JavaScript is disabled in your browser. Please enable JavaScript to view this website.
AB156448

Anti-Cyclin D1 antibody [EPR2241] - BSA and Azide free

4

(7 Reviews)

|

(6 Publications)

Rabbit Recombinant Monoclonal Cyclin D1 antibody. Carrier free. Suitable for IHC-P, IP, WB, ICC/IF and reacts with Human, Mouse, Rat samples. Cited in 6 publications.

View Alternative Names

BCL1, PRAD1, CCND1, G1/S-specific cyclin-D1, B-cell lymphoma 1 protein, BCL-1 oncogene, PRAD1 oncogene, BCL-1

11 Images
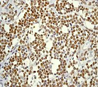
Immunohistochemistry (Formalin/PFA-fixed paraffin-embedded sections) - Anti-Cyclin D1 antibody [EPR2241] - BSA and Azide free (AB156448)
  • IHC-P

Lab

Immunohistochemistry (Formalin/PFA-fixed paraffin-embedded sections) - Anti-Cyclin D1 antibody [EPR2241] - BSA and Azide free (AB156448)

This data was developed using the same antibody clone in a different buffer formulation (ab134175).

Immunohistochemical analysis of formalin fixed paraffin embedded human tonsil labelling Cyclin D1 with ab134175 at a concentration of 1 µg/ml. The immunostaining was performed on a Ventana DISCOVERY ULTRA (Roche Tissue Diagnostics) instrument with a OptiView DAB IHC Detection Kit. Heat mediated antigen retrieval was performed with DISCOVERY cell conditioning solution (CC1) 100°C, pH8.5 for 32mins.

Anti-Cyclin D1 antibody [EPR2241] ab134175 was incubated for 16mins at 37°C. Sections were counterstained with Hematoxylin II. Image inset shows absence of staining in secondary antibody only control.

Customers are encouraged to optimise antigen retrieval conditions, antibody concentration, incubation times and temperature for best results in their own IHC assay workflow (automated and manual).

Immunocytochemistry/ Immunofluorescence - Anti-Cyclin D1 antibody [EPR2241] - BSA and Azide free (AB156448)
  • ICC/IF

AbReview40418****

Immunocytochemistry/ Immunofluorescence - Anti-Cyclin D1 antibody [EPR2241] - BSA and Azide free (AB156448)

Immunocytochemical analysis of HeLa (Human epithelial cell line from cervix adenocarcinoma) cells, labeling Cyclin D1 with ab134175 at a dilution of 1/200. Cells were paraformaldehyde fixed and permeabilized with 0.5% Triton X-100 in PBS. Incubation with the primary antibody was for 1 hour at 22°C. Cells were counterstained with DAPI following immunostaining.

This data was developed using the same antibody clone in a different buffer formulation containing PBS, BSA, glycerol, and sodium azide (ab134175).

This image is courtesy of an Abreview submitted by Kirk Mcmanus.

Immunohistochemistry (Formalin/PFA-fixed paraffin-embedded sections) - Anti-Cyclin D1 antibody [EPR2241] - BSA and Azide free (AB156448)
  • IHC-P

Unknown

Immunohistochemistry (Formalin/PFA-fixed paraffin-embedded sections) - Anti-Cyclin D1 antibody [EPR2241] - BSA and Azide free (AB156448)

Immunohistochemical analysis of paraffin-embedded human mantle cell lymphoma tissue, labeling Cyclin D1 with unpurified ab134175 at 1/100 dilution.

This data was developed using the same antibody clone in a different buffer formulation containing PBS, BSA, glycerol, and sodium azide (ab134175).

Heat mediated antigen retrieval was performed with citrate buffer pH 6 before commencing with IHC staining protocol.

Immunocytochemistry/ Immunofluorescence - Anti-Cyclin D1 antibody [EPR2241] - BSA and Azide free (AB156448)
  • ICC/IF

Lab

Immunocytochemistry/ Immunofluorescence - Anti-Cyclin D1 antibody [EPR2241] - BSA and Azide free (AB156448)

Immunofluorescent staining of Ramos (Human Burkitt's lymphoma cell line) cells (fixed in 4% PFA, permeabilized with 0.1% Triton X 100) using purified ab134175 at a dilution of 1/50. An Alexa Fluor® 488 goat anti-rabbit antibody was used as the secondary at a dilution of 1/500 and the cells were counterstained with DAPI.

