JavaScript is disabled in your browser. Please enable JavaScript to view this website.
AB206655

Anti-CYP27B1 antibody [EPR20271]

4

(1 Review)

|

(21 Publications)

Rabbit Recombinant Monoclonal CYP27B1 antibody. Suitable for IP, WB, IHC-P and reacts with Human, Mouse, Rat, Recombinant fragment samples. Cited in 21 publications.

View Alternative Names

CYP1ALPHA, CYP27B, CYP27B1, 25-OHD-1 alpha-hydroxylase, 25-hydroxyvitamin D(3) 1-alpha-hydroxylase, Calcidiol 1-monooxygenase, Cytochrome P450 subfamily XXVIIB polypeptide 1, Cytochrome P450C1 alpha, Cytochrome P450VD1-alpha, Cytochrome p450 27B1, VD3 1A hydroxylase

8 Images
Immunohistochemistry (Formalin/PFA-fixed paraffin-embedded sections) - Anti-CYP27B1 antibody [EPR20271] (AB206655)
  • IHC-P

Supplier Data

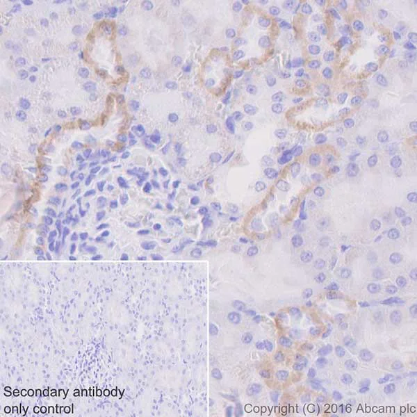
Immunohistochemistry (Formalin/PFA-fixed paraffin-embedded sections) - Anti-CYP27B1 antibody [EPR20271] (AB206655)

Immunohistochemical analysis of paraffin-embedded human kidney tissue labeling CYP27B1 with ab206655 at 1/2000 dilution, followed by Goat Anti-Rabbit IgG H&L (HRP) (ab97051) at 1/500 dilution. Strong cytoplasmic staining on distal convoluted tubules of human kidney. Weaker cytoplasmic staining on proximal convoluted tubules [PMID : 23416105] [PMID : 12050281].

Counter stained with Hematoxylin.

Secondary antibody only control : Used PBS instead of primary antibody, secondary antibody is Goat Anti-Rabbit IgG H&L (HRP) (ab97051) at 1/500 dilution.

Perform heat mediated antigen retrieval with Tris/EDTA buffer pH 9.0 before commencing with IHC staining protocol.

Immunoprecipitation - Anti-CYP27B1 antibody [EPR20271] (AB206655)
  • IP

Supplier Data

Immunoprecipitation - Anti-CYP27B1 antibody [EPR20271] (AB206655)

CYP27B1 was immunoprecipitated from 0.35 mg of MeWo (Human malignant melanoma cell line) whole cell lysate with ab206655 at 1/40 dilution. Western blot was performed from the immunoprecipitate using ab206655 at 1/1000 dilution. VeriBlot for IP Detection Reagent (HRP) (ab131366), was used for detection at 1/10000 dilution.

Lane 1 : MeWo whole cell lysate, 10 μg (Input).

Lane 2 : ab206655 IP in MeWo whole cell lysate.

Lane 3 : Rabbit monoclonal IgG (ab172730) instead of ab206655 in MeWo whole cell lysate.

Blocking and dilution buffer and concentration : 5% NFDM/TBST.

Exposure time : 30 seconds.

