JavaScript is disabled in your browser. Please enable JavaScript to view this website.
AB324020

Anti-CYP21A2 antibody [EPR29787-27] - BSA and Azide free

Be the first to review this product! Submit a review

|

(0 Publication)

Rabbit Recombinant Monoclonal CYP21A2 antibody. Carrier free. Suitable for IHC-P, WB and reacts with Transfected cell line - Human, Human, Mouse, Rat samples.

View Alternative Names

CYP21, CYP21B, CYP21A2, Steroid 21-hydroxylase, 21-OHase, Cytochrome P-450c21, Cytochrome P450 21, Cytochrome P450 XXI, Cytochrome P450-C21, Cytochrome P450-C21B

9 Images
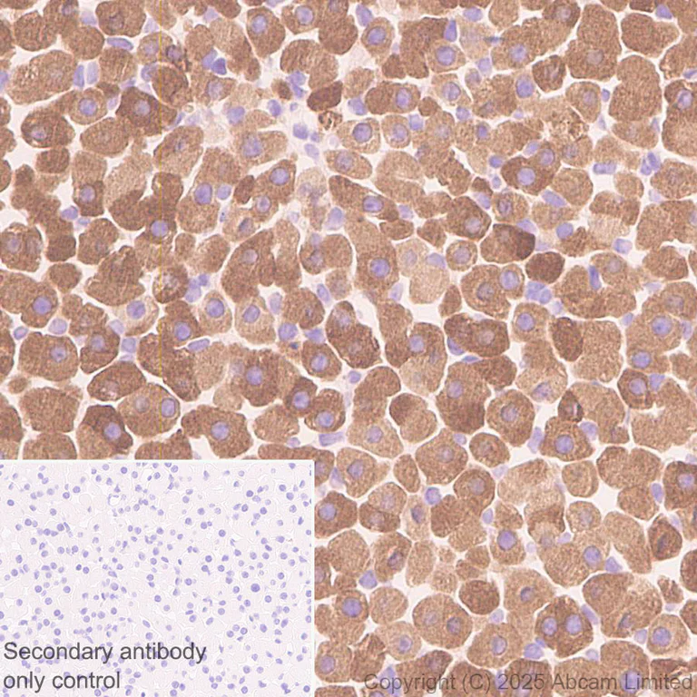
Immunohistochemistry (Formalin/PFA-fixed paraffin-embedded sections) - Anti-CYP21A2 antibody [EPR29787-27] - BSA and Azide free (AB324020)
  • IHC-P

Supplier Data

Immunohistochemistry (Formalin/PFA-fixed paraffin-embedded sections) - Anti-CYP21A2 antibody [EPR29787-27] - BSA and Azide free (AB324020)

This data was developed using ab324019, the same antibody clone in a different buffer formulation.

Immunohistochemical analysis of paraffin-embedded Human adrenal gland tissue labeling CYP21A2 with ab324019 at 1/5000 (0.1 ug/ml) dilution, followed by a ready to use LeicaDS9800 (Bond™ Polymer Refine Detection).

Positive staining in human adrenal gland.
The primary antibody was incubated for 30 mins at room temperature.
The immunostaining was performed on a Leica Biosystems BOND® RX instrument

Counterstained with Hematoxylin.

Secondary antibody only control : Secondary antibody is a ready to use LeicaDS9800 (Bond™ Polymer Refine Detection).

Heat mediated antigen retrieval was performed with Tris-EDTA buffer (pH 9.0, Epitope Retrieval Solution2) for 20 mins

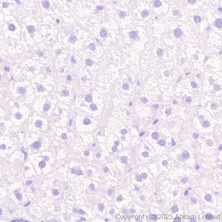
Immunohistochemistry (Formalin/PFA-fixed paraffin-embedded sections) - Anti-CYP21A2 antibody [EPR29787-27] - BSA and Azide free (AB324020)
  • IHC-P

Supplier Data

Immunohistochemistry (Formalin/PFA-fixed paraffin-embedded sections) - Anti-CYP21A2 antibody [EPR29787-27] - BSA and Azide free (AB324020)

This data was developed using ab324019, the same antibody clone in a different buffer formulation.