The negative control is shown in the bottom right hand panel - for the negative control, Alex Fluor® 594 goat anti-mouse was used at a dilution of 1/500.

This data was developed using the same antibody clone in a different buffer formulation containing PBS, BSA, glycerol, and sodium azide (ab134175).

Immunohistochemistry (Formalin/PFA-fixed paraffin-embedded sections) - Anti-Cyclin D1 antibody [EPR2241] - BSA and Azide free (AB156448)
  • IHC-P

Lab

Immunohistochemistry (Formalin/PFA-fixed paraffin-embedded sections) - Anti-Cyclin D1 antibody [EPR2241] - BSA and Azide free (AB156448)

IHC image of ab134175 staining Cyclin D1 in human esophagus formalin fixed paraffin embedded tissue sections*, performed on a Leica Bond. The section was pre-treated using heat mediated antigen retrieval with sodium citrate buffer (pH6, epitope retrieval solution 1) for 20 mins. The section was then incubated with ab134175, 5μg/ml working concentration, for 15 mins at room temperature and detected using an HRP conjugated compact polymer system. DAB was used as the chromogen. The section was then counterstained with hematoxylin and mounted with DPX. No primary antibody was used in the secondary only control (shown on the inset).
For other IHC staining systems (automated and non-automated) customers should optimize variable parameters such as antigen retrieval conditions, primary antibody concentration and antibody incubation times.
*Tissue obtained from the Human Research Tissue Bank, supported by the NIHR Cambridge Biomedical Research Centre

This data was developed using the same antibody clone in a different buffer formulation containing PBS, BSA, glycerol, and sodium azide (ab134175).

Immunohistochemistry (Formalin/PFA-fixed paraffin-embedded sections) - Anti-Cyclin D1 antibody [EPR2241] - BSA and Azide free (AB156448)
  • IHC-P

Lab

Immunohistochemistry (Formalin/PFA-fixed paraffin-embedded sections) - Anti-Cyclin D1 antibody [EPR2241] - BSA and Azide free (AB156448)

Immunohistochemical staining of paraffin embedded human endometrial adenocarcinoma with purified ab134175 at a dilution of 1/100. An HRP goat anti-rabbit (ab97051) was used as the secondary antibody at a dilution of 1/500 and the sample was counterstained with hematoxylin. Antigen retrieval was perfomed using Tris-EDTA buffer, pH 9.0.

PBS was used instead of the primary antibody as the negative control (inset).

This data was developed using the same antibody clone in a different buffer formulation containing PBS, BSA, glycerol, and sodium azide (ab134175).

Immunocytochemistry/ Immunofluorescence - Anti-Cyclin D1 antibody [EPR2241] - BSA and Azide free (AB156448)
  • ICC/IF

Lab

Immunocytochemistry/ Immunofluorescence - Anti-Cyclin D1 antibody [EPR2241] - BSA and Azide free (AB156448)

Unpurified ab134175 staining Cyclin D1 in MCF7 (Human breast adenocarcinoma cell line) cells treated with KN-93 (ab120980).

The cells were fixed with 100% methanol (5min) and then blocked in 1% BSA/10% normal goat serum/0.3M glycine in 0.1%PBS-Tween for 1h. The cells were then incubated with ab134175 at 10μg/ml and ab7291 at 1µg/ml overnight at +4°C, followed by a further incubation at room temperature for 1h with an Goat anti-Rabbit Alexa 488 secondary (ab150081) at 2 μg/ml (shown in green) and Goat anti-Mouse Alexa 594 secondary (ab150120) at 2 μg/ml (shown in pseudo color red). Nuclear DNA was labeled in blue with DAPI.

Negative controls : 1– Rabbit primary and anti-mouse secondary antibody; 2 – Mouse primary antibody and anti-rabbit secondary antibody. Controls 1 and 2 indicate that there is no unspecific reaction between primary and secondary antibodies used.

This data was developed using the same antibody clone in a different buffer formulation containing PBS, BSA, glycerol, and sodium azide (ab134175).