All lanes:

Immunoprecipitation - Anti-CYP27B1 antibody [EPR20271] (ab206655)

Predicted band size: 57 kDa

Observed band size: 45 kDa

false

Immunohistochemistry (Formalin/PFA-fixed paraffin-embedded sections) - Anti-CYP27B1 antibody [EPR20271] (AB206655)
  • IHC-P

Supplier Data

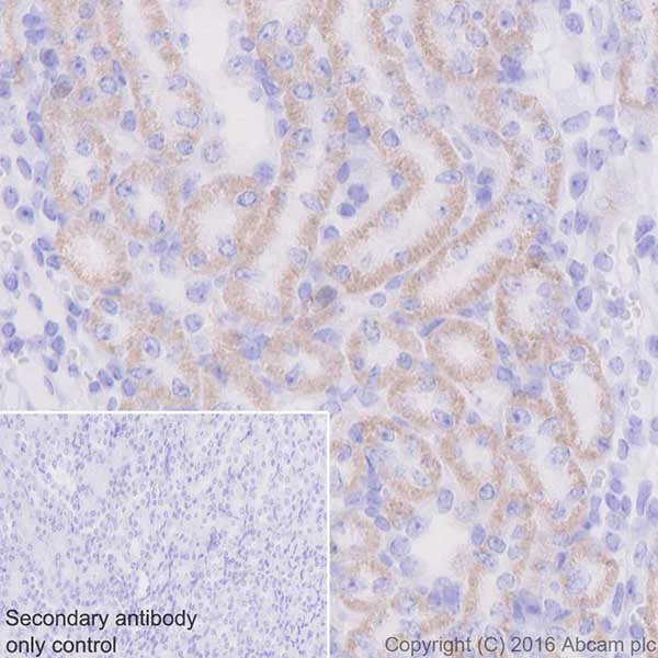
Immunohistochemistry (Formalin/PFA-fixed paraffin-embedded sections) - Anti-CYP27B1 antibody [EPR20271] (AB206655)

Immunohistochemical analysis of paraffin-embedded rat kidney tissue labeling CYP27B1 with ab206655 at 1/2000 dilution, followed by Goat Anti-Rabbit IgG H&L (HRP) (ab97051) at 1/500 dilution. Cytoplasmic staining on rat kidney tubules [PMID : 23416105] [PMID : 12050281].

Counter stained with Hematoxylin.

Secondary antibody only control : Used PBS instead of primary antibody, secondary antibody is Goat Anti-Rabbit IgG H&L (HRP) (ab97051) at 1/500 dilution.

Perform heat mediated antigen retrieval with Tris/EDTA buffer pH 9.0 before commencing with IHC staining protocol.

Immunohistochemistry (Formalin/PFA-fixed paraffin-embedded sections) - Anti-CYP27B1 antibody [EPR20271] (AB206655)
  • IHC-P

Supplier Data

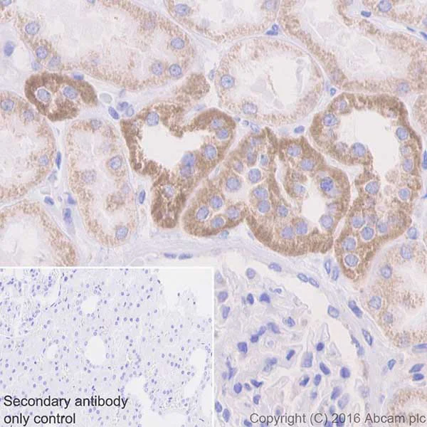
Immunohistochemistry (Formalin/PFA-fixed paraffin-embedded sections) - Anti-CYP27B1 antibody [EPR20271] (AB206655)

Immunohistochemical analysis of paraffin-embedded mouse kidney tissue labeling CYP27B1 with ab206655 at 1/2000 dilution, followed by Goat Anti-Rabbit IgG H&L (HRP) (ab97051) at 1/500 dilution. Cytoplasmic staining on mouse kidney tubules [PMID : 23416105] [PMID : 12050281].

Counter stained with Hematoxylin.

Secondary antibody only control : Used PBS instead of primary antibody, secondary antibody is Goat Anti-Rabbit IgG H&L (HRP) (ab97051) at 1/500 dilution.

Perform heat mediated antigen retrieval with Tris/EDTA buffer pH 9.0 before commencing with IHC staining protocol.

Western blot - Anti-CYP27B1 antibody [EPR20271] (AB206655)
  • WB

Supplier Data

Western blot - Anti-CYP27B1 antibody [EPR20271] (AB206655)

Blocking/Dilution buffer : 5% NFDM/TBST.

