JavaScript is disabled in your browser. Please enable JavaScript to view this website.
AB309952

Anti-Cyclin B3 antibody [EPR24921-9] - BSA and Azide free

Be the first to review this product! Submit a review

|

(0 Publication)

Rabbit Recombinant Monoclonal Cyclin B3 antibody. Carrier free. Suitable for IHC-P and reacts with Human samples.

View Alternative Names

CYCB3, CCNB3, G2/mitotic-specific cyclin-B3

3 Images
Immunohistochemistry (Formalin/PFA-fixed paraffin-embedded sections) - Anti-Cyclin B3 antibody [EPR24921-9] - BSA and Azide free (AB309952)
  • IHC-P

Lab

Immunohistochemistry (Formalin/PFA-fixed paraffin-embedded sections) - Anti-Cyclin B3 antibody [EPR24921-9] - BSA and Azide free (AB309952)

This data was developed using ab309951, the same antibody clone in a different buffer formulation.

Immunohistochemical analysis of paraffin-embedded formalin-fixed paraffin-embedded normal human liver testis labeling G2/mitotic-specific cyclin-B3 with ab309951 at 1µg/ml followed by a secondary antibody.

Counterstained with Hematoxylin.

Negative control : secondary antibody only.

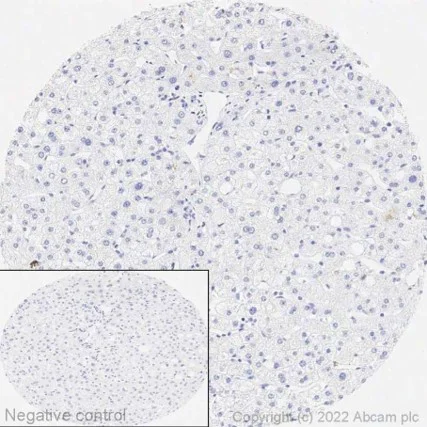
Immunohistochemistry (Formalin/PFA-fixed paraffin-embedded sections) - Anti-Cyclin B3 antibody [EPR24921-9] - BSA and Azide free (AB309952)
  • IHC-P

Lab

Immunohistochemistry (Formalin/PFA-fixed paraffin-embedded sections) - Anti-Cyclin B3 antibody [EPR24921-9] - BSA and Azide free (AB309952)

This data was developed using ab309951, the same antibody clone in a different buffer formulation.

Immunohistochemical analysis of paraffin-embedded formalin-fixed paraffin-embedded normal human liver tissue labeling G2/mitotic-specific cyclin-B3 with ab309951 at 1µg/ml followed by a secondary antibody.

Counterstained with Hematoxylin.

Negative control : secondary antibody only.

Immunohistochemistry (Formalin/PFA-fixed paraffin-embedded sections) - Anti-Cyclin B3 antibody [EPR24921-9] - BSA and Azide free (AB309952)
  • IHC-P

Lab

Immunohistochemistry (Formalin/PFA-fixed paraffin-embedded sections) - Anti-Cyclin B3 antibody [EPR24921-9] - BSA and Azide free (AB309952)

This data was developed using ab309951, the same antibody clone in a different buffer formulation.

Immunohistochemical analysis of paraffin-embedded formalin-fixed paraffin-embedded normal human cerebellum tissue labeling G2/mitotic-specific cyclin-B3 with ab309951 at 1µg/ml followed by a secondary antibody.

Counterstained with Hematoxylin.

Negative control : secondary antibody only.

Key facts

Host species

Rabbit

Clonality

Monoclonal

Clone number

EPR24921-9

Isotype

IgG

Light chain type

kappa

Carrier free

Yes

Reacts with

Human

Applications

IHC-P

applications

Immunogen

The exact immunogen used to generate this antibody is proprietary information.

Reactivity data

{ "title": "Reactivity Data", "filters": { "stats": ["", "Species", "Dilution Info", "Notes"], "tabs": { "all-applications": {"fullname" : "All Applications", "shortname": "All Applications"}, "IHCP" : {"fullname" : "Immunohistochemistry (Formalin/PFA-fixed paraffin-embedded sections)", "shortname":"IHC-P"} }, "product-promise": { "all": "all", "testedAndGuaranteed": "tested", "guaranteed": "expected", "predicted": "predicted", "notRecommended": "not-recommended" } }, "values": { "Human": { "IHCP-species-checked": "testedAndGuaranteed", "IHCP-species-dilution-info": "", "IHCP-species-notes": "<p></p>" } } }

Product details

ab309952 is the carrier free version of ab309951.

Patented technology
Our RabMAb® technology is a patented hybridoma-based technology for making rabbit monoclonal antibodies. For details on our patents, please refer to RabMAb® patents.

Compatibility
This product is compatible with the Maxpar® Antibody Labeling Kit from Fluidigm, without the need for antibody preparation. Maxpar® is a trademark of Fluidigm Canada Inc.

Conjugation ready
Our carrier-free antibodies are typically supplied in a PBS-only formulation, purified and free of BSA, sodium azide and glycerol. This conjugation-ready format is designed for use with fluorochromes, metal isotopes, oligonucleotides, and enzymes, which makes them ideal for antibody labelling, functional and cell-based assays, flow-based assays (e.g. mass cytometry) and Multiplex Imaging applications.

Use our conjugation kits for antibody conjugates that are ready-to-use in as little as 20 minutes with 1 minute hands-on-time and 100% antibody recovery: available for fluorescent dyes, HRP, biotin and gold.

What are the advantages of a recombinant monoclonal antibody?
This product is a recombinant monoclonal antibody, which offers several advantages including:

  • - High batch-to-batch consistency and reproducibility
  • - Improved sensitivity and specificity
  • - Long-term security of supply
  • - Animal-free batch production

For more information, read more on recombinant antibodies.

Properties and storage information

Form
Liquid
Purification technique
Affinity purification Protein A
Storage buffer
pH: 7.2 - 7.4 Constituents: PBS
Shipped at conditions
Blue Ice
Appropriate short-term storage conditions
+4°C
Appropriate long-term storage conditions
+4°C

Product protocols

For this product, it's our understanding that no specific protocols are required. You can visit:

Target data

Cyclins are positive regulatory subunits of the cyclin-dependent kinases (CDKs), and thereby play an essential role in the control of the cell cycle, notably via their destruction during cell division. Its tissue specificity suggest that it may be required during early meiotic prophase I.
See full target information CCNB3

Product promise

We are committed to supporting your work with high-quality reagents, and we're here for you every step of the way. In the unlikely event that one of our products does not perform as expected, you're protected by our Product Promise.
For full details, please see our Terms & Conditions

Please note: All products are 'FOR RESEARCH USE ONLY. NOT FOR USE IN DIAGNOSTIC OR THERAPEUTIC PROCEDURES'.

For licensing inquiries, please contact partnerships@abcam.com