JavaScript is disabled in your browser. Please enable JavaScript to view this website.
AB92376

Anti-Cyclin H/p34 antibody [EPR3929]

Be the first to review this product! Submit a review

|

(4 Publications)

Rabbit Recombinant Monoclonal Cyclin H/p34 antibody. Suitable for IHC-P, Flow Cyt, WB, ICC/IF and reacts with Human, Mouse samples. Cited in 4 publications.

View Alternative Names

Cyclin-H, MO15-associated protein, p34, p37, CCNH

5 Images
Immunocytochemistry/ Immunofluorescence - Anti-Cyclin H/p34 antibody [EPR3929] (AB92376)
  • ICC/IF

Lab

Immunocytochemistry/ Immunofluorescence - Anti-Cyclin H/p34 antibody [EPR3929] (AB92376)

Immunocytochemistry analysis of HeLa (Human cervix adenocarcinoma epithelial cell) cells labeling Cyclin H/p34 with Purified ab92376 at 1/50 dilution (2.6 µg/mL). Cells were fixed in 4% Paraformaldehyde and permeabilized with 0.1% tritonX-100. Cells were counterstained with ab195889 Anti-alpha Tubulin antibody [DM1A] - Microtubule Marker (Alexa Fluor® 594) 1/200 (2.5 µg/mL). Goat anti rabbit IgG (Alexa Fluor® 488, ab150077) was used as the secondary antibody at 1/1000 (2 µg/mL) dilution. DAPI (blue) was used as nuclear counterstain. PBS instead of the primary antibody was used as the secondary antibody only control.

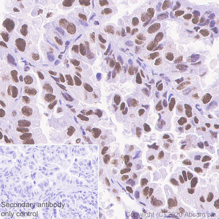
Immunohistochemistry (Formalin/PFA-fixed paraffin-embedded sections) - Anti-Cyclin H/p34 antibody [EPR3929] (AB92376)
  • IHC-P

Lab

Immunohistochemistry (Formalin/PFA-fixed paraffin-embedded sections) - Anti-Cyclin H/p34 antibody [EPR3929] (AB92376)

Immunohistochemistry (Formalin/PFA-fixed paraffin-embedded sections) analysis of human lung carcinoma tissue sections labeling Cyclin H/p34 with Purified ab92376 at 1/50 dilution (2.6 µg/mL). Heat mediated antigen retrieval was performed using Heat mediated antigen retrieval using Bond™ Epitope Retrieval Solution 2 (pH 9.0) . Tissue was counterstained with Hematoxylin. Rabbit specific IHC polymer detection kit HRP/DAB (ab209101) secondary antibody was used at 1/0 dilution. PBS instead of the primary antibody was used as the negative control. M3

Flow Cytometry - Anti-Cyclin H/p34 antibody [EPR3929] (AB92376)
  • Flow Cyt

Lab

Flow Cytometry - Anti-Cyclin H/p34 antibody [EPR3929] (AB92376)

Flow Cytometry analysis of Jurkat (Human T cell leukemia T lymphocyte) cells labelling Cyclin H/p34 with Purified ab92376 at 1 : 20 dilution (10 μg/ml) (Red). Cells were fixed with 4% Paraformaldehyde and permeabilised with 90% Methanol. A Goat anti rabbit IgG (Alexa Fluor™ 488, ab150077) secondary antibody was used at 1 : 2000. Isotype control - Rabbit monoclonal IgG (Black). Unlabelled control - Cell without incubation with primary antibody and secondary antibody (Blue).

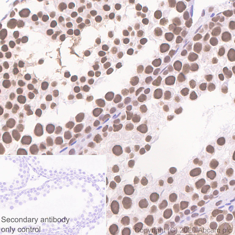
Immunohistochemistry (Formalin/PFA-fixed paraffin-embedded sections) - Anti-Cyclin H/p34 antibody [EPR3929] (AB92376)
  • IHC-P

Lab

Immunohistochemistry (Formalin/PFA-fixed paraffin-embedded sections) - Anti-Cyclin H/p34 antibody [EPR3929] (AB92376)

Immunohistochemistry (Formalin/PFA-fixed paraffin-embedded sections) analysis of mouse testis tissue sections labeling Cyclin H/p34 with Purified ab92376 at 1/50 dilution (2.6 µg/mL). Heat mediated antigen retrieval was performed using Heat mediated antigen retrieval using Bond™ Epitope Retrieval Solution 2 (pH 9.0) . Tissue was counterstained with Hematoxylin. Rabbit specific IHC polymer detection kit HRP/DAB (ab209101) secondary antibody was used at 1/0 dilution. PBS instead of the primary antibody was used as the negative control. M3