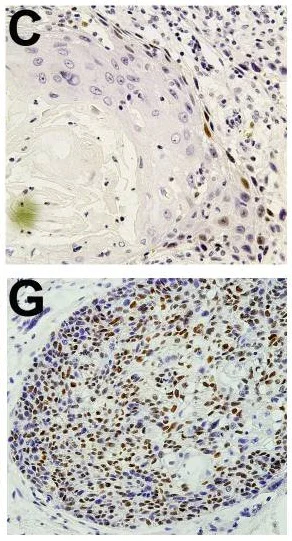
Immunohistochemistry (Formalin/PFA-fixed paraffin-embedded sections) - Anti-Cyclin D1 antibody [EPR2241] - BSA and Azide free (AB156448)
  • IHC-P

PubMed

Immunohistochemistry (Formalin/PFA-fixed paraffin-embedded sections) - Anti-Cyclin D1 antibody [EPR2241] - BSA and Azide free (AB156448)

Immunohistochemistry was performed on human head and neck squamous cell carcinoma tissue using a rabbit monoclonal antibody against the CCND1 protein ab134175 on 3-μm slides using 224 paraffin sections via the standard SP method.

Panel C : An example of low Cyclin D1 expression.

Panel G : An example of high Cyclin D1 expression.

For full image please see paper.

This data was developed using the same antibody clone in a different buffer formulation containing PBS, BSA, glycerol, and sodium azide (ab134175).

Heat mediated antigen retrieval was performed with citrate buffer pH 6 before commencing with IHC staining protocol.

Feng et al PLoS One. 2011;6(10):e26399. doi: 10.1371/journal.pone.0026399. Epub 2011 Oct 31. Fig 1. Reproduced under the Creative Commons license http://creativecommons.org/licenses/by/4.0/

Immunoprecipitation - Anti-Cyclin D1 antibody [EPR2241] - BSA and Azide free (AB156448)
  • IP

Lab

Immunoprecipitation - Anti-Cyclin D1 antibody [EPR2241] - BSA and Azide free (AB156448)

ab134175 (purified) at 1/30 immunoprecipitating cyclin D1 in A431 (Human epidermoid carcinoma cell line) cells. For western blotting, an HRP-conjugated goat anti-rabbit IgG, was used as the secondary antibody (1/1000).

Blocking/Dilution buffer and concentration : 5% NFDM/TBST.

This data was developed using the same antibody clone in a different buffer formulation containing PBS, BSA, glycerol, and sodium azide (ab134175).

All lanes:

Immunoprecipitation - Anti-Cyclin D1 antibody [EPR2241] - C-terminal (<a href='/en-us/products/primary-antibodies/cyclin-d1-antibody-epr2241-c-terminal-ab134175'>ab134175</a>)

Predicted band size: 34 kDa

false

Immunohistochemistry (Formalin/PFA-fixed paraffin-embedded sections) - Anti-Cyclin D1 antibody [EPR2241] - BSA and Azide free (AB156448)
  • IHC-P

Lab

Immunohistochemistry (Formalin/PFA-fixed paraffin-embedded sections) - Anti-Cyclin D1 antibody [EPR2241] - BSA and Azide free (AB156448)

IHC image of ab134175 staining Cyclin D1 in rat esophagus formalin fixed paraffin embedded tissue sections, performed on a Leica Bond. The section was pre-treated using heat mediated antigen retrieval with sodium citrate buffer (pH6, epitope retrieval solution 1) for 20 mins. The section was then incubated with ab134175, 5μg/ml working concentration, for 15 mins at room temperature and detected using an HRP conjugated compact polymer system. DAB was used as the chromogen. The section was then counterstained with hematoxylin and mounted with DPX. No primary antibody was used in the secondary only control (shown on the inset).
For other IHC staining systems (automated and non-automated) customers should optimize variable parameters such as antigen retrieval conditions, primary antibody concentration and antibody incubation times.

This data was developed using the same antibody clone in a different buffer formulation containing PBS, BSA, glycerol, and sodium azide (ab134175).

OI-RD Scanning - Anti-Cyclin D1 antibody [EPR2241] - BSA and Azide free (AB156448)
  • OI-RD Scanning

Unknown

OI-RD Scanning - Anti-Cyclin D1 antibody [EPR2241] - BSA and Azide free (AB156448)

We have systematically measured KD (the equilibrium dissociation constant between the antibody and its antigen), of more than 840 recombinant antibodies to assess not only their individual KD values but also to see the average affinity of antibody. Based on the comparison with published literature values for mouse monoclonal antibodies, Recombinant antibodies appear to be on average 1-2 order of magnitude higher affinity.

Key facts

Host species

Rabbit

Clonality

Monoclonal

Clone number

EPR2241

Isotype

IgG

Carrier free

Yes

Reacts with

Mouse, Rat, Human

Applications

IHC-P, IP, WB, ICC/IF

applications

Immunogen

The exact immunogen used to generate this antibody is proprietary information.