The expression profile/ molecular weight observed is consistent with what has been described in the literature (PMID : 16061850).

All lanes:

Western blot - Anti-CYP27B1 antibody [EPR20271] (ab206655) at 1/1000 dilution

Lane 1:

Human fetal kidney lysate at 20 µg

Lane 2:

Human fetal liver lysate at 20 µg

Secondary

All lanes:

Western blot - VeriBlot for IP Detection Reagent (HRP) (<a href='/en-us/products/reagents/veriblot-for-ip-detection-reagent-hrp-ab131366'>ab131366</a>) at 1/4000 dilution

Predicted band size: 57 kDa

Observed band size: 45 kDa

false

Exposure time: 30s

Western blot - Anti-CYP27B1 antibody [EPR20271] (AB206655)
  • WB

Supplier Data

Western blot - Anti-CYP27B1 antibody [EPR20271] (AB206655)

Blocking/Dilution buffer : 5% NFDM/TBST.

THP-1 is a negative control (PMID : 16930540).

The molecular weight observed is consistent with what has been described in the literature (PMID : 16061850).

All lanes:

Western blot - Anti-CYP27B1 antibody [EPR20271] (ab206655) at 1/2000 dilution

Lane 1:

THP-1 (Human monocytic leukemia cell line) whole cell lysate at 20 µg

Lane 2:

HaCaT (Human keratinocyte cell line) whole cell lysate at 20 µg

Lane 3:

MeWo (Human malignant melanoma cell line) whole cell lysate at 20 µg

Lane 4:

HeLa (Human epithelial cell line from cervix adenocarcinoma) whole cell lysate at 20 µg

Lane 5:

Human fetal heart lysate at 20 µg

Lane 6:

Human fetal brain lysate at 20 µg

Secondary

Lanes 1 - 4:

Western blot - Goat Anti-Rabbit IgG H&L (HRP) (<a href='/en-us/products/secondary-antibodies/goat-rabbit-igg-h-l-hrp-ab97051'>ab97051</a>) at 1/100000 dilution

Lanes 5 - 6:

Western blot - VeriBlot for IP Detection Reagent (HRP) (<a href='/en-us/products/reagents/veriblot-for-ip-detection-reagent-hrp-ab131366'>ab131366</a>) at 1/4000 dilution

Predicted band size: 57 kDa

Observed band size: 45 kDa,70 kDa

false

Exposure time: 3min

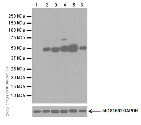
Western blot - Anti-CYP27B1 antibody [EPR20271] (AB206655)
  • WB

Supplier Data

Western blot - Anti-CYP27B1 antibody [EPR20271] (AB206655)

Blocking/Dilution buffer : 5% NFDM/TBST.

Exposure times : Lane 1, 2, 3 and 4 : 1 second; Lane 5 : 3 seconds.

All lanes:

Western blot - Anti-CYP27B1 antibody [EPR20271] (ab206655) at 1/1000 dilution

Lane 1:

Mouse heart lysate at 10 µg

Lane 2:

Mouse kidney lysate at 10 µg

Lane 3:

Rat heart lysate at 10 µg

Lane 4:

Rat kidney lysate at 10 µg

Lane 5:

Rat brain lysate at 10 µg

Secondary

All lanes:

Western blot - Goat Anti-Rabbit IgG H&L (HRP) (<a href='/en-us/products/secondary-antibodies/goat-rabbit-igg-h-l-hrp-ab97051'>ab97051</a>) at 1/100000 dilution

Predicted band size: 57 kDa

Observed band size: 57 kDa

false

Western blot - Anti-CYP27B1 antibody [EPR20271] (AB206655)
  • WB

Supplier Data

Western blot - Anti-CYP27B1 antibody [EPR20271] (AB206655)

Blocking buffer and concentration :  5% NFDM/TBST.  Diluting buffer and concentration :  5% NFDM/TBST.

