JavaScript is disabled in your browser. Please enable JavaScript to view this website.
AB289556

Anti-Cyclin D3/CCND3 antibody [1/Cyclin D3] - BSA and Azide free

Be the first to review this product! Submit a review

|

(0 Publication)

Mouse Recombinant Monoclonal Cyclin D3/CCND3 antibody. Carrier free. Suitable for IP, WB, IHC-P and reacts with Mouse, Rat, Human samples.

View Alternative Names

G1/S-specific cyclin-D3, CCND3

6 Images
Immunohistochemistry (Formalin/PFA-fixed paraffin-embedded sections) - Anti-Cyclin D3/CCND3 antibody [1/Cyclin D3] - BSA and Azide free (AB289556)
  • IHC-P

Supplier Data

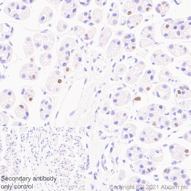
Immunohistochemistry (Formalin/PFA-fixed paraffin-embedded sections) - Anti-Cyclin D3/CCND3 antibody [1/Cyclin D3] - BSA and Azide free (AB289556)

This data was developed using ab289546 the same antibody clone in a different buffer formulation.

Immunohistochemical analysis of paraffin-embedded rat stomach tissue labeling Cyclin D3/CCND3 with ab289546 at 1/5000 (0.181 μg/ml) dilution followed by a ready to use LeicaDS9800 (BOND™ Polymer Refine Detection). Sporadically nuclear staining in rat stomach. The section was incubated with ab289546 for 30 mins at room temperature. The immunostaining was performed on a Leica Biosystems BOND® RX instrument. The sample was counterstained with Hematoxylin.

Secondary antibody only control : Secondary antibody is a ready to use LeicaDS9800 (BOND™ Polymer Refine Detection).

Heat mediated antigen retrieval with Tris-EDTA buffer (pH 9.0, epitope retrieval solution2) for 20 mins.

Immunohistochemistry (Formalin/PFA-fixed paraffin-embedded sections) - Anti-Cyclin D3/CCND3 antibody [1/Cyclin D3] - BSA and Azide free (AB289556)
  • IHC-P

Supplier Data

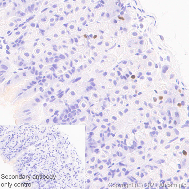
Immunohistochemistry (Formalin/PFA-fixed paraffin-embedded sections) - Anti-Cyclin D3/CCND3 antibody [1/Cyclin D3] - BSA and Azide free (AB289556)

This data was developed using ab289546 the same antibody clone in a different buffer formulation.

Immunohistochemical analysis of paraffin-embedded mouse stomach tissue labeling Cyclin D3/CCND3 with ab289546 at 1/5000 (0.181 μg/ml) dilution followed by a ready to use LeicaDS9800 (BOND™ Polymer Refine Detection). Sporadically nuclear staining in mouse stomach. The section was incubated with ab289546 for 30 mins at room temperature. The immunostaining was performed on a Leica Biosystems BOND® RX instrument. The sample was cunterstained with Hematoxylin.

Secondary antibody only control : Secondary antibody is a ready to use LeicaDS9800 (BOND™ Polymer Refine Detection).

Heat mediated antigen retrieval with Tris-EDTA buffer (pH 9.0, epitope retrieval solution2) for 20 mins.

Immunohistochemistry (Formalin/PFA-fixed paraffin-embedded sections) - Anti-Cyclin D3/CCND3 antibody [1/Cyclin D3] - BSA and Azide free (AB289556)
  • IHC-P

Supplier Data

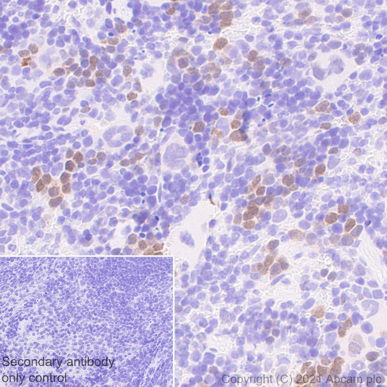
Immunohistochemistry (Formalin/PFA-fixed paraffin-embedded sections) - Anti-Cyclin D3/CCND3 antibody [1/Cyclin D3] - BSA and Azide free (AB289556)

This data was developed using ab289546 the same antibody clone in a different buffer formulation.

