JavaScript is disabled in your browser. Please enable JavaScript to view this website.
AB3571

Anti-CYP2C11 antibody

Be the first to review this product! Submit a review

|

(16 Publications)

Rabbit Polyclonal CYP2C11 antibody. Suitable for IHC-P, ICC/IF and reacts with Rat, Human samples. Cited in 16 publications. Immunogen corresponding to Synthetic Peptide within Rat Cyp2c11 aa 1-100.

View Alternative Names

Cyp2c, Cyp2c-11, Cyp2c11, Cytochrome P450 2C11, CYPIIC11, Cytochrome P-450(M-1), Cytochrome P450-UT-2, Cytochrome P450-UT-A, Cytochrome P450H

6 Images
Immunocytochemistry/ Immunofluorescence - Anti-CYP2C11 antibody (AB3571)
  • ICC/IF

Supplier Data

Immunocytochemistry/ Immunofluorescence - Anti-CYP2C11 antibody (AB3571)

ab3571 staining CYP2C11 (green) in HeLa (Human epithelial adenocarcinoma cell line) cells (right), compared to control (left). Formalin-fixed cells were permeabilized with 0.1% Triton X-100 in TBS for 5-10 minutes and blocked with 3% BSA-PBS for 30 minutes at room temperature. Cells were incubated with primary antibody (1 : 100 in 3% BSA-PBS) overnight at 4 °C. A DyLight-conjugated anti-rabbit was used as the secondary antibody. Red (phalloidin) - F-actin, Blue - nuclei. Images were taken at a magnification of 60x.

Immunohistochemistry (Formalin/PFA-fixed paraffin-embedded sections) - Anti-CYP2C11 antibody (AB3571)
  • IHC-P

Unknown

Immunohistochemistry (Formalin/PFA-fixed paraffin-embedded sections) - Anti-CYP2C11 antibody (AB3571)

IHC image of ab3571 staining in human renal carcinoma formalin fixed paraffin embedded tissue section, performed on a Leica BondTM system using the standard protocol F. The section was pre-treated using heat mediated antigen retrieval with sodium citrate buffer (pH6, epitope retrieval solution 1) for 20 mins. The section was then incubated with ab3571, 5µg/ml, for 15 mins at room temperature and detected using an HRP conjugated compact polymer system. DAB was used as the chromogen. The section was then counterstained with haematoxylin and mounted with DPX.

For other IHC staining systems (automated and non-automated) customers should optimize variable parameters such as antigen retrieval conditions, primary antibody concentration and antibody incubation times.

Immunocytochemistry/ Immunofluorescence - Anti-CYP2C11 antibody (AB3571)
  • ICC/IF

Supplier Data

Immunocytochemistry/ Immunofluorescence - Anti-CYP2C11 antibody (AB3571)

ab3571 staining CYP2C11 (green) in PC-12 (Rat adrenal gland pheochromocytoma cell line) cells (right), compared to control (left). Formalin-fixed cells were permeabilized with 0.1% Triton X-100 in TBS for 5-10 minutes and blocked with 3% BSA-PBS for 30 minutes at room temperature. Cells were incubated with primary antibody (1 : 100 in 3% BSA-PBS) overnight at 4 °C. A DyLight-conjugated anti-rabbit was used as the secondary antibody. Red (phalloidin) - F-actin, Blue - nuclei. Images were taken at a magnification of 60x.

Immunocytochemistry/ Immunofluorescence - Anti-CYP2C11 antibody (AB3571)
  • ICC/IF

Supplier Data

Immunocytochemistry/ Immunofluorescence - Anti-CYP2C11 antibody (AB3571)

ab3571 staining CYP2C11 (green) in H-4-II-E (Rat hepatoma cell line) cells (right), compared to control (left). Formalin-fixed cells were permeabilized with 0.1% Triton X-100 in TBS for 5-10 minutes and blocked with 3% BSA-PBS for 30 minutes at room temperature. Cells were incubated with primary antibody (1 : 100 in 3% BSA-PBS) overnight at 4 °C. A DyLight-conjugated anti-rabbit was used as the secondary antibody. Red (phalloidin) - F-actin, Blue - nuclei. Images were taken at a magnification of 60x.

