JavaScript is disabled in your browser. Please enable JavaScript to view this website.
AB211736

Anti-Cyclin A2 antibody [EPRR19346]

Be the first to review this product! Submit a review

|

(2 Publications)

Rabbit Recombinant Monoclonal Cyclin A2 antibody. Suitable for IP, WB, ICC/IF, IHC-P and reacts with Human samples. Cited in 2 publications.

View Alternative Names

CCN1, CCNA, CCNA2, Cyclin-A2, Cyclin-A, Cyclin A

10 Images
Immunocytochemistry/ Immunofluorescence - Anti-Cyclin A2 antibody [EPRR19346] (AB211736)
  • ICC/IF

Supplier Data

Immunocytochemistry/ Immunofluorescence - Anti-Cyclin A2 antibody [EPRR19346] (AB211736)

Immunofluorescent analysis of 4% paraformaldehyde-fixed 0.1% Triton X-100 permeabilized K562 (Human chronic myelogenous leukemia cell line from bone marrow ) cells labeling Cyclin A2 with ab211736 at 1/250 dilution followed by Goat Anti-Rabbit IgG H&L (Alexa Fluor® 488) (ab150077) secondary antibody at 1/1000 dilution (green). Confocal image showing nuclear and weak cytoplasmic staining on K562 cell line. The nuclear counterstain is DAPI (blue).

Tubulin is detected with Anti-alpha Tubulin mouse MAb (ab7291) at 1/1000 dilution and Goat Anti-Mouse IgG H&L (Alexa Fluor® 594) (ab150120) secondary antibody at 1/1000 dilution (red).

The negative controls are as follows : -

-ve control 1 : ab211736 at 1/250 dilution followed by Goat Anti-Mouse IgG H&L (Alexa Fluor® 594) (ab150120) secondary antibody at 1/1000 dilution.

-ve control 2 : Anti-alpha Tubulin mouse MAb (ab7291) at 1/1000 dilution followed by Goat Anti-Rabbit IgG H&L (Alexa Fluor® 488) (ab150077) secondary antibody at 1/1000 dilution.

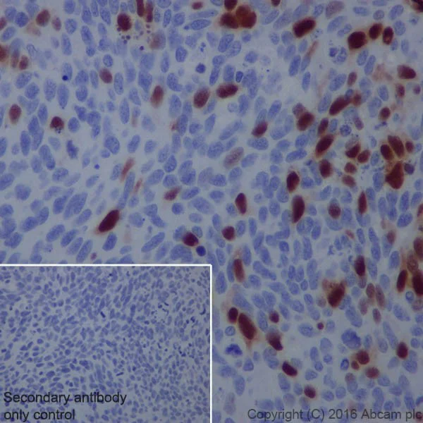
Immunohistochemistry (Formalin/PFA-fixed paraffin-embedded sections) - Anti-Cyclin A2 antibody [EPRR19346] (AB211736)
  • IHC-P

Supplier Data

Immunohistochemistry (Formalin/PFA-fixed paraffin-embedded sections) - Anti-Cyclin A2 antibody [EPRR19346] (AB211736)

Immunohistochemical analysis of paraffin-embedded human colon cancer tissue labeling Cyclin A2 with ab211736 at 1/2000 dilution followed by Goat Anti-Rabbit IgG H&L (HRP) (ab97051) at 1/500 dilution.

Nuclear and weak cytoplasmic staining on some tumor cells of human colon cancer tissue is observed.

Counter stained with Hematoxylin.

Secondary antibody only control : Used PBS instead of primary antibody secondary antibody is Goat Anti-Rabbit IgG H&L (HRP) (ab97051) at 1/500 dilution.

Perform heat mediated antigen retrieval with Tris/EDTA buffer pH 9.0 before commencing with IHC staining protocol.

