JavaScript is disabled in your browser. Please enable JavaScript to view this website.
AB185625

Anti-CYP2D6 antibody [EPR17868]

Be the first to review this product! Submit a review

|

(3 Publications)

Rabbit Recombinant Monoclonal CYP2D6 antibody. Suitable for WB, ICC/IF, Flow Cyt (Intra), IHC-P and reacts with Human samples. Cited in 3 publications.

View Alternative Names

CYP2DL1, CYP2D6, Cytochrome P450 2D6, CYPIID6, Cholesterol 25-hydroxylase, Cytochrome P450-DB1, Debrisoquine 4-hydroxylase

9 Images
Flow Cytometry (Intracellular) - Anti-CYP2D6 antibody [EPR17868] (AB185625)
  • Flow Cyt (Intra)

Supplier Data

Flow Cytometry (Intracellular) - Anti-CYP2D6 antibody [EPR17868] (AB185625)

Intracellular flow cytometric analysis of 2% paraformaldehyde-fixed HT-29 (Human colorectal adenocarcinoma cells) cells labeling CYP2D6 with ab185625 at 1/300 dilution (red) compared with a rabbit monoclonal IgG isotype control (ab172730) (black) and an unlabelled control (cells without incubation with primary antibody and secondary antibody; blue). Goat anti rabbit IgG (FITC) at 1/150 dilution was used as the secondary antibody.

Immunocytochemistry/ Immunofluorescence - Anti-CYP2D6 antibody [EPR17868] (AB185625)
  • ICC/IF

Lab

Immunocytochemistry/ Immunofluorescence - Anti-CYP2D6 antibody [EPR17868] (AB185625)

Immunofluorescent analysis of 4% paraformaldehyde-fixed 0.1% Triton X-100 permeabilized HT-29 (Human colorectal adenocarcinoma cells) cells labeling CYP2D6 with ab185625 at 1/1000 dilution followed by Goat anti-rabbit IgG (Alexa Fluor® 488) (ab150077) secondary antibody at 1/400 dilution (green). Cytoplasmic staining on HT-29 cell line is observed. The nuclear counter stain is DAPI (blue). Tubulin is detected with ab7291 (anti-Tubulin mouse mAb) at 1/500 dilution and ab150120 (AlexaFluor®594 Goat anti-Mouse secondary) at 1/500 dilution (red).
The negative controls are as follows :
-ve control 1 : ab185625 at 1/1000 dilution followed by ab150120 (AlexaFluor®594 Goat anti-Mouse secondary) at 1/500 dilution.
-ve control 2 : ab7291 (anti-Tubulin mouse mAb) at 1/500 dilution followed by ab150077 (Alexa Fluor®488 Goat Anti-Rabbit IgG H&L) at 1/400 dilution.

Immunohistochemistry (Formalin/PFA-fixed paraffin-embedded sections) - Anti-CYP2D6 antibody [EPR17868] (AB185625)
  • IHC-P

Supplier Data

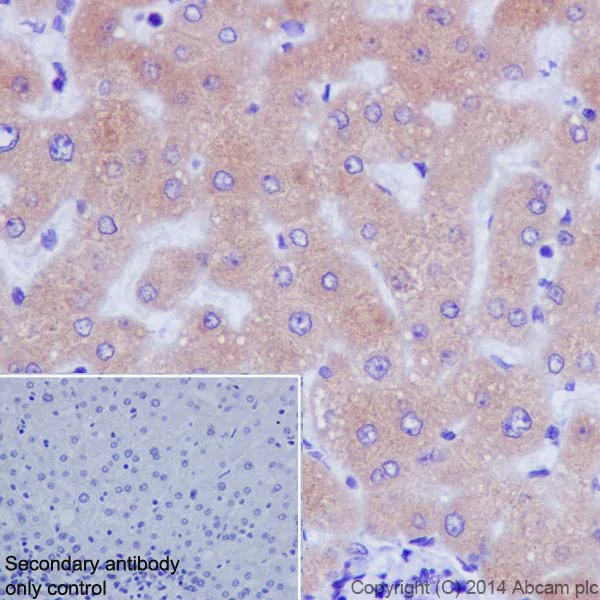
Immunohistochemistry (Formalin/PFA-fixed paraffin-embedded sections) - Anti-CYP2D6 antibody [EPR17868] (AB185625)

Immunohistochemical analysis of paraffin-embedded Human liver tissue labeling CYP2D6 with ab185625 at 1/500 dilution followed by Goat Anti-Rabbit IgG H&L (HRP) (ab97051) secondary antibody at 1/500 dilution. Cytoplasmic staining on Human liver is observed. Counter stained with Hematoxylin.

