JavaScript is disabled in your browser. Please enable JavaScript to view this website.
AB239833

Anti-Cyclin E2 antibody [EP454Y] - BSA and Azide free

Be the first to review this product! Submit a review

|

(1 Publication)

Rabbit Recombinant Monoclonal Cyclin E2 antibody. Carrier free. Suitable for IP, WB, ICC/IF, Flow Cyt (Intra), IHC-P and reacts with Human samples. Cited in 1 publication.

View Alternative Names

G1/S-specific cyclin-E2, CCNE2

6 Images
Immunocytochemistry/ Immunofluorescence - Anti-Cyclin E2 antibody [EP454Y] - BSA and Azide free (AB239833)
  • ICC/IF

Unknown

Immunocytochemistry/ Immunofluorescence - Anti-Cyclin E2 antibody [EP454Y] - BSA and Azide free (AB239833)

Immunocytochemistry/ Immunofluorescence analysis of HeLa (Human cervix adenocarcinoma epithelial cell) cells labeling Cyclin E2 with purified ab40890 at 1 : 50 dilution (2.8 µg/ml). Cells were fixed in 100% Methanol and permeabilized with None. Cells were counterstained with ab195889 Anti-alpha Tubulin antibody [DM1A] - Microtubule Marker (Alexa Fluor® 594) 1 : 200 (2.5 µg/ml). Goat anti rabbit IgG (Alexa Fluor® 488, ab150077) was used as the secondary antibody at 1 : 1000 (2 µg/ml) dilution. DAPI (blue) was used as nuclear counterstain. PBS instead of the primary antibody was used as the secondary antibody only control.
This data was developed using the same antibody clone in a different buffer formulation containing PBS, BSA, glycerol, and sodium azide (anti cyclin e2 antibody ep454y immunocytochemistry hela human)

Immunohistochemistry (Formalin/PFA-fixed paraffin-embedded sections) - Anti-Cyclin E2 antibody [EP454Y] - BSA and Azide free (AB239833)
  • IHC-P

Unknown

Immunohistochemistry (Formalin/PFA-fixed paraffin-embedded sections) - Anti-Cyclin E2 antibody [EP454Y] - BSA and Azide free (AB239833)

ab40890 (unpurified) at 1/250 staining human breast carcinoma by immunohistochemistry, paraffin-embedded tissue.

This data was developed using the same antibody clone in a different buffer formulation containing PBS, BSA, glycerol, and sodium azide (ab40890).

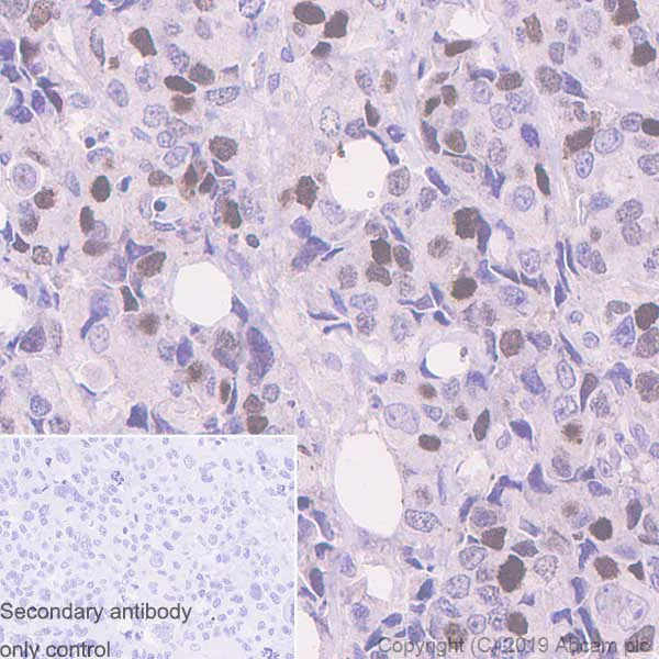
Immunohistochemistry (Formalin/PFA-fixed paraffin-embedded sections) - Anti-Cyclin E2 antibody [EP454Y] - BSA and Azide free (AB239833)
  • IHC-P

Unknown

Immunohistochemistry (Formalin/PFA-fixed paraffin-embedded sections) - Anti-Cyclin E2 antibody [EP454Y] - BSA and Azide free (AB239833)

Immunohistochemistry (Formalin/PFA-fixed paraffin-embedded sections) analysis of human breast carcinoma tissue sections labeling Cyclin E2 with purified ab40890 at 1/100 dilution (1.41 μg/ml). Heat mediated antigen retrieval was performed using ab93684 (Tris/EDTA buffer, pH 9.0). Rabbit specific IHC polymer detection kit HRP/DAB (ab209101) was used as the secondary antibody. Negative control : PBS instead of the primary antibody. Hematoxylin was used as a counterstain. This data was developed using the same antibody clone in a different buffer formulation containing PBS, BSA, glycerol, and sodium azide (ab40890)

