JavaScript is disabled in your browser. Please enable JavaScript to view this website.
AB85854

Anti-Cyclin K antibody

1

(1 Review)

|

(4 Publications)

Rabbit Polyclonal Cyclin K antibody. Suitable for IHC-P, IP, WB and reacts with Human, Mouse samples. Cited in 4 publications. Immunogen corresponding to Synthetic Peptide within Human CCNK aa 500 to C-terminus.

View Alternative Names

CPR4, CCNK, Cyclin-K

4 Images
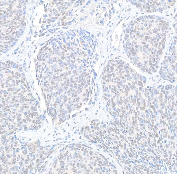
Immunohistochemistry (Formalin/PFA-fixed paraffin-embedded sections) - Anti-Cyclin K antibody (AB85854)
  • IHC-P

Supplier Data

Immunohistochemistry (Formalin/PFA-fixed paraffin-embedded sections) - Anti-Cyclin K antibody (AB85854)

Immunohistochemical analysis of Formalin/PFA-fixed paraffin-embedded human lung carcinoma sections labeling Cyclin K with ab85854 at a dilution of 1/5000 (0.2 μg/mL). Detection : DAB

Immunoprecipitation - Anti-Cyclin K antibody (AB85854)
  • IP

Supplier Data

Immunoprecipitation - Anti-Cyclin K antibody (AB85854)

Detection of human Cyclin K by western blot of immunoprecipitates. Samples : Whole cell lysate (1.0 mg per IP reaction; 20% of IP loaded) from HEK293T cells prepared using NETN lysis buffer. Antibodies : Affinity purified rabbit anti-Cyclin K antibody ab85854 used for IP at 6 μg per reaction. Cyclin K was also immunoprecipitated by a previous lot of this antibody. For blotting immunoprecipitated Cyclin K, ab85854 was used at 0.04 μg/mL. Detection : Chemiluminescence with an exposure time of 10 seconds.

All lanes:

Immunoprecipitation - Anti-Cyclin K antibody (ab85854)

Predicted band size: 64 kDa

false

Western blot - Anti-Cyclin K antibody (AB85854)
  • WB

Supplier Data

Western blot - Anti-Cyclin K antibody (AB85854)

Detection : Chemiluminescence

Cells prepared using NETN lysis buffer

All lanes:

Western blot - Anti-Cyclin K antibody (ab85854) at 0.04 µg/mL

Lane 1:

HEK-293T (Human epithelial cell line from embryonic kidney transformed with large T antigen) whole cell lysate at 50 µg

Lane 2:

MCF7 (Human breast adenocarcinoma cell line) whole cell lysate at 50 µg

Lane 3:

Jurkat (Human T cell leukemia cell line from peripheral blood) whole cell lysate at 50 µg

Lane 4:

HeLa (Human epithelial cell line from cervix adenocarcinoma) whole cell lysate at 50 µg

Lane 5:

HepG2 (Human liver hepatocellular carcinoma cell line) whole cell lysate at 50 µg

Predicted band size: 64 kDa

false

Exposure time: 75s

Western blot - Anti-Cyclin K antibody (AB85854)
  • WB

Supplier Data

Western blot - Anti-Cyclin K antibody (AB85854)

Detection : Chemiluminescence
Cells prepared using NETN lysis buffer

All lanes:

Western blot - Anti-Cyclin K antibody (ab85854) at 0.04 µg/mL

Lane 1:

NIH3T3 whole cell lysate at 50 µg

Lane 2:

CH27 whole cell lysate at 50 µg

Lane 3:

TCMK-1 whole cell lysate at 50 µg

Lane 4:

BW5147.3 whole cell lysate at 50 µg

Lane 5:

CT26 whole cell lysate at 50 µg

Predicted band size: 64 kDa

false

Exposure time: 30s

Key facts

Host species

Rabbit

Clonality

Polyclonal

Isotype

IgG

Carrier free

No

Reacts with

Mouse, Human

Applications

WB, IHC-P, IP

applications

Immunogen

Synthetic Peptide within Human CCNK aa 500 to C-terminus. The exact immunogen used to generate this antibody is proprietary information.

