JavaScript is disabled in your browser. Please enable JavaScript to view this website.
AB245734

Anti-Cyclin D3/CCND3 antibody [SP207] - BSA and Azide free

Be the first to review this product! Submit a review

|

(2 Publications)

Rabbit Recombinant Monoclonal Cyclin D3/CCND3 antibody. Carrier free. Suitable for WB, IHC-P, Flow Cyt (Intra) and reacts with Human samples. Cited in 2 publications.

View Alternative Names

G1/S-specific cyclin-D3, CCND3

12 Images
Immunohistochemistry (Formalin/PFA-fixed paraffin-embedded sections) - Anti-Cyclin D3/CCND3 antibody [SP207] - BSA and Azide free (AB245734)
  • IHC-P

Supplier Data

Immunohistochemistry (Formalin/PFA-fixed paraffin-embedded sections) - Anti-Cyclin D3/CCND3 antibody [SP207] - BSA and Azide free (AB245734)

Immunohistochemical analysis of paraffin-embedded human uterus tissue, labeling Cyclin D3/CCND3 with ab183338 at 1/100 dilution.

This data was developed using the same antibody clone in a different buffer formulation containing PBS, BSA and sodium azide (ab183338).

Immunohistochemistry (Formalin/PFA-fixed paraffin-embedded sections) - Anti-Cyclin D3/CCND3 antibody [SP207] - BSA and Azide free (AB245734)
  • IHC-P

Supplier Data

Immunohistochemistry (Formalin/PFA-fixed paraffin-embedded sections) - Anti-Cyclin D3/CCND3 antibody [SP207] - BSA and Azide free (AB245734)

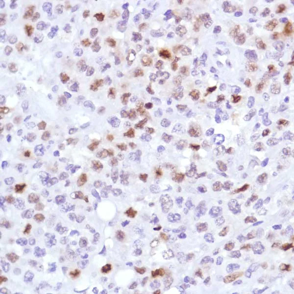
Immunohistochemical analysis of paraffin-embedded human B-cell lymphoma tissue, labeling Cyclin D3/CCND3 with ab183338 at 1/100 dilution.

This data was developed using the same antibody clone in a different buffer formulation containing PBS, BSA and sodium azide (ab183338).

Immunohistochemistry (Formalin/PFA-fixed paraffin-embedded sections) - Anti-Cyclin D3/CCND3 antibody [SP207] - BSA and Azide free (AB245734)
  • IHC-P

Unknown

Immunohistochemistry (Formalin/PFA-fixed paraffin-embedded sections) - Anti-Cyclin D3/CCND3 antibody [SP207] - BSA and Azide free (AB245734)

Immunohistochemical analysis of paraffin-embedded human cervical squamous cell carcinoma tissue, labeling Cyclin D3/CCND3 with ab183338 at 1/100 dilution.

This data was developed using the same antibody clone in a different buffer formulation containing PBS, BSA and sodium azide (ab183338).

Immunohistochemistry (Formalin/PFA-fixed paraffin-embedded sections) - Anti-Cyclin D3/CCND3 antibody [SP207] - BSA and Azide free (AB245734)
  • IHC-P

Supplier Data

Immunohistochemistry (Formalin/PFA-fixed paraffin-embedded sections) - Anti-Cyclin D3/CCND3 antibody [SP207] - BSA and Azide free (AB245734)

Immunohistochemical analysis of paraffin-embedded human tonsil tissue, labeling Cyclin D3/CCND3 with ab183338 at 1/100 dilution.

This data was developed using the same antibody clone in a different buffer formulation containing PBS, BSA and sodium azide (ab183338).

Immunohistochemistry (Formalin/PFA-fixed paraffin-embedded sections) - Anti-Cyclin D3/CCND3 antibody [SP207] - BSA and Azide free (AB245734)
  • IHC-P

Unknown

Immunohistochemistry (Formalin/PFA-fixed paraffin-embedded sections) - Anti-Cyclin D3/CCND3 antibody [SP207] - BSA and Azide free (AB245734)

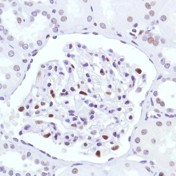
Immunohistochemical analysis of paraffin-embedded human kidney tissue, labeling Cyclin D3/CCND3 with ab183338 at 1/100 dilution.