Immunohistochemical analysis of paraffin-embedded Human liver tissue labeling CYP21A2 with ab324019 at 1/5000 (0.1 ug/ml) dilution, followed by a ready to use LeicaDS9800 (Bond™ Polymer Refine Detection).

Negative control : No staining in human liver.
The primary antibody was incubated for 30 mins at room temperature.
The immunostaining was performed on a Leica Biosystems BOND® RX instrument

Counterstained with Hematoxylin.

Secondary antibody only control : Secondary antibody is a ready to use LeicaDS9800 (Bond™ Polymer Refine Detection).

Heat mediated antigen retrieval was performed with Tris-EDTA buffer (pH 9.0, Epitope Retrieval Solution2) for 20 mins

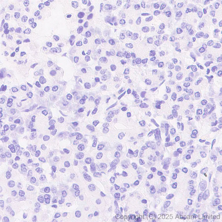
Immunohistochemistry (Formalin/PFA-fixed paraffin-embedded sections) - Anti-CYP21A2 antibody [EPR29787-27] - BSA and Azide free (AB324020)
  • IHC-P

Supplier Data

Immunohistochemistry (Formalin/PFA-fixed paraffin-embedded sections) - Anti-CYP21A2 antibody [EPR29787-27] - BSA and Azide free (AB324020)

This data was developed using ab324019, the same antibody clone in a different buffer formulation.

Immunohistochemical analysis of paraffin-embedded (A) HEK-293T (human embryonic kidney epithelial cell) transfected with a human CYP21A2 expression vector containing a Myc-His tag and (B) HEK-293T transfected with empty vector containing a Myc-His tag labeling CYP21A2 with ab324019 at 1/5000 (0.1 ug/ml) dilution, followed by a ready to use LeicaDS9800 (Bond™ Polymer Refine Detection).

Positive staining in (A) HEK-293T transfected with a human CYP21A2 expression vector containing a Myc-His tag, no signal in (B) HEK-293T transfected with empty vector containing a Myc-His tag.
The primary antibody was incubated for 30 mins at room temperature.
The immunostaining was performed on a Leica Biosystems BOND® RX instrument

Counterstained with Hematoxylin.

Secondary antibody only control : Secondary antibody is a ready to use LeicaDS9800 (Bond™ Polymer Refine Detection).

Heat mediated antigen retrieval was performed with Tris-EDTA buffer (pH 9.0, Epitope Retrieval Solution2) for 20 mins