Western blot - Anti-Cyclin H/p34 antibody [EPR3929] (AB92376)
  • WB

Unknown

Western blot - Anti-Cyclin H/p34 antibody [EPR3929] (AB92376)

All lanes:

Western blot - Anti-Cyclin H/p34 antibody [EPR3929] (ab92376) at 1/1000 dilution

Lane 1:

Jurkat (Human T cell leukemia T lymphocyte) whole cell lysate

Lane 2:

HeLa (Human cervix adenocarcinoma epithelial cell) whole cell lysate

Lane 3:

A431 (Human epidermoid carcinoma epithelial cell) whole cell lysate

Lane 4:

K-562 (Human chronic myelogenous leukemia lymphoblast) whole cell lysate

Lane 5:

Mouse kidney lysate

Lane 6:

Mouse spleen lysate

Lane 7:

NIH/3T3 (Mouse embryonic fibroblast) whole cell lysate

Secondary

All lanes:

Western blot - Goat Anti-Rabbit IgG H&L (HRP) (<a href='/en-us/products/secondary-antibodies/goat-rabbit-igg-h-l-hrp-ab97051'>ab97051</a>) at 1/20000 dilution

Predicted band size: 38 kDa

Observed band size: 36 kDa

false

  • 775 Alexa Fluor® 750

    Alexa Fluor® 750 Anti-Cyclin H/p34 antibody [EPR3929]

  • Carrier free

    Anti-Cyclin H/p34 antibody [EPR3929] - BSA and Azide free

  • 660 APC

    APC Anti-Cyclin H antibody [EPR3929]

  • HRP

    HRP Anti-Cyclin H antibody [EPR3929]

  • 665 Alexa Fluor® 647

    Alexa Fluor® 647 Anti-Cyclin H antibody [EPR3929]

  • 519 Alexa Fluor® 488

    Alexa Fluor® 488 Anti-Cyclin H antibody [EPR3929]

  • 617 Alexa Fluor® 594

    Alexa Fluor® 594 Anti-Cyclin H antibody [EPR3929]

  • 603 Alexa Fluor® 568

    Alexa Fluor® 568 Anti-Cyclin H/p34 antibody [EPR3929]

  • 565 Alexa Fluor® 555

    Alexa Fluor® 555 Anti-Cyclin H antibody [EPR3929]

  • 578 PE

    PE Anti-Cyclin H antibody [EPR3929]

Key facts

Host species

Rabbit

Clonality

Monoclonal

Clone number

EPR3929

Isotype

IgG

Carrier free

No

Reacts with

Human, Mouse

Applications

Flow Cyt, IHC-P, ICC/IF, WB

applications

Immunogen

The exact immunogen used to generate this antibody is proprietary information.

Reactivity data

{ "title": "Reactivity Data", "filters": { "stats": ["", "Species", "Dilution Info", "Notes"], "tabs": { "all-applications": {"fullname" : "All Applications", "shortname": "All Applications"}, "IHCP" : {"fullname" : "Immunohistochemistry (Formalin/PFA-fixed paraffin-embedded sections)", "shortname":"IHC-P"}, "FlowCyt" : {"fullname" : "Flow Cytometry", "shortname":"Flow Cyt"}, "WB" : {"fullname" : "Western blot", "shortname":"WB"}, "ICCIF" : {"fullname" : "Immunocytochemistry/ Immunofluorescence", "shortname":"ICC/IF"} }, "product-promise": { "all": "all", "testedAndGuaranteed": "tested", "guaranteed": "expected", "predicted": "predicted", "notRecommended": "not-recommended" } }, "values": { "Human": { "IHCP-species-checked": "testedAndGuaranteed", "IHCP-species-dilution-info": "1/50 - 1/100", "IHCP-species-notes": "<p></p>", "FlowCyt-species-checked": "testedAndGuaranteed", "FlowCyt-species-dilution-info": "1/20", "FlowCyt-species-notes": "<p></p>", "WB-species-checked": "testedAndGuaranteed", "WB-species-dilution-info": "1/1000 - 1/10000", "WB-species-notes": "<p></p>", "ICCIF-species-checked": "testedAndGuaranteed", "ICCIF-species-dilution-info": "1/50 - 1/100", "ICCIF-species-notes": "<p></p>" }, "Mouse": { "IHCP-species-checked": "testedAndGuaranteed", "IHCP-species-dilution-info": "1/50 - 1/100", "IHCP-species-notes": "<p></p>", "FlowCyt-species-checked": "guaranteed", "FlowCyt-species-dilution-info": "", "FlowCyt-species-notes": "", "WB-species-checked": "testedAndGuaranteed", "WB-species-dilution-info": "1/1000 - 1/10000", "WB-species-notes": "<p></p>", "ICCIF-species-checked": "guaranteed", "ICCIF-species-dilution-info": "", "ICCIF-species-notes": "" } } }

Product details

We are constantly working hard to ensure we provide our customers with best in class antibodies. As a result of this work we are pleased to now offer this antibody in purified format. We are in the process of updating our datasheets. The purified format is designated 'PUR' on our product labels. If you have any questions regarding this update, please contact our Scientific Support team.