This data was developed using the same antibody clone in a different buffer formulation containing PBS, BSA and sodium azide (ab183338).

Immunohistochemistry (Formalin/PFA-fixed paraffin-embedded sections) - Anti-Cyclin D3/CCND3 antibody [SP207] - BSA and Azide free (AB245734)
  • IHC-P

Supplier Data

Immunohistochemistry (Formalin/PFA-fixed paraffin-embedded sections) - Anti-Cyclin D3/CCND3 antibody [SP207] - BSA and Azide free (AB245734)

Immunohistochemical analysis of paraffin-embedded human pancreas tissue, labeling Cyclin D3/CCND3 with ab183338 at 1/100 dilution.

This data was developed using the same antibody clone in a different buffer formulation containing PBS, BSA and sodium azide (ab183338).

Immunohistochemistry (Formalin/PFA-fixed paraffin-embedded sections) - Anti-Cyclin D3/CCND3 antibody [SP207] - BSA and Azide free (AB245734)
  • IHC-P

Unknown

Immunohistochemistry (Formalin/PFA-fixed paraffin-embedded sections) - Anti-Cyclin D3/CCND3 antibody [SP207] - BSA and Azide free (AB245734)

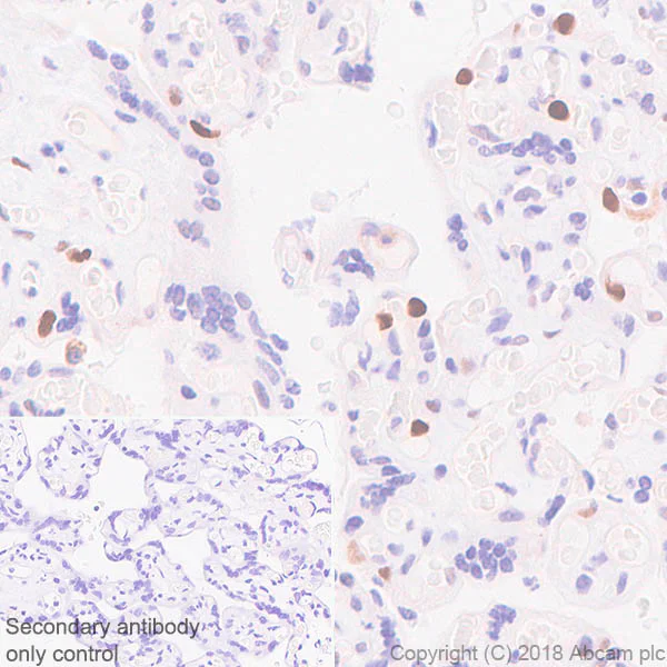
Immunohistochemistry (Formalin/PFA-fixed paraffin-embedded sections) analysis of Human placenta tissue sections labeling Cyclin D3/CCND3 with ab183338 at 1/100 dilution (3.35 µg/ml). Heat mediated antigen retrieval was performed Heat mediated antigen retrieval with Tris-EDTA buffer (pH 9.0, epitope retrieval solution 2) for 20 mins. Rabbit specific IHC polymer detection kit HRP/DAB (ab209101) was used as the secondary antibody. Negative control : PBS instead of the primary antibody. Hematoxylin was used as a counterstain.
This data was developed using the same antibody clone in a different buffer formulation containing PBS, BSA, glycerol, and sodium azide (ab183338)

Immunohistochemistry (Formalin/PFA-fixed paraffin-embedded sections) - Anti-Cyclin D3/CCND3 antibody [SP207] - BSA and Azide free (AB245734)
  • IHC-P

Supplier Data

Immunohistochemistry (Formalin/PFA-fixed paraffin-embedded sections) - Anti-Cyclin D3/CCND3 antibody [SP207] - BSA and Azide free (AB245734)

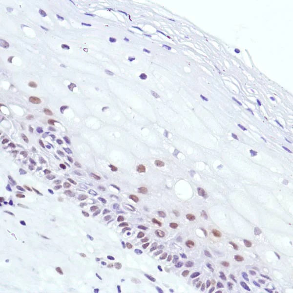
Immunohistochemical analysis of paraffin-embedded human skin tissue, labeling Cyclin D3/CCND3 with ab183338 at 1/100 dilution.

