JavaScript is disabled in your browser. Please enable JavaScript to view this website.
AB40890

Anti-Cyclin E2 antibody [EP454Y]

5

(1 Review)

|

(36 Publications)

Anti-Cyclin E2 antibody [EP454Y] (ab40890) is a rabbit monoclonal antibody detecting Cyclin E2 in Western Blot, Flow Cytometry (Intra), IP, IHC-P, ICC/IF. Suitable for Human.

- KO validated for confirmed specificity
- Biophysical QC for unrivalled batch-batch consistency
- Over 20 publications
- Trusted since 2006

View Alternative Names

G1/S-specific cyclin-E2, CCNE2

7 Images
Immunohistochemistry (Formalin/PFA-fixed paraffin-embedded sections) - Anti-Cyclin E2 antibody [EP454Y] (AB40890)
  • IHC-P

Unknown

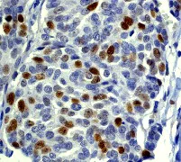
Immunohistochemistry (Formalin/PFA-fixed paraffin-embedded sections) - Anti-Cyclin E2 antibody [EP454Y] (AB40890)

ab40890 (unpurified) at 1/250 staining human breast carcinoma by immunohistochemistry, paraffin-embedded tissue.

Immunocytochemistry/ Immunofluorescence - Anti-Cyclin E2 antibody [EP454Y] (AB40890)
  • ICC/IF

Unknown

Immunocytochemistry/ Immunofluorescence - Anti-Cyclin E2 antibody [EP454Y] (AB40890)

Immunocytochemistry/ Immunofluorescence analysis of HeLa (Human cervix adenocarcinoma epithelial cell) cells labeling Cyclin E2 with purified ab40890 at 1 : 50 dilution (2.8 μg/ml). Cells were fixed in 100% Methanol and permeabilized with None. Cells were counterstained with ab195889 Anti-alpha Tubulin antibody [DM1A] - Microtubule Marker (Alexa Fluor® 594) 1 : 200 (2.5 μg/ml). Goat anti rabbit IgG (Alexa Fluor® 488, ab150077) was used as the secondary antibody at 1 : 1000 (2 μg/ml) dilution. DAPI (blue) was used as nuclear counterstain. PBS instead of the primary antibody was used as the secondary antibody only control.

Immunohistochemistry (Formalin/PFA-fixed paraffin-embedded sections) - Anti-Cyclin E2 antibody [EP454Y] (AB40890)
  • IHC-P

Unknown

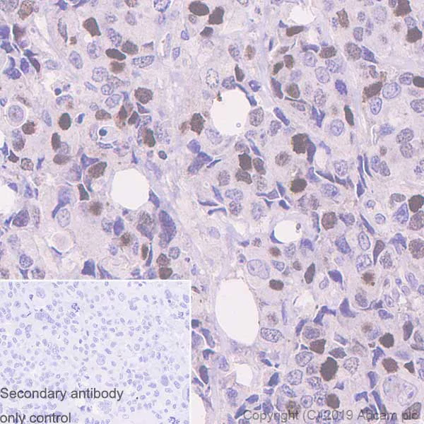
Immunohistochemistry (Formalin/PFA-fixed paraffin-embedded sections) - Anti-Cyclin E2 antibody [EP454Y] (AB40890)

Immunohistochemistry (Formalin/PFA-fixed paraffin-embedded sections) analysis of human breast carcinoma tissue sections labeling Cyclin E2 with purified ab40890 at 1/100 dilution (1.41 µg/ml). Heat mediated antigen retrieval was performed Perform heat mediated antigen retrieval using ab93684 (Tris/EDTA buffer, pH 9.0). Rabbit specific IHC polymer detection kit HRP/DAB (ab209101) was used as the secondary antibody. Negative control : PBS instead of the primary antibody. Hematoxylin was used as a counterstain.

