JavaScript is disabled in your browser. Please enable JavaScript to view this website.
AB204129

Anti-CYFIP2 + CYFIP1 antibody [EPR17848-87]

Be the first to review this product! Submit a review

|

(2 Publications)

Rabbit Recombinant Monoclonal CYFIP1 antibody. Suitable for WB, ICC/IF, Flow Cyt (Intra), IHC-P and reacts with Mouse, Human samples. Cited in 2 publications.

View Alternative Names

KIAA0068, CYFIP1, Cytoplasmic FMR1-interacting protein 1, Specifically Rac1-associated protein 1, p140sra-1, Sra-1

8 Images
Flow Cytometry (Intracellular) - Anti-CYFIP2 + CYFIP1 antibody [EPR17848-87] (AB204129)
  • Flow Cyt (Intra)

Supplier Data

Flow Cytometry (Intracellular) - Anti-CYFIP2 + CYFIP1 antibody [EPR17848-87] (AB204129)

Intracellular flow cytometric analysis of 4% paraformaldehyde-fixed Jurkat (Human T cell leukemia cells from peripheral blood) cells labeling CYFIP2 + CYFIP1 with ab204129 at 1/150 dilution (red) compared with a rabbit monoclonal IgG isotype control (black) and a unlabelled control (cells without incubation with primary antibody and secondary antibody; blue). Goat anti rabbit IgG (FITC) at 1/500 dilution was used as the secondary antibody.

Immunocytochemistry/ Immunofluorescence - Anti-CYFIP2 + CYFIP1 antibody [EPR17848-87] (AB204129)
  • ICC/IF

Supplier Data

Immunocytochemistry/ Immunofluorescence - Anti-CYFIP2 + CYFIP1 antibody [EPR17848-87] (AB204129)

Immunofluorescent analysis of 100% Methanol 0.1% Triton X-100 permeabilized Jurkat (Human T cell leukemia cells from peripheral blood) cells labeling CYFIP2 + CYFIP1 with ab204129 at 1/150 dilution followed by Goat anti-rabbit IgG (Alexa Fluor® 488) (ab150077) secondary antibody at 1/1000 dilution (green). Confocal image showing cytoplasmic staining on JurKat cell line is observed. The nuclear counter stain is DAPI (blue). Tubulin is detected with ab7291 (anti-Tubulin mouse mAb) at 1/1000 dilution and ab150120 (AlexaFluor®594 Goat anti-Mouse secondary) at 1/1000 dilution (red).
The negative controls are as follows :
1. ab204129 at 1/150 dilution followed by ab150120 (AlexaFluor®594 Goat anti-Mouse secondary) at 1/1000 dilution.
2. ab7291 (anti-Tubulin mouse mAb) at 1/1000 dilution followed by ab150077 (Alexa Fluor®488 Goat Anti-Rabbit IgG H&L) at 1/1000 dilution.

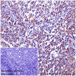
Immunohistochemistry (Formalin/PFA-fixed paraffin-embedded sections) - Anti-CYFIP2 + CYFIP1 antibody [EPR17848-87] (AB204129)
  • IHC-P

Supplier Data

Immunohistochemistry (Formalin/PFA-fixed paraffin-embedded sections) - Anti-CYFIP2 + CYFIP1 antibody [EPR17848-87] (AB204129)

Immunohistochemical analysis of paraffin-embedded Human tonsil labeling CYFIP2 + CYFIP1 with ab204129 at 1/300 dilution followed by Goat Anti-Rabbit IgG H&L (HRP) (ab97051) secondary antibody at 1/500 dilution. Cytoplasmic staining on human tonsil tissue is observed. Counter stained with Hematoxylin.

Negative control : Used PBS instead of primary antibody secondary antibody is Goat Anti-Rabbit IgG H&L (HRP) (ab97051) at 1/500 dilution.

Perform heat mediated antigen retrieval with Tris/EDTA buffer pH 9.0 before commencing with IHC staining protocol.

