JavaScript is disabled in your browser. Please enable JavaScript to view this website.
AB249693

Anti-CYP26A1 antibody [EPR11841] - BSA and Azide free

Be the first to review this product! Submit a review

|

(1 Publication)

Rabbit Recombinant Monoclonal CYP26A1 antibody. Carrier free. Suitable for IHC-P, WB and reacts with Human samples. Cited in 1 publication.

View Alternative Names

CYP26, P450RAI1, CYP26A1, Cytochrome P450 26A1, Cytochrome P450 retinoic acid-inactivating 1, Retinoic acid 4-hydroxylase, Retinoic acid-metabolizing cytochrome, Cytochrome P450RAI, hP450RAI

7 Images
Immunohistochemistry (Formalin/PFA-fixed paraffin-embedded sections) - Anti-CYP26A1 antibody [EPR11841] - BSA and Azide free (AB249693)
  • IHC-P

Supplier Data

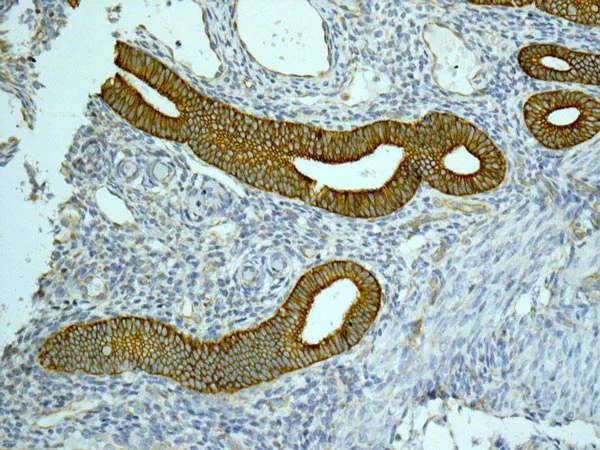
Immunohistochemistry (Formalin/PFA-fixed paraffin-embedded sections) - Anti-CYP26A1 antibody [EPR11841] - BSA and Azide free (AB249693)

This data was developed using ab172474, the same antibody clone in a different buffer formulation.

ab172474 showing +ve staining in Human normal uterus tissue.

Perform heat mediated antigen retrieval with citrate buffer pH 6 before commencing with IHC staining protocol.

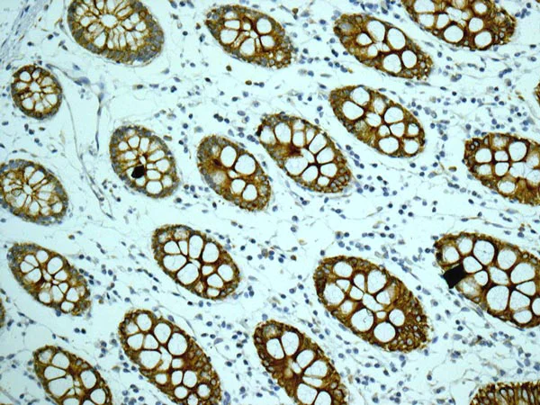
Immunohistochemistry (Formalin/PFA-fixed paraffin-embedded sections) - Anti-CYP26A1 antibody [EPR11841] - BSA and Azide free (AB249693)
  • IHC-P

Supplier Data

Immunohistochemistry (Formalin/PFA-fixed paraffin-embedded sections) - Anti-CYP26A1 antibody [EPR11841] - BSA and Azide free (AB249693)

This data was developed using ab172474, the same antibody clone in a different buffer formulation.

ab172474 showing +ve staining in Human normal colon tissue. Perform heat mediated antigen retrieval with citrate buffer pH 6 before commencing with IHC staining protocol.

Immunohistochemistry (Formalin/PFA-fixed paraffin-embedded sections) - Anti-CYP26A1 antibody [EPR11841] - BSA and Azide free (AB249693)
  • IHC-P

Supplier Data

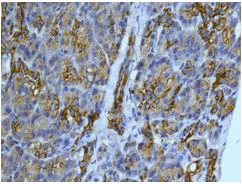
Immunohistochemistry (Formalin/PFA-fixed paraffin-embedded sections) - Anti-CYP26A1 antibody [EPR11841] - BSA and Azide free (AB249693)

This data was developed using ab172474, the same antibody clone in a different buffer formulation.