Specificity

The immunogen used for this product shares 66% homology with CCND2 (seven amino acid stretch with 100% homology). Based on internal testing in WB, this product shows a weak cross-reactivity to Cyclin D2. For IHC usage, this product shows a tissue localization specific to Cyclin D1 with no cross-reactivity to Cyclin D2.

Reactivity data

{ "title": "Reactivity Data", "filters": { "stats": ["", "Species", "Dilution Info", "Notes"], "tabs": { "all-applications": {"fullname" : "All Applications", "shortname": "All Applications"}, "IHCP" : {"fullname" : "Immunohistochemistry (Formalin/PFA-fixed paraffin-embedded sections)", "shortname":"IHC-P"}, "IP" : {"fullname" : "Immunoprecipitation", "shortname":"IP"}, "FlowCyt" : {"fullname" : "Flow Cytometry", "shortname":"Flow Cyt"}, "WB" : {"fullname" : "Western blot", "shortname":"WB"}, "ICCIF" : {"fullname" : "Immunocytochemistry/ Immunofluorescence", "shortname":"ICC/IF"} }, "product-promise": { "all": "all", "testedAndGuaranteed": "tested", "guaranteed": "expected", "predicted": "predicted", "notRecommended": "not-recommended" } }, "values": { "Human": { "IHCP-species-checked": "testedAndGuaranteed", "IHCP-species-dilution-info": "", "IHCP-species-notes": "<p></p>", "IP-species-checked": "testedAndGuaranteed", "IP-species-dilution-info": "", "IP-species-notes": "<p></p>", "FlowCyt-species-checked": "notRecommended", "FlowCyt-species-dilution-info": "", "FlowCyt-species-notes": "<p></p>", "WB-species-checked": "guaranteed", "WB-species-dilution-info": "", "WB-species-notes": "<p></p>", "ICCIF-species-checked": "testedAndGuaranteed", "ICCIF-species-dilution-info": "", "ICCIF-species-notes": "<p></p>" }, "Mouse": { "IHCP-species-checked": "predicted", "IHCP-species-dilution-info": "", "IHCP-species-notes": "", "IP-species-checked": "predicted", "IP-species-dilution-info": "", "IP-species-notes": "", "FlowCyt-species-checked": "notRecommended", "FlowCyt-species-dilution-info": "", "FlowCyt-species-notes": "<p></p>", "WB-species-checked": "guaranteed", "WB-species-dilution-info": "", "WB-species-notes": "<p></p>", "ICCIF-species-checked": "predicted", "ICCIF-species-dilution-info": "", "ICCIF-species-notes": "" }, "Rat": { "IHCP-species-checked": "predicted", "IHCP-species-dilution-info": "", "IHCP-species-notes": "", "IP-species-checked": "predicted", "IP-species-dilution-info": "", "IP-species-notes": "", "FlowCyt-species-checked": "notRecommended", "FlowCyt-species-dilution-info": "", "FlowCyt-species-notes": "<p></p>", "WB-species-checked": "guaranteed", "WB-species-dilution-info": "", "WB-species-notes": "<p></p>", "ICCIF-species-checked": "predicted", "ICCIF-species-dilution-info": "", "ICCIF-species-notes": "" } } }

Product details

ab156448 is the carrier-free version of ab134175.

Patented technology
Our RabMAb® technology is a patented hybridoma-based technology for making rabbit monoclonal antibodies. For details on our patents, please refer to RabMAb® patents.

What are the advantages of a recombinant monoclonal antibody?
This product is a recombinant monoclonal antibody, which offers several advantages including:

  • - High batch-to-batch consistency and reproducibility
  • - Improved sensitivity and specificity
  • - Long-term security of supply
  • - Animal-free batch production

For more information, read more on recombinant antibodies.

Conjugation ready
Our carrier-free antibodies are typically supplied in a PBS-only formulation, purified and free of BSA, sodium azide and glycerol. This conjugation-ready format is designed for use with fluorochromes, metal isotopes, oligonucleotides, and enzymes, which makes them ideal for antibody labelling, functional and cell-based assays, flow-based assays (e.g. mass cytometry) and Multiplex Imaging applications.

Use our conjugation kits for antibody conjugates that are ready-to-use in as little as 20 minutes with 1 minute hands-on-time and 100% antibody recovery: available for fluorescent dyes, HRP, biotin and gold.

