JavaScript is disabled in your browser. Please enable JavaScript to view this website.
AB238940

Anti-Cyclin T1 antibody [EPR17982] - BSA and Azide free

Be the first to review this product! Submit a review

|

(5 Publications)

Rabbit Recombinant Monoclonal Cyclin T1 antibody. Carrier free. Suitable for IP, WB, ICC/IF, Flow Cyt (Intra), IHC-P and reacts with Rat, Human, Mouse samples. Cited in 5 publications.

View Alternative Names

Cyclin-T1, CycT1, Cyclin-T, CCNT1

6 Images
Immunocytochemistry/ Immunofluorescence - Anti-Cyclin T1 antibody [EPR17982] - BSA and Azide free (AB238940)
  • ICC/IF

Lab

Immunocytochemistry/ Immunofluorescence - Anti-Cyclin T1 antibody [EPR17982] - BSA and Azide free (AB238940)

ab184703 staining Cyclin T1 in Jurkat (human T cell leukemia T lymphocyte). Cells were fixed with 100% Methanol. Samples were incubated with primary antibody at 1/100 dilution (6.4µg/ml). An Alexa Fluor® 488 Goat anti-rabbit (ab150077) was used as the secondary antibody at 1/1000 dilution (2 μg/ml). ab195888, anti-alpha Tubulin [DM1A] – Microtubule Marker (Alexa Fluor® 594) was used as counterstain antibody at 1/200 dilution (2.5 μg/ml). DAPI was used as a nuclear counterstain. Confocal image showing nuclear staining in Jurkat cell line.

This data was developed using the same antibody clone in a different buffer formulation containing PBS, BSA, glycerol, and sodium azide (ab184703).

Immunocytochemistry/ Immunofluorescence - Anti-Cyclin T1 antibody [EPR17982] - BSA and Azide free (AB238940)
  • ICC/IF

Lab

Immunocytochemistry/ Immunofluorescence - Anti-Cyclin T1 antibody [EPR17982] - BSA and Azide free (AB238940)

ab184703 staining Cyclin T1 in MCF7 (human breast adenocarcinoma epithelial cell). Cells were fixed with 100% Methanol. Samples were incubated with primary antibody at 1 : 100 dilution (6.4 μg/ml). An Alexa Fluor® 488 Goat anti-rabbit (ab150077) was used as the secondary antibody at 1/1000 dilution (2 μg/ml). ab195888, anti-alpha Tubulin [DM1A] – Microtubule Marker (Alexa Fluor® 594) was used as counterstain antibody at 1/200 dilution (2.5 μg/ml). DAPI was used as a nuclear counterstain. Confocal image showing nuclear staining in MCF7 cell line.

This data was developed using the same antibody clone in a different buffer formulation containing PBS, BSA, glycerol, and sodium azide (ab184703).

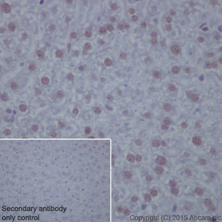
Immunohistochemistry (Formalin/PFA-fixed paraffin-embedded sections) - Anti-Cyclin T1 antibody [EPR17982] - BSA and Azide free (AB238940)
  • IHC-P

Supplier Data

Immunohistochemistry (Formalin/PFA-fixed paraffin-embedded sections) - Anti-Cyclin T1 antibody [EPR17982] - BSA and Azide free (AB238940)

Immunohistochemical analysis of paraffin-embedded Mouse liver tissue labeling Cyclin T1 with ab184703 at 1/250 dilution, followed by Goat Anti-Rabbit IgG H&L (HRP) (ab97051) at 1/500 dilution. Nucleus staining on hepatocytes of mouse liver is observed. Counter stained with Hematoxylin.

Secondary antibody only control : Used PBS instead of primary antibody, secondary antibody is Goat Anti-Rabbit IgG H&L (HRP) (ab97051) at 1/500 dilution.

This data was developed using the same antibody clone in a different buffer formulation containing PBS, BSA, glycerol, and sodium azide (ab184703).

Heat mediated antigen retrieval was performed with Tris/EDTA buffer pH 9.0 before commencing with IHC staining protocol.