Immunohistochemical analysis of paraffin embedded Human liver tissue labeling CYP26A1 with ab172474 at 1/250 dilution.

Perform heat mediated antigen retrieval with citrate buffer pH 6 before commencing with IHC staining protocol.

Immunohistochemistry (Formalin/PFA-fixed paraffin-embedded sections) - Anti-CYP26A1 antibody [EPR11841] - BSA and Azide free (AB249693)
  • IHC-P

Supplier Data

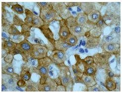
Immunohistochemistry (Formalin/PFA-fixed paraffin-embedded sections) - Anti-CYP26A1 antibody [EPR11841] - BSA and Azide free (AB249693)

This data was developed using ab172474, the same antibody clone in a different buffer formulation.

Immunohistochemical analysis of paraffin embedded Human pancreas tissue labeling CYP26A1 with ab172474 at 1/250 dilution.

Perform heat mediated antigen retrieval with citrate buffer pH 6 before commencing with IHC staining protocol.

Immunohistochemistry (Formalin/PFA-fixed paraffin-embedded sections) - Anti-CYP26A1 antibody [EPR11841] - BSA and Azide free (AB249693)
  • IHC-P

Unknown

Immunohistochemistry (Formalin/PFA-fixed paraffin-embedded sections) - Anti-CYP26A1 antibody [EPR11841] - BSA and Azide free (AB249693)

This data was developed using ab172474, the same antibody clone in a different buffer formulation.

ab172474 showing -ve staining in Human heart muscle tissue.

Perform heat mediated antigen retrieval with citrate buffer pH 6 before commencing with IHC staining protocol.

Immunohistochemistry (Formalin/PFA-fixed paraffin-embedded sections) - Anti-CYP26A1 antibody [EPR11841] - BSA and Azide free (AB249693)
  • IHC-P

Unknown

Immunohistochemistry (Formalin/PFA-fixed paraffin-embedded sections) - Anti-CYP26A1 antibody [EPR11841] - BSA and Azide free (AB249693)

This data was developed using ab172474, the same antibody clone in a different buffer formulation.

ab172474 showing -ve staining in Human skeletal muscle tissue.

Perform heat mediated antigen retrieval with citrate buffer pH 6 before commencing with IHC staining protocol.

Western blot - Anti-CYP26A1 antibody [EPR11841] - BSA and Azide free (AB249693)
  • WB

Supplier Data

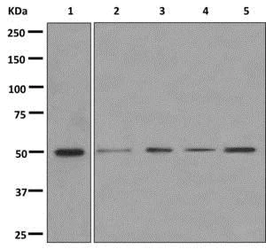
Western blot - Anti-CYP26A1 antibody [EPR11841] - BSA and Azide free (AB249693)

This data was developed using ab172474, the same antibody clone in a different buffer formulation.

All lanes:

Western blot - Anti-CYP26A1 antibody [EPR11841] (<a href='/en-us/products/primary-antibodies/cyp26a1-antibody-epr11841-ab172474'>ab172474</a>) at 1/1000 dilution

Lane 1:

Human placenta tissue lysate at 10 µg

Lane 2:

Human fetal liver tissue lysate at 10 µg

Lane 3:

Human fetal kidney tissue lysate at 10 µg

Lane 4:

293T (Human embryonic kidney epithelial cell) cell lysate at 10 µg

Lane 5:

HepG2 cell lysate at 10 µg

Predicted band size: 56 kDa

false

Key facts

Host species

Rabbit

Clonality

Monoclonal

Clone number

EPR11841

Isotype

IgG

Carrier free

Yes

Reacts with

Human

Applications

WB, IHC-P

applications

Immunogen

The exact immunogen used to generate this antibody is proprietary information.