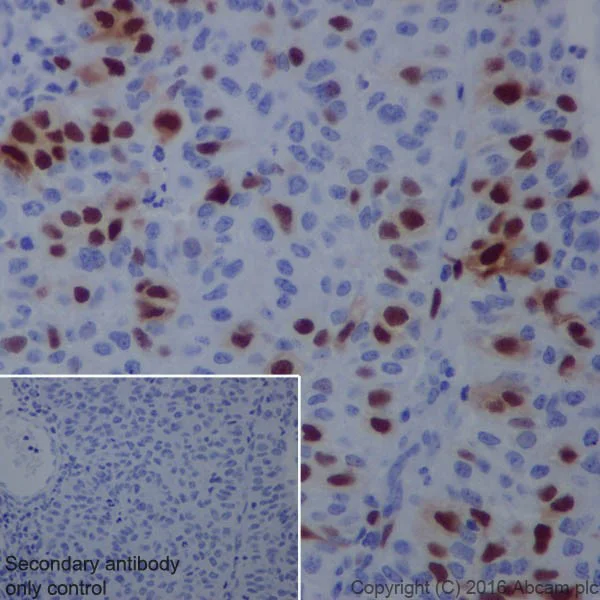
Immunohistochemistry (Formalin/PFA-fixed paraffin-embedded sections) - Anti-Cyclin A2 antibody [EPRR19346] (AB211736)
  • IHC-P

Supplier Data

Immunohistochemistry (Formalin/PFA-fixed paraffin-embedded sections) - Anti-Cyclin A2 antibody [EPRR19346] (AB211736)

Immunohistochemical analysis of paraffin-embedded human endometrial cancer tissue labeling Cyclin A2 with ab211736 at 1/2000 dilution followed by Goat Anti-Rabbit IgG H&L (HRP) (ab97051) at 1/500 dilution.

Nuclear and weak cytoplasmic staining on some tumor cells of human endometrial cancer tissue is observed.

Counter stained with Hematoxylin.

Secondary antibody only control : Used PBS instead of primary antibody secondary antibody is Goat Anti-Rabbit IgG H&L (HRP) (ab97051) at 1/500 dilution.

Perform heat mediated antigen retrieval with Tris/EDTA buffer pH 9.0 before commencing with IHC staining protocol.

Immunocytochemistry/ Immunofluorescence - Anti-Cyclin A2 antibody [EPRR19346] (AB211736)
  • ICC/IF

Supplier Data

Immunocytochemistry/ Immunofluorescence - Anti-Cyclin A2 antibody [EPRR19346] (AB211736)

Immunofluorescent analysis of 4% paraformaldehyde-fixed 0.1% Triton X-100 permeabilized HeLa (Human epithelial cell line from cervix adenocarcinoma) cells labeling Cyclin A2 with ab211736 at 1/250 dilution followed by Goat Anti-Rabbit IgG H&L (Alexa Fluor® 488) (ab150077) secondary antibody at 1/1000 dilution (green). Confocal image showing nuclear and weakly cytoplasmic staining on HeLa cell line. The nuclear counterstain is DAPI (blue).

Tubulin is detected with Anti-alpha Tubulin mouse MAb (ab7291) at 1/1000 dilution and Goat Anti-Mouse IgG H&L (Alexa Fluor® 594) (ab150120) secondary antibody at 1/1000 dilution (red).

The negative controls are as follows : -

-ve control 1 : ab211736 at 1/250 dilution followed by Goat Anti-Mouse IgG H&L (Alexa Fluor® 594) (ab150120) secondary antibody at 1/1000 dilution.

-ve control 2 : Anti-alpha Tubulin mouse MAb (ab7291) at 1/1000 dilution followed by Goat Anti-Rabbit IgG H&L (Alexa Fluor® 488) (ab150077) secondary antibody at 1/1000 dilution.

Immunohistochemistry (Formalin/PFA-fixed paraffin-embedded sections) - Anti-Cyclin A2 antibody [EPRR19346] (AB211736)
  • IHC-P

Supplier Data

Immunohistochemistry (Formalin/PFA-fixed paraffin-embedded sections) - Anti-Cyclin A2 antibody [EPRR19346] (AB211736)

Immunohistochemical analysis of paraffin-embedded human colon tissue labeling Cyclin A2 with ab211736 at 1/2000 dilution followed by Goat Anti-Rabbit IgG H&L (HRP) (ab97051) at 1/500 dilution.

Nuclear and weak cytoplasmic staining on a small proportion of epithelial cells of human colon tissue is observed.

Counter stained with Hematoxylin.

Secondary antibody only control : Used PBS instead of primary antibody secondary antibody is Goat Anti-Rabbit IgG H&L (HRP) (ab97051) at 1/500 dilution.