Immunohistochemistry (Formalin/PFA-fixed paraffin-embedded sections) - Anti-CYP2C11 antibody (AB3571)
  • IHC-P

Supplier Data

Immunohistochemistry (Formalin/PFA-fixed paraffin-embedded sections) - Anti-CYP2C11 antibody (AB3571)

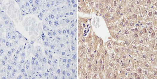
ab3571 staining CYP2C11 in the cytoplasm of rat liver tissue (right) compared with a negative control in the absence of primary antibody (left) by Immunohistochemistry (Formalin/PFA-fixed paraffin-embedded sections). To expose target proteins, antigen retrieval method was performed using 10mM sodium citrate (pH 6.0) microwaved for 8-15 min. Tissues were then blocked in 3% H2O2-methanol for 15 min at room temperature. Sections were incubated with primary antibody (1 : 200 in 3% BSA-PBS) overnight at 4°C. A HRP-conjugated anti-rabbit was used as the secondary antibody, followed by colorimetric detection using a DAB kit. Tissues were counterstained with hematoxylin and dehydrated with ethanol and xylene to prep for mounting.

Immunohistochemistry (Formalin/PFA-fixed paraffin-embedded sections) - Anti-CYP2C11 antibody (AB3571)
  • IHC-P

Supplier Data

Immunohistochemistry (Formalin/PFA-fixed paraffin-embedded sections) - Anti-CYP2C11 antibody (AB3571)

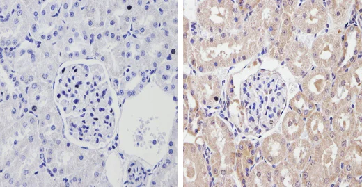
ab3571 staining CYP2C11 in the cytoplasm of rat kidney tissue (right) compared with a negative control in the absence of primary antibody (left) by Immunohistochemistry (Formalin/PFA-fixed paraffin-embedded sections). To expose target proteins, antigen retrieval method was performed using 10mM sodium citrate (pH 6.0) microwaved for 8-15 min. Tissues were then blocked in 3% H2O2-methanol for 15 min at room temperature. Sections were incubated with primary antibody (1 : 200 in 3% BSA-PBS) overnight at 4°C. A HRP-conjugated anti-rabbit was used as the secondary antibody, followed by colorimetric detection using a DAB kit. Tissues were counterstained with hematoxylin and dehydrated with ethanol and xylene to prep for mounting.

Key facts

Host species

Rabbit

Clonality

Polyclonal

Isotype

IgG

Carrier free

No

Reacts with

Rat, Human

Applications

IHC-P, ICC/IF

applications

Immunogen

The exact immunogen used to generate this antibody is proprietary information.

Synthetic Peptide within Rat Cyp2c11 aa 450 to C-terminus. Database link P08683

Reactivity data

{ "title": "Reactivity Data", "filters": { "stats": ["", "Species", "Dilution Info", "Notes"], "tabs": { "all-applications": {"fullname" : "All Applications", "shortname": "All Applications"}, "IHCP" : {"fullname" : "Immunohistochemistry (Formalin/PFA-fixed paraffin-embedded sections)", "shortname":"IHC-P"}, "ICCIF" : {"fullname" : "Immunocytochemistry/ Immunofluorescence", "shortname":"ICC/IF"} }, "product-promise": { "all": "all", "testedAndGuaranteed": "tested", "guaranteed": "expected", "predicted": "predicted", "notRecommended": "not-recommended" } }, "values": { "Human": { "IHCP-species-checked": "testedAndGuaranteed", "IHCP-species-dilution-info": "1/100 - 1/500", "IHCP-species-notes": "<p></p> Perform heat-mediated antigen retrieval with citrate buffer pH 6 before commencing with IHC staining protocol.", "ICCIF-species-checked": "testedAndGuaranteed", "ICCIF-species-dilution-info": "1/20 - 1/200", "ICCIF-species-notes": "<p></p>" }, "Rat": { "IHCP-species-checked": "testedAndGuaranteed", "IHCP-species-dilution-info": "1/100 - 1/500", "IHCP-species-notes": "<p></p> Perform heat-mediated antigen retrieval with citrate buffer pH 6 before commencing with IHC staining protocol.", "ICCIF-species-checked": "testedAndGuaranteed", "ICCIF-species-dilution-info": "1/20 - 1/200", "ICCIF-species-notes": "<p></p>" } } }

Properties and storage information

Form
Liquid
Purity
Whole antiserum
Storage buffer
Preservative: 0.05% Sodium azide Constituents: PBS
Shipped at conditions
Blue Ice
Appropriate short-term storage duration
1-2 weeks
Appropriate short-term storage conditions
+4°C
Appropriate long-term storage conditions
-20°C
Aliquoting information
Upon delivery aliquot
Storage information
Avoid freeze / thaw cycle

Supplementary information

This supplementary information is collated from multiple sources and compiled automatically.