Negative control : Used PBS instead of primary antibody secondary antibody is Goat Anti-Rabbit IgG H&L (HRP) (ab97051) at 1/500 dilution.

Perform heat mediated antigen retrieval with Tris/EDTA buffer pH 9.0 before commencing with IHC staining protocol.

Immunohistochemistry (Formalin/PFA-fixed paraffin-embedded sections) - Anti-CYP2D6 antibody [EPR17868] (AB185625)
  • IHC-P

Supplier Data

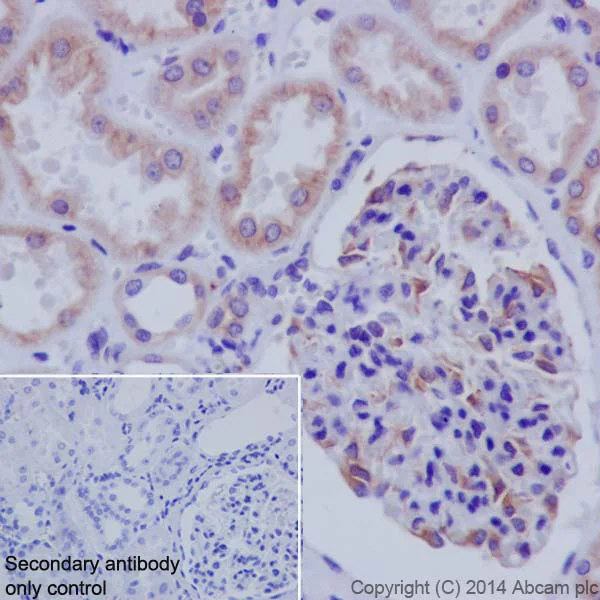
Immunohistochemistry (Formalin/PFA-fixed paraffin-embedded sections) - Anti-CYP2D6 antibody [EPR17868] (AB185625)

Immunohistochemical analysis of paraffin-embedded Human kidney tissue labeling CYP2D6 with ab185625 at 1/500 dilution followed by Goat Anti-Rabbit IgG H&L (HRP) (ab97051) secondary antibody at 1/500 dilution. Cytoplasmic staining on Human kidney is observed. Counter stained with Hematoxylin.

Negative control : Used PBS instead of primary antibody secondary antibody is Goat Anti-Rabbit IgG H&L (HRP) (ab97051) at 1/500 dilution.

Perform heat mediated antigen retrieval with Tris/EDTA buffer pH 9.0 before commencing with IHC staining protocol.

Immunohistochemistry (Formalin/PFA-fixed paraffin-embedded sections) - Anti-CYP2D6 antibody [EPR17868] (AB185625)
  • IHC-P

Supplier Data

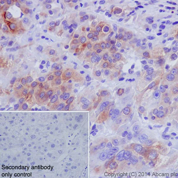
Immunohistochemistry (Formalin/PFA-fixed paraffin-embedded sections) - Anti-CYP2D6 antibody [EPR17868] (AB185625)

Immunohistochemical analysis of paraffin-embedded Human hepatocellular carcinoma tissue labeling CYP2D6 with ab185625 at 1/500 dilution followed by Goat Anti-Rabbit IgG H&L (HRP) (ab97051) secondary antibody at 1/500 dilution. Cytoplasmic staining on Human hepatocellular carcinoma is observed. Counter stained with Hematoxylin.

Negative control : Used PBS instead of primary antibody secondary antibody is Goat Anti-Rabbit IgG H&L (HRP) (ab97051) at 1/500 dilution.

