JavaScript is disabled in your browser. Please enable JavaScript to view this website.
AB232809

Anti-CYP21A2 antibody

5

(1 Review)

|

(2 Publications)

Rabbit Polyclonal CYP21A2 antibody. Suitable for WB, IHC-P and reacts with Rat, Human samples. Cited in 2 publications. Immunogen corresponding to Recombinant Fragment Protein within Human CYP21A2 aa 100-400.

View Alternative Names

CYP21, CYP21B, CYP21A2, Steroid 21-hydroxylase, 21-OHase, Cytochrome P-450c21, Cytochrome P450 21, Cytochrome P450 XXI, Cytochrome P450-C21, Cytochrome P450-C21B

8 Images
Immunohistochemistry (Formalin/PFA-fixed paraffin-embedded sections) - Anti-CYP21A2 antibody (AB232809)
  • IHC-P

Supplier Data

Immunohistochemistry (Formalin/PFA-fixed paraffin-embedded sections) - Anti-CYP21A2 antibody (AB232809)

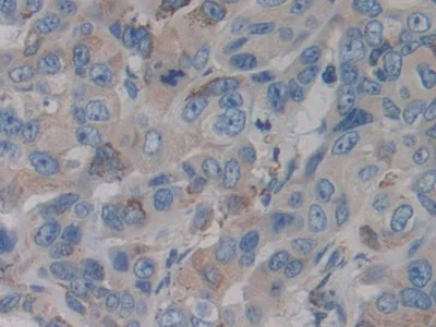
Formalin-fixed, paraffin-embedded human bile duct cancer tissue stained for CYP21A2 using ab232809 at 20μg/ml in immunohistochemical analysis.

Western blot - Anti-CYP21A2 antibody (AB232809)
  • WB

Supplier Data

Western blot - Anti-CYP21A2 antibody (AB232809)

All lanes:

Western blot - Anti-CYP21A2 antibody (ab232809) at 2 µg/mL

All lanes:

Rat adrenal gland tissue

Predicted band size: 56 kDa

true

Immunohistochemistry (Formalin/PFA-fixed paraffin-embedded sections) - Anti-CYP21A2 antibody (AB232809)
  • IHC-P

Supplier Data

Immunohistochemistry (Formalin/PFA-fixed paraffin-embedded sections) - Anti-CYP21A2 antibody (AB232809)

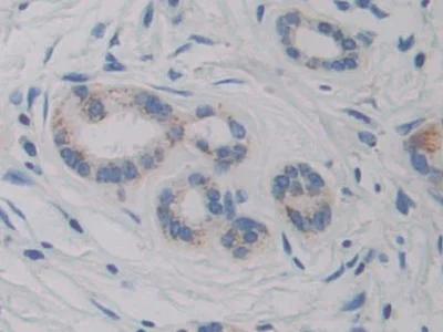
Formalin-fixed, paraffin-embedded human pancreatic cancer tissue stained for CYP21A2 using ab232809 at 20μg/ml in immunohistochemical analysis.

Immunohistochemistry (Formalin/PFA-fixed paraffin-embedded sections) - Anti-CYP21A2 antibody (AB232809)
  • IHC-P

Supplier Data

Immunohistochemistry (Formalin/PFA-fixed paraffin-embedded sections) - Anti-CYP21A2 antibody (AB232809)

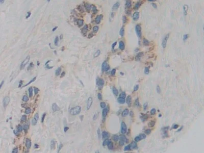
Formalin-fixed, paraffin-embedded human breast cancer tissue stained for CYP21A2 using ab232809 at 20μg/ml in immunohistochemical analysis.

Immunohistochemistry (Formalin/PFA-fixed paraffin-embedded sections) - Anti-CYP21A2 antibody (AB232809)
  • IHC-P

Supplier Data

Immunohistochemistry (Formalin/PFA-fixed paraffin-embedded sections) - Anti-CYP21A2 antibody (AB232809)

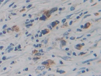
Formalin-fixed, paraffin-embedded human stomach cancer tissue stained for CYP21A2 using ab232809 at 20μg/ml in immunohistochemical analysis.