Perform heat mediated antigen retrieval with Tris/EDTA buffer pH 9.0 before commencing with IHC staining protocol.

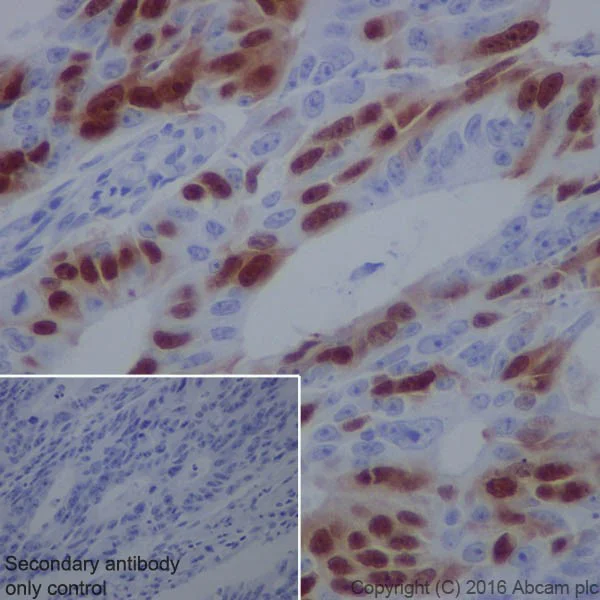
Immunohistochemistry (Formalin/PFA-fixed paraffin-embedded sections) - Anti-Cyclin A2 antibody [EPRR19346] (AB211736)
  • IHC-P

Supplier Data

Immunohistochemistry (Formalin/PFA-fixed paraffin-embedded sections) - Anti-Cyclin A2 antibody [EPRR19346] (AB211736)

Immunohistochemical analysis of paraffin-embedded human cervix cancer tissue labeling Cyclin A2 with ab211736 at 1/2000 dilution followed by Goat Anti-Rabbit IgG H&L (HRP) (ab97051) at 1/500 dilution.

Nuclear and weak cytoplasmic staining on some tumor cells of human cervix cancer tissue is observed.

Counter stained with Hematoxylin.

Secondary antibody only control : Used PBS instead of primary antibody secondary antibody is Goat Anti-Rabbit IgG H&L (HRP) (ab97051) at 1/500 dilution.

Perform heat mediated antigen retrieval with Tris/EDTA buffer pH 9.0 before commencing with IHC staining protocol.

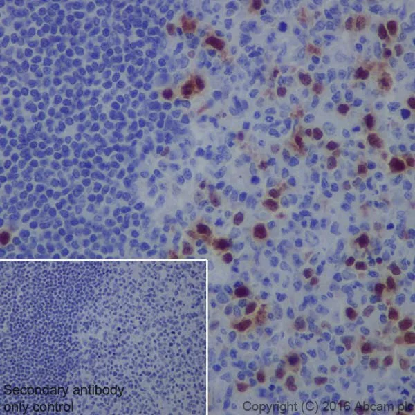
Immunohistochemistry (Formalin/PFA-fixed paraffin-embedded sections) - Anti-Cyclin A2 antibody [EPRR19346] (AB211736)
  • IHC-P

Supplier Data

Immunohistochemistry (Formalin/PFA-fixed paraffin-embedded sections) - Anti-Cyclin A2 antibody [EPRR19346] (AB211736)

Immunohistochemical analysis of paraffin-embedded human tonsil tissue labeling Cyclin A2 with ab211736 at 1/2000 dilution followed by Goat Anti-Rabbit IgG H&L (HRP) (ab97051) at 1/500 dilution.

Nuclear and weak cytoplasmic staining on germinal center cells of human tonsil tissue is observed.

Counter stained with Hematoxylin.

Secondary antibody only control : Used PBS instead of primary antibody secondary antibody is Goat Anti-Rabbit IgG H&L (HRP) (ab97051) at 1/500 dilution.

Perform heat mediated antigen retrieval with Tris/EDTA buffer pH 9.0 before commencing with IHC staining protocol.

