JavaScript is disabled in your browser. Please enable JavaScript to view this website.
AB248157

Anti-Cyclophilin A antibody [EPR7511] - BSA and Azide free

Be the first to review this product! Submit a review

|

(1 Publication)

Rabbit Recombinant Monoclonal Cyclophilin A antibody. Carrier free. Suitable for IHC-P, WB and reacts with Human, Mouse, Rat samples. Cited in 1 publication.

View Alternative Names

CYPA, PPIA, Peptidyl-prolyl cis-trans isomerase A, PPIase A, Cyclophilin A, Cyclosporin A-binding protein, Rotamase A

8 Images
Immunohistochemistry (Formalin/PFA-fixed paraffin-embedded sections) - Anti-Cyclophilin A antibody [EPR7511] - BSA and Azide free (AB248157)
  • IHC-P

Unknown

Immunohistochemistry (Formalin/PFA-fixed paraffin-embedded sections) - Anti-Cyclophilin A antibody [EPR7511] - BSA and Azide free (AB248157)

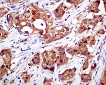
This data was developed using ab126738, the same antibody clone in a different buffer formulation.

ab126738 at 1/100 dilution, staining Cyclophilin A in Formalin fixed Paraffin-embedded Human breast carcinoma tissue by Immunohistochemistry.

Perform heat mediated antigen retrieval with citrate buffer pH 6 before commencing with IHC staining protocol.

Immunohistochemistry (Formalin/PFA-fixed paraffin-embedded sections) - Anti-Cyclophilin A antibody [EPR7511] - BSA and Azide free (AB248157)
  • IHC-P

Lab

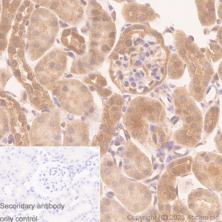
Immunohistochemistry (Formalin/PFA-fixed paraffin-embedded sections) - Anti-Cyclophilin A antibody [EPR7511] - BSA and Azide free (AB248157)

This data was developed using ab126738, the same antibody clone in a different buffer formulation. Immunohistochemistry analysis of paraffin-embedded human kidney tissue sections labeling Cyclophilin A with ab126738 at 1/1000 (0.214 µg/mL) followed by LeicaDS9800 (Bond™ Polymer Refine Detection). Hematoxylin was as the counterstain. Antigen retrieval was heat mediated with Tris-EDTA buffer (pH 9.0, Epitope Retrieval Solution2) for 20 mins. Positive staining on the human kidney. The section was incubated with ab126738 for 30 mins at room temperature. The immunostaining was performed on a Leica Biosystems BOND® RX instrument.

Immunohistochemistry (Formalin/PFA-fixed paraffin-embedded sections) - Anti-Cyclophilin A antibody [EPR7511] - BSA and Azide free (AB248157)
  • IHC-P

Lab

Immunohistochemistry (Formalin/PFA-fixed paraffin-embedded sections) - Anti-Cyclophilin A antibody [EPR7511] - BSA and Azide free (AB248157)

This data was developed using ab126738, the same antibody clone in a different buffer formulation. Immunohistochemistry analysis of paraffin-embedded human skeletal muscle tissue sections labeling Cyclophilin A with ab126738 at 1/1000 (0.214 µg/mL) followed by LeicaDS9800 (Bond™ Polymer Refine Detection). Hematoxylin was as the counterstain. Antigen retrieval was heat mediated with Tris-EDTA buffer (pH 9.0, Epitope Retrieval Solution2) for 20 mins. Low expression : weak staining on the human skeletal muscle. The section was incubated with ab126738 for 30 mins at room temperature. The immunostaining was performed on a Leica Biosystems BOND® RX instrument.

Immunohistochemistry (Formalin/PFA-fixed paraffin-embedded sections) - Anti-Cyclophilin A antibody [EPR7511] - BSA and Azide free (AB248157)
  • IHC-P

Lab

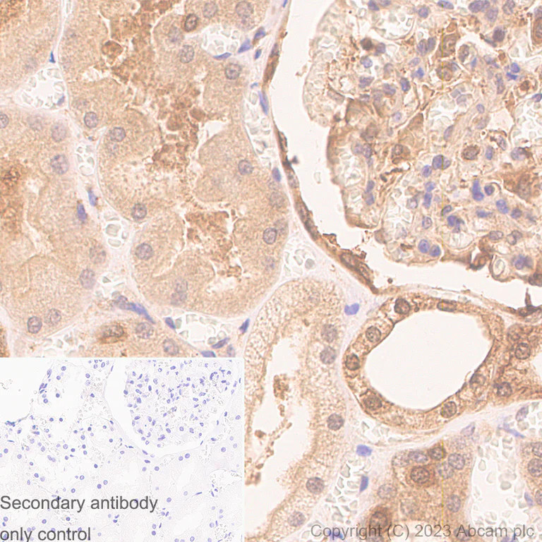
Immunohistochemistry (Formalin/PFA-fixed paraffin-embedded sections) - Anti-Cyclophilin A antibody [EPR7511] - BSA and Azide free (AB248157)