Lane 1:

Western blot - Anti-CYP27B1 antibody [EPR20271] (ab206655) at 1/1000 dilution

Lane 2:

Anti-His-tag antibody at 1/200 dilution

All lanes:

Recombinant CYP27B1 protein

Secondary

All lanes:

Western blot - Goat Anti-Rabbit IgG H&L (HRP) (<a href='/en-us/products/secondary-antibodies/goat-rabbit-igg-h-l-hrp-ab97051'>ab97051</a>) at 1/20000 dilution

Predicted band size: 57 kDa

Observed band size: 56 kDa

false

Exposure time: 3s

  • Carrier free

    Anti-CYP27B1 antibody [EPR20271] - BSA and Azide free

Key facts

Host species

Rabbit

Clonality

Monoclonal

Clone number

EPR20271

Isotype

IgG

Carrier free

No

Reacts with

Rat, Human, Mouse

Applications

WB, IP, IHC-P

applications

Immunogen

The exact immunogen used to generate this antibody is proprietary information.

Reactivity data

{ "title": "Reactivity Data", "filters": { "stats": ["", "Species", "Dilution Info", "Notes"], "tabs": { "all-applications": {"fullname" : "All Applications", "shortname": "All Applications"}, "IP" : {"fullname" : "Immunoprecipitation", "shortname":"IP"}, "WB" : {"fullname" : "Western blot", "shortname":"WB"}, "IHCP" : {"fullname" : "Immunohistochemistry (Formalin/PFA-fixed paraffin-embedded sections)", "shortname":"IHC-P"} }, "product-promise": { "all": "all", "testedAndGuaranteed": "tested", "guaranteed": "expected", "predicted": "predicted", "notRecommended": "not-recommended" } }, "values": { "Human": { "IP-species-checked": "testedAndGuaranteed", "IP-species-dilution-info": "1/40", "IP-species-notes": "<p></p>", "WB-species-checked": "testedAndGuaranteed", "WB-species-dilution-info": "1/1000", "WB-species-notes": "<p></p>", "IHCP-species-checked": "testedAndGuaranteed", "IHCP-species-dilution-info": "1/2000", "IHCP-species-notes": "<p></p>" }, "Mouse": { "IP-species-checked": "guaranteed", "IP-species-dilution-info": "", "IP-species-notes": "", "WB-species-checked": "testedAndGuaranteed", "WB-species-dilution-info": "1/1000", "WB-species-notes": "<p></p>", "IHCP-species-checked": "testedAndGuaranteed", "IHCP-species-dilution-info": "1/2000", "IHCP-species-notes": "<p></p>" }, "Rat": { "IP-species-checked": "guaranteed", "IP-species-dilution-info": "", "IP-species-notes": "", "WB-species-checked": "testedAndGuaranteed", "WB-species-dilution-info": "1/1000", "WB-species-notes": "<p></p>", "IHCP-species-checked": "testedAndGuaranteed", "IHCP-species-dilution-info": "1/2000", "IHCP-species-notes": "<p></p>" }, "Recombinant fragment": { "IP-species-checked": "notRecommended", "IP-species-dilution-info": "", "IP-species-notes": "", "WB-species-checked": "testedAndGuaranteed", "WB-species-dilution-info": "1/1000", "WB-species-notes": "<p></p>", "IHCP-species-checked": "notRecommended", "IHCP-species-dilution-info": "", "IHCP-species-notes": "" } } }

Product details

Patented technology
Our RabMAb® technology is a patented hybridoma-based technology for making rabbit monoclonal antibodies. For details on our patents, please refer to RabMAb® patents.

What are the advantages of a recombinant monoclonal antibody?
This product is a recombinant monoclonal antibody, which offers several advantages including:

  • - High batch-to-batch consistency and reproducibility
  • - Improved sensitivity and specificity
  • - Long-term security of supply
  • - Animal-free batch production

For more information, read more on recombinant antibodies.

Properties and storage information

Form
Liquid
Purification technique
Affinity purification Protein A
Storage buffer
pH: 7.2 - 7.4 Preservative: 0.01% Sodium azide Constituents: PBS, 40% Glycerol (glycerin, glycerine), 0.05% BSA
Shipped at conditions
Blue Ice
Appropriate short-term storage duration
1-2 weeks
Appropriate short-term storage conditions
+4°C
Appropriate long-term storage conditions
-20°C
Aliquoting information
Upon delivery aliquot
Storage information
Avoid freeze / thaw cycle

Supplementary information

This supplementary information is collated from multiple sources and compiled automatically.