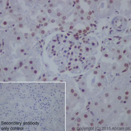
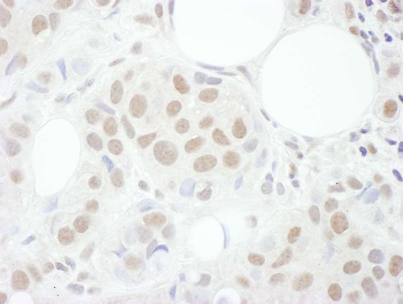
Immunohistochemistry (Formalin/PFA-fixed paraffin-embedded sections) - Anti-Cyclin T1 antibody [EPR17982] - BSA and Azide free (AB238940)
  • IHC-P

Supplier Data

Immunohistochemistry (Formalin/PFA-fixed paraffin-embedded sections) - Anti-Cyclin T1 antibody [EPR17982] - BSA and Azide free (AB238940)

Immunohistochemical analysis of paraffin-embedded Rat kidney tissue labeling Cyclin T1 with ab184703 at 1/250 dilution, followed by Goat Anti-Rabbit IgG H&L (HRP) (ab97051) at 1/500 dilution. Nucleus staining on rat kidney is observed. Counter stained with Hematoxylin.

Secondary antibody only control : Used PBS instead of primary antibody, secondary antibody is Goat Anti-Rabbit IgG H&L (HRP) (ab97051) at 1/500 dilution.

This data was developed using the same antibody clone in a different buffer formulation containing PBS, BSA, glycerol, and sodium azide (ab184703).

Heat mediated antigen retrieval was performed with Tris/EDTA buffer pH 9.0 before commencing with IHC staining protocol.

Flow Cytometry (Intracellular) - Anti-Cyclin T1 antibody [EPR17982] - BSA and Azide free (AB238940)
  • Flow Cyt (Intra)

Supplier Data

Flow Cytometry (Intracellular) - Anti-Cyclin T1 antibody [EPR17982] - BSA and Azide free (AB238940)

Intracellular flow cytometric analysis of 4% paraformaldehyde-fixed NIH/3T3 (Mouse embryonic fibroblast cell line) cells labeling Cyclin T1 with ab184703 at 1/120 dilution (red) compared with a Rabbit IgG,monoclonal [EPR17982] - Isotype Control (ab172730; black) and an unlabelled control (cells without incubation with primary antibody and secondary antibody; blue). Goat anti rabbit IgG (FITC) at 1/500 dilution was used as the secondary antibody.

This data was developed using the same antibody clone in a different buffer formulation containing PBS, BSA, glycerol, and sodium azide (ab184703).

Immunoprecipitation - Anti-Cyclin T1 antibody [EPR17982] - BSA and Azide free (AB238940)
  • IP

Supplier Data

Immunoprecipitation - Anti-Cyclin T1 antibody [EPR17982] - BSA and Azide free (AB238940)

Cyclin T1 was immunoprecipitated from 1mg of PC-12 (Rat adrenal gland pheochromocytoma cell line) whole cell lysate with ab184703 at 1/40 dilution. Western blot was performed from the immunoprecipitate using ab184703 at 1/1000 dilution. VeriBlot for IP Detection Reagent (HRP) (ab131366), was used for detection at 1/10000 dilution.
Lane 1 : PC-12 whole cell lysate 10μg (Input).
Lane 2 : ab184703 IP in PC-12 whole cell lysate.
Lane 3 : Rabbit IgG,monoclonal [EPR17982] - Isotpe Control (ab172730) instead of ab184703 in PC-12 whole cell lysate.
Blocking and dilution buffer and concentration : 5% NFDM/TBST.
Exposure time : 30 seconds.

This data was developed using the same antibody clone in a different buffer formulation containing PBS, BSA, glycerol, and sodium azide (ab184703).

All lanes:

Immunoprecipitation - Anti-Cyclin T1 antibody [EPR17982] (<a href='/en-us/products/primary-antibodies/cyclin-t1-antibody-epr17982-ab184703'>ab184703</a>)

Predicted band size: 81 kDa

false

Key facts

Host species

Rabbit

Clonality

Monoclonal

Clone number

EPR17982

Isotype

IgG

Carrier free

Yes

Reacts with

Mouse, Rat, Human

Applications

IHC-P, WB, IP, ICC/IF, Flow Cyt (Intra)

applications

Immunogen

The exact immunogen used to generate this antibody is proprietary information.

Specificity

Note that the antibody detects the target protein from human cell lysates but not tissue lysates.

