JavaScript is disabled in your browser. Please enable JavaScript to view this website.
AB237935

Anti-Cyclin E1 antibody [CCNE1/2460] - BSA and Azide free

Be the first to review this product! Submit a review

|

(1 Publication)

Anti-Cyclin E1 antibody [CCNE1/2460] - BSA and Azide free (ab237935) is a mouse monoclonal antibody provided in a PBS only buffer for easy conjugation detecting Cyclin E1 in Western Blot, IHC-P, PepArr. Suitable for Human.

- KO validated for confirmed specificity
- BSA, sodium azide, and glycerol-free for easy conjugation

View Alternative Names

CCNE, CCNE1, G1/S-specific cyclin-E1

4 Images
Western blot - Anti-Cyclin E1 antibody [CCNE1/2460] - BSA and Azide free (AB237935)
  • WB

Lab

Western blot - Anti-Cyclin E1 antibody [CCNE1/2460] - BSA and Azide free (AB237935)

False colour image of Western blot : Anti-Cyclin E1 antibody [CCNE1/2460] staining at 1/1000 dilution, shown in green; Rabbit Anti-GAPDH antibody [EPR16891] (ab181602) loading control staining at 1/20000 dilution, shown in red. In Western blot, ab238081 was shown to bind specifically to Cyclin E1. A band was observed at 47 kDa in wild-type HAP1 cell lysates with no signal observed at this size in CCNE1 CRISPR-Cas9 edited HAP1 cell line. The band observed in the CRISPR-Cas9 edited lysate lane below 47 kDa is likely to represent a truncated form of Cyclin E1. This has not been investigated further and the functional properties of the gene product have not been determined. To generate this image, wild-type and CCNE1 CRISPR-Cas9 edited HAP1 cell lysates were analysed. First, samples were run on an SDS-PAGE gel then transferred onto a nitrocellulose membrane. Membranes were blocked in fluorescent western blot (TBS-based) blocking solution before incubation with primary antibodies overnight at 4 °C. Blots were washed four times in TBS-T, incubated with secondary antibodies for 1 h at room temperature, washed again four times then imaged. Secondary antibodies used were Goat anti-Mouse IgG H&L (IRDye® 800CW) preabsorbed (ab216772) and Goat anti-Rabbit IgG H&L (IRDye® 680RD) preabsorbed (ab216777) at 1/20000 dilution.

All lanes:

Western blot - Anti-Cyclin E1 antibody [CCNE1/2460] (<a href='/en-us/products/primary-antibodies/cyclin-e1-antibody-ccne1-2460-ab238081'>ab238081</a>) at 1/1000 dilution

Lane 1:

Wild-type HAP1 cell lysate at 20 µg

Lane 2:

CCNE1 CRISPR-Cas9 edited HAP1 cell lysate at 20 µg

Lane 3:

Jurkat cell lysate at 20 µg

Lane 4:

Human Liver cell lysate at 20 µg

Predicted band size: 47 kDa

Observed band size: 47 kDa

false

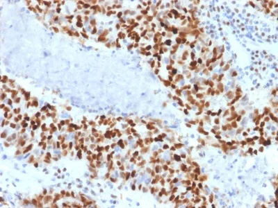
Immunohistochemistry (Formalin/PFA-fixed paraffin-embedded sections) - Anti-Cyclin E1 antibody [CCNE1/2460] - BSA and Azide free (AB237935)
  • IHC-P

Supplier Data

Immunohistochemistry (Formalin/PFA-fixed paraffin-embedded sections) - Anti-Cyclin E1 antibody [CCNE1/2460] - BSA and Azide free (AB237935)

Formalin-fixed, paraffin-embedded human colon carcinoma tissue stained for Cyclin E1 using ab237935 at 2 μg/ml in immunohistochemical analysis.

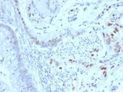
Immunohistochemistry (Formalin/PFA-fixed paraffin-embedded sections) - Anti-Cyclin E1 antibody [CCNE1/2460] - BSA and Azide free (AB237935)
  • IHC-P

Supplier Data

Immunohistochemistry (Formalin/PFA-fixed paraffin-embedded sections) - Anti-Cyclin E1 antibody [CCNE1/2460] - BSA and Azide free (AB237935)

Formalin-fixed, paraffin-embedded human colon carcinoma tissue stained for Cyclin E1 using ab237935 at 2 μg/ml in immunohistochemical analysis.