Perform heat mediated antigen retrieval with Tris/EDTA buffer pH 9.0 before commencing with IHC staining protocol.

Western blot - Anti-CYP2D6 antibody [EPR17868] (AB185625)
  • WB

Supplier Data

Western blot - Anti-CYP2D6 antibody [EPR17868] (AB185625)

Blocking/Dilution buffer : 5% NFDM/TBST.

All lanes:

Western blot - Anti-CYP2D6 antibody [EPR17868] (ab185625) at 1/1000 dilution

All lanes:

HT-29 (Human colorectal adenocarcinoma cells) whole cell lysate at 10 µg

Secondary

All lanes:

Anti-Rabbit IgG (HRP), specific to the non-reduced form of IgG at 1/1000 dilution

Predicted band size: 37 kDa,56 kDa

Observed band size: 55 kDa

false

Western blot - Anti-CYP2D6 antibody [EPR17868] (AB185625)
  • WB

Supplier Data

Western blot - Anti-CYP2D6 antibody [EPR17868] (AB185625)

Blocking/Dilution buffer : 5% NFDM/TBST.

All lanes:

Western blot - Anti-CYP2D6 antibody [EPR17868] (ab185625) at 1/10000 dilution

Lane 1:

HeLa (Human epithelial cells from cervix adenocarcinoma) whole cell lysate at 20 µg

Lane 2:

K562 (Human chronic myelogenous leukemia cells from bone marrow) whole cell lysate at 20 µg

Lane 3:

HepG2 (Human liver hepatocellular carcinoma) whole cell lysate at 20 µg

Secondary

All lanes:

Anti-Rabbit IgG (HRP), specific to the non-reduced form of IgG at 1/1000 dilution

Predicted band size: 56 kDa

Observed band size: 55 kDa

false

Western blot - Anti-CYP2D6 antibody [EPR17868] (AB185625)
  • WB

Supplier Data

Western blot - Anti-CYP2D6 antibody [EPR17868] (AB185625)

Blocking/Dilution buffer : 5% NFDM/TBST.

Full-length CYP2D6 293T overexpressed lysates contain GFP tagged-aa1-497.

All lanes:

Western blot - Anti-CYP2D6 antibody [EPR17868] (ab185625) at 1/10000 dilution

Lane 1:

Full-length CYP2D6 transfected 293T cell lysate at 10 µg

Lane 2:

Non-transfected 293T lysate at 10 µg

Secondary

All lanes:

Anti-Rabbit IgG (HRP), specific to the non-reduced form of IgG at 1/1000 dilution

Predicted band size: 56 kDa

Observed band size: 81 kDa

false

Western blot - Anti-CYP2D6 antibody [EPR17868] (AB185625)
  • WB

Supplier Data

Western blot - Anti-CYP2D6 antibody [EPR17868] (AB185625)

Blocking/Dilution buffer : 5% NFDM/TBST.

Based on the sequence analysis, ab185625 recognizes two isoforms with the predicted MWs of 55kDa and 50kDa respectively.

All lanes:

Western blot - Anti-CYP2D6 antibody [EPR17868] (ab185625) at 1/10000 dilution

All lanes:

Human fetal liver tissue lysate at 20 µg

Secondary

All lanes:

Anti-Rabbit IgG (HRP), specific to the non-reduced form of IgG at 1/1000 dilution

Predicted band size: 56 kDa

Observed band size: 50 kDa,55 kDa

false

Key facts

Host species

Rabbit

Clonality

Monoclonal

Clone number

EPR17868

Isotype

IgG

Carrier free

No

Reacts with

Human

Applications

WB, Flow Cyt (Intra), ICC/IF, IHC-P

applications

Immunogen

The exact immunogen used to generate this antibody is proprietary information.