Immunohistochemical analysis of paraffin-embedded rat spleen tissue labeling Cyclin D3/CCND3 with ab289546 at 1/5000 (0.181 μg/ml) dilution followed by a ready to use LeicaDS9800 (BOND™ Polymer Refine Detection). Nuclear staining in rat spleen. The section was incubated with ab289546 for 30 mins at room temperature. The immunostaining was performed on a Leica Biosystems BOND® RX instrument. The sample was counterstained with Hematoxylin.

Secondary antibody only control : secondary antibody is a ready to use LeicaDS9800 (BOND™ Polymer Refine Detection).

Heat mediated antigen retrieval with Tris-EDTA buffer (pH 9.0, epitope retrieval solution2) for 20 mins.

Immunohistochemistry (Formalin/PFA-fixed paraffin-embedded sections) - Anti-Cyclin D3/CCND3 antibody [1/Cyclin D3] - BSA and Azide free (AB289556)
  • IHC-P

Supplier Data

Immunohistochemistry (Formalin/PFA-fixed paraffin-embedded sections) - Anti-Cyclin D3/CCND3 antibody [1/Cyclin D3] - BSA and Azide free (AB289556)

This data was developed using ab289546 the same antibody clone in a different buffer formulation.

Immunohistochemical analysis of paraffin-embedded mouse spleen tissue labeling Cyclin D3/CCND3 with ab289546 at 1/5000 (0.181 μg/ml) dilution followed by a ready to use LeicaDS9800 (BOND™ Polymer Refine Detection). Nuclear staining in mouse spleen. The section was incubated with ab289546 for 30 mins at room temperature. The immunostaining was performed on a Leica Biosystems BOND® RX instrument. Sample was counterstained with Hematoxylin.

Secondary antibody only control : Secondary antibody is a ready to use LeicaDS9800 (BOND™ Polymer Refine Detection).

Heat mediated antigen retrieval with Tris-EDTA buffer (pH 9.0, epitope retrieval solution2) for 20 mins.

Immunoprecipitation - Anti-Cyclin D3/CCND3 antibody [1/Cyclin D3] - BSA and Azide free (AB289556)
  • IP

Supplier Data

Immunoprecipitation - Anti-Cyclin D3/CCND3 antibody [1/Cyclin D3] - BSA and Azide free (AB289556)

This data was developed using ab289546 the same antibody clone in a different buffer formulation.

Cyclin D3/CCND3 was immunoprecipitated from 0.35 mg C2C12 (mouse myoblast) whole cell lysate 10 μg with ab289546 at 1/30 dilution (2μg in 0.35mg lysates). Western blot was performed on the immunoprecipitate using ab289546 at 1/1000 dilution. Mouse IgG for IP (HRP) (ab131368) was used at 1/1000 dilution.

Lane 1 : C2C12 whole cell lysate 10 μg

Lane 2 : ab289546 IP in C2C12 whole cell lysate

Lane 3 : Mouse IgG2b instead of ab289546 in C2C12 whole cell lysate

Blocking and dilution buffer : 5% NFDM/TBST.

Exposure time : 32 seconds.

All lanes:

Immunoprecipitation - Anti-Cyclin D3/CCND3 antibody [1/Cyclin D3] (<a href='/en-us/products/primary-antibodies/cyclin-d3-ccnd3-antibody-1-cyclin-d3-ab289546'>ab289546</a>)

Predicted band size: 33 kDa

Observed band size: 33 kDa

false

Western blot - Anti-Cyclin D3/CCND3 antibody [1/Cyclin D3] - BSA and Azide free (AB289556)
  • WB

Supplier Data

Western blot - Anti-Cyclin D3/CCND3 antibody [1/Cyclin D3] - BSA and Azide free (AB289556)

This data was developed using ab289546, the same antibody clone in a different buffer formulation.

