JavaScript is disabled in your browser. Please enable JavaScript to view this website.
AB264326

Anti-Cyclin T1 antibody

Be the first to review this product! Submit a review

|

(1 Publication)

Rabbit Polyclonal Cyclin T1 antibody. Suitable for IP, WB, IHC-P and reacts with Human samples. Cited in 1 publication. Immunogen corresponding to Synthetic Peptide within Human CCNT1 aa 400-500.

View Alternative Names

Cyclin-T1, CycT1, Cyclin-T, CCNT1

3 Images
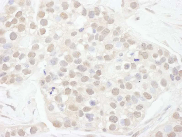
Immunohistochemistry (Formalin/PFA-fixed paraffin-embedded sections) - Anti-Cyclin T1 antibody (AB264326)
  • IHC-P

Unknown

Immunohistochemistry (Formalin/PFA-fixed paraffin-embedded sections) - Anti-Cyclin T1 antibody (AB264326)

Immunohistochemical analysis of formalin-fixed, paraffin-embedded human breast carcinoma tissue labeling Cyclin T1 with ab264326 at 1/200 dilution. Detection : DAB.

Immunoprecipitation - Anti-Cyclin T1 antibody (AB264326)
  • IP

Supplier Data

Immunoprecipitation - Anti-Cyclin T1 antibody (AB264326)

Cyclin T1 was immunoprecipitated from 1mg of HeLa (Human epithelial cell line from cervix adenocarcinoma) whole cell lysate with ab264326 at 6 μg/mg lysate. Western blot was performed from the immunoprecipitate using ab264326 at 1 μg/ml.

Lane 1 : ab264326 IP in HeLa whole cell lysate.
Lane 2 : Control IgG.

Exposure time : 3 secs.

All lanes:

Immunoprecipitation - Anti-Cyclin T1 antibody (ab264326)

Predicted band size: 81 kDa

false

Western blot - Anti-Cyclin T1 antibody (AB264326)
  • WB

Supplier Data

Western blot - Anti-Cyclin T1 antibody (AB264326)

4-8% SDS-PAGE

All lanes:

Western blot - Anti-Cyclin T1 antibody (ab264326) at 0.04 µg/mL

Lane 1:

HeLa whole cell lysate at 50 µg

Lane 2:

HeLa whole cell lysate at 15 µg

Lane 3:

HEK-293T whole cell lysate at 50 µg

Predicted band size: 81 kDa

false

Exposure time: 30s

Key facts

Host species

Rabbit

Clonality

Polyclonal

Isotype

IgG

Carrier free

No

Reacts with

Human

Applications

IP, IHC-P, WB

applications

Immunogen

Synthetic Peptide within Human CCNT1 aa 400-500. The exact immunogen used to generate this antibody is proprietary information.