O75909

Reactivity data

{ "title": "Reactivity Data", "filters": { "stats": ["", "Species", "Dilution Info", "Notes"], "tabs": { "all-applications": {"fullname" : "All Applications", "shortname": "All Applications"}, "IHCP" : {"fullname" : "Immunohistochemistry (Formalin/PFA-fixed paraffin-embedded sections)", "shortname":"IHC-P"}, "IP" : {"fullname" : "Immunoprecipitation", "shortname":"IP"}, "WB" : {"fullname" : "Western blot", "shortname":"WB"} }, "product-promise": { "all": "all", "testedAndGuaranteed": "tested", "guaranteed": "expected", "predicted": "predicted", "notRecommended": "not-recommended" } }, "values": { "Human": { "IHCP-species-checked": "testedAndGuaranteed", "IHCP-species-dilution-info": "1/1000 - 1/5000", "IHCP-species-notes": "<p></p> Perform heat-mediated antigen retrieval with citrate buffer pH 6 before commencing with IHC staining protocol.", "IP-species-checked": "testedAndGuaranteed", "IP-species-dilution-info": "2-10 µg/mg of lysate", "IP-species-notes": "<p></p>", "WB-species-checked": "testedAndGuaranteed", "WB-species-dilution-info": "1/2000 - 1/10000", "WB-species-notes": "<p></p>" }, "Mouse": { "IHCP-species-checked": "guaranteed", "IHCP-species-dilution-info": "", "IHCP-species-notes": "", "IP-species-checked": "guaranteed", "IP-species-dilution-info": "", "IP-species-notes": "", "WB-species-checked": "testedAndGuaranteed", "WB-species-dilution-info": "1/2000 - 1/10000", "WB-species-notes": "<p></p>" }, "Rat": { "IHCP-species-checked": "predicted", "IHCP-species-dilution-info": "", "IHCP-species-notes": "", "IP-species-checked": "predicted", "IP-species-dilution-info": "", "IP-species-notes": "", "WB-species-checked": "predicted", "WB-species-dilution-info": "", "WB-species-notes": "" }, "Chimpanzee": { "IHCP-species-checked": "predicted", "IHCP-species-dilution-info": "", "IHCP-species-notes": "", "IP-species-checked": "predicted", "IP-species-dilution-info": "", "IP-species-notes": "", "WB-species-checked": "predicted", "WB-species-dilution-info": "", "WB-species-notes": "" }, "Cow": { "IHCP-species-checked": "predicted", "IHCP-species-dilution-info": "", "IHCP-species-notes": "", "IP-species-checked": "predicted", "IP-species-dilution-info": "", "IP-species-notes": "", "WB-species-checked": "predicted", "WB-species-dilution-info": "", "WB-species-notes": "" }, "Dog": { "IHCP-species-checked": "predicted", "IHCP-species-dilution-info": "", "IHCP-species-notes": "", "IP-species-checked": "predicted", "IP-species-dilution-info": "", "IP-species-notes": "", "WB-species-checked": "predicted", "WB-species-dilution-info": "", "WB-species-notes": "" }, "Elephant": { "IHCP-species-checked": "predicted", "IHCP-species-dilution-info": "", "IHCP-species-notes": "", "IP-species-checked": "predicted", "IP-species-dilution-info": "", "IP-species-notes": "", "WB-species-checked": "predicted", "WB-species-dilution-info": "", "WB-species-notes": "" }, "Guinea pig": { "IHCP-species-checked": "predicted", "IHCP-species-dilution-info": "", "IHCP-species-notes": "", "IP-species-checked": "predicted", "IP-species-dilution-info": "", "IP-species-notes": "", "WB-species-checked": "predicted", "WB-species-dilution-info": "", "WB-species-notes": "" }, "Opossum": { "IHCP-species-checked": "predicted", "IHCP-species-dilution-info": "", "IHCP-species-notes": "", "IP-species-checked": "predicted", "IP-species-dilution-info": "", "IP-species-notes": "", "WB-species-checked": "predicted", "WB-species-dilution-info": "", "WB-species-notes": "" }, "Pig": { "IHCP-species-checked": "predicted", "IHCP-species-dilution-info": "", "IHCP-species-notes": "", "IP-species-checked": "predicted", "IP-species-dilution-info": "", "IP-species-notes": "", "WB-species-checked": "predicted", "WB-species-dilution-info": "", "WB-species-notes": "" }, "Rhesus monkey": { "IHCP-species-checked": "predicted", "IHCP-species-dilution-info": "", "IHCP-species-notes": "", "IP-species-checked": "predicted", "IP-species-dilution-info": "", "IP-species-notes": "", "WB-species-checked": "predicted", "WB-species-dilution-info": "", "WB-species-notes": "" } } }