Flow Cytometry (Intracellular) - Anti-Cyclin E2 antibody [EP454Y] (AB40890)
  • Flow Cyt (Intra)

Unknown

Flow Cytometry (Intracellular) - Anti-Cyclin E2 antibody [EP454Y] (AB40890)

Intracellular Flow Cytometry analysis of HeLa (human cervix adenocarcinoma) cells labeling Cyclin E2 (right) with purified ab40890 at a 1/20 dilution. Cells were fixed with 90% ethanol and permeabilized with 90% methanol. A goat anti-rabbit IgG (Alexa Fluorr® 488) (ab150077) was used as the secondary antibody at a 1/2000 dilution.

Left panel - Rabbit monoclonal IgG (ab172730).

Immunoprecipitation - Anti-Cyclin E2 antibody [EP454Y] (AB40890)
  • IP

Unknown

Immunoprecipitation - Anti-Cyclin E2 antibody [EP454Y] (AB40890)

ab40890 (purified) at 1/20 dilution (1 µg) immunoprecipitating Cyclin E2 in Jurkat whole cell lysate.
Lane 1 (input) : Jurkat (Human T cell leukemia T lymphocyte) whole cell lysate 10 µg
Lane 2 (+) : ab40890 & Jurkat whole cell lysate
Lane 3 (-) : Rabbit monoclonal IgG (ab172730) instead of ab40890 in Jurkat whole cell lysate
For western blotting, VeriBlot for IP Detection Reagent (HRP) (ab131366) was used at 1/5000 dilution.
Blocking and diluting buffer : 5% NFDM/TBST.

All lanes:

Immunoprecipitation - Anti-Cyclin E2 antibody [EP454Y] (ab40890)

Predicted band size: 47 kDa

false

Western blot - Anti-Cyclin E2 antibody [EP454Y] (AB40890)
  • WB

Lab

Western blot - Anti-Cyclin E2 antibody [EP454Y] (AB40890)

Lanes 1 - 4 : Merged signal (red and green). Green - ab40890 observed at 45 kDa. Red - loading control, ab8245 (Mouse anti-GAPDH antibody [6C5]) observed at 37kDa.

ab40890 was shown to react with CCNE2 in HAP1 wild-type cells in Western blot. Loss of signal was observed when CCNE2 knockout sample was used. HAP1 wild-type and CCNE2 knockout cell lysates were subjected to SDS-PAGE. Membranes were blocked in 3% Milk in TBS-T (0.1% Tween®) before incubation with ab40890 and ab8245 (Mouse anti-GAPDH antibody [6C5]) overnight at 4°C at a 1 in 10000 dilution and a 1 in 20000 dilution respectively. Blots were developed with Goat anti-Rabbit IgG H&L (IRDye® 800CW) preabsorbed (ab216773) and Goat anti-Mouse IgG H&L (IRDye® 800CW) preabsorbed (ab216772) secondary antibodies at 1 in 20000 dilution for 1 hour at room temperature before imaging.

All lanes:

Western blot - Anti-Cyclin E2 antibody [EP454Y] (ab40890) at 1/10000 dilution

Lane 1:

Wild-type HAP1 whole cell lysate at 20 µg

Lane 2:

CCNE2 knockout HAP1 whole cell lysate at 20 µg

Lane 3:

MCF7 whole cell lysate at 20 µg

Lane 4:

HeLa whole cell lysate at 20 µg

Predicted band size: 47 kDa

Observed band size: 45 kDa

false

Western blot - Anti-Cyclin E2 antibody [EP454Y] (AB40890)
  • WB

Lab

Western blot - Anti-Cyclin E2 antibody [EP454Y] (AB40890)

All lanes:

Western blot - Anti-Cyclin E2 antibody [EP454Y] (ab40890) at 1/1000 dilution

All lanes:

Jurkat (Human T cell leukemia T lymphocyte) whole cell lysates at 15 µg

Secondary

All lanes:

