JavaScript is disabled in your browser. Please enable JavaScript to view this website.
AB236063

Anti-CYP2C19 antibody [EPR6576] - BSA and Azide free

Be the first to review this product! Submit a review

|

(1 Publication)

Rabbit Recombinant Monoclonal CP2CJ antibody. Carrier free. Suitable for WB, IHC-P and reacts with Mouse, Rat, Human samples. Cited in 1 publication.

View Alternative Names

Cytochrome P450 2C19, (R)-limonene 6-monooxygenase, (S)-limonene 6-monooxygenase, (S)-limonene 7-monooxygenase, CYPIIC17, CYPIIC19, Cytochrome P450-11A, Cytochrome P450-254C, Fenbendazole monooxygenase (4'-hydroxylating), Mephenytoin 4-hydroxylase, CYP2C19

5 Images
Immunohistochemistry (Formalin/PFA-fixed paraffin-embedded sections) - Anti-CYP2C19 antibody [EPR6576] - BSA and Azide free (AB236063)
  • IHC-P

Unknown

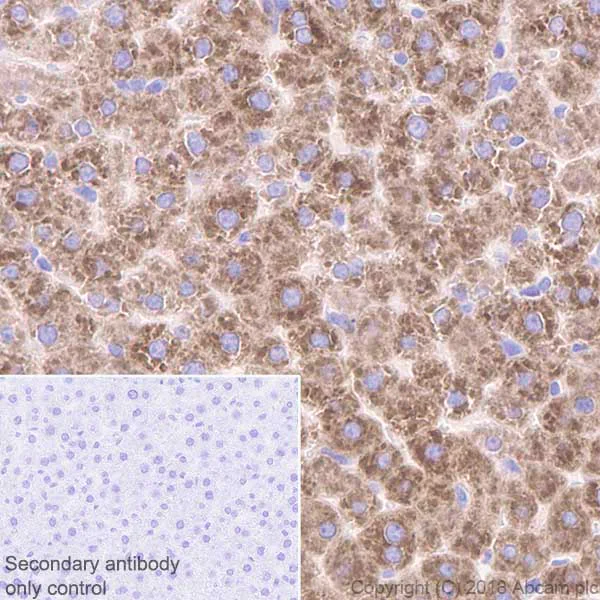
Immunohistochemistry (Formalin/PFA-fixed paraffin-embedded sections) - Anti-CYP2C19 antibody [EPR6576] - BSA and Azide free (AB236063)

Immunohistochemical analysis of paraffin-embedded human liver tissue labelling CYP2C19 with ab137015 at 1/250 dilution.

This data was developed using the same antibody clone in a different buffer formulation containing PBS, BSA, glycerol, and sodium azide (ab137015).

Immunohistochemistry (Formalin/PFA-fixed paraffin-embedded sections) - Anti-CYP2C19 antibody [EPR6576] - BSA and Azide free (AB236063)
  • IHC-P

Unknown

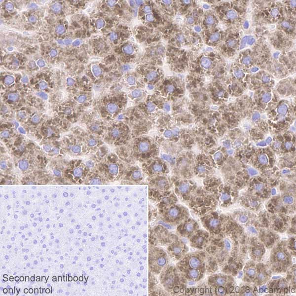
Immunohistochemistry (Formalin/PFA-fixed paraffin-embedded sections) - Anti-CYP2C19 antibody [EPR6576] - BSA and Azide free (AB236063)