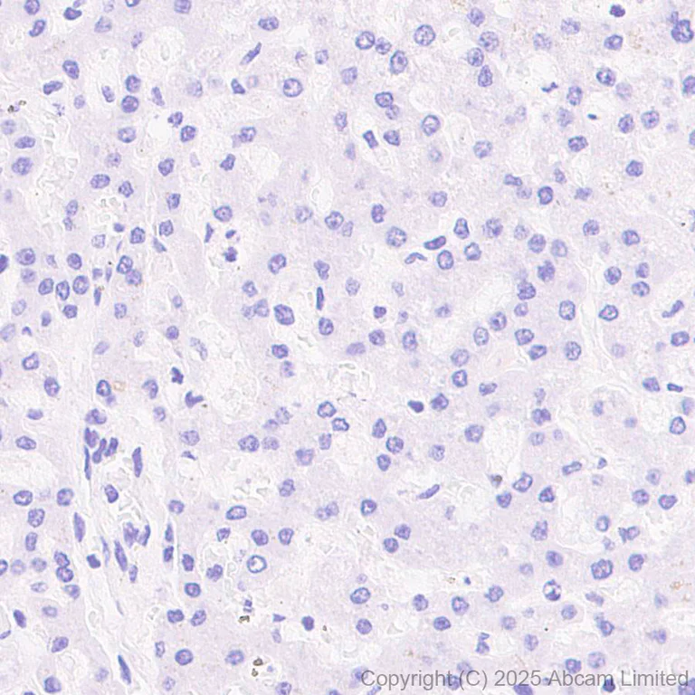
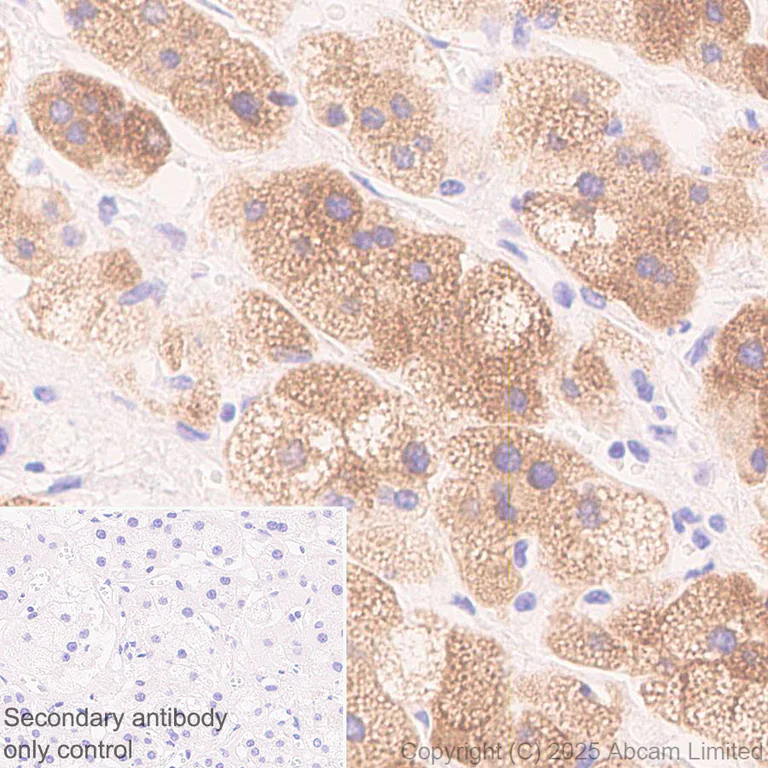
Immunohistochemistry (Formalin/PFA-fixed paraffin-embedded sections) - Anti-CYP21A2 antibody [EPR29787-27] - BSA and Azide free (AB324020)
  • IHC-P

Supplier Data

Immunohistochemistry (Formalin/PFA-fixed paraffin-embedded sections) - Anti-CYP21A2 antibody [EPR29787-27] - BSA and Azide free (AB324020)

This data was developed using ab324019, the same antibody clone in a different buffer formulation.

Immunohistochemical analysis of paraffin-embedded Human pancreas tissue labeling CYP21A2 with ab324019 at 1/5000 (0.1 ug/ml) dilution, followed by a ready to use LeicaDS9800 (Bond™ Polymer Refine Detection).

Negative control : No staining in human pancreas.
The primary antibody was incubated for 30 mins at room temperature.
The immunostaining was performed on a Leica Biosystems BOND® RX instrument

Counterstained with Hematoxylin.

Secondary antibody only control : Secondary antibody is a ready to use LeicaDS9800 (Bond™ Polymer Refine Detection).

Heat mediated antigen retrieval was performed with Tris-EDTA buffer (pH 9.0, Epitope Retrieval Solution2) for 20 mins

Immunohistochemistry (Formalin/PFA-fixed paraffin-embedded sections) - Anti-CYP21A2 antibody [EPR29787-27] - BSA and Azide free (AB324020)
  • IHC-P

Supplier Data

Immunohistochemistry (Formalin/PFA-fixed paraffin-embedded sections) - Anti-CYP21A2 antibody [EPR29787-27] - BSA and Azide free (AB324020)

This data was developed using ab324019, the same antibody clone in a different buffer formulation.

Immunohistochemical analysis of paraffin-embedded Rat adrenal gland tissue labeling CYP21A2 with ab324019 at 1/5000 (0.1 ug/ml) dilution, followed by a ready to use LeicaDS9800 (Bond™ Polymer Refine Detection).

Positive staining in rat adrenal gland.
The primary antibody was incubated for 30 mins at room temperature.
The immunostaining was performed on a Leica Biosystems BOND® RX instrument

Counterstained with Hematoxylin.

Secondary antibody only control : Secondary antibody is a ready to use LeicaDS9800 (Bond™ Polymer Refine Detection).