O60563

Reactivity data

{ "title": "Reactivity Data", "filters": { "stats": ["", "Species", "Dilution Info", "Notes"], "tabs": { "all-applications": {"fullname" : "All Applications", "shortname": "All Applications"}, "IP" : {"fullname" : "Immunoprecipitation", "shortname":"IP"}, "WB" : {"fullname" : "Western blot", "shortname":"WB"}, "IHCP" : {"fullname" : "Immunohistochemistry (Formalin/PFA-fixed paraffin-embedded sections)", "shortname":"IHC-P"} }, "product-promise": { "all": "all", "testedAndGuaranteed": "tested", "guaranteed": "expected", "predicted": "predicted", "notRecommended": "not-recommended" } }, "values": { "Human": { "IP-species-checked": "testedAndGuaranteed", "IP-species-dilution-info": "2-10 µg/mg of lysate", "IP-species-notes": "<p></p>", "WB-species-checked": "testedAndGuaranteed", "WB-species-dilution-info": "1/2000 - 1/10000", "WB-species-notes": "<p></p>", "IHCP-species-checked": "testedAndGuaranteed", "IHCP-species-dilution-info": "1/100 - 1/500", "IHCP-species-notes": "<p>Epitope retrieval with citrate buffer pH 6.0 is recommended for FFPE tissue sections.</p>" }, "Chimpanzee": { "IP-species-checked": "predicted", "IP-species-dilution-info": "", "IP-species-notes": "", "WB-species-checked": "predicted", "WB-species-dilution-info": "", "WB-species-notes": "", "IHCP-species-checked": "predicted", "IHCP-species-dilution-info": "", "IHCP-species-notes": "" }, "Cow": { "IP-species-checked": "predicted", "IP-species-dilution-info": "", "IP-species-notes": "", "WB-species-checked": "predicted", "WB-species-dilution-info": "", "WB-species-notes": "", "IHCP-species-checked": "predicted", "IHCP-species-dilution-info": "", "IHCP-species-notes": "" }, "Horse": { "IP-species-checked": "predicted", "IP-species-dilution-info": "", "IP-species-notes": "", "WB-species-checked": "predicted", "WB-species-dilution-info": "", "WB-species-notes": "", "IHCP-species-checked": "predicted", "IHCP-species-dilution-info": "", "IHCP-species-notes": "" } } }

Properties and storage information

Form
Liquid
Purification technique
Affinity purification Immunogen
Storage buffer
pH: 6.8 - 7.4 Preservative: 0.09% Sodium azide Constituents: Tris buffered saline, 0.1% BSA
Shipped at conditions
Blue Ice
Appropriate short-term storage duration
1-2 weeks
Appropriate short-term storage conditions
+4°C
Appropriate long-term storage conditions
-20°C
Aliquoting information
Upon delivery aliquot
Storage information
Avoid freeze / thaw cycle

Product protocols

For this product, it's our understanding that no specific protocols are required. You can visit:

Target data

Regulatory subunit of the cyclin-dependent kinase pair (CDK9/cyclin-T1) complex, also called positive transcription elongation factor B (P-TEFb), which facilitates the transition from abortive to productive elongation by phosphorylating the CTD (C-terminal domain) of the large subunit of RNA polymerase II (RNA Pol II) (PubMed : 16109376, PubMed : 16109377, PubMed : 30134174, PubMed : 35393539). Required to activate the protein kinase activity of CDK9 : acts by mediating formation of liquid-liquid phase separation (LLPS) that enhances binding of P-TEFb to the CTD of RNA Pol II (PubMed : 29849146, PubMed : 35393539).. (Microbial infection) In case of HIV or SIV infections, binds to the transactivation domain of the viral nuclear transcriptional activator, Tat, thereby increasing Tat's affinity for the transactivating response RNA element (TAR RNA). Serves as an essential cofactor for Tat, by promoting RNA Pol II activation, allowing transcription of viral genes.
See full target information CCNT1

Publications (1)

Recent publications for all applications. Explore the full list and refine your search

Acta biochimica et biophysica Sinica 57:805-817 PubMed39574164

2024

secretory protein VceA promotes FOXO1 entry into the nucleus to shift host cell metabolism toward glycolysis.

Applications

Unspecified application

Species

Unspecified reactive species

Shuzhu Cao,Xinxin Han,Xingmei Deng,Jia Guo,Liangbo Liu,Yu Zhang,Maratbek Suleimenov,Tianyi Zhao,Wei Li,Jian Ding,Songsong Xie,Hui Zhang
View all publications

Product promise

We are committed to supporting your work with high-quality reagents, and we're here for you every step of the way. In the unlikely event that one of our products does not perform as expected, you're protected by our Product Promise.
For full details, please see our Terms & Conditions

Please note: All products are 'FOR RESEARCH USE ONLY. NOT FOR USE IN DIAGNOSTIC OR THERAPEUTIC PROCEDURES'.

For licensing inquiries, please contact partnerships@abcam.com