JavaScript is disabled in your browser. Please enable JavaScript to view this website.
AB55322

Anti-Cyclin D3/CCND3 (phospho T283) antibody

0

(1 Review)

|

(2 Publications)

Rabbit Polyclonal Cyclin D3/CCND3 phospho T283 antibody. Suitable for WB, IHC-P and reacts with Human samples. Cited in 2 publications. Immunogen corresponding to Synthetic Peptide within Human G1/S-specific cyclin-D3 phospho T283 aa 200 to C-terminus.

View Alternative Names

G1/S-specific cyclin-D3, CCND3

2 Images
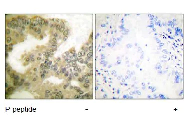
Immunohistochemistry (Formalin/PFA-fixed paraffin-embedded sections) - Anti-Cyclin D3/CCND3 (phospho T283) antibody (AB55322)
  • IHC-P

Unknown

Immunohistochemistry (Formalin/PFA-fixed paraffin-embedded sections) - Anti-Cyclin D3/CCND3 (phospho T283) antibody (AB55322)

This image shows human lung carcinoma tissue stained with ab55322 at 1/50 dilution. The left hand image shows untreated tissue, the right hand image shows tissue treated with the immunising phosphopeptide.

Western blot - Anti-Cyclin D3/CCND3 (phospho T283) antibody (AB55322)
  • WB

Supplier Data

Western blot - Anti-Cyclin D3/CCND3 (phospho T283) antibody (AB55322)

All lanes:

Western blot - Anti-Cyclin D3/CCND3 (phospho T283) antibody (ab55322)

All lanes:

K562 cell lysate (treated with UV) blocked with phospho peptide.

Predicted band size: 33 kDa

false

Key facts

Host species

Rabbit

Clonality

Polyclonal

Isotype

IgG

Carrier free

No

Reacts with

Human

Applications

IHC-P, WB

applications

Immunogen

Synthetic Peptide within Human G1/S-specific cyclin-D3 phospho T283 aa 200 to C-terminus. The exact immunogen used to generate this antibody is proprietary information.

P30281

Reactivity data

{ "title": "Reactivity Data", "filters": { "stats": ["", "Species", "Dilution Info", "Notes"], "tabs": { "all-applications": {"fullname" : "All Applications", "shortname": "All Applications"}, "WB" : {"fullname" : "Western blot", "shortname":"WB"}, "IHCP" : {"fullname" : "Immunohistochemistry (Formalin/PFA-fixed paraffin-embedded sections)", "shortname":"IHC-P"} }, "product-promise": { "all": "all", "testedAndGuaranteed": "tested", "guaranteed": "expected", "predicted": "predicted", "notRecommended": "not-recommended" } }, "values": { "Human": { "WB-species-checked": "testedAndGuaranteed", "WB-species-dilution-info": "1/500 - 1/1000", "WB-species-notes": "<p></p>", "IHCP-species-checked": "testedAndGuaranteed", "IHCP-species-dilution-info": "", "IHCP-species-notes": "<p></p>" } } }

Properties and storage information

Form
Liquid
Purification technique
Affinity purification Immunogen
Purification notes
The antibody against non-phosphopeptide was removed by chromatography using non-phosphopeptide corresponding to the phosphorylation site.
Storage buffer
pH: 7.4 Preservative: 0.02% Sodium azide Constituents: PBS, 50% Glycerol (glycerin, glycerine), 0.87% Sodium chloride
Shipped at conditions
Blue Ice
Appropriate short-term storage conditions
+4°C
Appropriate long-term storage conditions
-20°C
Storage information
Stable for 12 months at -20°C

Product protocols

For this product, it's our understanding that no specific protocols are required. You can visit:

Target data

Regulatory component of the cyclin D3-CDK4 (DC) complex that phosphorylates and inhibits members of the retinoblastoma (RB) protein family including RB1 and regulates the cell-cycle during G(1)/S transition (PubMed : 8114739). Phosphorylation of RB1 allows dissociation of the transcription factor E2F from the RB/E2F complex and the subsequent transcription of E2F target genes which are responsible for the progression through the G(1) phase (PubMed : 8114739). Hypophosphorylates RB1 in early G(1) phase (PubMed : 8114739). Cyclin D-CDK4 complexes are major integrators of various mitogenenic and antimitogenic signals (PubMed : 8114739). Component of the ternary complex, cyclin D3/CDK4/CDKN1B, required for nuclear translocation and activity of the cyclin D-CDK4 complex (PubMed : 16782892). Shows transcriptional coactivator activity with ATF5 independently of CDK4 (PubMed : 15358120).
See full target information G1/S-specific cyclin-D3 phospho T283

Publications (2)

Recent publications for all applications. Explore the full list and refine your search

Pharmaceuticals (Basel, Switzerland) 12: PubMed31861110

2019

Biological Characterization of 8-Cyclopropyl-2-(pyridin-3-yl)thiazolo[5,4-]quinazolin-9(8)-one, a Promising Inhibitor of DYRK1A.

Applications

Unspecified application

Species

Unspecified reactive species

Corinne Fruit,Florence Couly,Rahul Bhansali,Malini Rammohan,Mattias F Lindberg,John D Crispino,Laurent Meijer,Thierry Besson

The Journal of clinical investigation 122:4461-72 PubMed23160194

2012

GSK3β mediates muscle pathology in myotonic dystrophy.

Applications

WB

Species

Human

Karlie Jones,Christina Wei,Polina Iakova,Enrico Bugiardini,Christiane Schneider-Gold,Giovanni Meola,James Woodgett,James Killian,Nikolai A Timchenko,Lubov T Timchenko
View all publications

Product promise

We are committed to supporting your work with high-quality reagents, and we're here for you every step of the way. In the unlikely event that one of our products does not perform as expected, you're protected by our Product Promise.
For full details, please see our Terms & Conditions

Please note: All products are 'FOR RESEARCH USE ONLY. NOT FOR USE IN DIAGNOSTIC OR THERAPEUTIC PROCEDURES'.

For licensing inquiries, please contact partnerships@abcam.com