Heat mediated antigen retrieval was performed with Tris-EDTA buffer (pH 9.0, Epitope Retrieval Solution2) for 20 mins

Immunohistochemistry (Formalin/PFA-fixed paraffin-embedded sections) - Anti-CYP21A2 antibody [EPR29787-27] - BSA and Azide free (AB324020)
  • IHC-P

Supplier Data

Immunohistochemistry (Formalin/PFA-fixed paraffin-embedded sections) - Anti-CYP21A2 antibody [EPR29787-27] - BSA and Azide free (AB324020)

This data was developed using ab324019, the same antibody clone in a different buffer formulation.

Immunohistochemical analysis of paraffin-embedded Mouse adrenal gland tissue labeling CYP21A2 with ab324019 at 1/5000 (0.1 ug/ml) dilution, followed by a ready to use LeicaDS9800 (Bond™ Polymer Refine Detection).

Positive staining in mouse adrenal gland.
The primary antibody was incubated for 30 mins at room temperature.
The immunostaining was performed on a Leica Biosystems BOND® RX instrument

Counterstained with Hematoxylin.

Secondary antibody only control : Secondary antibody is a ready to use LeicaDS9800 (Bond™ Polymer Refine Detection).

Heat mediated antigen retrieval was performed with Tris-EDTA buffer (pH 9.0, Epitope Retrieval Solution2) for 20 mins

Immunohistochemistry (Formalin/PFA-fixed paraffin-embedded sections) - Anti-CYP21A2 antibody [EPR29787-27] - BSA and Azide free (AB324020)
  • IHC-P

Supplier Data

Immunohistochemistry (Formalin/PFA-fixed paraffin-embedded sections) - Anti-CYP21A2 antibody [EPR29787-27] - BSA and Azide free (AB324020)

This data was developed using ab324019, the same antibody clone in a different buffer formulation.

Immunohistochemical analysis of paraffin-embedded Rat liver tissue labeling CYP21A2 with ab324019 at 1/5000 (0.1 ug/ml) dilution, followed by a ready to use LeicaDS9800 (Bond™ Polymer Refine Detection).

Negative control : No staining in rat liver.
The primary antibody was incubated for 30 mins at room temperature.
The immunostaining was performed on a Leica Biosystems BOND® RX instrument

Counterstained with Hematoxylin.

Secondary antibody only control : Secondary antibody is a ready to use LeicaDS9800 (Bond™ Polymer Refine Detection).

Heat mediated antigen retrieval was performed with Tris-EDTA buffer (pH 9.0, Epitope Retrieval Solution2) for 20 mins

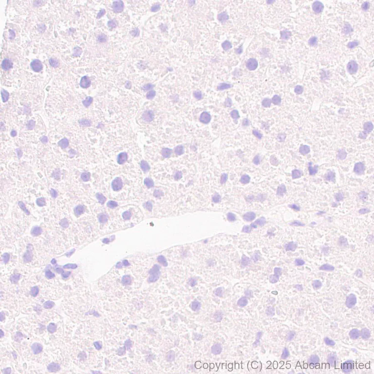
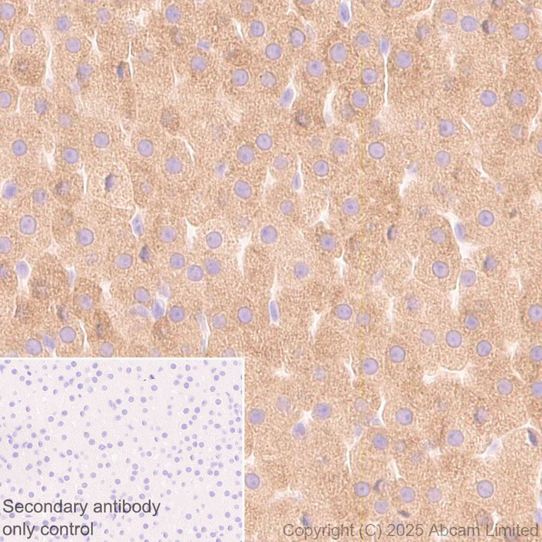
Immunohistochemistry (Formalin/PFA-fixed paraffin-embedded sections) - Anti-CYP21A2 antibody [EPR29787-27] - BSA and Azide free (AB324020)
  • IHC-P

Supplier Data

Immunohistochemistry (Formalin/PFA-fixed paraffin-embedded sections) - Anti-CYP21A2 antibody [EPR29787-27] - BSA and Azide free (AB324020)

This data was developed using ab324019, the same antibody clone in a different buffer formulation.