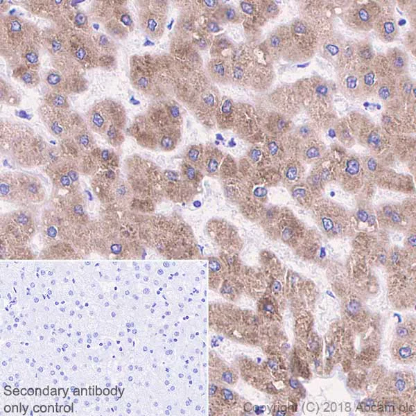
Immunohistochemistry (Formalin/PFA-fixed paraffin-embedded sections) analysis of Human liver tissue sections labeling CYP2C19 with Purified ab137015 at 1 : 1000 dilution (0.49 μg/ml). Heat mediated antigen retrieval was performed using ab93684 (Tris/EDTA buffer, pH 9.0). ImmunoHistoProbe one step HRP Polymer (ready to use) was used as the secondary antibody. Negative control : PBS instead of the primary antibody.Hematoxylinwas used as a counterstain.

This data was developed using the same antibody clone in a different buffer formulation containing PBS, BSA, glycerol, and sodium azide (ab137015).

Immunohistochemistry (Formalin/PFA-fixed paraffin-embedded sections) - Anti-CYP2C19 antibody [EPR6576] - BSA and Azide free (AB236063)
  • IHC-P

Unknown

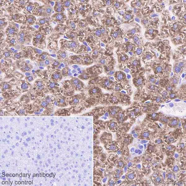
Immunohistochemistry (Formalin/PFA-fixed paraffin-embedded sections) - Anti-CYP2C19 antibody [EPR6576] - BSA and Azide free (AB236063)

Immunohistochemistry (Formalin/PFA-fixed paraffin-embedded sections) analysis of Mouse liver tissue sections labeling CYP2C19 with Purified ab137015 at 1 : 1000 dilution (0.49 μg/ml). Heat mediated antigen retrieval was performed using ab93684 (Tris/EDTA buffer, pH 9.0). ImmunoHistoProbe one step HRP Polymer (ready to use) was used as the secondary antibody. Negative control : PBS instead of the primary antibody.Hematoxylinwas used as a counterstain.

This data was developed using the same antibody clone in a different buffer formulation containing PBS, BSA, glycerol, and sodium azide (ab137015).

Immunohistochemistry (Formalin/PFA-fixed paraffin-embedded sections) - Anti-CYP2C19 antibody [EPR6576] - BSA and Azide free (AB236063)
  • IHC-P

Unknown

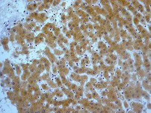
Immunohistochemistry (Formalin/PFA-fixed paraffin-embedded sections) - Anti-CYP2C19 antibody [EPR6576] - BSA and Azide free (AB236063)

Immunohistochemistry (Formalin/PFA-fixed paraffin-embedded sections) analysis of Rat liver tissue sections labeling CYP2C19 with Purified ab137015 at 1 : 1000 dilution (0.49 μg/ml). Heat mediated antigen retrieval was performed using ab93684 (Tris/EDTA buffer, pH 9.0). ImmunoHistoProbe one step HRP Polymer (ready to use) was used as the secondary antibody. Negative control : PBS instead of the primary antibody.Hematoxylinwas used as a counterstain

This data was developed using the same antibody clone in a different buffer formulation containing PBS, BSA, glycerol, and sodium azide (ab137015).

OI-RD Scanning - Anti-CYP2C19 antibody [EPR6576] - BSA and Azide free (AB236063)
  • OI-RD Scanning

Unknown

OI-RD Scanning - Anti-CYP2C19 antibody [EPR6576] - BSA and Azide free (AB236063)

We have systematically measured KD (the equilibrium dissociation constant between the antibody and its antigen), of more than 840 recombinant antibodies to assess not only their individual KD values but also to see the average affinity of antibody. Based on the comparison with published literature values for mouse monoclonal antibodies, Recombinant antibodies appear to be on average 1-2 order of magnitude higher affinity.

Key facts

Host species

Rabbit

Clonality

Monoclonal

Clone number

EPR6576

Isotype

IgG

Carrier free

Yes

Reacts with

Mouse, Rat, Human

Applications

IHC-P, WB

applications

Immunogen

The exact immunogen used to generate this antibody is proprietary information.