Reactivity data

{ "title": "Reactivity Data", "filters": { "stats": ["", "Species", "Dilution Info", "Notes"], "tabs": { "all-applications": {"fullname" : "All Applications", "shortname": "All Applications"}, "IHCP" : {"fullname" : "Immunohistochemistry (Formalin/PFA-fixed paraffin-embedded sections)", "shortname":"IHC-P"}, "IP" : {"fullname" : "Immunoprecipitation", "shortname":"IP"}, "FlowCyt" : {"fullname" : "Flow Cytometry", "shortname":"Flow Cyt"}, "WB" : {"fullname" : "Western blot", "shortname":"WB"}, "ICCIF" : {"fullname" : "Immunocytochemistry/ Immunofluorescence", "shortname":"ICC/IF"} }, "product-promise": { "all": "all", "testedAndGuaranteed": "tested", "guaranteed": "expected", "predicted": "predicted", "notRecommended": "not-recommended" } }, "values": { "Human": { "IHCP-species-checked": "testedAndGuaranteed", "IHCP-species-dilution-info": "", "IHCP-species-notes": "<p></p> Perform heat-mediated antigen retrieval with citrate buffer pH 6 before commencing with IHC staining protocol.", "IP-species-checked": "notRecommended", "IP-species-dilution-info": "", "IP-species-notes": "<p></p>", "FlowCyt-species-checked": "notRecommended", "FlowCyt-species-dilution-info": "", "FlowCyt-species-notes": "<p></p>", "WB-species-checked": "testedAndGuaranteed", "WB-species-dilution-info": "", "WB-species-notes": "<p></p>", "ICCIF-species-checked": "notRecommended", "ICCIF-species-dilution-info": "", "ICCIF-species-notes": "<p></p>" }, "Mouse": { "IHCP-species-checked": "notRecommended", "IHCP-species-dilution-info": "", "IHCP-species-notes": "<p></p> Perform heat-mediated antigen retrieval with citrate buffer pH 6 before commencing with IHC staining protocol.", "IP-species-checked": "notRecommended", "IP-species-dilution-info": "", "IP-species-notes": "<p></p>", "FlowCyt-species-checked": "notRecommended", "FlowCyt-species-dilution-info": "", "FlowCyt-species-notes": "<p></p>", "WB-species-checked": "notRecommended", "WB-species-dilution-info": "", "WB-species-notes": "<p></p>", "ICCIF-species-checked": "notRecommended", "ICCIF-species-dilution-info": "", "ICCIF-species-notes": "<p></p>" }, "Rat": { "IHCP-species-checked": "notRecommended", "IHCP-species-dilution-info": "", "IHCP-species-notes": "", "IP-species-checked": "notRecommended", "IP-species-dilution-info": "", "IP-species-notes": "", "FlowCyt-species-checked": "notRecommended", "FlowCyt-species-dilution-info": "", "FlowCyt-species-notes": "", "WB-species-checked": "notRecommended", "WB-species-dilution-info": "", "WB-species-notes": "", "ICCIF-species-checked": "notRecommended", "ICCIF-species-dilution-info": "", "ICCIF-species-notes": "" } } }

Product details

ab249693 is the carrier-free version of ab172474.

Patented technology
Our RabMAb® technology is a patented hybridoma-based technology for making rabbit monoclonal antibodies. For details on our patents, please refer to RabMAb® patents.

What are the advantages of a recombinant monoclonal antibody?
This product is a recombinant monoclonal antibody, which offers several advantages including:

  • - High batch-to-batch consistency and reproducibility
  • - Improved sensitivity and specificity
  • - Long-term security of supply
  • - Animal-free batch production

For more information, read more on recombinant antibodies.

Conjugation ready
Our carrier-free antibodies are typically supplied in a PBS-only formulation, purified and free of BSA, sodium azide and glycerol. This conjugation-ready format is designed for use with fluorochromes, metal isotopes, oligonucleotides, and enzymes, which makes them ideal for antibody labelling, functional and cell-based assays, flow-based assays (e.g. mass cytometry) and Multiplex Imaging applications.

Use our conjugation kits for antibody conjugates that are ready-to-use in as little as 20 minutes with 1 minute hands-on-time and 100% antibody recovery: available for fluorescent dyes, HRP, biotin and gold.

Compatibility
This product is compatible with the Maxpar® Antibody Labeling Kit from Fluidigm, without the need for antibody preparation. Maxpar® is a trademark of Fluidigm Canada Inc.

Properties and storage information

Form
Liquid
Purification technique
Affinity purification
Storage buffer
pH: 7.2 - 7.4 Constituents: PBS
Shipped at conditions
Blue Ice
Appropriate short-term storage conditions
+4°C
Appropriate long-term storage conditions
+4°C
Storage information
Do Not Freeze

Supplementary information

This supplementary information is collated from multiple sources and compiled automatically.