Blocking and diluting buffer : 5% NFDM/TBST.

Exposure time : Lanes 1-7/9-11 : 37 seconds ; Lane 8 : 3 minutes.

All lanes:

Western blot - Anti-Cyclin D3/CCND3 antibody [1/Cyclin D3] (<a href='/en-us/products/primary-antibodies/cyclin-d3-ccnd3-antibody-1-cyclin-d3-ab289546'>ab289546</a>) at 1/1000 dilution

Lane 1:

K562 (human chronic myelogenous leukemia lymphoblast), whole cell lysate at 10 µg

Lane 2:

Jurkat (human T cell leukemia T lymphocyte), whole cell lysate at 10 µg

Lane 3:

HeLa (human cervix adenocarcinoma epithelial cell), whole cell lysate at 10 µg

Lane 4:

Daudi (human Burkitt's lymphoma lymphoblast), whole cell lysate at 10 µg

Lane 5:

HEL (erythroleukemia erythroblast), whole cell lysate at 10 µg

Lane 6:

PC-12 (rat adrenal gland pheochromocytoma), whole cell lysate at 10 µg

Lane 7:

A20 (mouse reticulum sarcoma B lymphocyte), whole cell lysate at 10 µg

Lane 8:

C6 (rat glial tumor glial cell), whole cell lysate at 10 µg

Lane 9:

C2C12 (mouse myoblast), whole cell lysate at 10 µg

Lane 10:

Human lymphoma lysate at 10 µg

Lane 11:

Mouse lymphoma lysate at 10 µg

Secondary

All lanes:

Peroxidase-Conjugated Goat anti-Mouse IgG (H+L) at 1/10000 dilution

Predicted band size: 33 kDa

Observed band size: 33 kDa

false

Key facts

Host species

Mouse

Clonality

Monoclonal

Clone number

1/Cyclin D3

Isotype

IgG2b

Carrier free

Yes

Reacts with

Rat, Mouse, Human

Applications

IHC-P, WB, IP

applications

Immunogen

The exact immunogen used to generate this antibody is proprietary information.

Reactivity data

{ "title": "Reactivity Data", "filters": { "stats": ["", "Species", "Dilution Info", "Notes"], "tabs": { "all-applications": {"fullname" : "All Applications", "shortname": "All Applications"}, "IP" : {"fullname" : "Immunoprecipitation", "shortname":"IP"}, "WB" : {"fullname" : "Western blot", "shortname":"WB"}, "IHCP" : {"fullname" : "Immunohistochemistry (Formalin/PFA-fixed paraffin-embedded sections)", "shortname":"IHC-P"}, "ICCIF" : {"fullname" : "Immunocytochemistry/ Immunofluorescence", "shortname":"ICC/IF"} }, "product-promise": { "all": "all", "testedAndGuaranteed": "tested", "guaranteed": "expected", "predicted": "predicted", "notRecommended": "not-recommended" } }, "values": { "Human": { "IP-species-checked": "guaranteed", "IP-species-dilution-info": "", "IP-species-notes": "", "WB-species-checked": "testedAndGuaranteed", "WB-species-dilution-info": "", "WB-species-notes": "<p></p>", "IHCP-species-checked": "notRecommended", "IHCP-species-dilution-info": "", "IHCP-species-notes": "<p></p>", "ICCIF-species-checked": "notRecommended", "ICCIF-species-dilution-info": "", "ICCIF-species-notes": "<p></p>" }, "Mouse": { "IP-species-checked": "testedAndGuaranteed", "IP-species-dilution-info": "", "IP-species-notes": "<p></p>", "WB-species-checked": "testedAndGuaranteed", "WB-species-dilution-info": "", "WB-species-notes": "<p></p>", "IHCP-species-checked": "testedAndGuaranteed", "IHCP-species-dilution-info": "", "IHCP-species-notes": "<p></p>", "ICCIF-species-checked": "notRecommended", "ICCIF-species-dilution-info": "", "ICCIF-species-notes": "<p></p>" }, "Rat": { "IP-species-checked": "guaranteed", "IP-species-dilution-info": "", "IP-species-notes": "", "WB-species-checked": "testedAndGuaranteed", "WB-species-dilution-info": "", "WB-species-notes": "<p></p>", "IHCP-species-checked": "testedAndGuaranteed", "IHCP-species-dilution-info": "", "IHCP-species-notes": "<p></p>", "ICCIF-species-checked": "notRecommended", "ICCIF-species-dilution-info": "", "ICCIF-species-notes": "<p></p>" } } }