Specificity

This antibody is very likely to be cross-reactive with many Cytochrome P450 family members. According to the blast result, in human species, the immunogen has 100% homology with CYP2C9, CYP2A6 and CYP2A7, 85.7% with CYP2C18, 78.6% with CYP2A13 and CYP2C8. CYP2C19 doesn`t exist in mouse and rat species. The immunogen shares 100% homology with mouse CYP2A4, CYP2A5, CYP2A12, CYP2C29, CYP2C70 and rat CYP2A3, CYP2C6, CYP2C55, 92.9% with mouse CYP2C37, CYP2C50, CYP2C55 and rat CYP2C11, CYP2C13.

Reactivity data

{ "title": "Reactivity Data", "filters": { "stats": ["", "Species", "Dilution Info", "Notes"], "tabs": { "all-applications": {"fullname" : "All Applications", "shortname": "All Applications"}, "WB" : {"fullname" : "Western blot", "shortname":"WB"}, "IHCP" : {"fullname" : "Immunohistochemistry (Formalin/PFA-fixed paraffin-embedded sections)", "shortname":"IHC-P"} }, "product-promise": { "all": "all", "testedAndGuaranteed": "tested", "guaranteed": "expected", "predicted": "predicted", "notRecommended": "not-recommended" } }, "values": { "Human": { "WB-species-checked": "guaranteed", "WB-species-dilution-info": "", "WB-species-notes": "<p></p>", "IHCP-species-checked": "predicted", "IHCP-species-dilution-info": "", "IHCP-species-notes": "" }, "Mouse": { "WB-species-checked": "guaranteed", "WB-species-dilution-info": "", "WB-species-notes": "<p></p>", "IHCP-species-checked": "testedAndGuaranteed", "IHCP-species-dilution-info": "", "IHCP-species-notes": "<p></p>" }, "Rat": { "WB-species-checked": "guaranteed", "WB-species-dilution-info": "", "WB-species-notes": "<p></p>", "IHCP-species-checked": "predicted", "IHCP-species-dilution-info": "", "IHCP-species-notes": "" } } }

Product details

ab236063 is the carrier-free version of ab137015.

Patented technology
Our RabMAb® technology is a patented hybridoma-based technology for making rabbit monoclonal antibodies. For details on our patents, please refer to RabMAb® patents.

What are the advantages of a recombinant monoclonal antibody?
This product is a recombinant monoclonal antibody, which offers several advantages including:

  • - High batch-to-batch consistency and reproducibility
  • - Improved sensitivity and specificity
  • - Long-term security of supply
  • - Animal-free batch production

For more information, read more on recombinant antibodies.

Conjugation ready
Our carrier-free antibodies are typically supplied in a PBS-only formulation, purified and free of BSA, sodium azide and glycerol. This conjugation-ready format is designed for use with fluorochromes, metal isotopes, oligonucleotides, and enzymes, which makes them ideal for antibody labelling, functional and cell-based assays, flow-based assays (e.g. mass cytometry) and Multiplex Imaging applications.

Use our conjugation kits for antibody conjugates that are ready-to-use in as little as 20 minutes with 1 minute hands-on-time and 100% antibody recovery: available for fluorescent dyes, HRP, biotin and gold.

Compatibility
This product is compatible with the Maxpar® Antibody Labeling Kit from Fluidigm, without the need for antibody preparation. Maxpar® is a trademark of Fluidigm Canada Inc.

Properties and storage information

Form
Liquid
Purification technique
Affinity purification Protein A
Storage buffer
pH: 7.2 - 7.4 Constituents: PBS
Shipped at conditions
Blue Ice
Appropriate short-term storage conditions
+4°C
Appropriate long-term storage conditions
+4°C
Storage information
Do Not Freeze

Supplementary information

This supplementary information is collated from multiple sources and compiled automatically.