Peptide Array - Anti-Cyclin E1 antibody [CCNE1/2460] - BSA and Azide free (AB237935)
  • PepArr

Supplier Data

Peptide Array - Anti-Cyclin E1 antibody [CCNE1/2460] - BSA and Azide free (AB237935)

Analysis of Protein Array containing more than 19,000 full-length human proteins using ab237935.Z- and S- Score : The Z-score represents the strength of a signal that a monoclonal antibody (MAb) (in combination with a fluorescently-tagged anti-IgG secondary antibody) produces when binding to a particular protein on the HuProtTM array. Z-scores are described in units of standard deviations (SD's) above the mean value of all signals generated on that array. If targets on HuProtTM are arranged in descending order of the Z-score, the S-score is the difference (also in units of SD's) between the Z-score. S-score therefore represents the relative target specificity of a MAb to its intended target. A MAb is considered to specific to its intended target, if the MAb has an S-score of at least 2.5. For example, if a MAb binds to protein X with a Z-score of 43 and to protein Y with a Z-score of 14, then the S-score for the binding of that MAb to protein X is equal to 29.

Key facts

Host species

Mouse

Clonality

Monoclonal

Clone number

CCNE1/2460

Isotype

IgG2b

Light chain type

kappa

Carrier free

Yes

Reacts with

Human

Applications

PepArr, WB, IHC-P

applications

Immunogen

Recombinant Fragment Protein within Human CCNE1 aa 1-200. The exact immunogen used to generate this antibody is proprietary information.

P24864

Reactivity data

{ "title": "Reactivity Data", "filters": { "stats": ["", "Species", "Dilution Info", "Notes"], "tabs": { "all-applications": {"fullname" : "All Applications", "shortname": "All Applications"}, "WB" : {"fullname" : "Western blot", "shortname":"WB"}, "IHCP" : {"fullname" : "Immunohistochemistry (Formalin/PFA-fixed paraffin-embedded sections)", "shortname":"IHC-P"}, "PepArr" : {"fullname" : "Peptide Array", "shortname":"PepArr"} }, "product-promise": { "all": "all", "testedAndGuaranteed": "tested", "guaranteed": "expected", "predicted": "predicted", "notRecommended": "not-recommended" } }, "values": { "Human": { "WB-species-checked": "testedAndGuaranteed", "WB-species-dilution-info": "", "WB-species-notes": "<p></p>", "IHCP-species-checked": "testedAndGuaranteed", "IHCP-species-dilution-info": "1-2 µg/mL", "IHCP-species-notes": "<p>Primary incubation for 30 minutes at room temperature.</p> Perform heat-mediated antigen retrieval with citrate buffer pH 6 before commencing with IHC staining protocol.", "PepArr-species-checked": "testedAndGuaranteed", "PepArr-species-dilution-info": "", "PepArr-species-notes": "<p></p>" } } }

Product details

What is this antibody validated in?
Anti-Cyclin E1 antibody [CCNE1/2460] - BSA and Azide free (ab237935) is a mouse monoclonal antibody and is validated for use in Western Blot (WB), Immunohistochemistry (IHC-P), Peptide Array in Human samples.

Specificity confirmed
The specificity of Anti-Cyclin E1 antibody [CCNE1/2460] - BSA and Azide free (ab237935) has been confirmed by Western blot testing in CCNE1 Knockout HAP1 cells.

Other related products
We have a range of other formats of antibody clone [CCNE1/2460] also available for your convenience: ab308258, Carrier free - ab308259, Carrier free - ab237935

Properties and storage information

Form
Liquid
Purification technique
Affinity purification Protein A/G
Purification notes
Purified from Bioreactor Concentrate by Protein A/G.
Storage buffer
pH: 7.2 - 7.4 Constituents: PBS
Shipped at conditions
Blue Ice
Appropriate short-term storage duration
1-2 weeks
Appropriate short-term storage conditions
+4°C
Appropriate long-term storage conditions
-20°C
Aliquoting information
Upon delivery aliquot
Storage information
Avoid freeze / thaw cycle

Product protocols

For this product, it's our understanding that no specific protocols are required. You can visit:

Target data

Essential for the control of the cell cycle at the G1/S (start) transition.
See full target information CCNE1

Publications (1)

Recent publications for all applications. Explore the full list and refine your search

Veterinary sciences 8: PubMed34941853

2021

Gene Silencing Promotes Apoptosis and Suppresses Proliferation of Heat-Stressed Bovine Granulosa Cells via Induction of Oxidative Stress.

Applications

Unspecified application

Species

Unspecified reactive species

Adnan Khan,Muhammad Zahoor Khan,Jinhuan Dou,Huitao Xu,Lei Liu,Huabin Zhu,Yachun Wang
View all publications

Product promise

We are committed to supporting your work with high-quality reagents, and we're here for you every step of the way. In the unlikely event that one of our products does not perform as expected, you're protected by our Product Promise.
For full details, please see our Terms & Conditions

Please note: All products are 'FOR RESEARCH USE ONLY. NOT FOR USE IN DIAGNOSTIC OR THERAPEUTIC PROCEDURES'.

For licensing inquiries, please contact partnerships@abcam.com