Immunohistochemistry (Formalin/PFA-fixed paraffin-embedded sections) - Anti-CYP21A2 antibody (AB232809)
  • IHC-P

Supplier Data

Immunohistochemistry (Formalin/PFA-fixed paraffin-embedded sections) - Anti-CYP21A2 antibody (AB232809)

Formalin-fixed, paraffin-embedded human skin cancer tissue stained for CYP21A2 using ab232809 at 20μg/ml in immunohistochemical analysis.

Immunohistochemistry (Formalin/PFA-fixed paraffin-embedded sections) - Anti-CYP21A2 antibody (AB232809)
  • IHC-P

Supplier Data

Immunohistochemistry (Formalin/PFA-fixed paraffin-embedded sections) - Anti-CYP21A2 antibody (AB232809)

Formalin-fixed, paraffin-embedded human glioma tissue stained for CYP21A2 using ab232809 at 20μg/ml in immunohistochemical analysis.

Western blot - Anti-CYP21A2 antibody (AB232809)
  • WB

Supplier Data

Western blot - Anti-CYP21A2 antibody (AB232809)

All lanes:

Western blot - Anti-CYP21A2 antibody (ab232809) at 2 µg/mL

All lanes:

Recombinant human CYP21A2

Predicted band size: 56 kDa

true

Key facts

Host species

Rabbit

Clonality

Polyclonal

Isotype

IgG

Carrier free

No

Reacts with

Rat, Human

Applications

WB, IHC-P

applications

Immunogen

Recombinant Fragment Protein within Human CYP21A2 aa 100-400. The exact immunogen used to generate this antibody is proprietary information.

P08686

Reactivity data

{ "title": "Reactivity Data", "filters": { "stats": ["", "Species", "Dilution Info", "Notes"], "tabs": { "all-applications": {"fullname" : "All Applications", "shortname": "All Applications"}, "WB" : {"fullname" : "Western blot", "shortname":"WB"}, "IHCP" : {"fullname" : "Immunohistochemistry (Formalin/PFA-fixed paraffin-embedded sections)", "shortname":"IHC-P"} }, "product-promise": { "all": "all", "testedAndGuaranteed": "tested", "guaranteed": "expected", "predicted": "predicted", "notRecommended": "not-recommended" } }, "values": { "Human": { "WB-species-checked": "testedAndGuaranteed", "WB-species-dilution-info": "0.5-2 µg/mL", "WB-species-notes": "<p></p>", "IHCP-species-checked": "testedAndGuaranteed", "IHCP-species-dilution-info": "5-20 µg/mL", "IHCP-species-notes": "<p></p>" }, "Rat": { "WB-species-checked": "testedAndGuaranteed", "WB-species-dilution-info": "0.5-2 µg/mL", "WB-species-notes": "<p></p>", "IHCP-species-checked": "guaranteed", "IHCP-species-dilution-info": "", "IHCP-species-notes": "" } } }

Properties and storage information

Form
Liquid
Purification technique
Affinity purification Immunogen
Purification notes
Antigen-specific affinity chromatography followed by Protein A affinity chromatography.
Storage buffer
pH: 7.4 Preservative: 0.011% Proclin 300 Constituents: PBS, 55.77% Glycerol (glycerin, glycerine)
Shipped at conditions
Blue Ice
Appropriate short-term storage duration
1-2 weeks
Appropriate short-term storage conditions
+4°C
Appropriate long-term storage conditions
-20°C
Aliquoting information
Upon delivery aliquot
Storage information
Avoid freeze / thaw cycle

Supplementary information

This supplementary information is collated from multiple sources and compiled automatically.

