "title": "Reactivity Data", "filters": { "stats": ["", "Species", "Dilution Info", "Notes"], "tabs": { "all-applications": {"fullname" : "All Applications", "shortname": "All Applications"}, "WB" : {"fullname" : "Western blot", "shortname":"WB"}, "ICCIF" : {"fullname" : "Immunocytochemistry/ Immunofluorescence", "shortname":"ICC/IF"}, "IHCP" : {"fullname" : "Immunohistochemistry (Formalin/PFA-fixed paraffin-embedded sections)", "shortname":"IHC-P"} }, "product-promise": { "all": "all", "testedAndGuaranteed": "tested", "guaranteed": "expected", "predicted": "predicted", "notRecommended": "not-recommended" } }, "values": { "Human": { "WB-species-checked": "testedAndGuaranteed", "WB-species-dilution-info": "1/2000", "WB-species-notes": "<p></p>", "ICCIF-species-checked": "testedAndGuaranteed", "ICCIF-species-dilution-info": "1/500", "ICCIF-species-notes": "<p></p>", "IHCP-species-checked": "testedAndGuaranteed", "IHCP-species-dilution-info": "1/500", "IHCP-species-notes": "<p></p>" }, "Mouse": { "WB-species-checked": "testedAndGuaranteed", "WB-species-dilution-info": "1/2000", "WB-species-notes": "<p></p>", "ICCIF-species-checked": "guaranteed", "ICCIF-species-dilution-info": "", "ICCIF-species-notes": "", "IHCP-species-checked": "testedAndGuaranteed", "IHCP-species-dilution-info": "1/500", "IHCP-species-notes": "<p></p>" }, "Rat": { "WB-species-checked": "testedAndGuaranteed", "WB-species-dilution-info": "1/2000", "WB-species-notes": "<p></p>", "ICCIF-species-checked": "guaranteed", "ICCIF-species-dilution-info": "", "ICCIF-species-notes": "", "IHCP-species-checked": "testedAndGuaranteed", "IHCP-species-dilution-info": "1/500", "IHCP-species-notes": "<p></p>" } } }

Product details

Properties and storage information

Form
Liquid
Purification technique
Affinity purification Protein A
Storage buffer
Preservative: 0.01% Sodium azide Constituents: 59% PBS, 40% Glycerol (glycerin, glycerine), 0.05% BSA
Shipped at conditions
Blue Ice
Appropriate short-term storage duration
1-2 weeks
Appropriate short-term storage conditions
+4°C
Appropriate long-term storage conditions
-20°C
Aliquoting information
Upon delivery aliquot
Storage information
Avoid freeze / thaw cycle

Product protocols

For this product, it's our understanding that no specific protocols are required. You can visit:

Target data

Cyclin which controls both the G1/S and the G2/M transition phases of the cell cycle. Functions through the formation of specific serine/threonine protein kinase holoenzyme complexes with the cyclin-dependent protein kinases CDK1 or CDK2. The cyclin subunit confers the substrate specificity of these complexes and differentially interacts with and activates CDK1 and CDK2 throughout the cell cycle.
See full target information CCNA2

Publications (99)

Recent publications for all applications. Explore the full list and refine your search

Frontiers in immunology 14:1267950 PubMed38143751

2023

KLF14 activates the JNK-signaling pathway to induce S-phase arrest in cervical cancer cells.

Applications

Unspecified application

Species

Unspecified reactive species

Ying Du,Hui Ye,Mei Lin,Lili Cao

International heart journal 64:1113-1124 PubMed37967992

2023

Circ-SUZ12 Protects Cardiomyocytes from Hypoxia-Induced Dysfunction Through Upregulating SUZ12 Expression to Activate Wnt/β-catenin Signaling Pathway.

Applications

Unspecified application

Species

Unspecified reactive species

Long Li,Chao Li,Shuai Cao,Gaoliang Zhou,Yongjin Jiang,Jun Feng

Signal transduction and targeted therapy 8:351 PubMed37709738

2023

MDIG-mediated H3K9me3 demethylation upregulates Myc by activating OTX2 and facilitates liver regeneration.

Applications

Unspecified application

Species

Unspecified reactive species

Jinpeng Du,Wenwei Liao,Haichuan Wang,Guimin Hou,Min Liao,Lin Xu,Jiwei Huang,Kefei Yuan,Xiangzheng Chen,Yong Zeng

Stem cell research & therapy 14:213 PubMed37605290

2023

Knockdown of long noncoding RNA SAN rejuvenates aged adipose-derived stem cells via miR-143-3p/ADD3 axis.

Applications

Unspecified application

Species

Unspecified reactive species

Hewei Xiong,Sen Ren,Jing Chen,Xiaofan Yang,Yutian Liu,Zhao Xu,Jiahe Guo,Tao Jiang,Meng Yuan,Yang Liu,Guolei Zhang,Wenqing Li,Hans-Günther Machens,Zhenbing Chen

Nature communications 14:3994 PubMed37452023

2023

Lysosomal cystine export regulates mTORC1 signaling to guide kidney epithelial cell fate specialization.