Patented technology
Our RabMAb® technology is a patented hybridoma-based technology for making rabbit monoclonal antibodies. For details on our patents, please refer to RabMAb® patents.

What are the advantages of a recombinant monoclonal antibody?
This product is a recombinant monoclonal antibody, which offers several advantages including:

  • - High batch-to-batch consistency and reproducibility
  • - Improved sensitivity and specificity
  • - Long-term security of supply
  • - Animal-free batch production

For more information, read more on recombinant antibodies.

Species reactivity
Rat: We have preliminary internal testing data to indicate this antibody may not react with this species.
Please contact us for more information.

Properties and storage information

Form
Liquid
Purification technique
Affinity purification Protein A
Storage buffer
pH: 7.2 - 7.4 Preservative: 0.01% Sodium azide Constituents: PBS, 40% Glycerol (glycerin, glycerine), 0.05% BSA
Shipped at conditions
Blue Ice
Appropriate short-term storage conditions
+4°C
Appropriate long-term storage conditions
-20°C
Aliquoting information
Upon delivery aliquot
Storage information
Avoid freeze / thaw cycle

Product protocols

For this product, it's our understanding that no specific protocols are required. You can visit:

Target data

Regulates CDK7, the catalytic subunit of the CDK-activating kinase (CAK) enzymatic complex. CAK activates the cyclin-associated kinases CDK1, CDK2, CDK4 and CDK6 by threonine phosphorylation. CAK complexed to the core-TFIIH basal transcription factor activates RNA polymerase II by serine phosphorylation of the repetitive C-terminal domain (CTD) of its large subunit (POLR2A), allowing its escape from the promoter and elongation of the transcripts. Involved in cell cycle control and in RNA transcription by RNA polymerase II. Its expression and activity are constant throughout the cell cycle.
See full target information Cyclin-H

Publications (4)

Recent publications for all applications. Explore the full list and refine your search

World journal of gastroenterology 26:1745-1757 PubMed32351291

2020

DNAH17-AS1 promotes pancreatic carcinoma by increasing PPME1 expression inhibition of miR-432-5p.

Applications

Unspecified application

Species

Unspecified reactive species

Tao Xu,Ting Lei,Si-Qiao Li,Er-Hui Mai,Fei-Hu Ding,Bin Niu

Gynecologic oncology 156:211-221 PubMed31776040

2019

CDK7 is a reliable prognostic factor and novel therapeutic target in epithelial ovarian cancer.

Applications

Unspecified application

Species

Unspecified reactive species

Jihye Kim,Young-Jae Cho,Ji-Yoon Ryu,Ilseon Hwang,Hee Dong Han,Hyung Jun Ahn,Woo Young Kim,Hanbyoul Cho,Joon-Yong Chung,Stephen M Hewitt,Jae-Hoon Kim,Byoung-Gie Kim,Duk-Soo Bae,Chel Hun Choi,Jeong-Won Lee

Oncogene 38:3616-3635 PubMed30651597

2019

Lineage-specific control of TFIIH by MITF determines transcriptional homeostasis and DNA repair.

Applications

Unspecified application

Species

Unspecified reactive species

Marcos Seoane,Sophia Buhs,Pablo Iglesias,Julia Strauss,Ann-Christin Puller,Jürgen Müller,Helwe Gerull,Susanne Feldhaus,Malik Alawi,Johanna M Brandner,Dennis Eggert,Jinyan Du,Jürgen Thomale,Peter J Wild,Martin Zimmermann,Thomas Sternsdorf,Udo Schumacher,Peter Nollau,David E Fisher,Martin A Horstmann

Journal of virology 85:11752-69 PubMed21900162

2011

RelA Ser276 phosphorylation-coupled Lys310 acetylation controls transcriptional elongation of inflammatory cytokines in respiratory syncytial virus infection.

Applications

WB

Species

Human

Allan R Brasier,B Tian,M Jamaluddin,Mridul K Kalita,Roberto P Garofalo,Muping Lu
View all publications

Product promise

We are committed to supporting your work with high-quality reagents, and we're here for you every step of the way. In the unlikely event that one of our products does not perform as expected, you're protected by our Product Promise.
For full details, please see our Terms & Conditions

Please note: All products are 'FOR RESEARCH USE ONLY. NOT FOR USE IN DIAGNOSTIC OR THERAPEUTIC PROCEDURES'.

For licensing inquiries, please contact partnerships@abcam.com