JavaScript is disabled in your browser. Please enable JavaScript to view this website.
AB137684

Anti-Cyclophilin A antibody

Be the first to review this product! Submit a review

|

(1 Publication)

Rabbit Polyclonal Cyclophilin A antibody. Suitable for IHC-P, WB, ICC/IF and reacts with Human, Mouse, Rat samples. Cited in 1 publication. Immunogen corresponding to Synthetic Peptide within Human PPIA aa 50 to C-terminus.

View Alternative Names

CYPA, PPIA, Peptidyl-prolyl cis-trans isomerase A, PPIase A, Cyclophilin A, Cyclosporin A-binding protein, Rotamase A

6 Images
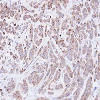
Immunohistochemistry (Formalin/PFA-fixed paraffin-embedded sections) - Anti-Cyclophilin A antibody (AB137684)
  • IHC-P

Unknown

Immunohistochemistry (Formalin/PFA-fixed paraffin-embedded sections) - Anti-Cyclophilin A antibody (AB137684)

Immunohistochemical analysis of paraffin-embedded Human MDA-MB-468 xenograft tissue labelling Cyclophillin A with ab137684 at 1/500 dilution.

Immunocytochemistry/ Immunofluorescence - Anti-Cyclophilin A antibody (AB137684)
  • ICC/IF

Unknown

Immunocytochemistry/ Immunofluorescence - Anti-Cyclophilin A antibody (AB137684)

Immunofluorescence analysis of methanol-fixed HeLa cells labelling Cyclophillin A with ab137684 at 1/200 dilution. Lower image shows cells co-stained with Hoechst 33342.

Western blot - Anti-Cyclophilin A antibody (AB137684)
  • WB

Supplier Data

Western blot - Anti-Cyclophilin A antibody (AB137684)

Samples were separated by 12% SDS-PAGE.

All lanes:

Western blot - Anti-Cyclophilin A antibody (ab137684) at 1/3000 dilution

All lanes:

HepG2 whole cell extracts at 30 µg

Secondary

All lanes:

HRP-conjugated anti-rabbit IgG

Observed band size: 17 kDa

false

Western blot - Anti-Cyclophilin A antibody (AB137684)
  • WB

Supplier Data

Western blot - Anti-Cyclophilin A antibody (AB137684)

Samples were separated by 15% SDS-PAGE.

All lanes:

Western blot - Anti-Cyclophilin A antibody (ab137684) at 1/20000 dilution

Lane 1:

Non-transfected 293T whole cell extracts at 30 µg

Lane 2:

Transfected 293T whole cell extracts at 30 µg

Secondary

All lanes:

HRP-conjugated anti-rabbit IgG

Observed band size: 17 kDa

false

Western blot - Anti-Cyclophilin A antibody (AB137684)
  • WB

Supplier Data

Western blot - Anti-Cyclophilin A antibody (AB137684)

Samples were separated by 15% SDS-PAGE.

All lanes:

Western blot - Anti-Cyclophilin A antibody (ab137684) at 1/20000 dilution

All lanes:

Mouse brain tissue extract at 50 µg

Observed band size: 17 kDa

false

Western blot - Anti-Cyclophilin A antibody (AB137684)
  • WB

Supplier Data

Western blot - Anti-Cyclophilin A antibody (AB137684)

Samples were separated by 15% SDS-PAGE.

All lanes:

Western blot - Anti-Cyclophilin A antibody (ab137684) at 1/10000 dilution

Lane 1:

PC-12 whole cell extracts at 30 µg

Lane 2:

Rat2 whole cell extracts at 30 µg

Secondary

All lanes:

HRP-conjugated anti-rabbit IgG

Observed band size: 17 kDa

false

Key facts

Host species

Rabbit

Clonality

Polyclonal

Isotype

IgG

Carrier free

No

Reacts with

Mouse, Rat, Human

Applications

WB, IHC-P, ICC/IF

applications

Immunogen

Synthetic Peptide within Human PPIA aa 50 to C-terminus. The exact immunogen used to generate this antibody is proprietary information.

P62937

Reactivity data

{ "title": "Reactivity Data", "filters": { "stats": ["", "Species", "Dilution Info", "Notes"], "tabs": { "all-applications": {"fullname" : "All Applications", "shortname": "All Applications"}, "IHCP" : {"fullname" : "Immunohistochemistry (Formalin/PFA-fixed paraffin-embedded sections)", "shortname":"IHC-P"}, "WB" : {"fullname" : "Western blot", "shortname":"WB"}, "ICCIF" : {"fullname" : "Immunocytochemistry/ Immunofluorescence", "shortname":"ICC/IF"} }, "product-promise": { "all": "all", "testedAndGuaranteed": "tested", "guaranteed": "expected", "predicted": "predicted", "notRecommended": "not-recommended" } }, "values": { "Human": { "IHCP-species-checked": "testedAndGuaranteed", "IHCP-species-dilution-info": "1/100 - 1/1000", "IHCP-species-notes": "<p>Or Tris-EDTA buffer pH8.0</p> Perform heat-mediated antigen retrieval with citrate buffer pH 6 before commencing with IHC staining protocol.", "WB-species-checked": "testedAndGuaranteed", "WB-species-dilution-info": "1/5000 - 1/20000", "WB-species-notes": "<p></p>", "ICCIF-species-checked": "testedAndGuaranteed", "ICCIF-species-dilution-info": "1/100 - 1/1000", "ICCIF-species-notes": "<p></p>" }, "Mouse": { "IHCP-species-checked": "guaranteed", "IHCP-species-dilution-info": "", "IHCP-species-notes": "", "WB-species-checked": "testedAndGuaranteed", "WB-species-dilution-info": "1/5000 - 1/20000", "WB-species-notes": "<p></p>", "ICCIF-species-checked": "guaranteed", "ICCIF-species-dilution-info": "", "ICCIF-species-notes": "" }, "Rat": { "IHCP-species-checked": "guaranteed", "IHCP-species-dilution-info": "", "IHCP-species-notes": "", "WB-species-checked": "testedAndGuaranteed", "WB-species-dilution-info": "1/5000 - 1/20000", "WB-species-notes": "<p></p>", "ICCIF-species-checked": "guaranteed", "ICCIF-species-dilution-info": "", "ICCIF-species-notes": "" }, "Cat": { "IHCP-species-checked": "predicted", "IHCP-species-dilution-info": "", "IHCP-species-notes": "", "WB-species-checked": "predicted", "WB-species-dilution-info": "", "WB-species-notes": "", "ICCIF-species-checked": "predicted", "ICCIF-species-dilution-info": "", "ICCIF-species-notes": "" }, "Monkey": { "IHCP-species-checked": "predicted", "IHCP-species-dilution-info": "", "IHCP-species-notes": "", "WB-species-checked": "predicted", "WB-species-dilution-info": "", "WB-species-notes": "", "ICCIF-species-checked": "predicted", "ICCIF-species-dilution-info": "", "ICCIF-species-notes": "" }, "Pig": { "IHCP-species-checked": "predicted", "IHCP-species-dilution-info": "", "IHCP-species-notes": "", "WB-species-checked": "predicted", "WB-species-dilution-info": "", "WB-species-notes": "", "ICCIF-species-checked": "predicted", "ICCIF-species-dilution-info": "", "ICCIF-species-notes": "" } } }

