JavaScript is disabled in your browser. Please enable JavaScript to view this website.
AB236607

Anti-CYP8B1 antibody

Be the first to review this product! Submit a review

|

(2 Publications)

Rabbit Polyclonal CYP8B1 antibody. Suitable for IHC-P, ICC/IF and reacts with Human samples. Cited in 2 publications. Immunogen corresponding to Recombinant Fragment Protein within Human CYP8B1 aa 300-450.

View Alternative Names

CYP12, CYP8B1, 7-alpha-hydroxycholest-4-en-3-one 12-alpha-hydroxylase, 7-alpha-hydroxy-4-cholesten-3-one 12-alpha-hydroxylase, CYPVIIIB1, Cytochrome P450 8B1, Sterol 12-alpha-hydroxylase

3 Images
Immunocytochemistry/ Immunofluorescence - Anti-CYP8B1 antibody (AB236607)
  • ICC/IF

Supplier Data

Immunocytochemistry/ Immunofluorescence - Anti-CYP8B1 antibody (AB236607)

4% formaldehyde-fixed, 0.2% Triton X-100 permeabilized HepG2 (human liver hepatocellular carcinoma cell line) cells labeling CYP8B1 (green) using ab236607 at 1/100 dilution in ICC/IF. Counter stained with DAPI (blue). The cells were blocked in 10% normal goat serum and incubated with primary antibody at 4°C overnight. The secondary antibody was Alexa Fluor 488-conjugated goat anti-rabbit IgG (H+L).

Immunohistochemistry (Formalin/PFA-fixed paraffin-embedded sections) - Anti-CYP8B1 antibody (AB236607)
  • IHC-P

Supplier Data

Immunohistochemistry (Formalin/PFA-fixed paraffin-embedded sections) - Anti-CYP8B1 antibody (AB236607)

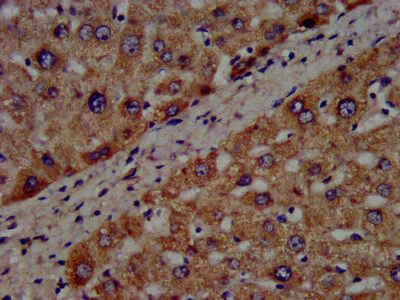
Paraffin-embedded human liver cancer tissue stained for CYP8B1 using ab236607 at 1/300 dilution in immunohistochemical analysis.

After dewaxing and hydration, antigen retrieval was mediated by high pressure in a citrate buffer (pH 6.0). Section was blocked with 10% normal goat serum for 30 minutes at RT. Then primary antibody (1% BSA) was incubated at 4°C overnight. The primary is detected by a biotinylated secondary antibody and visualized using an HRP conjugated SP system.

Immunohistochemistry (Formalin/PFA-fixed paraffin-embedded sections) - Anti-CYP8B1 antibody (AB236607)
  • IHC-P

Supplier Data

Immunohistochemistry (Formalin/PFA-fixed paraffin-embedded sections) - Anti-CYP8B1 antibody (AB236607)

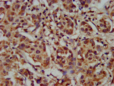
Paraffin-embedded human liver tissue stained for CYP8B1 using ab236607 at 1/300 dilution in immunohistochemical analysis.

After dewaxing and hydration, antigen retrieval was mediated by high pressure in a citrate buffer (pH 6.0). Section was blocked with 10% normal goat serum for 30 minutes at RT. Then primary antibody (1% BSA) was incubated at 4°C overnight. The primary is detected by a biotinylated secondary antibody and visualized using an HRP conjugated SP system.

Key facts

Host species

Rabbit

Clonality

Polyclonal

Isotype

IgG

Carrier free

No

Reacts with

Human

Applications

IHC-P, ICC/IF

applications

Immunogen

Recombinant Fragment Protein within Human CYP8B1 aa 300-450. The exact immunogen used to generate this antibody is proprietary information.

Q9UNU6

Reactivity data

{ "title": "Reactivity Data", "filters": { "stats": ["", "Species", "Dilution Info", "Notes"], "tabs": { "all-applications": {"fullname" : "All Applications", "shortname": "All Applications"}, "IHCP" : {"fullname" : "Immunohistochemistry (Formalin/PFA-fixed paraffin-embedded sections)", "shortname":"IHC-P"}, "ICCIF" : {"fullname" : "Immunocytochemistry/ Immunofluorescence", "shortname":"ICC/IF"} }, "product-promise": { "all": "all", "testedAndGuaranteed": "tested", "guaranteed": "expected", "predicted": "predicted", "notRecommended": "not-recommended" } }, "values": { "Human": { "IHCP-species-checked": "testedAndGuaranteed", "IHCP-species-dilution-info": "1/200 - 1/500", "IHCP-species-notes": "<p></p>", "ICCIF-species-checked": "testedAndGuaranteed", "ICCIF-species-dilution-info": "1/50 - 1/200", "ICCIF-species-notes": "<p></p>" } } }

Properties and storage information

Form
Liquid
Purification technique
Affinity purification Protein G
Purification notes
Purity >95%.
Storage buffer
pH: 7.4 Preservative: 0.03% Proclin 300 Constituents: PBS, 50% Glycerol (glycerin, glycerine)
Shipped at conditions
Blue Ice
Appropriate short-term storage duration
1-2 weeks
Appropriate short-term storage conditions
+4°C
Appropriate long-term storage conditions
-20°C
Aliquoting information
Upon delivery aliquot
Storage information
Avoid freeze / thaw cycle

Supplementary information

This supplementary information is collated from multiple sources and compiled automatically.