This data was developed using ab126738, the same antibody clone in a different buffer formulation. Immunohistochemistry analysis of paraffin-embedded mouse kidney tissue sections labeling Cyclophilin A with ab126738 at 1/1000 (0.214 µg/mL) followed by LeicaDS9800 (Bond™ Polymer Refine Detection). Hematoxylin was as the counterstain. Antigen retrieval was heat mediated with Tris-EDTA buffer (pH 9.0, Epitope Retrieval Solution2) for 20 mins. Positive staining on the mouse kidney. The section was incubated with ab126738 for 30 mins at room temperature. The immunostaining was performed on a Leica Biosystems BOND® RX instrument

Immunohistochemistry (Formalin/PFA-fixed paraffin-embedded sections) - Anti-Cyclophilin A antibody [EPR7511] - BSA and Azide free (AB248157)
  • IHC-P

Lab

Immunohistochemistry (Formalin/PFA-fixed paraffin-embedded sections) - Anti-Cyclophilin A antibody [EPR7511] - BSA and Azide free (AB248157)

This data was developed using ab126738, the same antibody clone in a different buffer formulation. Immunohistochemistry analysis of paraffin-embedded human skeletal muscle tissue sections labeling Cyclophilin A with ab126738 at 1/1000 (0.214 µg/mL) followed by LeicaDS9800 (Bond™ Polymer Refine Detection). Hematoxylin was as the counterstain. Antigen retrieval was heat mediated with Tris-EDTA buffer (pH 9.0, Epitope Retrieval Solution2) for 20 mins. Low expression : weak staining on the mouse cardiac muscle. The section was incubated with ab126738 for 30 mins at room temperature. The immunostaining was performed on a Leica Biosystems BOND® RX instrument.

Western blot - Anti-Cyclophilin A antibody [EPR7511] - BSA and Azide free (AB248157)
  • WB

Lab

Western blot - Anti-Cyclophilin A antibody [EPR7511] - BSA and Azide free (AB248157)

This data was developed using ab126738, the same antibody clone in a different buffer formulation. Blocking/Diluting buffer and concentration : 5% NFDM/TBST Low expression control : mouse heart. In Western blot, anti-GAPDH antibody (ab181602) loading control staining at 1/200000 dilution.

All lanes:

Western blot - Anti-Cyclophilin A antibody [EPR7511] (<a href='/en-us/products/primary-antibodies/cyclophilin-a-antibody-epr7511-ab126738'>ab126738</a>) at 1/1000 dilution

Lane 1:

Mouse brain tissue lysate at 20 µg

Lane 2:

Mouse heart tissue lysate at 20 µg

Lane 3:

Mouse kidney tissue lysate at 20 µg

Lane 4:

Mouse spleen tissue lysate at 20 µg

Secondary

All lanes:

Western blot - Goat Anti-Rabbit IgG H&L (HRP) (<a href='/en-us/products/secondary-antibodies/goat-rabbit-igg-h-l-hrp-ab97051'>ab97051</a>) at 1/20000 dilution

Observed band size: 18 kDa

false

Exposure time: 180s

Western blot - Anti-Cyclophilin A antibody [EPR7511] - BSA and Azide free (AB248157)
  • WB

Unknown

Western blot - Anti-Cyclophilin A antibody [EPR7511] - BSA and Azide free (AB248157)

This data was developed using ab126738, the same antibody clone in a different buffer formulation.

All lanes:

Western blot - Anti-Cyclophilin A antibody [EPR7511] (<a href='/en-us/products/primary-antibodies/cyclophilin-a-antibody-epr7511-ab126738'>ab126738</a>) at 1/1000 dilution

Lane 1:

K562 lysate at 10 µg

Lane 2:

HeLa cell lysate at 10 µg

Lane 3:

Jurkat lysate at 10 µg

Lane 4:

HepG2 lysate at 10 µg

Secondary

All lanes:

Goat-anti-rabbit HRP at 1/2000 dilution

Predicted band size: 18 kDa

true

OI-RD Scanning - Anti-Cyclophilin A antibody [EPR7511] - BSA and Azide free (AB248157)
  • OI-RD Scanning

Unknown

OI-RD Scanning - Anti-Cyclophilin A antibody [EPR7511] - BSA and Azide free (AB248157)

We have systematically measured KD (the equilibrium dissociation constant between the antibody and its antigen), of more than 840 recombinant antibodies to assess not only their individual KD values but also to see the average affinity of antibody. Based on the comparison with published literature values for mouse monoclonal antibodies, Recombinant antibodies appear to be on average 1-2 order of magnitude higher affinity.

