JavaScript is disabled in your browser. Please enable JavaScript to view this website.
AB234982

Anti-CYP7A1 antibody

1

(1 Review)

|

(8 Publications)

Rabbit Polyclonal CYP7A1 antibody. Suitable for IHC-P, WB and reacts with Human samples. Cited in 8 publications. Immunogen corresponding to Recombinant Fragment Protein within Human CYP7A1 aa 300-450.

View Alternative Names

CYP7, CYP7A1, Cytochrome P450 7A1, 24-hydroxycholesterol 7-alpha-hydroxylase, CYPVII, Cholesterol 7-alpha-hydroxylase, Cholesterol 7-alpha-monooxygenase

2 Images
Immunohistochemistry (Formalin/PFA-fixed paraffin-embedded sections) - Anti-CYP7A1 antibody (AB234982)
  • IHC-P

Supplier Data

Immunohistochemistry (Formalin/PFA-fixed paraffin-embedded sections) - Anti-CYP7A1 antibody (AB234982)

Paraffin-embedded human liver tissue stained for CYP7A1 with ab234982 at 1/300 dilution in immunohistochemical analysis.

After dewaxing and hydration, antigen retrieval was mediated by high pressure in a citrate buffer (pH 6.0). Section was blocked with 10% normal goat serum 30 minutes at RT. Then primary antibody (1% BSA) was incubated at 4°C overnight. The primary is detected by a biotinylated secondary antibody and visualized using an HRP conjugated SP system.

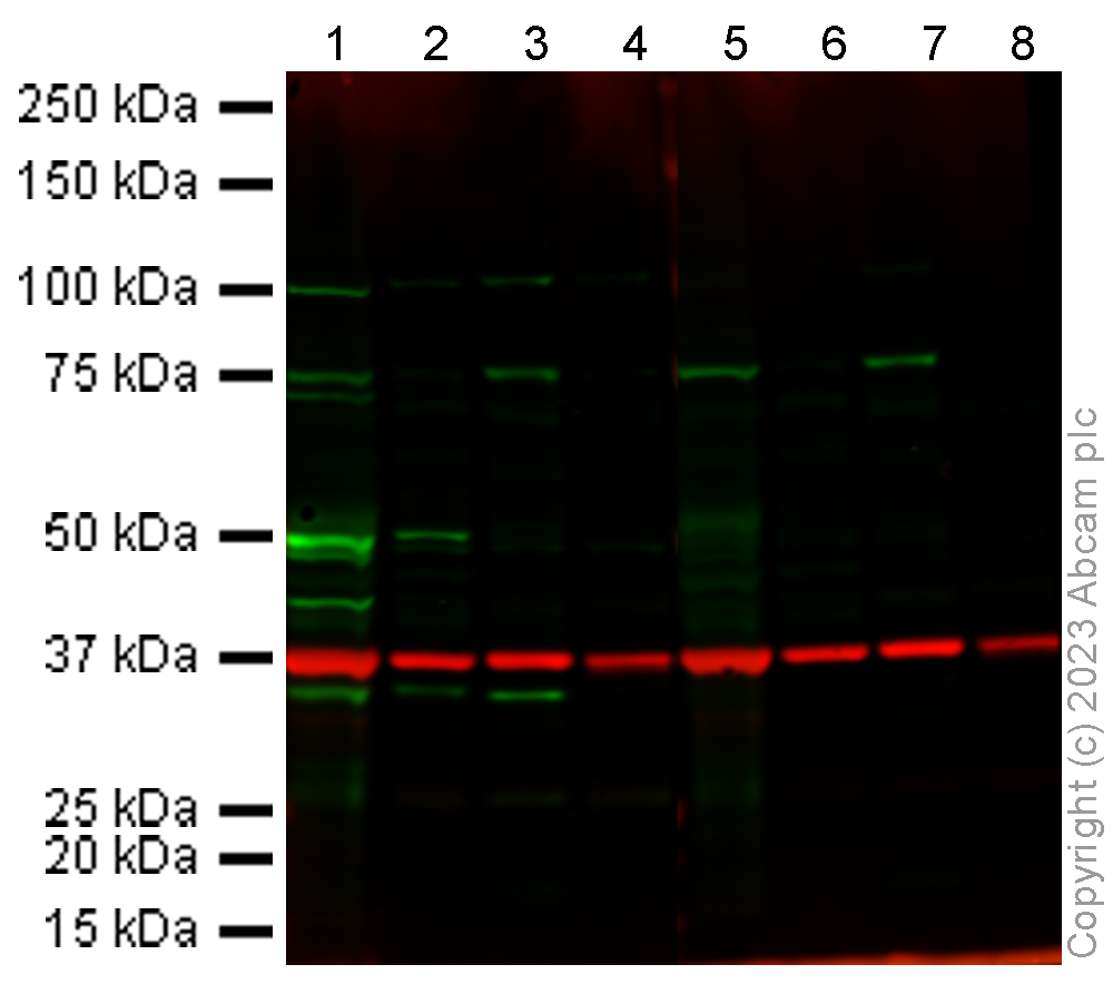
Western blot - Anti-CYP7A1 antibody (AB234982)
  • WB