This data was developed using the same antibody clone in a different buffer formulation containing PBS, BSA and sodium azide (ab183338).

Immunohistochemistry (Formalin/PFA-fixed paraffin-embedded sections) - Anti-Cyclin D3/CCND3 antibody [SP207] - BSA and Azide free (AB245734)
  • IHC-P

Unknown

Immunohistochemistry (Formalin/PFA-fixed paraffin-embedded sections) - Anti-Cyclin D3/CCND3 antibody [SP207] - BSA and Azide free (AB245734)

Immunohistochemical analysis of paraffin-embedded Human tonsil tissue, labeling Cyclin D3 with ab183338 at 1/100 dilution.

This data was developed using the same antibody clone in a different buffer formulation containing PBS#44; BSA#44; and sodium azide (ab183338)

Immunohistochemistry (Formalin/PFA-fixed paraffin-embedded sections) - Anti-Cyclin D3/CCND3 antibody [SP207] - BSA and Azide free (AB245734)
  • IHC-P

Supplier Data

Immunohistochemistry (Formalin/PFA-fixed paraffin-embedded sections) - Anti-Cyclin D3/CCND3 antibody [SP207] - BSA and Azide free (AB245734)

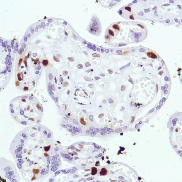
Immunohistochemical analysis of paraffin-embedded human placenta tissue, labeling Cyclin D3/CCND3 with ab183338 at 1/100 dilution.

This data was developed using the same antibody clone in a different buffer formulation containing PBS, BSA and sodium azide (ab183338).

Flow Cytometry (Intracellular) - Anti-Cyclin D3/CCND3 antibody [SP207] - BSA and Azide free (AB245734)
  • Flow Cyt (Intra)

Supplier Data

Flow Cytometry (Intracellular) - Anti-Cyclin D3/CCND3 antibody [SP207] - BSA and Azide free (AB245734)

Immunohistochemical analysis of paraffin-embedded Human cervical squamous cell carcinoma tissue, labeling Cyclin D3 with ab183338 at 1/100 dilution.

This data was developed using the same antibody clone in a different buffer formulation containing PBS, BSA, and sodium azide (ab183338)

Immunohistochemistry (Formalin/PFA-fixed paraffin-embedded sections) - Anti-Cyclin D3/CCND3 antibody [SP207] - BSA and Azide free (AB245734)
  • IHC-P

Supplier Data

Immunohistochemistry (Formalin/PFA-fixed paraffin-embedded sections) - Anti-Cyclin D3/CCND3 antibody [SP207] - BSA and Azide free (AB245734)

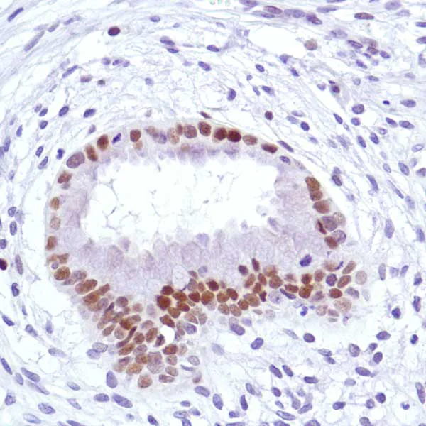
Immunohistochemical analysis of paraffin-embedded human cervix tissue, labeling Cyclin D3/CCND3 with ab183338 at 1/100 dilution.