Immunocytochemistry/ Immunofluorescence - Anti-CYFIP2 + CYFIP1 antibody [EPR17848-87] (AB204129)
  • ICC/IF

Supplier Data

Immunocytochemistry/ Immunofluorescence - Anti-CYFIP2 + CYFIP1 antibody [EPR17848-87] (AB204129)

Immunofluorescent analysis of 100% Methanol 0.1% Triton X-100 permeabilized SW480 (Human colon adenocarcinoma cell line) cells labeling CYFIP2 + CYFIP1 with ab204129 at 1/150 dilution followed by Goat anti-rabbit IgG (Alexa Fluor® 488) (ab150077) secondary antibody at 1/1000 dilution (green). Confocal image showing cytoplasmic staining on SW480 cell line is observed. The nuclear counter stain is DAPI (blue). Tubulin is detected with ab7291 (anti-Tubulin mouse mAb) at 1/1000 dilution and ab150120 (AlexaFluor®594 Goat anti-Mouse secondary) at 1/1000 dilution (red).
The negative controls are as follows :
1. ab204129 at 1/150 dilution followed by ab150120 (AlexaFluor®594 Goat anti-Mouse secondary) at 1/1000 dilution.
2. ab7291 (anti-Tubulin mouse mAb) at 1/1000 dilution followed by ab150077 (Alexa Fluor®488 Goat Anti-Rabbit IgG H&L) at 1/1000 dilution.

Western blot - Anti-CYFIP2 + CYFIP1 antibody [EPR17848-87] (AB204129)
  • WB

Supplier Data

Western blot - Anti-CYFIP2 + CYFIP1 antibody [EPR17848-87] (AB204129)

5% NFDM/TBST : Blocking and diluting buffer.

All lanes:

Western blot - Anti-CYFIP2 + CYFIP1 antibody [EPR17848-87] (ab204129) at 1/5000 dilution

Lane 1:

Jurkat (Human T cell leukemia cells from peripheral blood) whole cell lysate at 20 µg

Lane 2:

Molt4 (Human lymphoblastic leukemia cell line) whole cell lysate at 20 µg

Lane 3:

Human fetal kidney lysate at 10 µg

Lane 4:

Human fetal brain lysate at 10 µg

Secondary

All lanes:

Western blot - Goat Anti-Rabbit IgG H&L (HRP) (<a href='/en-us/products/secondary-antibodies/goat-rabbit-igg-h-l-hrp-ab97051'>ab97051</a>) at 1/50000 dilution

Predicted band size: 148 kDa

Observed band size: 148 kDa

false

Exposure time: 1s

Western blot - Anti-CYFIP2 + CYFIP1 antibody [EPR17848-87] (AB204129)
  • WB

Supplier Data

Western blot - Anti-CYFIP2 + CYFIP1 antibody [EPR17848-87] (AB204129)

5% NFDM/TBST : Blocking and diluting buffer.

All lanes:

Western blot - Anti-CYFIP2 + CYFIP1 antibody [EPR17848-87] (ab204129) at 1/5000 dilution

Lane 1:

HeLa (Human epithelial cells from cervix adenocarcinoma) whole cell lysate at 20 µg

Lane 2:

SW480 (Human colon adenocarcinoma cell line) whole cell lysate at 20 µg

Secondary

All lanes:

Western blot - Goat Anti-Rabbit IgG H&L (HRP) (<a href='/en-us/products/secondary-antibodies/goat-rabbit-igg-h-l-hrp-ab97051'>ab97051</a>) at 1/50000 dilution

Predicted band size: 148 kDa

Observed band size: 148 kDa

false

Exposure time: 15s

Western blot - Anti-CYFIP2 + CYFIP1 antibody [EPR17848-87] (AB204129)
  • WB

Supplier Data

Western blot - Anti-CYFIP2 + CYFIP1 antibody [EPR17848-87] (AB204129)

5% NFDM/TBST : Blocking and diluting buffer.

All lanes:

Western blot - Anti-CYFIP2 + CYFIP1 antibody [EPR17848-87] (ab204129) at 1/1000 dilution

All lanes:

RAW 264.7 (Mouse macrophage cells transformed with Abelson murine leukemia virus) whole cell lysate at 10 µg

Secondary

All lanes:

Western blot - Goat Anti-Rabbit IgG H&L (HRP) (<a href='/en-us/products/secondary-antibodies/goat-rabbit-igg-h-l-hrp-ab97051'>ab97051</a>) at 1/50000 dilution

Predicted band size: 148 kDa

Observed band size: 146 kDa

false

Exposure time: 1s

Western blot - Anti-CYFIP2 + CYFIP1 antibody [EPR17848-87] (AB204129)
  • WB

Supplier Data

Western blot - Anti-CYFIP2 + CYFIP1 antibody [EPR17848-87] (AB204129)

5% NFDM/TBST : Blocking and diluting buffer.