CYP21A2 also known as steroid 21-hydroxylase is an enzyme that plays an important role in steroidogenesis. This enzyme is a part of the cytochrome P450 superfamily and has a molecular mass of approximately 55 kDa. It is mainly expressed in the adrenal cortex where it contributes to the synthesis of glucocorticoids and mineralocorticoids. CYP21A2 is responsible for transforming progesterone and 17-hydroxyprogesterone into 11-deoxycorticosterone and 11-deoxycortisol respectively by hydroxylation at the 21st carbon position.
Biological function summary

The enzyme activities of CYP21A2 are critical for maintaining homeostasis of steroid hormones. This protein does not function as part of a larger complex but works independently to facilitate the hydroxylation process that is essential for the production of cortisol and aldosterone. These steroid hormones regulate various functions including inflammation control metabolism blood pressure regulation and sodium retention.

Pathways

CYP21A2 is key in the steroid biosynthesis and adrenal corticosteroid synthesis pathways. It operates closely with other enzymes such as CYP11B1 and CYP11B2 which are responsible for further modifications in the production of corticosterone and aldosterone. These pathways ensure the appropriate levels of steroid hormones required for physiological stress response and electrolyte balance.

Mutations or deficiencies in CYP21A2 often lead to conditions like congenital adrenal hyperplasia (CAH) and Addison's disease. In particular CAH stems from inadequate cortisol production resulting in adrenal gland-related complications. CYP21A2 deficiency is connected to heightened androgen levels leading to adrenal hyperplasia. Furthermore the protein's relationship with enzymes like CYP17A1 plays a role in managing the balance between various steroid hormones impacting disease outcomes.

Product protocols

For this product, it's our understanding that no specific protocols are required. You can visit:

Target data

A cytochrome P450 monooxygenase that plays a major role in adrenal steroidogenesis. Catalyzes the hydroxylation at C-21 of progesterone and 17alpha-hydroxyprogesterone to respectively form 11-deoxycorticosterone and 11-deoxycortisol, intermediate metabolites in the biosynthetic pathway of mineralocorticoids and glucocorticoids (PubMed : 10602386, PubMed : 16984992, PubMed : 22014889, PubMed : 25855791, PubMed : 27721825). Mechanistically, uses molecular oxygen inserting one oxygen atom into a substrate, and reducing the second into a water molecule, with two electrons provided by NADPH via cytochrome P450 reductase (CPR; NADPH-ferrihemoprotein reductase) (PubMed : 25855791).
See full target information CYP21A2

Publications (2)

Recent publications for all applications. Explore the full list and refine your search

Annals of translational medicine 10:218 PubMed35280359

2022

Panax notoginseng attenuates hypoxia-induced glycolysis in colonic mucosal epithelial cells in DSS-induced colitis.

Applications

Unspecified application

Species

Unspecified reactive species

Wei He,Huafeng Pan,Ping Tao,Jiang Lin,Beiping Zhang,Shiying Wang

International journal of molecular sciences 22: PubMed34201586

2021

Molecular Characterisation of Uterine Endometrial Proteins during Early Stages of Pregnancy in Pigs by MALDI TOF/TOF.

Applications

Unspecified application

Species

Unspecified reactive species

Dorota Pierzchała,Kamila Liput,Agnieszka Korwin-Kossakowska,Magdalena Ogłuszka,Ewa Poławska,Agata Nawrocka,Paweł Urbański,Aleksandra Ciepłoch,Edyta Juszczuk-Kubiak,Adam Lepczyński,Brygida Ślaska,Krzysztof Kowal,Marinus F W Te Pas,Magdalena Śmiech,Paweł Leszczyński,Hiroaki Taniguchi,Leyland Fraser,Przemysław Sobiech,Mateusz Sachajko,Magdalena Herudzinska,Chandra S Pareek,Mariusz Pierzchała
View all publications

Product promise

We are committed to supporting your work with high-quality reagents, and we're here for you every step of the way. In the unlikely event that one of our products does not perform as expected, you're protected by our Product Promise.
For full details, please see our Terms & Conditions

Please note: All products are 'FOR RESEARCH USE ONLY. NOT FOR USE IN DIAGNOSTIC OR THERAPEUTIC PROCEDURES'.

For licensing inquiries, please contact partnerships@abcam.com