Flow Cytometry (Intracellular) - Anti-Cyclin E2 antibody [EP454Y] - BSA and Azide free (AB239833)
  • Flow Cyt (Intra)

Unknown

Flow Cytometry (Intracellular) - Anti-Cyclin E2 antibody [EP454Y] - BSA and Azide free (AB239833)

Intracellular Flow Cytometry analysis of HeLa (human cervix adenocarcinoma) cells labeling Cyclin E2 (right) with purified ab40890 at a 1/20 dilution. Cells were fixed with 90% ethanol and permeabilized with 90% methanol. A goat anti-rabbit IgG (Alexa Fluor® 488) (ab150077) was used as the secondary antibody at a 1/2000 dilution.

Left panel - Rabbit monoclonal IgG (ab172730).

This data was developed using the same antibody clone in a different buffer formulation containing PBS, BSA, glycerol, and sodium azide (ab40890).

Immunoprecipitation - Anti-Cyclin E2 antibody [EP454Y] - BSA and Azide free (AB239833)
  • IP

Unknown

Immunoprecipitation - Anti-Cyclin E2 antibody [EP454Y] - BSA and Azide free (AB239833)

ab40890 (purified) at 1/20 dilution (1 µg) immunoprecipitating Cyclin E2 in Jurkat whole cell lysate.
Lane 1 (input) : Jurkat (Human T cell leukemia T lymphocyte) whole cell lysate 10 µg
Lane 2 (+) : ab40890 & Jurkat whole cell lysate
Lane 3 (-) : Rabbit monoclonal IgG (ab172730) instead of ab40890 in Jurkat whole cell lysate
For western blotting, VeriBlot for IP Detection Reagent (HRP) (ab131366) was used at 1/5000 dilution.
Blocking and diluting buffer : 5% NFDM/TBST. This data was developed using the same antibody clone in a different buffer formulation containing PBS, BSA, glycerol, and sodium azide (ab40890)

All lanes:

Immunoprecipitation - Anti-Cyclin E2 antibody [EP454Y] (<a href='/en-us/products/primary-antibodies/cyclin-e2-antibody-ep454y-ab40890'>ab40890</a>)

Predicted band size: 47 kDa

false

Western blot - Anti-Cyclin E2 antibody [EP454Y] - BSA and Azide free (AB239833)
  • WB

Lab

Western blot - Anti-Cyclin E2 antibody [EP454Y] - BSA and Azide free (AB239833)

This data was developed using the same antibody clone in a different buffer formulation (ab40890).

Lanes 1 - 4 : Merged signal (red and green). Green - ab40890 observed at 45 kDa. Red - loading control, ab8245 (Mouse anti-GAPDH antibody [6C5]) observed at 37kDa.

ab40890 was shown to react with CCNE2 in HAP1 wild-type cells in Western blot. Loss of signal was observed when CCNE2 knockout sample was used. HAP1 wild-type and CCNE2 knockout cell lysates were subjected to SDS-PAGE. Membranes were blocked in 3% Milk in TBS-T (0.1% Tween®) before incubation with ab40890 and ab8245 (Mouse anti-GAPDH antibody [6C5]) overnight at 4°C at a 1 in 10000 dilution and a 1 in 20000 dilution respectively. Blots were developed with Goat anti-Rabbit IgG H&L (IRDye® 800CW) preabsorbed (ab216773) and Goat anti-Mouse IgG H&L (IRDye® 800CW) preabsorbed (ab216772) secondary antibodies at 1 in 20000 dilution for 1 hour at room temperature before imaging.

All lanes:

Western blot - Anti-Cyclin E2 antibody [EP454Y] (<a href='/en-us/products/primary-antibodies/cyclin-e2-antibody-ep454y-ab40890'>ab40890</a>) at 1/10000 dilution

Lane 1:

Wild-type HAP1 whole cell lysate at 20 µg

Lane 2:

CCNE2 knockout HAP1 whole cell lysate at 20 µg

Lane 3:

MCF7 whole cell lysate at 20 µg

Lane 4:

HeLa whole cell lysate at 20 µg

Predicted band size: 47 kDa

Observed band size: 45 kDa

false

Key facts

Host species

Rabbit

Clonality

Monoclonal

Clone number

EP454Y

Isotype

IgG

Carrier free

Yes

Reacts with

Human

Applications

IP, WB, Flow Cyt (Intra), IHC-P, ICC/IF

applications

Immunogen

The exact immunogen used to generate this antibody is proprietary information.