Immunohistochemical analysis of paraffin-embedded Mouse liver tissue labeling CYP21A2 with ab324019 at 1/5000 (0.1 ug/ml) dilution, followed by a ready to use LeicaDS9800 (Bond™ Polymer Refine Detection).

Negative control : No staining in mouse liver.
The primary antibody was incubated for 30 mins at room temperature.
The immunostaining was performed on a Leica Biosystems BOND® RX instrument

Counterstained with Hematoxylin.

Secondary antibody only control : Secondary antibody is a ready to use LeicaDS9800 (Bond™ Polymer Refine Detection).

Heat mediated antigen retrieval was performed with Tris-EDTA buffer (pH 9.0, Epitope Retrieval Solution2) for 20 mins

Western blot - Anti-CYP21A2 antibody [EPR29787-27] - BSA and Azide free (AB324020)
  • WB

Supplier Data

Western blot - Anti-CYP21A2 antibody [EPR29787-27] - BSA and Azide free (AB324020)

This data was developed using ab324019, the same antibody clone in a different buffer formulation.

Blocking and diluting buffer and concentration : 5% NFDM/TBST.

Negative control : liver, placenta

In Western blot, Anti-GAPDH antibody [EPR16891] - Loading Control (ab181602) staining at 1/200000 dilution.

All lanes:

Western blot - Anti-CYP21A2 antibody [EPR29787-27] (<a href='/en-us/products/primary-antibodies/cyp21a2-antibody-epr29787-27-ab324019'>ab324019</a>) at 1/1000 dilution

Lane 1:

Human adrenal gland tissue lysate at 20 µg

Lane 2:

Human liver tissue lysate at 20 µg

Lane 3:

Mouse adrenal gland tissue lysate at 20 µg

Lane 4:

Mouse liver tissue lysate at 20 µg

Lane 5:

Mouse placenta tissue lysate at 20 µg

Lane 6:

Rat adrenal gland tissue lysate at 20 µg

Lane 7:

Rat liver tissue lysate at 20 µg

Lane 8:

Rat placenta tissue lysate at 20 µg

Secondary

All lanes:

Western blot - Goat Anti-Rabbit IgG H&L (HRP) (<a href='/en-us/products/secondary-antibodies/goat-rabbit-igg-h-l-hrp-ab97051'>ab97051</a>) at 1/100000 dilution

Observed band size: 56 kDa,36 kDa

false

Exposure time: 59s

Key facts

Host species

Rabbit

Clonality

Monoclonal

Clone number

EPR29787-27

Isotype

IgG

Carrier free

Yes

Reacts with

Human, Mouse, Rat

Applications

IHC-P, WB

applications

Immunogen

The exact immunogen used to generate this antibody is proprietary information.