Western blot - Goat Anti-Rabbit IgG H&L (HRP) (<a href='/en-us/products/secondary-antibodies/goat-rabbit-igg-h-l-hrp-ab97051'>ab97051</a>) at 1/20000 dilution

Predicted band size: 47 kDa

Observed band size: 45 kDa

false

  • Carrier free

    Anti-Cyclin E2 antibody [EP454Y] - BSA and Azide free

  • 519 Alexa Fluor® 488

    Alexa Fluor® 488 Anti-Cyclin E2 antibody [EP454Y]

  • HRP

    HRP Anti-Cyclin E2 antibody [EP454Y]

  • 660 APC

    APC Anti-Cyclin E2 antibody [EP454Y]

  • 578 PE

    PE Anti-Cyclin E2 antibody [EP454Y]

  • 617 Alexa Fluor® 594

    Alexa Fluor® 594 Anti-Cyclin E2 antibody [EP454Y]

  • 565 Alexa Fluor® 555

    Alexa Fluor® 555 Anti-Cyclin E2 antibody [EP454Y]

  • 775 Alexa Fluor® 750

    Alexa Fluor® 750 Anti-Cyclin E2 antibody [EP454Y]

Key facts

Host species

Rabbit

Clonality

Monoclonal

Clone number

EP454Y

Isotype

IgG

Carrier free

No

Reacts with

Human

Applications

IHC-P, IP, WB, Flow Cyt (Intra), ICC/IF

applications

Immunogen

The exact immunogen used to generate this antibody is proprietary information.

Reactivity data

{ "title": "Reactivity Data", "filters": { "stats": ["", "Species", "Dilution Info", "Notes"], "tabs": { "all-applications": {"fullname" : "All Applications", "shortname": "All Applications"}, "IP" : {"fullname" : "Immunoprecipitation", "shortname":"IP"}, "WB" : {"fullname" : "Western blot", "shortname":"WB"}, "ICCIF" : {"fullname" : "Immunocytochemistry/ Immunofluorescence", "shortname":"ICC/IF"}, "FlowCytIntra" : {"fullname" : "Flow Cytometry (Intracellular)", "shortname":"Flow Cyt (Intra)"}, "IHCP" : {"fullname" : "Immunohistochemistry (Formalin/PFA-fixed paraffin-embedded sections)", "shortname":"IHC-P"} }, "product-promise": { "all": "all", "testedAndGuaranteed": "tested", "guaranteed": "expected", "predicted": "predicted", "notRecommended": "not-recommended" } }, "values": { "Human": { "IP-species-checked": "testedAndGuaranteed", "IP-species-dilution-info": "1/20 - 1/50", "IP-species-notes": "<p></p>", "WB-species-checked": "testedAndGuaranteed", "WB-species-dilution-info": "1/1000 - 1/10000", "WB-species-notes": "<p></p>", "ICCIF-species-checked": "testedAndGuaranteed", "ICCIF-species-dilution-info": "1/50 - 1/250", "ICCIF-species-notes": "<p></p>", "FlowCytIntra-species-checked": "testedAndGuaranteed", "FlowCytIntra-species-dilution-info": "1/20", "FlowCytIntra-species-notes": "<p></p>", "IHCP-species-checked": "testedAndGuaranteed", "IHCP-species-dilution-info": "1/100 - 1/500", "IHCP-species-notes": "<p></p> Perform heat-mediated antigen retrieval with Tris/EDTA buffer pH 9.0 before commencing with IHC staining protocol." } } }

Product details

What is this antibody validated in?
Anti-Cyclin E2 antibody [EP454Y] (ab40890) is a rabbit recombinant monoclonal antibody and is validated for use in Western Blot (WB), Flow Cytometry (Intra), Flow Cytometry (Flow Cyt), Immunoprecipitation (IP), Immunohistochemistry (IHC-P), Immunocytochemistry/immunofluorescence (ICC/IF) in Human samples.

