JavaScript is disabled in your browser. Please enable JavaScript to view this website.
AB273608

Anti-Cyclin D1 antibody [rCCND1/4752]

5

(5 Reviews)

|

(3 Publications)

Mouse Monoclonal Cyclin D1 antibody. Suitable for IHC-P and reacts with Human samples. Cited in 3 publications. Immunogen corresponding to Synthetic Peptide within Human CCND1 aa 200 to C-terminus.

View Alternative Names

BCL1, PRAD1, CCND1, G1/S-specific cyclin-D1, B-cell lymphoma 1 protein, BCL-1 oncogene, PRAD1 oncogene, BCL-1

1 Images
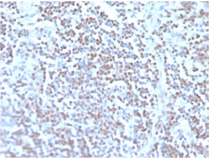
Immunohistochemistry (Formalin/PFA-fixed paraffin-embedded sections) - Anti-Cyclin D1 antibody [rCCND1/4752] (AB273608)
  • IHC-P

Supplier Data

Immunohistochemistry (Formalin/PFA-fixed paraffin-embedded sections) - Anti-Cyclin D1 antibody [rCCND1/4752] (AB273608)

Paraffin embedded human mantle cell lymphoma tissue stained for Cyclin D1 using ab273608 at 2 μg/ml in immunohistochemical analysis.

  • Carrier free

    Anti-Cyclin D1 antibody [rCCND1/4752] - BSA and Azide free

Key facts

Host species

Mouse

Clonality

Monoclonal

Clone number

rCCND1/4752

Isotype

IgG2a

Light chain type

kappa

Carrier free

No

Reacts with

Human

Applications

IHC-P

applications

Immunogen

Synthetic Peptide within Human CCND1 aa 200 to C-terminus. The exact immunogen used to generate this antibody is proprietary information.

P24385

Reactivity data

{ "title": "Reactivity Data", "filters": { "stats": ["", "Species", "Dilution Info", "Notes"], "tabs": { "all-applications": {"fullname" : "All Applications", "shortname": "All Applications"}, "IHCP" : {"fullname" : "Immunohistochemistry (Formalin/PFA-fixed paraffin-embedded sections)", "shortname":"IHC-P"} }, "product-promise": { "all": "all", "testedAndGuaranteed": "tested", "guaranteed": "expected", "predicted": "predicted", "notRecommended": "not-recommended" } }, "values": { "Human": { "IHCP-species-checked": "testedAndGuaranteed", "IHCP-species-dilution-info": "1-2 µg/mL", "IHCP-species-notes": "<p></p>" } } }

Properties and storage information

Form
Liquid
Purification technique
Affinity purification Protein A/G
Storage buffer
pH: 7.2 - 7.4 Preservative: 0.05% Sodium azide Constituents: PBS, 0.05% BSA
Shipped at conditions
Blue Ice
Appropriate short-term storage duration
1-2 weeks
Appropriate short-term storage conditions
+4°C
Appropriate long-term storage conditions
-20°C
Aliquoting information
Upon delivery aliquot
Storage information
Avoid freeze / thaw cycle

Product protocols

For this product, it's our understanding that no specific protocols are required. You can visit:

Target data

The protein expressed by the CCND1 gene acts as a regulatory component of the cyclin D1-CDK4 (DC) complex, which phosphorylates and inhibits retinoblastoma (RB) protein family members, including RB1, regulating the cell cycle during the G(1)/S transition. Phosphorylation of RB1 allows the transcription factor E2F to dissociate from the RB/E2F complex, enabling transcription of E2F target genes responsible for G(1) phase progression. In early G(1) phase, it hypophosphorylates RB1. Cyclin D-CDK4 complexes integrate various mitogenic and antimitogenic signals. The protein also serves as a substrate for SMAD3, phosphorylating it in a cell-cycle-dependent manner to repress its transcriptional activity, and forms part of the cyclin D1/CDK4/CDKN1B complex necessary for nuclear translocation and activity. Additionally, it exhibits transcriptional corepressor activity with INSM1 on the NEUROD1 and INS promoters, independent of the cell cycle. This supplementary information is collated from multiple sources and compiled automatically.
See full target information CCND1

Publications (3)

Recent publications for all applications. Explore the full list and refine your search

Inflammation : PubMed40257651

2025

PTGS2 Silencing Inhibits Ferroptosis in Staphylococcus Aureus-induced Osteomyelitis By Blocking the IL-17A Signaling Pathway.

Applications

Unspecified application

Species

Unspecified reactive species

Si-Rui Zhou,Wen-Guang Li,Li-Dan Yang,Hao Xiang,Ying Jin,Jian-Bo Feng,Hua-Zhang Xiong,Jiachen Peng

Oncology letters 28:468 PubMed39119236

2024

Myeloid/lymphoid neoplasms with eosinophilia and FGFR1 rearrangement t(8;13)(p11;q12): A case report and literature review.

Applications

Unspecified application

Species

Unspecified reactive species

Yu-Jie Guo,Meng-Xue Ma,Tian Tian,Jing-Nan Zhang,Xiao-Nan Guo,Shukai Qiao

Computational and mathematical methods in medicine 2022:1466991 PubMed35592685

2022

High-Concentration Metformin Reduces Oxidative Stress Injury and Inhibits the Growth and Migration of Clear Cell Renal Cell Carcinoma.

Applications

Unspecified application

Species

Unspecified reactive species

Yang Liu,Jianwei Li,Miaomiao Song,Guisong Qi,Lingling Meng
View all publications

Product promise

We are committed to supporting your work with high-quality reagents, and we're here for you every step of the way. In the unlikely event that one of our products does not perform as expected, you're protected by our Product Promise.
For full details, please see our Terms & Conditions

Please note: All products are 'FOR RESEARCH USE ONLY. NOT FOR USE IN DIAGNOSTIC OR THERAPEUTIC PROCEDURES'.

For licensing inquiries, please contact partnerships@abcam.com