Reactivity data

{ "title": "Reactivity Data", "filters": { "stats": ["", "Species", "Dilution Info", "Notes"], "tabs": { "all-applications": {"fullname" : "All Applications", "shortname": "All Applications"}, "IP" : {"fullname" : "Immunoprecipitation", "shortname":"IP"}, "WB" : {"fullname" : "Western blot", "shortname":"WB"}, "ICCIF" : {"fullname" : "Immunocytochemistry/ Immunofluorescence", "shortname":"ICC/IF"}, "FlowCytIntra" : {"fullname" : "Flow Cytometry (Intracellular)", "shortname":"Flow Cyt (Intra)"}, "IHCP" : {"fullname" : "Immunohistochemistry (Formalin/PFA-fixed paraffin-embedded sections)", "shortname":"IHC-P"} }, "product-promise": { "all": "all", "testedAndGuaranteed": "tested", "guaranteed": "expected", "predicted": "predicted", "notRecommended": "not-recommended" } }, "values": { "Human": { "IP-species-checked": "guaranteed", "IP-species-dilution-info": "", "IP-species-notes": "", "WB-species-checked": "guaranteed", "WB-species-dilution-info": "", "WB-species-notes": "<p></p>", "ICCIF-species-checked": "testedAndGuaranteed", "ICCIF-species-dilution-info": "", "ICCIF-species-notes": "<p></p>", "FlowCytIntra-species-checked": "guaranteed", "FlowCytIntra-species-dilution-info": "", "FlowCytIntra-species-notes": "", "IHCP-species-checked": "guaranteed", "IHCP-species-dilution-info": "", "IHCP-species-notes": "" }, "Mouse": { "IP-species-checked": "guaranteed", "IP-species-dilution-info": "", "IP-species-notes": "", "WB-species-checked": "guaranteed", "WB-species-dilution-info": "", "WB-species-notes": "<p></p>", "ICCIF-species-checked": "guaranteed", "ICCIF-species-dilution-info": "", "ICCIF-species-notes": "", "FlowCytIntra-species-checked": "testedAndGuaranteed", "FlowCytIntra-species-dilution-info": "", "FlowCytIntra-species-notes": "<p></p>", "IHCP-species-checked": "testedAndGuaranteed", "IHCP-species-dilution-info": "", "IHCP-species-notes": "<p>The IHC application is recommended for mouse and rat only.</p>" }, "Rat": { "IP-species-checked": "testedAndGuaranteed", "IP-species-dilution-info": "", "IP-species-notes": "<p></p>", "WB-species-checked": "guaranteed", "WB-species-dilution-info": "", "WB-species-notes": "<p></p>", "ICCIF-species-checked": "guaranteed", "ICCIF-species-dilution-info": "", "ICCIF-species-notes": "", "FlowCytIntra-species-checked": "guaranteed", "FlowCytIntra-species-dilution-info": "", "FlowCytIntra-species-notes": "", "IHCP-species-checked": "guaranteed", "IHCP-species-dilution-info": "", "IHCP-species-notes": "" } } }

Product details

ab238940 is the carrier-free version of ab184703.

Patented technology
Our RabMAb® technology is a patented hybridoma-based technology for making rabbit monoclonal antibodies. For details on our patents, please refer to RabMAb® patents.

What are the advantages of a recombinant monoclonal antibody?
This product is a recombinant monoclonal antibody, which offers several advantages including:

  • - High batch-to-batch consistency and reproducibility
  • - Improved sensitivity and specificity
  • - Long-term security of supply
  • - Animal-free batch production

For more information, read more on recombinant antibodies.

Conjugation ready
Our carrier-free antibodies are typically supplied in a PBS-only formulation, purified and free of BSA, sodium azide and glycerol. This conjugation-ready format is designed for use with fluorochromes, metal isotopes, oligonucleotides, and enzymes, which makes them ideal for antibody labelling, functional and cell-based assays, flow-based assays (e.g. mass cytometry) and Multiplex Imaging applications.

Use our conjugation kits for antibody conjugates that are ready-to-use in as little as 20 minutes with 1 minute hands-on-time and 100% antibody recovery: available for fluorescent dyes, HRP, biotin and gold.

Compatibility
This product is compatible with the Maxpar® Antibody Labeling Kit from Fluidigm, without the need for antibody preparation. Maxpar® is a trademark of Fluidigm Canada Inc.