Applications

Unspecified application

Species

Unspecified reactive species

Marine Berquez,Zhiyong Chen,Beatrice Paola Festa,Patrick Krohn,Svenja Aline Keller,Silvia Parolo,Mikhail Korzinkin,Anna Gaponova,Endre Laczko,Enrico Domenici,Olivier Devuyst,Alessandro Luciani

Cell death and differentiation 30:1900-1915 PubMed37400716

2023

DNA-PKcs regulates myogenesis in an Akt-dependent manner independent of induced DNA damage.

Applications

Unspecified application

Species

Unspecified reactive species

Haser Hasan Sutcu,Benjamin Montagne,Miria Ricchetti

Human cell 36:1755-1772 PubMed37336868

2023

PSMD4 drives progression of hepatocellular carcinoma via Akt/COX2 pathway and p53 inhibition.

Applications

Unspecified application

Species

Unspecified reactive species

Jiamin Zhang,Shu Fang,Fanghao Rong,Miaomiao Jia,Yunpeng Wang,Huixian Cui,Peipei Hao

Aging 15:4122-4143 PubMed37211383

2023

PCNT is a prognostic biomarker correlated with tumor immune microenvironment in hepatocellular carcinoma and promotes tumor progression by inhibiting cell cycle arrest.

Applications

Unspecified application

Species

Unspecified reactive species

Xuyang Wang,Jinran Yang,Laibang Luo,Xinchang Li,Youfu Zhang

The EMBO journal 42:e110286 PubMed37082862

2023

Evidence for low nanocompaction of heterochromatin in living embryonic stem cells.

Applications

Unspecified application

Species

Unspecified reactive species

Claire Dupont,Dhanvantri Chahar,Antonio Trullo,Thierry Gostan,Caroline Surcis,Charlotte Grimaud,Daniel Fisher,Robert Feil,David Llères

Nucleic acids research 51:4791-4813 PubMed36919611

2023

GCNA is a histone binding protein required for spermatogonial stem cell maintenance.

Applications

Unspecified application

Species

Unspecified reactive species

Jonathan Ribeiro,Gerry P Crossan
View all publications

Product promise

We are committed to supporting your work with high-quality reagents, and we're here for you every step of the way. In the unlikely event that one of our products does not perform as expected, you're protected by our Product Promise.
For full details, please see our Terms & Conditions

Associated Products

Select an associated product type
Alternative Product
Primary Antibodies

AB39

Anti-Cyclin A2 antibody [E67.1]

primary-antibodies

cyclin-a2-antibody-e671-ab39

4

(4 reviews)

Alternative Product
Primary Antibodies

AB264382

Anti-Cyclin A2 antibody

primary-antibodies

cyclin-a2-antibody-ab264382

0

(0 reviews)

Alternative Product
Primary Antibodies

AB38

Anti-Cyclin A2 antibody [E23.1]

primary-antibodies

cyclin-a2-antibody-e231-ab38

4

(10 reviews)

Alternative Product
Primary Antibodies

AB210980

Alexa Fluor® 568 Anti-Cyclin A2 antibody [Y193]

primary-antibodies

alexa-fluor-568-cyclin-a2-antibody-y193-ab210980

0

(0 reviews)

Alternative Product
Primary Antibodies

AB211581

Alexa Fluor® 594 Anti-Cyclin A2 antibody [Y193]

primary-antibodies

alexa-fluor-594-cyclin-a2-antibody-y193-ab211581

0

(0 reviews)

Alternative Product
Primary Antibodies

AB211736

Anti-Cyclin A2 antibody [EPRR19346]

primary-antibodies

cyclin-a2-antibody-eprr19346-ab211736

0

(0 reviews)

Alternative Product
Primary Antibodies

AB32498

Anti-Cyclin A2 antibody [E399]

primary-antibodies

cyclin-a2-antibody-e399-ab32498

0

(0 reviews)

Alternative Product
Primary Antibodies

AB167392

Anti-Cyclin A2 antibody [Y193] - BSA and Azide free

primary-antibodies

cyclin-a2-antibody-y193-bsa-and-azide-free-ab167392

0

(0 reviews)

Alternative Product
Primary Antibodies

AB137769

Anti-Cyclin A2 antibody

primary-antibodies

cyclin-a2-antibody-ab137769

3

(1 reviews)

Alternative Product
Primary Antibodies

AB193598

HRP Anti-Cyclin A2 antibody [E399]

primary-antibodies

hrp-cyclin-a2-antibody-e399-ab193598

0

(0 reviews)

Alternative Product
Primary Antibodies

AB211735

Anti-Cyclin A2 antibody [EPRR19346-64]

primary-antibodies

cyclin-a2-antibody-eprr19346-64-ab211735

5

(2 reviews)

Alternative Product
Primary Antibodies

AB32386

Anti-Cyclin A2 antibody [Y193]

primary-antibodies

cyclin-a2-antibody-y193-ab32386

5

(7 reviews)

Alternative Product
Primary Antibodies

AB211805

Alexa Fluor® 647 Anti-Cyclin A2 antibody [Y193]

primary-antibodies

alexa-fluor-647-cyclin-a2-antibody-y193-ab211805

0

(0 reviews)

Please note: All products are 'FOR RESEARCH USE ONLY. NOT FOR USE IN DIAGNOSTIC OR THERAPEUTIC PROCEDURES'.

For licensing inquiries, please contact partnerships@abcam.com