Compatibility
This product is compatible with the Maxpar® Antibody Labeling Kit from Fluidigm, without the need for antibody preparation. Maxpar® is a trademark of Fluidigm Canada Inc.

Properties and storage information

Form
Liquid
Purification technique
Affinity purification Protein A
Storage buffer
Constituents: PBS
Shipped at conditions
Blue Ice
Appropriate short-term storage conditions
+4°C
Appropriate long-term storage conditions
+4°C
Storage information
Do Not Freeze

Product protocols

For this product, it's our understanding that no specific protocols are required. You can visit:

Target data

The protein expressed by the CCND1 gene acts as a regulatory component of the cyclin D1-CDK4 (DC) complex, which phosphorylates and inhibits retinoblastoma (RB) protein family members, including RB1, regulating the cell cycle during the G(1)/S transition. Phosphorylation of RB1 allows the transcription factor E2F to dissociate from the RB/E2F complex, enabling transcription of E2F target genes responsible for G(1) phase progression. In early G(1) phase, it hypophosphorylates RB1. Cyclin D-CDK4 complexes integrate various mitogenic and antimitogenic signals. The protein also serves as a substrate for SMAD3, phosphorylating it in a cell-cycle-dependent manner to repress its transcriptional activity, and forms part of the cyclin D1/CDK4/CDKN1B complex necessary for nuclear translocation and activity. Additionally, it exhibits transcriptional corepressor activity with INSM1 on the NEUROD1 and INS promoters, independent of the cell cycle. This supplementary information is collated from multiple sources and compiled automatically.
See full target information CCND1

Publications (6)

Recent publications for all applications. Explore the full list and refine your search

Cellular signalling 117:111087 PubMed38316266

2024

FATP2 activates PI3K/Akt/mTOR pathway by inhibiting ATF3 and promotes the occurrence and development of bladder cancer.

Applications

Unspecified application

Species

Unspecified reactive species

Ming Jiang,Ru Chen,Bing Hu,Situ Xiong,Sheng Li,Bin Fu,Xiaoqiang Liu

Annals of translational medicine 11:72 PubMed36819526

2023

polysaccharide protects cardiomyocytes from hypoxia/reoxygenation injury via activation of SIRT3/CypD signaling.

Applications

Unspecified application

Species

Unspecified reactive species

Hailiang Wu,Yajuan Liu,Yu Hao,Dandan Hou,Ruiying Yang

Bone & joint research 11:803-813 PubMed36374014

2022

Cyclin D1 mediates pain behaviour in a rat model of breast cancer-induced bone pain by a mechanism involving regulation of the proliferation of spinal microglia.

Applications

Unspecified application

Species

Unspecified reactive species

Xuehai Guan,Xiaofang Gong,Ziyin Y Jiao,Huiyu Y Cao,Susu Liu,Chengxin Lin,Xiaofang Huang,Hongmeng Lan,Li Ma,Bing Xu

iScience 25:104980 PubMed36093051

2022

Multiplexed protein profiling reveals spatial subcellular signaling networks.

Applications

Unspecified application

Species

Unspecified reactive species

Shuangyi Cai,Thomas Hu,Mythreye Venkatesan,Mayar Allam,Frank Schneider,Suresh S Ramalingam,Shi-Yong Sun,Ahmet F Coskun

Neural regeneration research 17:401-408 PubMed34269216

2021

miR-103-3p targets Ndel1 to regulate neural stem cell proliferation and differentiation.

Applications

Unspecified application

Species

Unspecified reactive species

Wen Li,Shan-Shan Wang,Bo-Quan Shan,Jian-Bing Qin,He-Yan Zhao,Mei-Ling Tian,Hui He,Xiang Cheng,Xin-Hua Zhang,Guo-Hua Jin

PloS one 14:e0216137 PubMed31075127

2019

RAG2 localization and dynamics in the pre-B cell nucleus.

Applications

Unspecified application

Species

Unspecified reactive species

William Rodgers,Jennifer N Byrum,Destiny A Simpson,Walker Hoolehan,Karla K Rodgers
View all publications

Product promise

We are committed to supporting your work with high-quality reagents, and we're here for you every step of the way. In the unlikely event that one of our products does not perform as expected, you're protected by our Product Promise.
For full details, please see our Terms & Conditions

Please note: All products are 'FOR RESEARCH USE ONLY. NOT FOR USE IN DIAGNOSTIC OR THERAPEUTIC PROCEDURES'.

For licensing inquiries, please contact partnerships@abcam.com