Supplier Data

Western blot - Anti-CYP7A1 antibody (AB234982)

All lanes:

Western blot - Anti-CYP7A1 antibody (ab234982) at 1/500 dilution

Lane 1:

HeLa (human epithelial cell line from cervix adenocarcinoma) whole cell lysate

Lane 2:

K562 (human chronic myelogenous leukemia cell line from bone marrow) whole cell lysate

Secondary

All lanes:

Goat polyclonal to rabbit IgG at 1/50000 dilution

Predicted band size: 57 kDa

false

Key facts

Host species

Rabbit

Clonality

Polyclonal

Isotype

IgG

Carrier free

No

Reacts with

Human

Applications

WB, IHC-P

applications

Immunogen

Recombinant Fragment Protein within Human CYP7A1 aa 300-450. The exact immunogen used to generate this antibody is proprietary information.

P22680

Reactivity data

{ "title": "Reactivity Data", "filters": { "stats": ["", "Species", "Dilution Info", "Notes"], "tabs": { "all-applications": {"fullname" : "All Applications", "shortname": "All Applications"}, "IHCP" : {"fullname" : "Immunohistochemistry (Formalin/PFA-fixed paraffin-embedded sections)", "shortname":"IHC-P"}, "WB" : {"fullname" : "Western blot", "shortname":"WB"} }, "product-promise": { "all": "all", "testedAndGuaranteed": "tested", "guaranteed": "expected", "predicted": "predicted", "notRecommended": "not-recommended" } }, "values": { "Human": { "IHCP-species-checked": "testedAndGuaranteed", "IHCP-species-dilution-info": "1/200 - 1/500", "IHCP-species-notes": "<p></p>", "WB-species-checked": "testedAndGuaranteed", "WB-species-dilution-info": "1/500 - 1/5000", "WB-species-notes": "<p></p>" } } }

Properties and storage information

Form
Liquid
Purification technique
Affinity purification Immunogen
Purification notes
Purity >95%.
Storage buffer
pH: 7.4 Preservative: 0.02% Sodium azide Constituents: PBS, 50% Glycerol (glycerin, glycerine)
Shipped at conditions
Blue Ice
Appropriate short-term storage duration
1-2 weeks
Appropriate short-term storage conditions
+4°C
Appropriate long-term storage conditions
-20°C
Aliquoting information
Upon delivery aliquot
Storage information
Avoid freeze / thaw cycle

Supplementary information

This supplementary information is collated from multiple sources and compiled automatically.

CYP7A1 also known as cholesterol 7 alpha-hydroxylase plays an important role as an enzyme in the liver. It has a molecular mass of approximately 57 kDa. This enzyme catalyzes the rate-limiting step in the catabolism of cholesterol to bile acids by converting cholesterol to 7 alpha-hydroxycholesterol. The expression of CYP7A1 is mainly in the liver where its activity is important for maintaining cholesterol and bile acid homeostasis.
Biological function summary

Cholesterol 7 alpha-hydroxylase plays an important role in the primary pathway for bile acid biosynthesis. It not only affects the breakdown of cholesterol but also influences lipid metabolism. Although it does not function as part of a larger protein complex CYP7A1 activity is a critical point of regulation within these metabolic processes. Its efficiency can affect plasma cholesterol levels hence impacting overall lipid homeostasis.

Pathways

CYP7A1 is central to the classical pathway of bile acid synthesis. In this pathway it interacts directly with several other proteins including HMG-CoA reductase which is involved in cholesterol synthesis. Additionally CYP7A1 activity influences the regulatory axis of liver X receptors (LXR) which serve to manage cholesterol fatty acids and glucose homeostasis. The balance between these pathways determines cholesterol levels in the body and can modulate metabolic health.

Dysfunction or altered regulation of CYP7A1 contributes significantly to hypercholesterolemia and gallstone disease. Changes in CYP7A1 expression can result in imbalances in cholesterol levels leading to these conditions. The protein's activity is often compared to mitochondrial enzymes related to bile acid synthesis such as CYP27A1 connecting them both in the intricate network of cholesterol regulation.

Product protocols

For this product, it's our understanding that no specific protocols are required. You can visit:

Target data

A cytochrome P450 monooxygenase involved in the metabolism of endogenous cholesterol and its oxygenated derivatives (oxysterols) (PubMed : 11013305, PubMed : 12077124, PubMed : 19965590, PubMed : 21813643, PubMed : 2384150). Mechanistically, uses molecular oxygen inserting one oxygen atom into a substrate, and reducing the second into a water molecule, with two electrons provided by NADPH via cytochrome P450 reductase (CPR; NADPH-ferrihemoprotein reductase) (PubMed : 11013305, PubMed : 12077124, PubMed : 19965590, PubMed : 21813643, PubMed : 2384150). Functions as a critical regulatory enzyme of bile acid biosynthesis and cholesterol homeostasis. Catalyzes the hydroxylation of carbon hydrogen bond at 7-alpha position of cholesterol, a rate-limiting step in cholesterol catabolism and bile acid biosynthesis (PubMed : 12077124, PubMed : 19965590, PubMed : 2384150). 7-alpha hydroxylates several oxysterols, including 4beta-hydroxycholesterol and 24-hydroxycholesterol (PubMed : 11013305, PubMed : 12077124). Catalyzes the oxidation of the 7,8 double bond of 7-dehydrocholesterol and lathosterol with direct and predominant formation of the 7-keto derivatives (PubMed : 21813643).
See full target information CYP7A1