  • Unconjugated

    Anti-Cyclophilin A antibody [EPR7511]

  • 665 Alexa Fluor® 647

    Alexa Fluor® 647 Anti-Cyclophilin A antibody [EPR7511]

  • 565 Alexa Fluor® 555

    Alexa Fluor® 555 Anti-Cyclophilin A antibody [EPR7511]

  • 617 Alexa Fluor® 594

    Alexa Fluor® 594 Anti-Cyclophilin A antibody [EPR7511]

  • 578 PE

    PE Anti-Cyclophilin A antibody [EPR7511]

  • 660 APC

    APC Anti-Cyclophilin A antibody [EPR7511]

  • 775 Alexa Fluor® 750

    Alexa Fluor® 750 Anti-Cyclophilin A antibody [EPR7511]

Key facts

Host species

Rabbit

Clonality

Monoclonal

Clone number

EPR7511

Isotype

IgG

Carrier free

Yes

Reacts with

Mouse, Human

Applications

IHC-P, WB

applications

Immunogen

The exact immunogen used to generate this antibody is proprietary information.

Reactivity data

{ "title": "Reactivity Data", "filters": { "stats": ["", "Species", "Dilution Info", "Notes"], "tabs": { "all-applications": {"fullname" : "All Applications", "shortname": "All Applications"}, "IHCP" : {"fullname" : "Immunohistochemistry (Formalin/PFA-fixed paraffin-embedded sections)", "shortname":"IHC-P"}, "ICCIF" : {"fullname" : "Immunocytochemistry/ Immunofluorescence", "shortname":"ICC/IF"}, "IP" : {"fullname" : "Immunoprecipitation", "shortname":"IP"}, "FlowCyt" : {"fullname" : "Flow Cytometry", "shortname":"Flow Cyt"}, "WB" : {"fullname" : "Western blot", "shortname":"WB"} }, "product-promise": { "all": "all", "testedAndGuaranteed": "tested", "guaranteed": "expected", "predicted": "predicted", "notRecommended": "not-recommended" } }, "values": { "Human": { "IHCP-species-checked": "testedAndGuaranteed", "IHCP-species-dilution-info": "", "IHCP-species-notes": "<p>Antigen retrieval is recommended.</p>", "ICCIF-species-checked": "notRecommended", "ICCIF-species-dilution-info": "", "ICCIF-species-notes": "<p></p>", "IP-species-checked": "notRecommended", "IP-species-dilution-info": "", "IP-species-notes": "<p></p>", "FlowCyt-species-checked": "notRecommended", "FlowCyt-species-dilution-info": "", "FlowCyt-species-notes": "<p></p>", "WB-species-checked": "testedAndGuaranteed", "WB-species-dilution-info": "", "WB-species-notes": "<p></p>" }, "Mouse": { "IHCP-species-checked": "testedAndGuaranteed", "IHCP-species-dilution-info": "", "IHCP-species-notes": "<p></p>", "ICCIF-species-checked": "notRecommended", "ICCIF-species-dilution-info": "", "ICCIF-species-notes": "", "IP-species-checked": "notRecommended", "IP-species-dilution-info": "", "IP-species-notes": "", "FlowCyt-species-checked": "notRecommended", "FlowCyt-species-dilution-info": "", "FlowCyt-species-notes": "", "WB-species-checked": "testedAndGuaranteed", "WB-species-dilution-info": "", "WB-species-notes": "<p></p>" }, "Rat": { "IHCP-species-checked": "predicted", "IHCP-species-dilution-info": "", "IHCP-species-notes": "", "ICCIF-species-checked": "notRecommended", "ICCIF-species-dilution-info": "", "ICCIF-species-notes": "", "IP-species-checked": "notRecommended", "IP-species-dilution-info": "", "IP-species-notes": "", "FlowCyt-species-checked": "notRecommended", "FlowCyt-species-dilution-info": "", "FlowCyt-species-notes": "", "WB-species-checked": "guaranteed", "WB-species-dilution-info": "", "WB-species-notes": "<p></p>" } } }

Product details

ab248157 is the carrier-free version of ab126738.

Patented technology
Our RabMAb® technology is a patented hybridoma-based technology for making rabbit monoclonal antibodies. For details on our patents, please refer to RabMAb® patents.

What are the advantages of a recombinant monoclonal antibody?
This product is a recombinant monoclonal antibody, which offers several advantages including:

  • - High batch-to-batch consistency and reproducibility
  • - Improved sensitivity and specificity
  • - Long-term security of supply
  • - Animal-free batch production

For more information, read more on recombinant antibodies.