Reactivity data

{ "title": "Reactivity Data", "filters": { "stats": ["", "Species", "Dilution Info", "Notes"], "tabs": { "all-applications": {"fullname" : "All Applications", "shortname": "All Applications"}, "IP" : {"fullname" : "Immunoprecipitation", "shortname":"IP"}, "WB" : {"fullname" : "Western blot", "shortname":"WB"}, "ICCIF" : {"fullname" : "Immunocytochemistry/ Immunofluorescence", "shortname":"ICC/IF"}, "FlowCytIntra" : {"fullname" : "Flow Cytometry (Intracellular)", "shortname":"Flow Cyt (Intra)"}, "IHCP" : {"fullname" : "Immunohistochemistry (Formalin/PFA-fixed paraffin-embedded sections)", "shortname":"IHC-P"} }, "product-promise": { "all": "all", "testedAndGuaranteed": "tested", "guaranteed": "expected", "predicted": "predicted", "notRecommended": "not-recommended" } }, "values": { "Human": { "IP-species-checked": "testedAndGuaranteed", "IP-species-dilution-info": "", "IP-species-notes": "<p></p>", "WB-species-checked": "testedAndGuaranteed", "WB-species-dilution-info": "", "WB-species-notes": "<p></p>", "ICCIF-species-checked": "testedAndGuaranteed", "ICCIF-species-dilution-info": "", "ICCIF-species-notes": "<p></p>", "FlowCytIntra-species-checked": "testedAndGuaranteed", "FlowCytIntra-species-dilution-info": "", "FlowCytIntra-species-notes": "<p></p>", "IHCP-species-checked": "testedAndGuaranteed", "IHCP-species-dilution-info": "", "IHCP-species-notes": "<p></p> Perform heat-mediated antigen retrieval with Tris/EDTA buffer pH 9.0 before commencing with IHC staining protocol." } } }

Product details

ab239833 is the carrier-free version of ab40890.

Species reactivity
Mouse, Rat: We have preliminary internal testing data to indicate this antibody may not react with these species.
Please contact us for more information.

Patented technology
Our RabMAb® technology is a patented hybridoma-based technology for making rabbit monoclonal antibodies. For details on our patents, please refer to RabMAb® patents.

What are the advantages of a recombinant monoclonal antibody?
This product is a recombinant monoclonal antibody, which offers several advantages including:

  • - High batch-to-batch consistency and reproducibility
  • - Improved sensitivity and specificity
  • - Long-term security of supply
  • - Animal-free batch production

For more information, read more on recombinant antibodies.

Conjugation ready
Our carrier-free antibodies are typically supplied in a PBS-only formulation, purified and free of BSA, sodium azide and glycerol. This conjugation-ready format is designed for use with fluorochromes, metal isotopes, oligonucleotides, and enzymes, which makes them ideal for antibody labelling, functional and cell-based assays, flow-based assays (e.g. mass cytometry) and Multiplex Imaging applications.

Use our conjugation kits for antibody conjugates that are ready-to-use in as little as 20 minutes with 1 minute hands-on-time and 100% antibody recovery: available for fluorescent dyes, HRP, biotin and gold.

Compatibility
This product is compatible with the Maxpar® Antibody Labeling Kit from Fluidigm, without the need for antibody preparation. Maxpar® is a trademark of Fluidigm Canada Inc.

Properties and storage information

Form
Liquid
Purification technique
Affinity purification Protein A
Storage buffer
pH: 7.2 - 7.4 Constituents: PBS
Shipped at conditions
Blue Ice
Appropriate short-term storage conditions
+4°C
Appropriate long-term storage conditions
+4°C
Storage information
Do Not Freeze

Product protocols

For this product, it's our understanding that no specific protocols are required. You can visit:

Target data

Essential for the control of the cell cycle at the late G1 and early S phase.
See full target information Cyclin E2

Publications (1)

Recent publications for all applications. Explore the full list and refine your search

Antioxidants (Basel, Switzerland) 14: PubMed40563324

2025

Dynamic Transcriptomic and Cellular Remodeling Underlie Cuprizone-Induced Demyelination and Endogenous Repair in the CNS.

Applications

Unspecified application

Species

Unspecified reactive species

Yantuanjin Ma,Tianyi Liu,Zhipeng Li,Wei Wei,Qiting Zhao,Shufen Wang
View all publications

Product promise

We are committed to supporting your work with high-quality reagents, and we're here for you every step of the way. In the unlikely event that one of our products does not perform as expected, you're protected by our Product Promise.
For full details, please see our Terms & Conditions

Please note: All products are 'FOR RESEARCH USE ONLY. NOT FOR USE IN DIAGNOSTIC OR THERAPEUTIC PROCEDURES'.

For licensing inquiries, please contact partnerships@abcam.com