Cytochrome P450 family 27 subfamily B member 1 (CYP27B1) also known as 25-hydroxyvitamin D3 1-alpha-hydroxylase plays a mechanical role in the hydroxylation of 25-hydroxyvitamin D3 into the active form 125-dihydroxyvitamin D3 (calcitriol). This enzyme is approximately 56 kDa in size. Expression is notably high in the kidneys which is the primary site for its enzymatic activity but it is also present in several other tissues including skin lungs and immune cells.
Biological function summary

The active form of vitamin D produced by CYP27B1 is essential for maintaining mineral homeostasis and bone health. The enzyme is not traditionally part of a larger protein complex but works closely with vitamin D binding proteins to interact with its substrates. The active vitamin D influences calcium and phosphate balance in the body which has implications for overall bone integrity and immune system regulation.

Pathways

CYP27B1 plays a significant role in the vitamin D metabolic pathway and the calcium signaling pathway. It functions upstream of the vitamin D receptor (VDR) that helps control calcium absorption in the gut. CYP24A1 another related cytochrome P450 enzyme participates in degrading the active form of vitamin D maintaining an important balance within the system. Together these pathways and proteins help regulate calcium levels critical to many physiological processes.

CYP27B1 has notable connections to rickets and osteoporosis. Mutations in the CYP27B1 gene can lead to reduced or absent enzyme activity resulting in Vitamin D-dependent rickets type 1 characterized by impaired bone mineralization. Its activity also affects osteoporosis a condition of reduced bone density. The balance between CYP27B1 and CYP24A1 is important in understanding the pathogenesis of these bone-related disorders where altered vitamin D metabolism can contribute to disease development.

Product protocols

For this product, it's our understanding that no specific protocols are required. You can visit:

Target data

A cytochrome P450 monooxygenase involved in vitamin D metabolism and in calcium and phosphorus homeostasis. Catalyzes the rate-limiting step in the activation of vitamin D in the kidney, namely the hydroxylation of 25-hydroxyvitamin D3/calcidiol at the C1alpha-position to form the hormonally active form of vitamin D3, 1alpha,25-dihydroxyvitamin D3/calcitriol that acts via the vitamin D receptor (VDR) (PubMed : 10518789, PubMed : 10566658, PubMed : 12050193, PubMed : 22862690, PubMed : 9486994). Has 1alpha-hydroxylase activity on vitamin D intermediates of the CYP24A1-mediated inactivation pathway (PubMed : 10518789, PubMed : 22862690). Converts 24R,25-dihydroxyvitamin D3/secalciferol to 1-alpha,24,25-trihydroxyvitamin D3, an active ligand of VDR. Also active on 25-hydroxyvitamin D2 (PubMed : 10518789). Mechanistically, uses molecular oxygen inserting one oxygen atom into a substrate, and reducing the second into a water molecule, with two electrons provided by NADPH via FDXR/adrenodoxin reductase and FDX1/adrenodoxin (PubMed : 22862690).
See full target information CYP27B1

Publications (21)

Recent publications for all applications. Explore the full list and refine your search

World journal of diabetes 16:102727 PubMed40548274

2025

Mechanism of trypsin-mediated differentiation of pancreatic progenitor cells into functional islet-like clusters.

Applications

Unspecified application

Species

Unspecified reactive species

Ling Gao,Jia-Shuang Lai,Han Chen,Li-Xia Qian,Wan-Jin Hong,Liang-Cheng Li

Biochemistry and biophysics reports 41:101925 PubMed40134939

2025

Vitamin D stimulates Il-15 synthesis in rodent muscle.

Applications

Unspecified application

Species

Unspecified reactive species

Franz Ewendt,Fabienne Drewitz,Michael Althammer,Cosima Eichler,Corinna Brandsch,Stefanie Brey,Thomas H Winkler,Mirja R Wilkens,René St-Arnaud,Marina Kreutz,Gabriele I Stangl

mBio 15:e0213724 PubMed39475231

2024

The vitamin D receptor is essential for the replication of pseudorabies virus.