Immunoprecipitation - Anti-Cyclin A2 antibody [EPRR19346] (AB211736)
  • IP

Supplier Data

Immunoprecipitation - Anti-Cyclin A2 antibody [EPRR19346] (AB211736)

Cyclin A2 was immunoprecipitated from 0.35 mg of HeLa (Human epithelial cell line from cervix adenocarcinoma) whole cell lysate with ab211736 at 1/30 dilution.

Western blot was performed from the immunoprecipitate using ab211736 at 1/1000 dilution.

VeriBlot for IP Detection Reagent (HRP) (ab131366), was used for detection at 1/10,000 dilution

Lane 1 : HeLa whole cell lysate 10μg (Input).

Lane 2 : ab211736 IP in HeLa whole cell lysate.

Lane 3 : Rabbit monoclonal IgG (ab172730) instead of ab211736 in HeLa whole cell lysate.

Blocking and dilution buffer and concentration : 5% NFDM/TBST.

Exposure time : 5 seconds.

All lanes:

Immunoprecipitation - Anti-Cyclin A2 antibody [EPRR19346] (ab211736)

Predicted band size: 49 kDa

false

Western blot - Anti-Cyclin A2 antibody [EPRR19346] (AB211736)
  • WB

Supplier Data

Western blot - Anti-Cyclin A2 antibody [EPRR19346] (AB211736)

Blocking/Dilution buffer : 5% NFDM/TBST.

All lanes:

Western blot - Anti-Cyclin A2 antibody [EPRR19346] (ab211736) at 1/10000 dilution

Lane 1:

HEK-293 (Human epithelial cell line from embryonic kidney) whole cell lysate at 10 µg

Lane 2:

HeLa (Human epithelial cell line from cervix adenocarcinoma) whole cell lysate at 10 µg

Lane 3:

SW480 (Human colorectal adenocarcinoma cell line) whole cell lysate at 10 µg

Secondary

All lanes:

Western blot - Goat Anti-Rabbit IgG H&L (HRP) (<a href='/en-us/products/secondary-antibodies/goat-rabbit-igg-h-l-hrp-ab97051'>ab97051</a>) at 1/100000 dilution

Predicted band size: 49 kDa

Observed band size: 50 kDa

false

Exposure time: 3s

Western blot - Anti-Cyclin A2 antibody [EPRR19346] (AB211736)
  • WB

Supplier Data

Western blot - Anti-Cyclin A2 antibody [EPRR19346] (AB211736)

Blocking/Dilution buffer : 5% NFDM/TBST.

Exposure time : Lane 1 : 15 seconds; Lane 2 : 3 minutes.

All lanes:

Western blot - Anti-Cyclin A2 antibody [EPRR19346] (ab211736) at 1/1000 dilution

Lane 1:

Human fetal liver lysate at 10 µg

Lane 2:

Human fetal heart lysate at 10 µg

Secondary

All lanes:

Goat Anti-Rabbit IgG Peroxidase Conjugate, specific to the non-reduced form of IgG at 1/10000 dilution

Predicted band size: 49 kDa

Observed band size: 50 kDa

false

  • Carrier free

    Anti-Cyclin A2 antibody [EPRR19346] - BSA and Azide free

Key facts

Host species

Rabbit

Clonality

Monoclonal

Clone number

EPRR19346

Isotype

IgG

Carrier free

No

Reacts with

Human

Applications

ICC/IF, WB, IHC-P, IP

applications

Immunogen

The exact immunogen used to generate this antibody is proprietary information.

Reactivity data

{ "title": "Reactivity Data", "filters": { "stats": ["", "Species", "Dilution Info", "Notes"], "tabs": { "all-applications": {"fullname" : "All Applications", "shortname": "All Applications"}, "IP" : {"fullname" : "Immunoprecipitation", "shortname":"IP"}, "WB" : {"fullname" : "Western blot", "shortname":"WB"}, "ICCIF" : {"fullname" : "Immunocytochemistry/ Immunofluorescence", "shortname":"ICC/IF"}, "IHCP" : {"fullname" : "Immunohistochemistry (Formalin/PFA-fixed paraffin-embedded sections)", "shortname":"IHC-P"} }, "product-promise": { "all": "all", "testedAndGuaranteed": "tested", "guaranteed": "expected", "predicted": "predicted", "notRecommended": "not-recommended" } }, "values": { "Human": { "IP-species-checked": "testedAndGuaranteed", "IP-species-dilution-info": "1/30", "IP-species-notes": "<p></p>", "WB-species-checked": "testedAndGuaranteed", "WB-species-dilution-info": "1/1000", "WB-species-notes": "<p></p>", "ICCIF-species-checked": "testedAndGuaranteed", "ICCIF-species-dilution-info": "1/250", "ICCIF-species-notes": "<p></p>", "IHCP-species-checked": "testedAndGuaranteed", "IHCP-species-dilution-info": "1/2000", "IHCP-species-notes": "<p></p>" } } }