This data was developed using the same antibody clone in a different buffer formulation containing PBS, BSA and sodium azide (ab183338).

Key facts

Host species

Rabbit

Clonality

Monoclonal

Clone number

SP207

Isotype

IgG

Carrier free

Yes

Reacts with

Human

Applications

IHC-P, WB, Flow Cyt (Intra)

applications

Immunogen

The exact immunogen used to generate this antibody is proprietary information.

Reactivity data

{ "title": "Reactivity Data", "filters": { "stats": ["", "Species", "Dilution Info", "Notes"], "tabs": { "all-applications": {"fullname" : "All Applications", "shortname": "All Applications"}, "WB" : {"fullname" : "Western blot", "shortname":"WB"}, "IHCP" : {"fullname" : "Immunohistochemistry (Formalin/PFA-fixed paraffin-embedded sections)", "shortname":"IHC-P"}, "FlowCytIntra" : {"fullname" : "Flow Cytometry (Intracellular)", "shortname":"Flow Cyt (Intra)"} }, "product-promise": { "all": "all", "testedAndGuaranteed": "tested", "guaranteed": "expected", "predicted": "predicted", "notRecommended": "not-recommended" } }, "values": { "Human": { "WB-species-checked": "guaranteed", "WB-species-dilution-info": "", "WB-species-notes": "<p></p>", "IHCP-species-checked": "testedAndGuaranteed", "IHCP-species-dilution-info": "", "IHCP-species-notes": "<p>Boil tissue section in EDTA buffer, pH 8.0 for 10 min followed by cooling at room temperature for 20 min.</p>", "FlowCytIntra-species-checked": "testedAndGuaranteed", "FlowCytIntra-species-dilution-info": "", "FlowCytIntra-species-notes": "<p><a href='/en-us/products/primary-antibodies/rabbit-igg-monoclonal-epr25a-isotype-control-ab172730'>ab172730</a> - Rabbit monoclonal IgG, is suitable for use as an isotype control with this antibody.</p>" }, "Mouse": { "WB-species-checked": "predicted", "WB-species-dilution-info": "", "WB-species-notes": "", "IHCP-species-checked": "predicted", "IHCP-species-dilution-info": "", "IHCP-species-notes": "", "FlowCytIntra-species-checked": "predicted", "FlowCytIntra-species-dilution-info": "", "FlowCytIntra-species-notes": "" }, "Rat": { "WB-species-checked": "predicted", "WB-species-dilution-info": "", "WB-species-notes": "", "IHCP-species-checked": "predicted", "IHCP-species-dilution-info": "", "IHCP-species-notes": "", "FlowCytIntra-species-checked": "predicted", "FlowCytIntra-species-dilution-info": "", "FlowCytIntra-species-notes": "" }, "Cow": { "WB-species-checked": "predicted", "WB-species-dilution-info": "", "WB-species-notes": "", "IHCP-species-checked": "predicted", "IHCP-species-dilution-info": "", "IHCP-species-notes": "", "FlowCytIntra-species-checked": "predicted", "FlowCytIntra-species-dilution-info": "", "FlowCytIntra-species-notes": "" } } }

Product details

ab245734 is the carrier-free version of ab183338.

Patented technology
Our RabMAb® technology is a patented hybridoma-based technology for making rabbit monoclonal antibodies. For details on our patents, please refer to RabMAb® patents.

What are the advantages of a recombinant monoclonal antibody?
This product is a recombinant monoclonal antibody, which offers several advantages including:

  • - High batch-to-batch consistency and reproducibility
  • - Improved sensitivity and specificity
  • - Long-term security of supply
  • - Animal-free batch production

For more information, read more on recombinant antibodies.

Conjugation ready
Our carrier-free antibodies are typically supplied in a PBS-only formulation, purified and free of BSA, sodium azide and glycerol. This conjugation-ready format is designed for use with fluorochromes, metal isotopes, oligonucleotides, and enzymes, which makes them ideal for antibody labelling, functional and cell-based assays, flow-based assays (e.g. mass cytometry) and Multiplex Imaging applications.