Publications (8)

Recent publications for all applications. Explore the full list and refine your search

Chinese medicine 19:16 PubMed38268006

2024

Ganoderma lucidum polysaccharide ameliorates cholesterol gallstone formation by modulating cholesterol and bile acid metabolism in an FXR-dependent manner.

Applications

Unspecified application

Species

Unspecified reactive species

Dan Huang,Shuang Shen,Qian Zhuang,Xin Ye,Yueqin Qian,Zhixia Dong,Xinjian Wan

Poultry science 103:103435 PubMed38232620

2024

Betaine supplementation alleviates corticosterone-induced hepatic cholesterol accumulation through epigenetic modulation of HMGCR and CYP7A1 genes in laying hens.

Applications

Unspecified application

Species

Unspecified reactive species

Yulin Wu,Mengwei Zhang,Fanchi Meng,Kunpeng Ren,Ding Li,Xugang Luo,Yun Hu

Frontiers in pharmacology 14:1016129 PubMed37033635

2023

Quantitative proteomics reveals ameliorates hepatic steatosis by promoting PPARs/CPT1A/CPT2-mediated fatty acid β-oxidation.

Applications

Unspecified application

Species

Unspecified reactive species

Guanjie Liu,Ling Chang,Yihan Qian,Jiacheng Lin,Zhi Shang,Min Xu,Fang Wang,Xuehua Sun,Yun Jiang,Yueqiu Gao,Xiaoni Kong

Microbiology spectrum 10:e0324222 PubMed36409145

2022

Transcriptome and Gut Microbiota Profiling Analysis of ANIT-Induced Cholestasis and the Effects of Da-Huang-Xiao-Shi Decoction Intervention.

Applications

Unspecified application

Species

Unspecified reactive species

Wang Wang,Shujun Jiang,Chengcheng Xu,Lili Tang,Yan Liang,Yang Zhao,Guoxue Zhu

Journal of clinical laboratory analysis 36:e24628 PubMed35929347

2022

Glucosamine-phosphate N-acetyltransferase 1 and its DNA methylation can be biomarkers for the diagnosis and prognosis of lung cancer.

Applications

Unspecified application

Species

Unspecified reactive species

Peikun Ding,Bin Peng,Guofeng Li,Xuefeng Sun,Guangsuo Wang

Animals : an open access journal from MDPI 12: PubMed35049827

2022

Myostatin Knockout Regulates Bile Acid Metabolism by Promoting Bile Acid Synthesis in Cattle.

Applications

Unspecified application

Species

Unspecified reactive species

Di Wu,Mingjuan Gu,Zhuying Wei,Chunling Bai,Guanghua Su,Xuefei Liu,Yuefang Zhao,Lei Yang,Guangpeng Li

Proceedings of the National Academy of Sciences of the United States of America 118: PubMed34815335

2021

Pregnancy and weaning regulate human maternal liver size and function.

Applications

Unspecified application

Species

Unspecified reactive species

Alexandra Q Bartlett,Kimberly K Vesco,Jonathan Q Purnell,Melanie Francisco,Erica Goddard,Xiangnan Guan,Andrea DeBarber,Michael C Leo,Eric Baetscher,William Rooney,Willscott Naugler,Alexander R Guimaraes,Patrick Catalano,Zheng Xia,Pepper Schedin

Nature communications 10:4971 PubMed31672964

2019

Theabrownin from Pu-erh tea attenuates hypercholesterolemia via modulation of gut microbiota and bile acid metabolism.

Applications

Unspecified application

Species

Unspecified reactive species

Fengjie Huang,Xiaojiao Zheng,Xiaohui Ma,Runqiu Jiang,Wangyi Zhou,Shuiping Zhou,Yunjing Zhang,Sha Lei,Shouli Wang,Junliang Kuang,Xiaolong Han,Meilin Wei,Yijun You,Mengci Li,Yitao Li,Dandan Liang,Jiajian Liu,Tianlu Chen,Chao Yan,Runmin Wei,Cynthia Rajani,Chengxing Shen,Guoxiang Xie,Zhaoxiang Bian,Houkai Li,Aihua Zhao,Wei Jia
View all publications

Product promise

We are committed to supporting your work with high-quality reagents, and we're here for you every step of the way. In the unlikely event that one of our products does not perform as expected, you're protected by our Product Promise.
For full details, please see our Terms & Conditions

Please note: All products are 'FOR RESEARCH USE ONLY. NOT FOR USE IN DIAGNOSTIC OR THERAPEUTIC PROCEDURES'.

For licensing inquiries, please contact partnerships@abcam.com