CYP2C11 also known as Cytochrome P450 2C11 is an enzyme that plays an important role in the metabolism of drugs and steroids in rats. This enzyme belongs to the Cytochrome P450 superfamily and weighs approximately 55 kDa. It is expressed in the liver and its presence is linked to the metabolism of various endogenous and exogenous compounds. CYP2C11 has a specific role in the hydroxylation reactions that are part of these metabolic processes.
Biological function summary

Cytochrome P450 2C11 participates in the metabolism of steroids through oxidative reactions. It plays a role in converting testosterone into its hydroxylated metabolites which are important for maintaining homeostasis. CYP2C11 often acts independently but can also be associated with other proteins that facilitate the electron transfer needed for oxygenation reactions. Its activity can be influenced by factors like hormonal changes and stress.

Pathways

CYP2C11 contributes significantly to the lipid metabolism pathway and drug metabolism pathway. It has functional relevance in transforming chemicals that are either taken up by the body or produced within it. The enzyme CYP3A1 shares a functional relationship with CYP2C11 in these pathways broadening the spectrum of compounds processed. The modulation of CYP2C11 affects the concentrations of various metabolites impacting systemic homeostasis.

CYP2C11 relates to hepatic diseases and hormone imbalance disorders. Changes in the activity of this enzyme are observed in liver dysfunction which affects the body's ability to process drugs and hormones effectively. The enzyme also connects to proteins such as CYP2C6 which can be altered in similar disorders further affecting metabolic homeostasis. Accurate and reliable study of CYP2C11 may help in understanding the biochemical underpinnings of these conditions better and developing targeted treatments.

Product protocols

For this product, it's our understanding that no specific protocols are required. You can visit:

Target data

A cytochrome P450 monooxygenase involved in the metabolism of steroid hormones and fatty acids. Catalyzes the hydroxylation of carbon-hydrogen bonds. Metabolizes testosterone to 2alpha- and 16alpha-hydroxytestosterone (PubMed : 2434473). Catalyzes the epoxidation of double bonds of polyunsaturated fatty acids (PUFAs) (PubMed : 10491410, PubMed : 15766564). Converts arachidonic acid (ARA, C20 : 4(n-6)) primarily to epoxyeicosatrienoic acid (EET) regioisomers, 8,9-, 11,12-, and 14,15-EET, with both R,S and S,R stereochemistry (PubMed : 10491410). Preferentially produces 11R,12S-EET enantiomer. To a lesser extent, catalyzes the hydroxylation of arachidonic acid producing hydroxyeicosatetraenoates (HETEs) (PubMed : 10491410). Metabolizes eicosapentaenoic acid (EPA, C20 : 5(n-3)) to epoxyeicosatetraenoic acid (EETeTr) regioisomers, 8,9-, 11,12-, 14,15-, and 17,18-EETeTr, preferentially producing 17R,18S-EETeTr enantiomer (PubMed : 15766564). Mechanistically, uses molecular oxygen inserting one oxygen atom into a substrate, and reducing the second into a water molecule, with two electrons provided by NADPH via cytochrome P450 reductase (NADPH--hemoprotein reductase) (PubMed : 15766564, PubMed : 2434473).
See full target information Cyp2c11

Publications (16)

Recent publications for all applications. Explore the full list and refine your search

Chemical & pharmaceutical bulletin 71:334-341 PubMed36858593

2023

Anti-tumor Effect of Gambogenic Acid and Its Effect on CYP2C and CYP3A after Oral Administration.

Applications

Unspecified application

Species

Unspecified reactive species

Jing Sun,Mengdi Pang,Xiaozhu Tang,Qianqian Xu,Daiyin Peng,Weidong Chen

Frontiers in pharmacology 12:622040 PubMed33967756

2021

Disease Status-Dependent Drug-Herb Interactions: NASH Lowered the Risk of Hepatotoxicity in Rats Coadministered With Simvastatin and J. Ellis.