Conjugation ready
Our carrier-free antibodies are typically supplied in a PBS-only formulation, purified and free of BSA, sodium azide and glycerol. This conjugation-ready format is designed for use with fluorochromes, metal isotopes, oligonucleotides, and enzymes, which makes them ideal for antibody labelling, functional and cell-based assays, flow-based assays (e.g. mass cytometry) and Multiplex Imaging applications.

Use our conjugation kits for antibody conjugates that are ready-to-use in as little as 20 minutes with 1 minute hands-on-time and 100% antibody recovery: available for fluorescent dyes, HRP, biotin and gold.

Compatibility
This product is compatible with the Maxpar® Antibody Labeling Kit from Fluidigm, without the need for antibody preparation. Maxpar® is a trademark of Fluidigm Canada Inc.

Properties and storage information

Form
Liquid
Purification technique
Affinity purification Protein A
Storage buffer
pH: 7.2 - 7.4 Constituents: PBS
Shipped at conditions
Blue Ice
Appropriate short-term storage conditions
+4°C
Appropriate long-term storage conditions
+4°C
Storage information
Do Not Freeze

Product protocols

For this product, it's our understanding that no specific protocols are required. You can visit:

Target data

Catalyzes the cis-trans isomerization of proline imidic peptide bonds in oligopeptides (PubMed : 2001362, PubMed : 20676357, PubMed : 21245143, PubMed : 21593166, PubMed : 25678563). Exerts a strong chemotactic effect on leukocytes partly through activation of one of its membrane receptors BSG/CD147, initiating a signaling cascade that culminates in MAPK/ERK activation (PubMed : 11943775, PubMed : 21245143). Activates endothelial cells (ECs) in a pro-inflammatory manner by stimulating activation of NF-kappa-B and ERK, JNK and p38 MAP-kinases and by inducing expression of adhesion molecules including SELE and VCAM1 (PubMed : 15130913). Induces apoptosis in ECs by promoting the FOXO1-dependent expression of CCL2 and BCL2L11 which are involved in EC chemotaxis and apoptosis (PubMed : 31063815). In response to oxidative stress, initiates proapoptotic and antiapoptotic signaling in ECs via activation of NF-kappa-B and AKT1 and up-regulation of antiapoptotic protein BCL2 (PubMed : 23180369). Negatively regulates MAP3K5/ASK1 kinase activity, autophosphorylation and oxidative stress-induced apoptosis mediated by MAP3K5/ASK1 (PubMed : 26095851). Necessary for the assembly of TARDBP in heterogeneous nuclear ribonucleoprotein (hnRNP) complexes and regulates TARDBP binding to RNA UG repeats and TARDBP-dependent expression of HDAC6, ATG7 and VCP which are involved in clearance of protein aggregates (PubMed : 25678563). Plays an important role in platelet activation and aggregation (By similarity). Regulates calcium mobilization and integrin ITGA2B : ITGB3 bidirectional signaling via increased ROS production as well as by facilitating the interaction between integrin and the cell cytoskeleton (By similarity). Binds heparan sulfate glycosaminoglycans (PubMed : 11943775). Inhibits replication of influenza A virus (IAV) (PubMed : 19207730). Inhibits ITCH/AIP4-mediated ubiquitination of matrix protein 1 (M1) of IAV by impairing the interaction of ITCH/AIP4 with M1, followed by the suppression of the nuclear export of M1, and finally reduction of the replication of IAV (PubMed : 22347431, PubMed : 30328013).. (Microbial infection) May act as a mediator between human SARS coronavirus nucleoprotein and BSG/CD147 in the process of invasion of host cells by the virus (PubMed : 15688292).. (Microbial infection) Stimulates RNA-binding ability of HCV NS5A in a peptidyl-prolyl cis-trans isomerase activity-dependent manner.
See full target information PPIA

Publications (1)

Recent publications for all applications. Explore the full list and refine your search

Nature communications 13:5945 PubMed36209205

2022

Hepatocyte phosphatase DUSP22 mitigates NASH-HCC progression by targeting FAK.

Applications

Unspecified application

Species

Unspecified reactive species

Chenxu Ge,Jun Tan,Xianling Dai,Qin Kuang,Shaoyu Zhong,Lili Lai,Chao Yi,Yan Sun,Jing Luo,Chufeng Zhang,Liancai Zhu,Bochu Wang,Minxuan Xu
View all publications

Product promise

We are committed to supporting your work with high-quality reagents, and we're here for you every step of the way. In the unlikely event that one of our products does not perform as expected, you're protected by our Product Promise.
For full details, please see our Terms & Conditions

Please note: All products are 'FOR RESEARCH USE ONLY. NOT FOR USE IN DIAGNOSTIC OR THERAPEUTIC PROCEDURES'.

For licensing inquiries, please contact partnerships@abcam.com