Applications

Unspecified application

Species

Unspecified reactive species

Lei Zeng,Shu-Yi Wang,Meng-Hua Du,Bei-Bei Chu,Sheng-Li Ming

Cancers 16: PubMed38730587

2024

Laryngeal Cancer Cells Metabolize 25-Hydroxyvitamin D and Respond to 24R,25-dihydroxyvitamin D via a Mechanism Dependent on Estrogen Receptor Levels.

Applications

Unspecified application

Species

Unspecified reactive species

Cydney D Dennis,Jonathan T Dillon,Prit H Patel,David J Cohen,Matthew S Halquist,Adam C Pearcy,Barbara D Boyan,Zvi Schwartz

Scientific reports 14:3778 PubMed38355711

2024

Calcitriol promotes M2 polarization of tumor-associated macrophages in 4T1 mouse mammary gland cancer via the induction of proinflammatory cytokines.

Applications

Unspecified application

Species

Unspecified reactive species

Martyna Stachowicz-Suhs,Natalia Łabędź,Artur Anisiewicz,Joanna Banach,Dagmara Kłopotowska,Magdalena Milczarek,Aleksandra Piotrowska,Piotr Dzięgiel,Adam Maciejczyk,Rafał Matkowski,Joanna Wietrzyk

Heliyon 10:e24499 PubMed38298727

2024

CPY27B1-related vitamin D deficiency contributes to the impaired function of CD4T cells in Recurrent spontaneous miscarriage.

Applications

Unspecified application

Species

Unspecified reactive species

Chaoyan Yue,Yanhui Ma,Mingyan Wang,Minmin Yuan,Yi Meng,Zhiheng Wang,Chunmei Ying

Frontiers in veterinary science 10:1265203 PubMed37808100

2023

Expression of vitamin D receptor, CYP24A1, and CYP27B1 in normal and inflamed canine pancreases.

Applications

Unspecified application

Species

Unspecified reactive species

Dohee Lee,Sanggu Kim,Yoonhoi Koo,Yeon Chae,Juwon Wang,Soochong Kim,Taesik Yun,Mhan-Pyo Yang,Byeong-Teck Kang,Hakhyun Kim

International journal of biological sciences 19:610-624 PubMed36632467

2023

1,25-Dihydroxyvitamin D Deficiency Accelerates Aging-related Osteoarthritis via Downregulation of Sirt1 in Mice.

Applications

Unspecified application

Species

Unspecified reactive species

Jie Chen,Jiao Zhang,Jie Li,Ran Qin,Na Lu,David Goltzman,Dengshun Miao,Renlei Yang

Heliyon 8:e10184 PubMed36033312

2022

Exposure to airborne particulate matter induces renal tubular cell injury : the role of vitamin D signaling and renin-angiotensin system.

Applications

Unspecified application

Species

Unspecified reactive species

Eungu Kang,Hyung Eun Yim,Yoon Jeong Nam,Sang Hoon Jeong,Joo-Ae Kim,Ju-Han Lee,Min Hwa Son,Kee Hwan Yoo

Annals of translational medicine 10:506 PubMed35928745

2022

High sodium reduced the expression of PTH1R and Klotho by inhibiting 1,25(OH)D synthesis in cultured proximal tubule epithelial cells.

Applications

Unspecified application

Species

Unspecified reactive species

Jie Gu,Jialin Shi,Xujiao Chen,Jianping Mao,Huaizhou You,Jing Chen
View all publications

Product promise

We are committed to supporting your work with high-quality reagents, and we're here for you every step of the way. In the unlikely event that one of our products does not perform as expected, you're protected by our Product Promise.
For full details, please see our Terms & Conditions

Please note: All products are 'FOR RESEARCH USE ONLY. NOT FOR USE IN DIAGNOSTIC OR THERAPEUTIC PROCEDURES'.

For licensing inquiries, please contact partnerships@abcam.com