All lanes:

Western blot - Anti-CYFIP2 + CYFIP1 antibody [EPR17848-87] (ab204129) at 1/50000 dilution

All lanes:

Human CYFIP1 Recombinant protein fragment at 0.01 µg

Secondary

All lanes:

Western blot - Goat Anti-Rabbit IgG H&L (HRP) (<a href='/en-us/products/secondary-antibodies/goat-rabbit-igg-h-l-hrp-ab97051'>ab97051</a>) at 1/50000 dilution

Predicted band size: 148 kDa

Observed band size: 148 kDa

false

Exposure time: 10s

  • Carrier free

    Anti-CYFIP2 + CYFIP1 antibody [EPR17848-87] - BSA and Azide free

Key facts

Host species

Rabbit

Clonality

Monoclonal

Clone number

EPR17848-87

Isotype

IgG

Carrier free

No

Reacts with

Mouse, Human

Applications

WB, Flow Cyt (Intra), IHC-P, ICC/IF

applications

Immunogen

The exact immunogen used to generate this antibody is proprietary information.

Reactivity data

{ "title": "Reactivity Data", "filters": { "stats": ["", "Species", "Dilution Info", "Notes"], "tabs": { "all-applications": {"fullname" : "All Applications", "shortname": "All Applications"}, "WB" : {"fullname" : "Western blot", "shortname":"WB"}, "ICCIF" : {"fullname" : "Immunocytochemistry/ Immunofluorescence", "shortname":"ICC/IF"}, "FlowCytIntra" : {"fullname" : "Flow Cytometry (Intracellular)", "shortname":"Flow Cyt (Intra)"}, "IHCP" : {"fullname" : "Immunohistochemistry (Formalin/PFA-fixed paraffin-embedded sections)", "shortname":"IHC-P"} }, "product-promise": { "all": "all", "testedAndGuaranteed": "tested", "guaranteed": "expected", "predicted": "predicted", "notRecommended": "not-recommended" } }, "values": { "Human": { "WB-species-checked": "testedAndGuaranteed", "WB-species-dilution-info": "1/1000", "WB-species-notes": "<p></p>", "ICCIF-species-checked": "testedAndGuaranteed", "ICCIF-species-dilution-info": "1/150", "ICCIF-species-notes": "<p></p>", "FlowCytIntra-species-checked": "testedAndGuaranteed", "FlowCytIntra-species-dilution-info": "1/150", "FlowCytIntra-species-notes": "<p></p>", "IHCP-species-checked": "testedAndGuaranteed", "IHCP-species-dilution-info": "1/300", "IHCP-species-notes": "<p></p>" }, "Mouse": { "WB-species-checked": "testedAndGuaranteed", "WB-species-dilution-info": "1/1000", "WB-species-notes": "<p></p>", "ICCIF-species-checked": "guaranteed", "ICCIF-species-dilution-info": "", "ICCIF-species-notes": "", "FlowCytIntra-species-checked": "guaranteed", "FlowCytIntra-species-dilution-info": "", "FlowCytIntra-species-notes": "", "IHCP-species-checked": "guaranteed", "IHCP-species-dilution-info": "", "IHCP-species-notes": "" } } }

Product details

Patented technology
Our RabMAb® technology is a patented hybridoma-based technology for making rabbit monoclonal antibodies. For details on our patents, please refer to RabMAb® patents.

What are the advantages of a recombinant monoclonal antibody?
This product is a recombinant monoclonal antibody, which offers several advantages including:

  • - High batch-to-batch consistency and reproducibility
  • - Improved sensitivity and specificity
  • - Long-term security of supply
  • - Animal-free batch production

For more information, read more on recombinant antibodies.

Properties and storage information

Form
Liquid
Purification technique
Affinity purification Protein A
Storage buffer
pH: 7.2 - 7.4 Preservative: 0.01% Sodium azide Constituents: PBS, 40% Glycerol (glycerin, glycerine), 0.05% BSA
Shipped at conditions
Blue Ice
Appropriate short-term storage duration
1-2 weeks
Appropriate short-term storage conditions
+4°C
Appropriate long-term storage conditions
-20°C
Aliquoting information
Upon delivery aliquot
Storage information
Avoid freeze / thaw cycle

Supplementary information

This supplementary information is collated from multiple sources and compiled automatically.