CYP26A1 also known as Cytochrome P450 26A1 is a member of the cytochrome P450 superfamily responsible for the metabolism of endogenous and exogenous compounds. This enzyme weighs approximately 55 kDa. It plays an important role in the oxidative metabolism of retinoic acid a form of vitamin A. Predominantly it is expressed in the liver but expression is also seen in other tissues like brain and placenta. Monoclonal antibodies targeting CYP26A1 can facilitate research to better understand these expressions.
Biological function summary

CYP26A1 controls the levels of retinoic acid within cells by catalyzing its 4-hydroxylation ensuring precise regulation of cellular differentiation and proliferation. It is a part of the broader retinoid metabolism system which involves several other P450 enzymes that ensure the metabolic balance of retinoic acid. CYP26A1 works with these enzymes to tightly regulate this critical signaling molecule's presence impacting development processes.

Pathways

CYP26A1 significantly contributes to the retinol metabolism pathway and the broader retinoid signaling pathway. Its action helps manage the intricate balance of retinoic acid connecting it functionally to other cytochrome P450 enzymes like CYP26B1. These pathways play essential roles in modulating gene expression patterns during embryonic development and tissue differentiation.

CYP26A1's dysregulation relates to disorders such as congenital diaphragmatic hernia and certain cancers. Altered enzymatic activity affects retinoic acid levels leading to disrupted tissue differentiation and development. In some cancers proteins like retinoic acid receptor alpha (RARA) interact with dysregulated retinoic acid levels due to CYP26A1 anomalies influencing cancer progression and potential therapeutic targets.

Product protocols

For this product, it's our understanding that no specific protocols are required. You can visit:

Target data

A cytochrome P450 monooxygenase involved in the metabolism of retinoates (RAs), the active metabolites of vitamin A, and critical signaling molecules in animals (PubMed : 22020119, PubMed : 9228017, PubMed : 9716180). RAs exist as at least four different isomers : all-trans-RA (atRA), 9-cis-RA, 13-cis-RA, and 9,13-dicis-RA, where atRA is considered to be the biologically active isomer, although 9-cis-RA and 13-cis-RA also have activity (Probable). Catalyzes the hydroxylation of atRA primarily at C-4 and C-18, thereby contributing to the regulation of atRA homeostasis and signaling (PubMed : 22020119, PubMed : 9228017, PubMed : 9716180). Hydroxylation of atRA limits its biological activity and initiates a degradative process leading to its eventual elimination (Probable). Involved in the convertion of atRA to all-trans-4-oxo-RA. Able to metabolize other RAs such as 9-cis, 13-cis and 9,13-di-cis RA (By similarity) (PubMed : 9228017). Can oxidize all-trans-13,14-dihydroretinoate (DRA) to metabolites which could include all-trans-4-oxo-DRA, all-trans-4-hydroxy-DRA, all-trans-5,8-epoxy-DRA, and all-trans-18-hydroxy-DRA (By similarity). May play a role in the oxidative metabolism of xenobiotics such as tazarotenic acid (PubMed : 26937021).
See full target information CYP26A1

Publications (1)

Recent publications for all applications. Explore the full list and refine your search

Oxidative medicine and cellular longevity 2021:8379962 PubMed34630853

2021

circ_0023461 Silencing Protects Cardiomyocytes from Hypoxia-Induced Dysfunction through Targeting miR-370-3p/PDE4D Signaling.

Applications

Unspecified application

Species

Unspecified reactive species

Kai Ren,Buying Li,Liqing Jiang,Zhiheng Liu,Fan Wu,Yi Zhang,Jincheng Liu,Weixun Duan
View all publications

Product promise

We are committed to supporting your work with high-quality reagents, and we're here for you every step of the way. In the unlikely event that one of our products does not perform as expected, you're protected by our Product Promise.
For full details, please see our Terms & Conditions

Please note: All products are 'FOR RESEARCH USE ONLY. NOT FOR USE IN DIAGNOSTIC OR THERAPEUTIC PROCEDURES'.

For licensing inquiries, please contact partnerships@abcam.com