CYP2C19 also referred to as cytochrome P450 2C19 is an enzyme that belongs to the cytochrome P450 superfamily. This protein has a molecular mass of approximately 56 kDa. CYP2C19 is primarily expressed in the liver but also appears in the intestine. The enzyme plays a significant mechanical role in the oxidative metabolism of various substrates including both endogenous compounds and exogenous drugs. The chemical reactions it facilitates involve the oxidation of organic substances.
Biological function summary

Cytochrome P450 2C19 is responsible for metabolizing drugs such as proton pump inhibitors antiepileptic drugs and some antidepressants. This enzyme is part of a larger enzyme family that contributes to the detoxification processes and biosynthesis of steroid hormones. It acts by catalyzing the oxidative transformation of compounds which influences drug activation and clearance. Its substrate specificity includes many significant pharmacological agents.

Pathways

CYP2C19 is integrally involved in drug metabolism pathways particularly the Phase I metabolism. It cooperates with enzymes like CYP2C9 and CYP3A4 within these pathways performing hydrolytic and oxidative reactions that transform lipophilic drugs into more water-soluble derivatives. Consequently this activity prepares compounds for further modification in Phase II metabolism facilitating excretion from the body.

CYP2C19 is implicated in conditions such as cardiovascular disease and adverse drug reactions. Genetic polymorphisms within the CYP2C19 gene lead to varied metabolic capacities affecting the efficacy and safety of therapeutics especially antiplatelet drugs like clopidogrel. Additionally alterations in CYP2C19 activity are associated with altered drug metabolism which may result in interactions with proteins such as P-glycoprotein and other cytochrome P450 enzymes affecting therapeutic outcomes.

Product protocols

For this product, it's our understanding that no specific protocols are required. You can visit:

Target data

A cytochrome P450 monooxygenase involved in the metabolism of polyunsaturated fatty acids (PUFA) (PubMed : 18577768, PubMed : 19965576, PubMed : 20972997). Mechanistically, uses molecular oxygen inserting one oxygen atom into a substrate, and reducing the second into a water molecule, with two electrons provided by NADPH via cytochrome P450 reductase (NADPH--hemoprotein reductase) (PubMed : 18577768, PubMed : 19965576, PubMed : 20972997). Catalyzes the hydroxylation of carbon-hydrogen bonds. Hydroxylates PUFA specifically at the omega-1 position (PubMed : 18577768). Catalyzes the epoxidation of double bonds of PUFA (PubMed : 19965576, PubMed : 20972997). Also metabolizes plant monoterpenes such as limonene. Oxygenates (R)- and (S)-limonene to produce carveol and perillyl alcohol (PubMed : 11950794). Responsible for the metabolism of a number of therapeutic agents such as the anticonvulsant drug S-mephenytoin, omeprazole, proguanil, certain barbiturates, diazepam, propranolol, citalopram and imipramine. Hydroxylates fenbendazole at the 4' position (PubMed : 23959307).
See full target information CYP2C19

Publications (1)

Recent publications for all applications. Explore the full list and refine your search

Developmental cell 53:9-26.e4 PubMed32197068

2020

Glycolysis-Independent Glucose Metabolism Distinguishes TE from ICM Fate during Mammalian Embryogenesis.

Applications

Unspecified application

Species

Unspecified reactive species

Fangtao Chi,Mark S Sharpley,Raghavendra Nagaraj,Shubhendu Sen Roy,Utpal Banerjee
View all publications

Product promise

We are committed to supporting your work with high-quality reagents, and we're here for you every step of the way. In the unlikely event that one of our products does not perform as expected, you're protected by our Product Promise.
For full details, please see our Terms & Conditions

Please note: All products are 'FOR RESEARCH USE ONLY. NOT FOR USE IN DIAGNOSTIC OR THERAPEUTIC PROCEDURES'.

For licensing inquiries, please contact partnerships@abcam.com