Properties and storage information

Form
Liquid
Purification technique
Affinity purification Protein A
Storage buffer
pH: 7.2 - 7.4 Constituents: PBS
Shipped at conditions
Blue Ice
Appropriate short-term storage conditions
+4°C
Appropriate long-term storage conditions
+4°C
Storage information
Do Not Freeze

Product protocols

For this product, it's our understanding that no specific protocols are required. You can visit:

Target data

Regulatory subunit of the cyclin-dependent kinase pair (CDK9/cyclin-T1) complex, also called positive transcription elongation factor B (P-TEFb), which facilitates the transition from abortive to productive elongation by phosphorylating the CTD (C-terminal domain) of the large subunit of RNA polymerase II (RNA Pol II) (PubMed : 16109376, PubMed : 16109377, PubMed : 30134174, PubMed : 35393539). Required to activate the protein kinase activity of CDK9 : acts by mediating formation of liquid-liquid phase separation (LLPS) that enhances binding of P-TEFb to the CTD of RNA Pol II (PubMed : 29849146, PubMed : 35393539).. (Microbial infection) In case of HIV or SIV infections, binds to the transactivation domain of the viral nuclear transcriptional activator, Tat, thereby increasing Tat's affinity for the transactivating response RNA element (TAR RNA). Serves as an essential cofactor for Tat, by promoting RNA Pol II activation, allowing transcription of viral genes.
See full target information CCNT1

Publications (5)

Recent publications for all applications. Explore the full list and refine your search

Nature genetics 57:1142-1154 PubMed40229600

2025

Longitudinal single-cell multiomic atlas of high-risk neuroblastoma reveals chemotherapy-induced tumor microenvironment rewiring.

Applications

Unspecified application

Species

Unspecified reactive species

Wenbao Yu,Rumeysa Biyik-Sit,Yasin Uzun,Chia-Hui Chen,Anusha Thadi,Jonathan H Sussman,Minxing Pang,Chi-Yun Wu,Liron D Grossmann,Peng Gao,David W Wu,Aliza Yousey,Mei Zhang,Christina S Turn,Zhan Zhang,Shovik Bandyopadhyay,Jeffrey Huang,Tasleema Patel,Changya Chen,Daniel Martinez,Lea F Surrey,Michael D Hogarty,Kathrin Bernt,Nancy R Zhang,John M Maris,Kai Tan

Frontiers in cardiovascular medicine 9:948281 PubMed36337898

2022

HRas and Myc synergistically induce cell cycle progression and apoptosis of murine cardiomyocytes.

Applications

Unspecified application

Species

Unspecified reactive species

Aleksandra Boikova,Megan J Bywater,Gregory A Quaife-Ryan,Jasmin Straube,Lucy Thompson,Camilla Ascanelli,Trevor D Littlewood,Gerard I Evan,James E Hudson,Catherine H Wilson

Molecular cell 81:2944-2959.e10 PubMed34166609

2021

Nascent RNA antagonizes the interaction of a set of regulatory proteins with chromatin.

Applications

Unspecified application

Species

Unspecified reactive species

Lenka Skalska,Victoria Begley,Manuel Beltran,Saulius Lukauskas,Garima Khandelwal,Peter Faull,Amandeep Bhamra,Manuel Tavares,Rachel Wellman,Andrey Tvardovskiy,Benjamin M Foster,Igor Ruiz de Los Mozos,Javier Herrero,Silvia Surinova,Ambrosius P Snijders,Till Bartke,Richard G Jenner

Nature biotechnology 39:225-235 PubMed32839564

2020

Direct DNA crosslinking with CAP-C uncovers transcription-dependent chromatin organization at high resolution.

Applications

Unspecified application

Species

Unspecified reactive species

Qiancheng You,Anthony Youzhi Cheng,Xi Gu,Bryan T Harada,Miao Yu,Tong Wu,Bing Ren,Zhengqing Ouyang,Chuan He

Nature communications 11:1827 PubMed32286286

2020

Reactivation of Myc transcription in the mouse heart unlocks its proliferative capacity.

Applications

Unspecified application

Species

Unspecified reactive species

Megan J Bywater,Deborah L Burkhart,Jasmin Straube,Arianna Sabò,Vera Pendino,James E Hudson,Gregory A Quaife-Ryan,Enzo R Porrello,James Rae,Robert G Parton,Theresia R Kress,Bruno Amati,Trevor D Littlewood,Gerard I Evan,Catherine H Wilson
View all publications

Product promise

We are committed to supporting your work with high-quality reagents, and we're here for you every step of the way. In the unlikely event that one of our products does not perform as expected, you're protected by our Product Promise.
For full details, please see our Terms & Conditions

Please note: All products are 'FOR RESEARCH USE ONLY. NOT FOR USE IN DIAGNOSTIC OR THERAPEUTIC PROCEDURES'.

For licensing inquiries, please contact partnerships@abcam.com