Reactivity data

{ "title": "Reactivity Data", "filters": { "stats": ["", "Species", "Dilution Info", "Notes"], "tabs": { "all-applications": {"fullname" : "All Applications", "shortname": "All Applications"}, "IHCP" : {"fullname" : "Immunohistochemistry (Formalin/PFA-fixed paraffin-embedded sections)", "shortname":"IHC-P"}, "WB" : {"fullname" : "Western blot", "shortname":"WB"} }, "product-promise": { "all": "all", "testedAndGuaranteed": "tested", "guaranteed": "expected", "predicted": "predicted", "notRecommended": "not-recommended" } }, "values": { "Human": { "IHCP-species-checked": "testedAndGuaranteed", "IHCP-species-dilution-info": "", "IHCP-species-notes": "<p></p> Perform heat-mediated antigen retrieval with Tris/EDTA buffer pH 9.0 before commencing with IHC staining protocol.", "WB-species-checked": "testedAndGuaranteed", "WB-species-dilution-info": "", "WB-species-notes": "<p></p>" }, "Mouse": { "IHCP-species-checked": "testedAndGuaranteed", "IHCP-species-dilution-info": "", "IHCP-species-notes": "<p></p> Perform heat-mediated antigen retrieval with Tris/EDTA buffer pH 9.0 before commencing with IHC staining protocol.", "WB-species-checked": "testedAndGuaranteed", "WB-species-dilution-info": "", "WB-species-notes": "<p></p>" }, "Rat": { "IHCP-species-checked": "testedAndGuaranteed", "IHCP-species-dilution-info": "", "IHCP-species-notes": "<p></p> Perform heat-mediated antigen retrieval with Tris/EDTA buffer pH 9.0 before commencing with IHC staining protocol.", "WB-species-checked": "testedAndGuaranteed", "WB-species-dilution-info": "", "WB-species-notes": "<p></p>" }, "Transfected cell line - Human": { "IHCP-species-checked": "testedAndGuaranteed", "IHCP-species-dilution-info": "", "IHCP-species-notes": "<p></p> Perform heat-mediated antigen retrieval with Tris/EDTA buffer pH 9.0 before commencing with IHC staining protocol.", "WB-species-checked": "notRecommended", "WB-species-dilution-info": "", "WB-species-notes": "" } } }

Product details

ab324020 is the carrier free version of ab324019.

Patented technology
Our RabMAb® technology is a patented hybridoma-based technology for making rabbit monoclonal antibodies. For details on our patents, please refer to RabMAb® patents.

What are the advantages of a recombinant monoclonal antibody?
This product is a recombinant monoclonal antibody, which offers several advantages including:

  • - High batch-to-batch consistency and reproducibility
  • - Improved sensitivity and specificity
  • - Long-term security of supply
  • - Animal-free batch production

For more information, read more on recombinant antibodies.

Conjugation ready
Our carrier-free antibodies are typically supplied in a PBS-only formulation, purified and free of BSA, sodium azide and glycerol. This conjugation-ready format is designed for use with fluorochromes, metal isotopes, oligonucleotides, and enzymes, which makes them ideal for antibody labelling, functional and cell-based assays, flow-based assays (e.g. mass cytometry) and Multiplex Imaging applications.

Use our conjugation kits for antibody conjugates that are ready-to-use in as little as 20 minutes with 1 minute hands-on-time and 100% antibody recovery: available for fluorescent dyes, HRP, biotin and gold.

Compatibility
This product is compatible with the Maxpar® Antibody Labeling Kit from Fluidigm, without the need for antibody preparation. Maxpar® is a trademark of Fluidigm Canada Inc.

Properties and storage information

Form
Liquid
Purification technique
Affinity purification Protein A
Storage buffer
pH: 7.2 - 7.4 Constituents: PBS
Shipped at conditions
Blue Ice
Appropriate short-term storage conditions
+4°C
Appropriate long-term storage conditions
+4°C

Product protocols

For this product, it's our understanding that no specific protocols are required. You can visit:

Target data

A cytochrome P450 monooxygenase that plays a major role in adrenal steroidogenesis. Catalyzes the hydroxylation at C-21 of progesterone and 17alpha-hydroxyprogesterone to respectively form 11-deoxycorticosterone and 11-deoxycortisol, intermediate metabolites in the biosynthetic pathway of mineralocorticoids and glucocorticoids (PubMed : 10602386, PubMed : 16984992, PubMed : 22014889, PubMed : 25855791, PubMed : 27721825). Mechanistically, uses molecular oxygen inserting one oxygen atom into a substrate, and reducing the second into a water molecule, with two electrons provided by NADPH via cytochrome P450 reductase (CPR; NADPH-ferrihemoprotein reductase) (PubMed : 25855791).
See full target information CYP21A2

Additional targets

Cyp21,

Product promise

We are committed to supporting your work with high-quality reagents, and we're here for you every step of the way. In the unlikely event that one of our products does not perform as expected, you're protected by our Product Promise.
For full details, please see our Terms & Conditions

Please note: All products are 'FOR RESEARCH USE ONLY. NOT FOR USE IN DIAGNOSTIC OR THERAPEUTIC PROCEDURES'.

For licensing inquiries, please contact partnerships@abcam.com