JavaScript is disabled in your browser. Please enable JavaScript to view this website.
AB167392

Anti-Cyclin A2 antibody [Y193] - BSA and Azide free

Be the first to review this product! Submit a review

|

(0 Publication)

Rabbit Recombinant Monoclonal Cyclin A2 antibody. Carrier free. Suitable for IP, WB, ICC/IF, IHC-P and reacts with Human, Mouse samples.

View Alternative Names

CCN1, CCNA, CCNA2, Cyclin-A2, Cyclin-A, Cyclin A

3 Images
Immunocytochemistry/ Immunofluorescence - Anti-Cyclin A2 antibody [Y193] - BSA and Azide free (AB167392)
  • ICC/IF

Unknown

Immunocytochemistry/ Immunofluorescence - Anti-Cyclin A2 antibody [Y193] - BSA and Azide free (AB167392)

This ICC data was generated using the same anti-Cyclin A2 antibody clone, Y193, in a different buffer formulation (cat# ab32386).

Immunofluorescence staining of MCF7 cells with purified ab32386 at a working dilution of 1/100, counter-stained with DAPI. The secondary antibody was Alexa Fluor® 488 goat anti-rabbit (ab150077), used at a dilution of 1/1000. ab7291, a mouse anti-tubulin antibody (1/1000), was used to stain tubulin along with ab150120 (Alexa Fluor® 594 goat anti-mouse, 1/1000), shown in the top right hand panel. The cells were fixed in 4 % PFA and permeabilized using 0.1% Triton X 100. The negative controls are shown in bottom middle and right hand panels - for negative control 1, purified ab32386 was used at a dilution of 1/500 followed by an Alexa Fluor® 594 goat anti-mouse antibody (ab150120) at a dilution of 1/500. For negative control 2, ab7291 (mouse anti-tubulin) was used at a dilution of 1/500 followed by an Alexa Fluor® 488 goat anti-rabbit antibody (ab150077) at a dilution of 1/400.

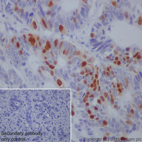
Immunohistochemistry (Formalin/PFA-fixed paraffin-embedded sections) - Anti-Cyclin A2 antibody [Y193] - BSA and Azide free (AB167392)
  • IHC-P

Unknown

Immunohistochemistry (Formalin/PFA-fixed paraffin-embedded sections) - Anti-Cyclin A2 antibody [Y193] - BSA and Azide free (AB167392)

This IHC data was generated using the same anti-Cyclin A2 antibody clone, Y193, in a different buffer formulation (cat# ab32386).

Immunohistochemical staining of paraffin embedded human colon carcinoma with purified ab32386 at a working dilution of 1/500. The secondary antibody used is ab97051, a goat anti-rabbit IgG (H&L) at a dilution of 1/500. The sample is counter-stained with hematoxylin. Antigen retrieval was perfomed using Tris-EDTA buffer, pH 9.0. PBS was used instead of the primary antibody as the negative control, and is shown in the inset.

Immunoprecipitation - Anti-Cyclin A2 antibody [Y193] - BSA and Azide free (AB167392)
  • IP

Unknown

Immunoprecipitation - Anti-Cyclin A2 antibody [Y193] - BSA and Azide free (AB167392)

ab32386 (purified) at 1/40 immunoprecipitating Cyclin A2 in 10 μg HeLa cell lysate (Lanes 1 and 2, observed at 55 kDa). Lane 3 - Rabbit monoclonal IgG (ab172730). For western blotting, VeriBlot for IP Detection Reagent (HRP) (ab131366), was used for detection at 1/10,000 dilution. Blocking buffer and concentration : 5% NFDM/TBST Dilution buffer and concentration : 5% NFDM/TBST

This data was developed using the same antibody clone in a different buffer formulation containing PBS, BSA, glycerol, and sodium azide (ab32386).

All lanes:

Immunoprecipitation - Anti-Cyclin A2 antibody [Y193] (<a href='/en-us/products/primary-antibodies/cyclin-a2-antibody-y193-ab32386'>ab32386</a>)

Predicted band size: 49 kDa

false

Key facts

Host species

Rabbit

Clonality

Monoclonal

Clone number

Y193

Isotype

IgG

Carrier free

Yes

Reacts with

Mouse, Human

Applications

ICC/IF, IP, WB, IHC-P

applications

Immunogen

The exact immunogen used to generate this antibody is proprietary information.