Reactivity data

{ "title": "Reactivity Data", "filters": { "stats": ["", "Species", "Dilution Info", "Notes"], "tabs": { "all-applications": {"fullname" : "All Applications", "shortname": "All Applications"}, "WB" : {"fullname" : "Western blot", "shortname":"WB"}, "ICCIF" : {"fullname" : "Immunocytochemistry/ Immunofluorescence", "shortname":"ICC/IF"}, "FlowCytIntra" : {"fullname" : "Flow Cytometry (Intracellular)", "shortname":"Flow Cyt (Intra)"}, "IHCP" : {"fullname" : "Immunohistochemistry (Formalin/PFA-fixed paraffin-embedded sections)", "shortname":"IHC-P"} }, "product-promise": { "all": "all", "testedAndGuaranteed": "tested", "guaranteed": "expected", "predicted": "predicted", "notRecommended": "not-recommended" } }, "values": { "Human": { "WB-species-checked": "testedAndGuaranteed", "WB-species-dilution-info": "1/1000", "WB-species-notes": "<p></p>", "ICCIF-species-checked": "testedAndGuaranteed", "ICCIF-species-dilution-info": "1/1000", "ICCIF-species-notes": "<p></p>", "FlowCytIntra-species-checked": "testedAndGuaranteed", "FlowCytIntra-species-dilution-info": "1/300", "FlowCytIntra-species-notes": "<p><a href='/en-us/products/primary-antibodies/rabbit-igg-monoclonal-epr25a-isotype-control-ab172730'>ab172730</a> - Rabbit monoclonal IgG, is suitable for use as an isotype control with this antibody.</p>", "IHCP-species-checked": "testedAndGuaranteed", "IHCP-species-dilution-info": "1/500", "IHCP-species-notes": "<p></p> Perform heat-mediated antigen retrieval with Tris/EDTA buffer pH 9.0 before commencing with IHC staining protocol." } } }

Product details

Patented technology
Our RabMAb® technology is a patented hybridoma-based technology for making rabbit monoclonal antibodies. For details on our patents, please refer to RabMAb® patents.

What are the advantages of a recombinant monoclonal antibody?
This product is a recombinant monoclonal antibody, which offers several advantages including:

  • - High batch-to-batch consistency and reproducibility
  • - Improved sensitivity and specificity
  • - Long-term security of supply
  • - Animal-free batch production

For more information, read more on recombinant antibodies.

Properties and storage information

Form
Liquid
Purification technique
Affinity purification Protein A
Storage buffer
pH: 7.2 - 7.4 Preservative: 0.01% Sodium azide Constituents: PBS, 40% Glycerol (glycerin, glycerine), 0.05% BSA
Shipped at conditions
Blue Ice
Appropriate short-term storage duration
1-2 weeks
Appropriate short-term storage conditions
+4°C
Appropriate long-term storage conditions
-20°C
Aliquoting information
Upon delivery aliquot
Storage information
Avoid freeze / thaw cycle

Supplementary information

This supplementary information is collated from multiple sources and compiled automatically.

CYP2D6 also known as cytochrome P450 2D6 is a critical enzyme in the cytochrome P450 superfamily. It possesses a molecular mass of approximately 55 kDa. CYP2D6 is primarily expressed in the liver and to a lesser extent in the brain. As a monooxygenase it catalyzes the oxidation of organic substances including the metabolism of many xenobiotics and drugs. Its activity varies greatly among individuals due to genetic polymorphisms making it an important target for pharmacogenomic studies.
Biological function summary

Enzymes related to drug metabolism perform essential roles in the detoxification of foreign chemicals. CYP2D6 is notably part of the microsomal enzyme complex in the liver. It facilitates the transformation of lipophilic compounds into more water-soluble metabolites rendering them easier for the body to excrete. This enzyme affects the bioavailability and efficacy of many medications such as antidepressants antipsychotics and beta-blockers. Its role is integral in the activation of certain prodrugs converting them into their active pharmacological forms.

Pathways

CYP2D6 functions significantly in drug metabolism and clearance pathways. It takes part in the Phase I metabolism pathway where it initiates the oxidation of drugs setting the stage for further modifications. It interacts closely with other CYP enzymes like CYP3A4 which sometimes share substrates and inhibitors affecting their metabolic activities. CYP2D6's interaction with these pathways emphasizes its involvement in the intricate network of enzyme-mediated drug handling in the body.