Product details

Patented technology
Our RabMAb® technology is a patented hybridoma-based technology for making rabbit monoclonal antibodies. For details on our patents, please refer to RabMAb® patents.

What are the advantages of a recombinant monoclonal antibody?
This product is a recombinant monoclonal antibody, which offers several advantages including:

  • - High batch-to-batch consistency and reproducibility
  • - Improved sensitivity and specificity
  • - Long-term security of supply
  • - Animal-free batch production

For more information, read more on recombinant antibodies.

Properties and storage information

Form
Liquid
Purification technique
Affinity purification Protein A
Storage buffer
pH: 7.2 - 7.4 Preservative: 0.01% Sodium azide Constituents: PBS, 40% Glycerol (glycerin, glycerine), 0.05% BSA
Shipped at conditions
Blue Ice
Appropriate short-term storage duration
1-2 weeks
Appropriate short-term storage conditions
+4°C
Appropriate long-term storage conditions
-20°C
Aliquoting information
Upon delivery aliquot
Storage information
Avoid freeze / thaw cycle

Product protocols

For this product, it's our understanding that no specific protocols are required. You can visit:

Target data

Cyclin which controls both the G1/S and the G2/M transition phases of the cell cycle. Functions through the formation of specific serine/threonine protein kinase holoenzyme complexes with the cyclin-dependent protein kinases CDK1 or CDK2. The cyclin subunit confers the substrate specificity of these complexes and differentially interacts with and activates CDK1 and CDK2 throughout the cell cycle.
See full target information CCNA2

Publications (2)

Recent publications for all applications. Explore the full list and refine your search

Journal of experimental & clinical cancer research : CR 44:282 PubMed41057919

2025

Long-term patient-derived ovarian cancer organoids closely recapitulate tumor of origin and clinical response.

Applications

Unspecified application

Species

Unspecified reactive species

Lucie Thorel,Enora Dolivet,Pierre-Marie Morice,Romane Florent,Jordane Divoux,Marion Perréard,Lucie Lecouflet,Guillaume Desmartin,Chloé Marde Alagama,Florence Giffard,Alexandra Leconte,Justine Lequesne,Bénédicte Clarisse,Mélanie Briand,Alimatou Traoré,Céline Villenet,Jean-Pascal Meneboo,Guillaume Babin,Léopold Gaichies,Sandrine Martin-Françoise,Jean-François Le Brun,Roman Rouzier,Emilie Brotin,Christophe Denoyelle,Nicolas Vigneron,Raphaël Leman,Dominique Vaur,Laurent Castera,Cécile Blanc-Fournier,Nicolas Elie,Benoit Plancoulaine,Florence Joly,Matthieu Meryet-Figuière,Martin Figeac,Louis-Bastien Weiswald,Laurent Poulain

Life science alliance 8: PubMed39741007

2025

Genetic modulation of RNA splicing rescues BRCA2 function in mutant cells.

Applications

Unspecified application

Species

Unspecified reactive species

Beatriz Anjo Lima,Ana Carolina Pais,Juliette Dupont,Patrícia Dias,Noélia Custódio,Ana Berta Sousa,Maria Carmo-Fonseca,Célia Carvalho
View all publications

Product promise

We are committed to supporting your work with high-quality reagents, and we're here for you every step of the way. In the unlikely event that one of our products does not perform as expected, you're protected by our Product Promise.
For full details, please see our Terms & Conditions

Please note: All products are 'FOR RESEARCH USE ONLY. NOT FOR USE IN DIAGNOSTIC OR THERAPEUTIC PROCEDURES'.

For licensing inquiries, please contact partnerships@abcam.com