Properties and storage information

Form
Liquid
Purification technique
Affinity purification Immunogen
Purification notes
ab85854 was affinity purified using an epitope specific to Cyclin K immobilized on solid support.
Storage buffer
pH: 7 - 8 Preservative: 0.09% Sodium azide Constituents: Tris citrate/phosphate
Shipped at conditions
Blue Ice
Appropriate short-term storage conditions
+4°C
Appropriate long-term storage conditions
+4°C
Aliquoting information
Upon delivery aliquot
Storage information
Avoid freeze / thaw cycle

Product protocols

For this product, it's our understanding that no specific protocols are required. You can visit:

Target data

Regulatory subunit of cyclin-dependent kinases that mediates activation of target kinases. Plays a role in transcriptional regulation via its role in regulating the phosphorylation of the C-terminal domain (CTD) of the large subunit of RNA polymerase II (POLR2A).
See full target information CCNK

Publications (4)

Recent publications for all applications. Explore the full list and refine your search

PLoS pathogens 21:e1013023 PubMed41066524

2025

Murine leukemia virus glycoGag antagonizes SERINC5 via ER-phagy receptor RETREG1.

Applications

Unspecified application

Species

Unspecified reactive species

Iqbal Ahmad,Jing Zhang,Rongrong Li,Wenqiang Su,Weiqi Liu,You Wu,Ilyas Khan,Xiaomeng Liu,Lian-Feng Li,Sunan Li,Yong-Hui Zheng

Vaccines 9: PubMed34696162

2021

HSV-1 ICP22 Is a Selective Viral Repressor of Cellular RNA Polymerase II-Mediated Transcription Elongation.

Applications

Unspecified application

Species

Unspecified reactive species

Nur Firdaus Isa,Olivier Bensaude,Nadiah C Aziz,Shona Murphy

Cell reports 36:109514 PubMed34380030

2021

HIV-1 Nef interacts with the cyclin K/CDK13 complex to antagonize SERINC5 for optimal viral infectivity.

Applications

Unspecified application

Species

Unspecified reactive species

Qingqing Chai,Sunan Li,Morgan K Collins,Rongrong Li,Iqbal Ahmad,Silas F Johnson,Dylan A Frabutt,Zhichang Yang,Xiaojing Shen,Liangliang Sun,Jian Hu,Judd F Hultquist,B Matija Peterlin,Yong-Hui Zheng

Oncology reports 44:2735-2745 PubMed33125156

2020

ARHGAP29 expression may be a novel prognostic factor of cell proliferation and invasion in prostate cancer.

Applications

Unspecified application

Species

Unspecified reactive species

Kosuke Shimizu,Hiroaki Matsumoto,Hiroshi Hirata,Koji Ueno,Masahiro Samoto,Junichi Mori,Nakanori Fujii,Yoshihisa Kawai,Ryo Inoue,Yoshiaki Yamamoto,Seiji Yano,Tomoyuki Shimabukuro,Makoto Furutani-Seiki,Hideyasu Matsuyama
View all publications

Product promise

We are committed to supporting your work with high-quality reagents, and we're here for you every step of the way. In the unlikely event that one of our products does not perform as expected, you're protected by our Product Promise.
For full details, please see our Terms & Conditions

Please note: All products are 'FOR RESEARCH USE ONLY. NOT FOR USE IN DIAGNOSTIC OR THERAPEUTIC PROCEDURES'.

For licensing inquiries, please contact partnerships@abcam.com