The CYP8B1 enzyme also known as sterol 12-alpha-hydroxylase plays an important role in bile acid synthesis. It is a member of the cytochrome P450 superfamily with a mass of approximately 58 kDa. This enzyme is mainly expressed in the liver where it catalyzes the conversion of sterols to cholic acid. Through oxidation and hydroxylation reactions CYP8B1 contributes to the balance of bile acid synthesis needed for proper digestion and absorption of lipids.
Biological function summary

The sterol 12-alpha-hydroxylase activity of CYP8B1 affects the synthesis of primary bile acids. It does not function as part of a larger protein complex but cooperates with other enzymes in the liver to ensure bile acid balance. The enzyme regulates the ratio between cholic acid and chenodeoxycholic acid influencing cholesterol homeostasis and enterohepatic circulation. Efficient bile acid synthesis by CYP8B1 affects proper lipid breakdown and nutrient absorption in the intestine.

Pathways

CYP8B1 participates in the bile acid biosynthesis pathway specifically influencing the production of cholic acid. This process impacts the entire lipid metabolism pathway as well as cholesterol metabolism. CYP8B1's activity is complemented by other cytochrome P450 enzymes such as CYP7A1 which also play roles in converting cholesterol to bile acids. These pathways together ensure the regulated production and function of bile acids required for metabolic balance.

Disturbances in CYP8B1 activity can lead to metabolic imbalances including gallbladder disease and hypercholesterolemia. Variations in the gene expression or activity of CYP8B1 can affect cholesterol levels potentially resulting in gallstones due to increased cholic acid synthesis. Moreover altered CYP8B1 function can interact with proteins involved in lipid disorders potentially linking to conditions associated with cholesterol accumulation and cardiovascular risk.

Product protocols

For this product, it's our understanding that no specific protocols are required. You can visit:

Target data

A cytochrome P450 monooxygenase involved in primary bile acid biosynthesis. Catalyzes the 12alpha-hydroxylation of 7alpha-hydroxy-4-cholesten-3-one, an intermediate metabolite in cholic acid biosynthesis (PubMed : 10051404). Controls biliary balance of cholic acid and chenodeoxycholic acid, ultimately regulating the intestinal absorption of dietary lipids (By similarity). Mechanistically, uses molecular oxygen inserting one oxygen atom into a substrate, and reducing the second into a water molecule, with two electrons provided by NADPH via cytochrome P450 reductase (CPR; NADPH--hemoprotein reductase) (By similarity).
See full target information CYP8B1

Publications (2)

Recent publications for all applications. Explore the full list and refine your search

Cell discovery 11:25 PubMed40097405

2025

A decrease in Flavonifractor plautii and its product, phytosphingosine, predisposes individuals with phlegm-dampness constitution to metabolic disorders.

Applications

Unspecified application

Species

Unspecified reactive species

Lingru Li,Tianxing Li,Xue Liang,Linghui Zhu,Yini Fang,Ling Dong,Yi Zheng,Xiaoxue Xu,Mingrui Li,Tianqi Cai,Fufangyu Zhao,Meiling Xin,Mingyan Shao,Yuanyuan Guan,Meiyi Liu,Fangli Li,Chenhong Zhang,Qi Wang,Wenlong Sun,Yanfei Zheng

Journal of Cancer 12:7277-7286 PubMed35003348

2021

CPNE3 regulates the cell proliferation and apoptosis in human Glioblastoma via the activation of PI3K/AKT signaling pathway.

Applications

Unspecified application

Species

Unspecified reactive species

Dainan Zhang,Xiaoyin Wang,Xi Wang,Zemin Wang,Shunchang Ma,Chuanbao Zhang,Shaomin Li,Wang Jia
View all publications

Product promise

We are committed to supporting your work with high-quality reagents, and we're here for you every step of the way. In the unlikely event that one of our products does not perform as expected, you're protected by our Product Promise.
For full details, please see our Terms & Conditions

Please note: All products are 'FOR RESEARCH USE ONLY. NOT FOR USE IN DIAGNOSTIC OR THERAPEUTIC PROCEDURES'.

For licensing inquiries, please contact partnerships@abcam.com