Use our conjugation kits for antibody conjugates that are ready-to-use in as little as 20 minutes with 1 minute hands-on-time and 100% antibody recovery: available for fluorescent dyes, HRP, biotin and gold.

Compatibility
This product is compatible with the Maxpar® Antibody Labeling Kit from Fluidigm, without the need for antibody preparation. Maxpar® is a trademark of Fluidigm Canada Inc.

Properties and storage information

Form
Liquid
Purification technique
Affinity purification Protein A/G
Purification notes
Purified from TCS by protein A/G.
Storage buffer
pH: 7.2 - 7.4 Constituents: PBS
Shipped at conditions
Blue Ice
Appropriate short-term storage conditions
+4°C
Appropriate long-term storage conditions
+4°C
Storage information
Do Not Freeze

Product protocols

For this product, it's our understanding that no specific protocols are required. You can visit:

Target data

Regulatory component of the cyclin D3-CDK4 (DC) complex that phosphorylates and inhibits members of the retinoblastoma (RB) protein family including RB1 and regulates the cell-cycle during G(1)/S transition (PubMed : 8114739). Phosphorylation of RB1 allows dissociation of the transcription factor E2F from the RB/E2F complex and the subsequent transcription of E2F target genes which are responsible for the progression through the G(1) phase (PubMed : 8114739). Hypophosphorylates RB1 in early G(1) phase (PubMed : 8114739). Cyclin D-CDK4 complexes are major integrators of various mitogenenic and antimitogenic signals (PubMed : 8114739). Component of the ternary complex, cyclin D3/CDK4/CDKN1B, required for nuclear translocation and activity of the cyclin D-CDK4 complex (PubMed : 16782892). Shows transcriptional coactivator activity with ATF5 independently of CDK4 (PubMed : 15358120).
See full target information G1/S-specific cyclin-D3

Publications (2)

Recent publications for all applications. Explore the full list and refine your search

Nature communications 14:1462 PubMed36927854

2023

B cell class switch recombination is regulated by DYRK1A through MSH6 phosphorylation.

Applications

Unspecified application

Species

Unspecified reactive species

Liat Stoler-Barak,Ethan Harris,Ayelet Peres,Hadas Hezroni,Mirela Kuka,Pietro Di Lucia,Amalie Grenov,Neta Gurwicz,Meital Kupervaser,Bon Ham Yip,Matteo Iannacone,Gur Yaari,John D Crispino,Ziv Shulman

Med (New York, N.Y.) 3:481-518.e14 PubMed35649411

2022

Cross-tissue, single-cell stromal atlas identifies shared pathological fibroblast phenotypes in four chronic inflammatory diseases.

Applications

Unspecified application

Species

Unspecified reactive species

Ilya Korsunsky,Kevin Wei,Mathilde Pohin,Edy Y Kim,Francesca Barone,Triin Major,Emily Taylor,Rahul Ravindran,Samuel Kemble,Gerald F M Watts,A Helena Jonsson,Yunju Jeong,Humra Athar,Dylan Windell,Joyce B Kang,Matthias Friedrich,Jason Turner,Saba Nayar,Benjamin A Fisher,Karim Raza,Jennifer L Marshall,Adam P Croft,Tomoyoshi Tamura,Lynette M Sholl,Marina Vivero,Ivan O Rosas,Simon J Bowman,Mark Coles,Andreas P Frei,Kara Lassen,Andrew Filer,Fiona Powrie,Christopher D Buckley,Michael B Brenner,Soumya Raychaudhuri
View all publications

Product promise

We are committed to supporting your work with high-quality reagents, and we're here for you every step of the way. In the unlikely event that one of our products does not perform as expected, you're protected by our Product Promise.
For full details, please see our Terms & Conditions

Please note: All products are 'FOR RESEARCH USE ONLY. NOT FOR USE IN DIAGNOSTIC OR THERAPEUTIC PROCEDURES'.

For licensing inquiries, please contact partnerships@abcam.com