The proteins CYFIP2 and CYFIP1 also known as cytoplasmic FMR1-interacting proteins 2 and 1 are mechanistically involved in actin cytoskeleton regulation. Their molecular weights are approximately 147 kDa for CYFIP2 and 140 kDa for CYFIP1. Both proteins are widely expressed across various tissues with notable expression in the brain and other neural tissues. CYFIP2 and CYFIP1 interact with the WAVE regulatory complex influencing actin dynamics and in turn cellular morphology and movement.
Biological function summary

These proteins function by serving as scaffolds in cellular processes impacting synaptic plasticity and neuronal function. CYFIP1 and CYFIP2 are integral members of the WAVE regulatory complex which is important for inducing actin polymerization. By associating with FMRP (Fragile X Mental Retardation Protein) CYFIP proteins help modulate mRNA translation linked to synaptic development. This involvement in synaptic modulation highlights their role in the nervous system's regulatory mechanisms.

Pathways

Both CYFIP1 and CYFIP2 play key roles in the RAC1/CDC42 signaling pathway critical for actin filament organization. They interact with proteins such as WAVE Arp2/3 complex and FMRP linking them to processes that control cell shape and motility. This connection to the RAC1/CDC42 pathway and their association with the FMRP complex highlight their involvement in cytoskeleton reorganization and mRNA transport.

CYFIP2 and CYFIP1 have associations with neurological conditions like Fragile X syndrome and autism spectrum disorders. These proteins through their interaction with FMRP influence synaptic connectivity and function indicating their potential role in these diseases. Additionally CYFIP1 dysregulation has been linked to schizophrenia possibly through disruptions in actin cytoskeleton signaling and related synaptic processes.

Product protocols

For this product, it's our understanding that no specific protocols are required. You can visit:

Target data

Component of the CYFIP1-EIF4E-FMR1 complex which binds to the mRNA cap and mediates translational repression. In the CYFIP1-EIF4E-FMR1 complex this subunit is an adapter between EIF4E and FMR1. Promotes the translation repression activity of FMR1 in brain probably by mediating its association with EIF4E and mRNA (By similarity). Regulates formation of membrane ruffles and lamellipodia. Plays a role in axon outgrowth. Binds to F-actin but not to RNA. Part of the WAVE complex that regulates actin filament reorganization via its interaction with the Arp2/3 complex. Actin remodeling activity is regulated by RAC1. Regulator of epithelial morphogenesis. As component of the WAVE1 complex, required for BDNF-NTRK2 endocytic trafficking and signaling from early endosomes (By similarity). May act as an invasion suppressor in cancers.
See full target information CYFIP1

Additional targets

CYFIP2

Publications (2)

Recent publications for all applications. Explore the full list and refine your search

Journal of environmental pathology, toxicology and oncology : official organ of the International Society for Environmental Toxicology and Cancer 41:47-59 PubMed35695651

2022

Exosomal circRNA_104948 Enhances the Progression of Glioma by Regulating miR-29b-3p and DNMT3B/MTSS1 Signaling.

Applications

Unspecified application

Species

Unspecified reactive species

Shoudan Zhang,Ning Guan,Xin Mao,Jingwen Cui,Xin Sui,Wenshi Guo

Journal of cellular biochemistry 123:863-877 PubMed35233844

2022

Loss of cytoplasmic FMR1-interacting protein 2 (CYFIP2) induces browning in 3T3-L1 adipocytes via repression of GABA-BR and activation of mTORC1.

Applications

Unspecified application

Species

Unspecified reactive species

Subramani Manigandan,Jong Won Yun
View all publications

Product promise

We are committed to supporting your work with high-quality reagents, and we're here for you every step of the way. In the unlikely event that one of our products does not perform as expected, you're protected by our Product Promise.
For full details, please see our Terms & Conditions

Please note: All products are 'FOR RESEARCH USE ONLY. NOT FOR USE IN DIAGNOSTIC OR THERAPEUTIC PROCEDURES'.

For licensing inquiries, please contact partnerships@abcam.com