Properties and storage information

Form
Liquid
Purification technique
Affinity purification Immunogen
Storage buffer
pH: 7 Preservative: 0.01% Thimerosal (merthiolate) Constituents: 20% Glycerol (glycerin, glycerine), 1.21% Tris, 0.75% Glycine
Shipped at conditions
Blue Ice
Appropriate short-term storage conditions
+4°C
Appropriate long-term storage conditions
-20°C
Aliquoting information
Upon delivery aliquot
Storage information
Avoid freeze / thaw cycle

Product protocols

For this product, it's our understanding that no specific protocols are required. You can visit:

Target data

Catalyzes the cis-trans isomerization of proline imidic peptide bonds in oligopeptides (PubMed : 2001362, PubMed : 20676357, PubMed : 21245143, PubMed : 21593166, PubMed : 25678563). Exerts a strong chemotactic effect on leukocytes partly through activation of one of its membrane receptors BSG/CD147, initiating a signaling cascade that culminates in MAPK/ERK activation (PubMed : 11943775, PubMed : 21245143). Activates endothelial cells (ECs) in a pro-inflammatory manner by stimulating activation of NF-kappa-B and ERK, JNK and p38 MAP-kinases and by inducing expression of adhesion molecules including SELE and VCAM1 (PubMed : 15130913). Induces apoptosis in ECs by promoting the FOXO1-dependent expression of CCL2 and BCL2L11 which are involved in EC chemotaxis and apoptosis (PubMed : 31063815). In response to oxidative stress, initiates proapoptotic and antiapoptotic signaling in ECs via activation of NF-kappa-B and AKT1 and up-regulation of antiapoptotic protein BCL2 (PubMed : 23180369). Negatively regulates MAP3K5/ASK1 kinase activity, autophosphorylation and oxidative stress-induced apoptosis mediated by MAP3K5/ASK1 (PubMed : 26095851). Necessary for the assembly of TARDBP in heterogeneous nuclear ribonucleoprotein (hnRNP) complexes and regulates TARDBP binding to RNA UG repeats and TARDBP-dependent expression of HDAC6, ATG7 and VCP which are involved in clearance of protein aggregates (PubMed : 25678563). Plays an important role in platelet activation and aggregation (By similarity). Regulates calcium mobilization and integrin ITGA2B : ITGB3 bidirectional signaling via increased ROS production as well as by facilitating the interaction between integrin and the cell cytoskeleton (By similarity). Binds heparan sulfate glycosaminoglycans (PubMed : 11943775). Inhibits replication of influenza A virus (IAV) (PubMed : 19207730). Inhibits ITCH/AIP4-mediated ubiquitination of matrix protein 1 (M1) of IAV by impairing the interaction of ITCH/AIP4 with M1, followed by the suppression of the nuclear export of M1, and finally reduction of the replication of IAV (PubMed : 22347431, PubMed : 30328013).. (Microbial infection) May act as a mediator between human SARS coronavirus nucleoprotein and BSG/CD147 in the process of invasion of host cells by the virus (PubMed : 15688292).. (Microbial infection) Stimulates RNA-binding ability of HCV NS5A in a peptidyl-prolyl cis-trans isomerase activity-dependent manner.
See full target information PPIA

Publications (1)

Recent publications for all applications. Explore the full list and refine your search

Oncology letters 10:2947-2952 PubMed26722269

2015

Carboxy-terminal domain phosphatase 1 silencing results in the inhibition of tumor formation ability in gastric cancer cells.

Applications

Unspecified application

Species

Unspecified reactive species

Hongbing Fu,Dejun Yang,Changming Wang,Jiapeng Xu,Weimin Wang,Ronglin Yan,Qingping Cai
View all publications

Product promise

We are committed to supporting your work with high-quality reagents, and we're here for you every step of the way. In the unlikely event that one of our products does not perform as expected, you're protected by our Product Promise.
For full details, please see our Terms & Conditions

Please note: All products are 'FOR RESEARCH USE ONLY. NOT FOR USE IN DIAGNOSTIC OR THERAPEUTIC PROCEDURES'.

For licensing inquiries, please contact partnerships@abcam.com