Reactivity data

{ "title": "Reactivity Data", "filters": { "stats": ["", "Species", "Dilution Info", "Notes"], "tabs": { "all-applications": {"fullname" : "All Applications", "shortname": "All Applications"}, "IP" : {"fullname" : "Immunoprecipitation", "shortname":"IP"}, "WB" : {"fullname" : "Western blot", "shortname":"WB"}, "ICCIF" : {"fullname" : "Immunocytochemistry/ Immunofluorescence", "shortname":"ICC/IF"}, "IHCP" : {"fullname" : "Immunohistochemistry (Formalin/PFA-fixed paraffin-embedded sections)", "shortname":"IHC-P"} }, "product-promise": { "all": "all", "testedAndGuaranteed": "tested", "guaranteed": "expected", "predicted": "predicted", "notRecommended": "not-recommended" } }, "values": { "Human": { "IP-species-checked": "testedAndGuaranteed", "IP-species-dilution-info": "", "IP-species-notes": "<p></p> Perform heat-mediated antigen retrieval with Tris/EDTA buffer pH 9.0 before commencing with IHC staining protocol.", "WB-species-checked": "guaranteed", "WB-species-dilution-info": "", "WB-species-notes": "<p></p>", "ICCIF-species-checked": "testedAndGuaranteed", "ICCIF-species-dilution-info": "", "ICCIF-species-notes": "<p></p>", "IHCP-species-checked": "testedAndGuaranteed", "IHCP-species-dilution-info": "", "IHCP-species-notes": "<p></p> Perform heat-mediated antigen retrieval with Tris/EDTA buffer pH 9.0 before commencing with IHC staining protocol." }, "Mouse": { "IP-species-checked": "predicted", "IP-species-dilution-info": "", "IP-species-notes": "", "WB-species-checked": "guaranteed", "WB-species-dilution-info": "", "WB-species-notes": "<p></p>", "ICCIF-species-checked": "predicted", "ICCIF-species-dilution-info": "", "ICCIF-species-notes": "", "IHCP-species-checked": "predicted", "IHCP-species-dilution-info": "", "IHCP-species-notes": "" } } }

Product details

ab167392 is the carrier-free version of ab32386.

Patented technology
Our RabMAb® technology is a patented hybridoma-based technology for making rabbit monoclonal antibodies. For details on our patents, please refer to RabMAb® patents.

Conjugation ready
Our carrier-free antibodies are typically supplied in a PBS-only formulation, purified and free of BSA, sodium azide and glycerol. This conjugation-ready format is designed for use with fluorochromes, metal isotopes, oligonucleotides, and enzymes, which makes them ideal for antibody labelling, functional and cell-based assays, flow-based assays (e.g. mass cytometry) and Multiplex Imaging applications.

Use our conjugation kits for antibody conjugates that are ready-to-use in as little as 20 minutes with 1 minute hands-on-time and 100% antibody recovery: available for fluorescent dyes, HRP, biotin and gold.

Compatibility
This product is compatible with the Maxpar® Antibody Labeling Kit from Fluidigm, without the need for antibody preparation. Maxpar® is a trademark of Fluidigm Canada Inc.

Properties and storage information

Form
Liquid
Purification technique
Affinity purification Protein A
Storage buffer
Constituents: PBS
Shipped at conditions
Blue Ice
Appropriate short-term storage conditions
+4°C
Appropriate long-term storage conditions
+4°C
Storage information
Do Not Freeze

Product protocols

For this product, it's our understanding that no specific protocols are required. You can visit:

Target data

Cyclin which controls both the G1/S and the G2/M transition phases of the cell cycle. Functions through the formation of specific serine/threonine protein kinase holoenzyme complexes with the cyclin-dependent protein kinases CDK1 or CDK2. The cyclin subunit confers the substrate specificity of these complexes and differentially interacts with and activates CDK1 and CDK2 throughout the cell cycle.
See full target information CCNA2

Product promise

We are committed to supporting your work with high-quality reagents, and we're here for you every step of the way. In the unlikely event that one of our products does not perform as expected, you're protected by our Product Promise.
For full details, please see our Terms & Conditions

Please note: All products are 'FOR RESEARCH USE ONLY. NOT FOR USE IN DIAGNOSTIC OR THERAPEUTIC PROCEDURES'.

For licensing inquiries, please contact partnerships@abcam.com