What is the molecular weight of Cyclin E2?
Anti-Cyclin E2 [EP454Y] (ab40890) specifically detects a band for Cyclin E2 (UniProt: O96020) at a molecular weight of 50kDa.

Trusted by the scientific community
Anti-Cyclin E2 [EP454Y] (ab40890) was first used in a scientific publication in 2006 and has been cited over 20 times in peer-reviewed journals.

Trial sizes available!
Test your antibody or perform pre-screening before committing to a larger quantity. Sold in 10µl. Discover our selection of trial-size antibodies.

Specificity confirmed
The specificity of Anti-Cyclin E2 antibody [EP454Y] (ab40890) has been confirmed by Western blot testing in Cyclin E2 Knockout HAP1 cells.

Other related products
We have a range of other formats of antibody clone [EP454Y] also available for your convenience: ab40890, Alexa Fluor® 488 - ab200423, Alexa Fluor® 647 - ab200424, HRP - ab200425, Carrier free - ab239833, APC - ab319291, PE - ab319438, Alexa Fluor® 594 - ab319784, Alexa Fluor® 555 - ab319925, Alexa Fluor® 750 - ab321628

Species reactivity
Mouse, Rat: We have preliminary internal testing data to indicate this antibody may not react with these species.
Please contact us for more information.

Patented technology
Our RabMAb® technology is a patented hybridoma-based technology for making rabbit monoclonal antibodies. For details on our patents, please refer to RabMAb® patents.

What are the advantages of a recombinant monoclonal antibody?
This product is a recombinant monoclonal antibody, which offers several advantages including:

  • - High batch-to-batch consistency and reproducibility
  • - Improved sensitivity and specificity
  • - Long-term security of supply
  • - Animal-free batch production

For more information, read more on recombinant antibodies.

Properties and storage information

Form
Liquid
Purification technique
Affinity purification Protein A
Storage buffer
pH: 7.2 - 7.4 Preservative: 0.01% Sodium azide Constituents: PBS, 40% Glycerol (glycerin, glycerine), 0.05% BSA
Shipped at conditions
Blue Ice
Appropriate short-term storage duration
1-2 weeks
Appropriate short-term storage conditions
+4°C
Appropriate long-term storage conditions
-20°C
Aliquoting information
Upon delivery aliquot
Storage information
Avoid freeze / thaw cycle

Product protocols

For this product, it's our understanding that no specific protocols are required. You can visit:

Target data

Essential for the control of the cell cycle at the late G1 and early S phase.
See full target information Cyclin E2

Publications (36)

Recent publications for all applications. Explore the full list and refine your search

Cellular oncology (Dordrecht, Netherlands) 48:815-834 PubMed40327295

2025

High extracellular matrix stiffness upregulates TNNT1 to awaken dormant tumor cells in liver metastatic niches of gastric cancer.

Applications

Unspecified application

Species

Unspecified reactive species

Linhua Ji,Jie Peng,Yuxuan Lin,Yiqing Zhong,Bo Ni,Chunchao Zhu,Zizhen Zhang

Molecular carcinogenesis 63:1907-1921 PubMed38923703

2024

AKAP95 regulates ubiquitination and degradation of cyclin Ds/Es, influencing the G1/S transition of lung cancer cells.

Applications

Unspecified application

Species

Unspecified reactive species

Zifeng Deng,Liangding Dou,Zhen Luo,Rong Liu,Jinwen Zhang,Jing Wang,Dai Wang,DongBei Guo,Ran An,Youliang Yao,Guihua Qiu,Yongxing Zhang

Oncology research 32:585-596 PubMed38361755

2024

Role of oncogenic long noncoding RNA KCNQ1OT1 in colon cancer.