Applications

Unspecified application

Species

Unspecified reactive species

Ziwei Li,Yuanfeng Lyu,Jiajia Zhao,Dan Li,Zhixiu Lin,Kenneth Kin Wah To,Xiaoyu Yan,Zhong Zuo

Biological & pharmaceutical bulletin 44:96-102 PubMed33390555

2021

Acute Peripheral Inflammation Increases Plasma Concentration of Hypoglycemic Agent Nateglinide with Decreased Hepatic Drug-Metabolizing Activity in Rats.

Applications

Unspecified application

Species

Unspecified reactive species

Moeko Kojina,Keiichiro Suzuki,Akane Nishiwaki,Tetsuya Aiba

Pharmaceutics 12: PubMed33238436

2020

Differential Effects of 1α,25-Dihydroxyvitamin D on the Expressions and Functions of Hepatic CYP and UGT Enzymes and Its Pharmacokinetic Consequences In Vivo.

Applications

Unspecified application

Species

Unspecified reactive species

Trang Nguyen Kieu Doan,Dang-Khoa Vo,Hyojung Kim,Anusha Balla,Yunjong Lee,In-Soo Yoon,Han-Joo Maeng

British journal of pharmacology 178:582-599 PubMed33119943

2020

Intestinal absorption and hepatic elimination of drugs in high-fat high-cholesterol diet-induced non-alcoholic steatohepatitis rats: exemplified by simvastatin.

Applications

Unspecified application

Species

Unspecified reactive species

Ziwei Li,Jun Zhang,Yufeng Zhang,Limin Zhou,Jiajia Zhao,Yuanfeng Lyu,Long Hin Poon,Zhixiu Lin,Kenneth Kin Wah To,Xiaoyu Yan,Zhong Zuo

International journal of biological sciences 15:2037-2050 PubMed31592228

2019

Vascular Protection of TPE-CA on Hyperhomocysteinemia-induced Vascular Endothelial Dysfunction through AA Metabolism Modulated CYPs Pathway.

Applications

Unspecified application

Species

Unspecified reactive species

Hui Li,Zhenli Liu,Linlin Liu,Wen Li,Zhiwen Cao,Zhiqian Song,Qianqian Yang,Aiping Lu,Cheng Lu,Yuanyan Liu

Molecular medicine reports 20:771-778 PubMed31180561

2019

Effect of copper nanoparticles on brain cytochrome P450 enzymes in rats.

Applications

Unspecified application

Species

Unspecified reactive species

Yanyan Wang,Huaqiao Tang,Min Xu,Jie Luo,Ling Zhao,Fei Shi,Gang Ye,Cheng Lv,Yinglun Li

Journal of ethnopharmacology 235:100-110 PubMed30710735

2019

Impact of the Chinese herbal medicines on dual antiplatelet therapy with clopidogrel and aspirin: Pharmacokinetics and pharmacodynamics outcomes and related mechanisms in rats.

Applications

Unspecified application

Species

Unspecified reactive species

Min Xiao,Chenyu Qian,Xi Luo,Mengbi Yang,Yufeng Zhang,Cheyuen Wu,Chungtong Mok,Puiwai Lee,Zhong Zuo

Drug metabolism and disposition: the biological fa 45:1336-1344 PubMed28935656

2017

The Effect of Chronic Treatment with Lurasidone on Rat Liver Cytochrome P450 Expression and Activity in the Chronic Mild Stress Model of Depression.

Applications

Unspecified application

Species

Unspecified reactive species

Marta Kot,Anna Haduch,Mariusz Papp,Władysława A Daniel

Laboratory investigation; a journal of technical m 97:782-791 PubMed28319086

2017

Cytochrome P450 (CYP) epoxygenases as potential targets in the management of impaired diabetic wound healing.

Applications

Unspecified application

Species

Unspecified reactive species

Huichen Zhao,Jicui Chen,Jiachao Chai,Yuchao Zhang,Cong Yu,Zhe Pan,Peng Gao,Chen Zong,Qingbo Guan,Yuqin Fu,Yuantao Liu
View all publications

Product promise

We are committed to supporting your work with high-quality reagents, and we're here for you every step of the way. In the unlikely event that one of our products does not perform as expected, you're protected by our Product Promise.
For full details, please see our Terms & Conditions

Please note: All products are 'FOR RESEARCH USE ONLY. NOT FOR USE IN DIAGNOSTIC OR THERAPEUTIC PROCEDURES'.

For licensing inquiries, please contact partnerships@abcam.com