Product details

ab289556 is the carrier-free version of ab289546

What are the advantages of a recombinant monoclonal antibody?
This product is a recombinant monoclonal antibody, which offers several advantages including:

  • - High batch-to-batch consistency and reproducibility
  • - Improved sensitivity and specificity
  • - Long-term security of supply
  • - Animal-free batch production

For more information, read more on recombinant antibodies.

Want a custom formulation?
This antibody clone is manufactured by Abcam. If you require a custom buffer formulation or conjugation for your experiments, please contact orders@abcam.com

Conjugation ready
Our carrier-free antibodies are typically supplied in a PBS-only formulation, purified and free of BSA, sodium azide and glycerol. This conjugation-ready format is designed for use with fluorochromes, metal isotopes, oligonucleotides, and enzymes, which makes them ideal for antibody labelling, functional and cell-based assays, flow-based assays (e.g. mass cytometry) and Multiplex Imaging applications.

Use our conjugation kits for antibody conjugates that are ready-to-use in as little as 20 minutes with 1 minute hands-on-time and 100% antibody recovery: available for fluorescent dyes, HRP, biotin and gold.

Compatibility
This product is compatible with the Maxpar® Antibody Labeling Kit from Fluidigm, without the need for antibody preparation. Maxpar® is a trademark of Fluidigm Canada Inc.

Properties and storage information

Form
Liquid
Purification technique
Affinity purification Protein A
Storage buffer
pH: 7.2 - 7.4 Constituents: PBS
Shipped at conditions
Blue Ice
Appropriate short-term storage conditions
+4°C
Appropriate long-term storage conditions
+4°C
Storage information
Do Not Freeze

Product protocols

For this product, it's our understanding that no specific protocols are required. You can visit:

Target data

Regulatory component of the cyclin D3-CDK4 (DC) complex that phosphorylates and inhibits members of the retinoblastoma (RB) protein family including RB1 and regulates the cell-cycle during G(1)/S transition (PubMed : 8114739). Phosphorylation of RB1 allows dissociation of the transcription factor E2F from the RB/E2F complex and the subsequent transcription of E2F target genes which are responsible for the progression through the G(1) phase (PubMed : 8114739). Hypophosphorylates RB1 in early G(1) phase (PubMed : 8114739). Cyclin D-CDK4 complexes are major integrators of various mitogenenic and antimitogenic signals (PubMed : 8114739). Component of the ternary complex, cyclin D3/CDK4/CDKN1B, required for nuclear translocation and activity of the cyclin D-CDK4 complex (PubMed : 16782892). Shows transcriptional coactivator activity with ATF5 independently of CDK4 (PubMed : 15358120).
See full target information G1/S-specific cyclin-D3

Product promise

We are committed to supporting your work with high-quality reagents, and we're here for you every step of the way. In the unlikely event that one of our products does not perform as expected, you're protected by our Product Promise.
For full details, please see our Terms & Conditions

Please note: All products are 'FOR RESEARCH USE ONLY. NOT FOR USE IN DIAGNOSTIC OR THERAPEUTIC PROCEDURES'.

For licensing inquiries, please contact partnerships@abcam.com