Applications

Unspecified application

Species

Unspecified reactive species

Gang Liu,Lei Shi,Bin Wang,Zehui Wu,Haiyuan Zhao,Tianyu Zhao,Lianghui Shi

The journal of gene medicine 26:e3616 PubMed38049938

2023

MicroRNA-299-3p inhibits cell proliferation, motility, invasion and angiogenesis via VEGFA in upper tract urothelial carcinoma.

Applications

Unspecified application

Species

Unspecified reactive species

Chien-Shen Wang,Yi-Chen Lee,Jhen-Hao Jhan,Wei-Ming Li,Lin-Li Chang,A-Mei Huang,Hui-Hui Lin,Yi-Ru Wu,Wei-Chi Hsu,Hung-Lung Ke

Cell reports 42:112768 PubMed37428633

2023

Cyclin E/CDK2 and feedback from soluble histone protein regulate the S phase burst of histone biosynthesis.

Applications

Unspecified application

Species

Unspecified reactive species

Claire Armstrong,Victor J Passanisi,Humza M Ashraf,Sabrina L Spencer

International journal of molecular sciences 24: PubMed37446141

2023

Incomplete Recovery from the Radiocontrast-Induced Dysregulated Cell Cycle, Adhesion, and Fibrogenesis in Renal Tubular Cells after Radiocontrast (Iohexol) Removal.

Applications

Unspecified application

Species

Unspecified reactive species

Hsing-Yu Chen,Yi-Hong Wu,Cheng-Yu Wei,Zhi-Yao Liao,Hsiao-Ting Wu,Yung-Chang Chen,Jong-Hwei S Pang

Molecular oncology 17:1648-1665 PubMed37013960

2023

Inhibition of CDCP1 by 8-isopentenylnaringenin synergizes with EGFR inhibitors in lung cancer treatment.

Applications

Unspecified application

Species

Unspecified reactive species

Sze-Ching Wong,Chun-Chieh Yeh,Xun-Yu Zhang,Chih-Ying Hsieh,Chia-Chien Lo,Ting-Ting Kuo,Ching-Chan Lin,Chih-Hua Chao,Jing-Pei Liu,Ling-Chu Chang,Lu-Hai Wang,Yuh-Pyng Sher

EMBO reports 24:e56052 PubMed36896611

2023

SIRT3-dependent delactylation of cyclin E2 prevents hepatocellular carcinoma growth.

Applications

Unspecified application

Species

Unspecified reactive species

Jing Jin,Lin Bai,Dongyao Wang,Wei Ding,Zhuoxian Cao,Peidong Yan,Yunjia Li,Lulu Xi,Yuxin Wang,Xiaohu Zheng,Haiming Wei,Chen Ding,Yi Wang

Frontiers in oncology 12:985827 PubMed36818671

2023

Identification of NLE1/CDK1 axis as key regulator in the development and progression of non-small cell lung cancer.

Applications

Unspecified application

Species

Unspecified reactive species

Pei Xu,Lei Wang,Bin Mo,Xiao Xie,Rui Hu,Lianyong Jiang,Fengqing Hu,Fangbao Ding,Haibo Xiao

Stem cells international 2023:2826815 PubMed37964983

2023

A Novel Molecular Classification Method for Glioblastoma Based on Tumor Cell Differentiation Trajectories.

Applications

Unspecified application

Species

Unspecified reactive species

Guanghao Zhang,Xiaolong Xu,Luojiang Zhu,Sisi Li,Rundong Chen,Nan Lv,Zifu Li,Jing Wang,Qiang Li,Wang Zhou,Pengfei Yang,Jianmin Liu
View all publications

Product promise

We are committed to supporting your work with high-quality reagents, and we're here for you every step of the way. In the unlikely event that one of our products does not perform as expected, you're protected by our Product Promise.
For full details, please see our Terms & Conditions

Please note: All products are 'FOR RESEARCH USE ONLY. NOT FOR USE IN DIAGNOSTIC OR THERAPEUTIC PROCEDURES'.

For licensing inquiries, please contact partnerships@abcam.com