Alterations in CYP2D6 activity relate to variations in drug metabolism leading to treatment challenges. For instance poor metabolizers may have increased risks of side effects or therapeutic failures in drugs like codeine which relies on CYP2D6 for activation. Additionally abnormal CYP2D6 activity associates with certain psychiatric disorders where specific drugs require precise metabolic conversion. The interaction between CYP2D6 and other proteins such as CYP3A4 further complicates its role in pharmacotherapy and its impact on individual responses to drugs.

Product protocols

For this product, it's our understanding that no specific protocols are required. You can visit:

Target data

A cytochrome P450 monooxygenase involved in the metabolism of fatty acids, steroids and retinoids (PubMed : 18698000, PubMed : 19965576, PubMed : 20972997, PubMed : 21289075, PubMed : 21576599). Mechanistically, uses molecular oxygen inserting one oxygen atom into a substrate, and reducing the second into a water molecule, with two electrons provided by NADPH via cytochrome P450 reductase (NADPH--hemoprotein reductase) (PubMed : 18698000, PubMed : 19965576, PubMed : 20972997, PubMed : 21289075, PubMed : 21576599). Catalyzes the epoxidation of double bonds of polyunsaturated fatty acids (PUFA) (PubMed : 19965576, PubMed : 20972997). Metabolizes endocannabinoid arachidonoylethanolamide (anandamide) to 20-hydroxyeicosatetraenoic acid ethanolamide (20-HETE-EA) and 8,9-, 11,12-, and 14,15-epoxyeicosatrienoic acid ethanolamides (EpETrE-EAs), potentially modulating endocannabinoid system signaling (PubMed : 18698000, PubMed : 21289075). Catalyzes the hydroxylation of carbon-hydrogen bonds. Metabolizes cholesterol toward 25-hydroxycholesterol, a physiological regulator of cellular cholesterol homeostasis (PubMed : 21576599). Catalyzes the oxidative transformations of all-trans retinol to all-trans retinal, a precursor for the active form all-trans-retinoic acid (PubMed : 10681376). Also involved in the oxidative metabolism of drugs such as antiarrhythmics, adrenoceptor antagonists, and tricyclic antidepressants.
See full target information CYP2D6

Publications (3)

Recent publications for all applications. Explore the full list and refine your search

Frontiers in immunology 13:837991 PubMed35359973

2022

A Metabolism-Related Gene Landscape Predicts Prostate Cancer Recurrence and Treatment Response.

Applications

Unspecified application

Species

Unspecified reactive species

Lijie Zhou,Ruixin Fan,Yongbo Luo,Cai Zhang,Donghui Jia,Rongli Wang,Youmiao Zeng,Mengda Ren,Kaixuan Du,Wenbang Pan,Jinjian Yang,Fengyan Tian,Chaohui Gu

The Journal of biological chemistry 294:10336-10348 PubMed31113867

2019

Mitochondrially targeted cytochrome P450 2D6 is involved in monomethylamine-induced neuronal damage in mouse models.

Applications

Unspecified application

Species

Unspecified reactive species

Mrittika Chattopadhyay,Anindya Roy Chowdhury,Ting Feng,Charles-Antoine Assenmacher,Enrico Radaelli,F Peter Guengerich,Narayan G Avadhani

Nature communications 6:6332 PubMed25757189

2015

Alendronate inhalation ameliorates elastase-induced pulmonary emphysema in mice by induction of apoptosis of alveolar macrophages.

Applications

Unspecified application

Species

Unspecified reactive species

Manabu Ueno,Toshitaka Maeno,Satoshi Nishimura,Fusa Ogata,Hiroaki Masubuchi,Kenichiro Hara,Kouichi Yamaguchi,Fumiaki Aoki,Tatsuo Suga,Ryozo Nagai,Masahiko Kurabayashi
View all publications

Product promise

We are committed to supporting your work with high-quality reagents, and we're here for you every step of the way. In the unlikely event that one of our products does not perform as expected, you're protected by our Product Promise.
For full details, please see our Terms & Conditions

Please note: All products are 'FOR RESEARCH USE ONLY. NOT FOR USE IN DIAGNOSTIC OR THERAPEUTIC PROCEDURES'.

For licensing inquiries, please contact partnerships@abcam.com