JavaScript is disabled in your browser. Please enable JavaScript to view this website.
AB55841

Anti-CYPIVF11 antibody [F21 P6 F5]

Be the first to review this product! Submit a review

|

(0 Publication)

Mouse Monoclonal CYPIVF11 antibody F21 P6 F5. Suitable for WB, IHC-P and reacts with Human samples.

View Alternative Names

Cytochrome P450 4F11, CYPIVF11, 3-hydroxy fatty acids omega-hydroxylase CYP4F11, Docosahexaenoic acid omega-hydroxylase, Long-chain fatty acid omega-monooxygenase, Phylloquinone omega-hydroxylase CYP4F11, CYP4F11

2 Images
Western blot - Anti-CYPIVF11 antibody [F21 P6 F5] (AB55841)
  • WB

Unknown

Western blot - Anti-CYPIVF11 antibody [F21 P6 F5] (AB55841)

All lanes:

Western blot - Anti-CYPIVF11 antibody [F21 P6 F5] (ab55841) at 1 µg/mL

Lane 2:

normal kidney cell lysate at 20 µg

Lane 3:

kidney cancer cell lysate at 20 µg

Predicted band size: 60 kDa

Observed band size: 60 kDa

false

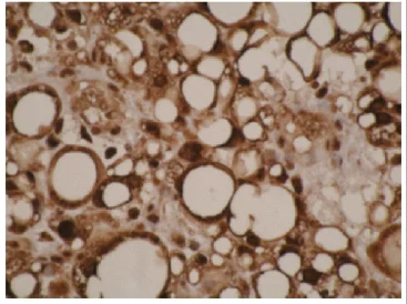
Immunohistochemistry (Formalin/PFA-fixed paraffin-embedded sections) - Anti-CYPIVF11 antibody [F21 P6 F5] (AB55841)
  • IHC-P

Unknown

Immunohistochemistry (Formalin/PFA-fixed paraffin-embedded sections) - Anti-CYPIVF11 antibody [F21 P6 F5] (AB55841)

ab55841 at 1 μg/ml staining human liposarcoma cells; formalin fixed, paraffin embedded.

Key facts

Host species

Mouse

Clonality

Monoclonal

Clone number

F21 P6 F5

Isotype

IgG1

Carrier free

No

Reacts with

Human

Applications

IHC-P, WB

applications

Immunogen

Synthetic Peptide within Human CYP4F11. The exact immunogen used to generate this antibody is proprietary information.

Q9HBI6

Reactivity data

{ "title": "Reactivity Data", "filters": { "stats": ["", "Species", "Dilution Info", "Notes"], "tabs": { "all-applications": {"fullname" : "All Applications", "shortname": "All Applications"}, "WB" : {"fullname" : "Western blot", "shortname":"WB"}, "IHCP" : {"fullname" : "Immunohistochemistry (Formalin/PFA-fixed paraffin-embedded sections)", "shortname":"IHC-P"} }, "product-promise": { "all": "all", "testedAndGuaranteed": "tested", "guaranteed": "expected", "predicted": "predicted", "notRecommended": "not-recommended" } }, "values": { "Human": { "WB-species-checked": "testedAndGuaranteed", "WB-species-dilution-info": "1.00000-2.00000 µg/mL", "WB-species-notes": "<p></p>", "IHCP-species-checked": "testedAndGuaranteed", "IHCP-species-dilution-info": "1.00000-5.00000 µg/mL", "IHCP-species-notes": "<p></p>" } } }

Properties and storage information

Form
Liquid
Purification technique
Affinity purification Protein G
Storage buffer
Preservative: 0.08% Sodium azide Constituents: PBS
Shipped at conditions
Blue Ice
Appropriate short-term storage conditions
+4°C
Appropriate long-term storage conditions
-20°C
Aliquoting information
Upon delivery aliquot
Storage information
Avoid freeze / thaw cycle

Supplementary information

This supplementary information is collated from multiple sources and compiled automatically.

CYPIVF11 also known as Cytochrome P450 Family 4 Subfamily F Member 11 functions as a monooxygenase enzyme involved in the oxidation of organic substances. It plays a role in drug metabolism and the synthesis of cholesterol steroids and other lipids. The enzyme has a mass of approximately 54 kDa. CYPIVF11 is predominantly expressed in hepatic tissues where it contributes to metabolic processes.
Biological function summary

CYPIVF11 mediates the oxidative breakdown of fatty acids. It participates in epoxygenation reactions and helps to convert long chain fatty acids into metabolites that are used by the body. CYPIVF11 might interact with other cytochrome P450 enzymes forming a complex network that enhances broad substrate specificity and metabolic capacity.

Pathways

CYPIVF11 engages in the arachidonic acid metabolism and the fatty acid degradation pathways. It associates with proteins such as CYP4A11 and CYP4F2 within these pathways contributing to the modulation of inflammatory responses by converting arachidonic acid into bioactive lipid mediators. This function connects it closely with lipid homeostasis and energy metabolism.

Aberrant expression or function of CYPIVF11 links to cardiovascular diseases and liver disorders. Its role in lipid metabolism relates it to the inflammatory pathways that are often upregulated in atherosclerosis. Through interactions with proteins like CYP4F12 it has implications in the development of liver pathologies associated with impaired detoxification processes.

Product protocols

For this product, it's our understanding that no specific protocols are required. You can visit:

Target data

A cytochrome P450 monooxygenase involved in the metabolism of various endogenous substrates, including fatty acids and their oxygenated derivatives (oxylipins) (PubMed : 15364545, PubMed : 18065749, PubMed : 24138531, PubMed : 37373382). Mechanistically, uses molecular oxygen inserting one oxygen atom into a substrate, and reducing the second into a water molecule, with two electrons provided by NADPH via cytochrome P450 reductase (CPR; NADPH-ferrihemoprotein reductase) (PubMed : 15364545, PubMed : 18065749, PubMed : 24138531, PubMed : 37373382). Catalyzes with high efficiency the oxidation of the terminal carbon (omega-oxidation) of 3-hydroxy fatty acids, such as 3-hydroxyhexadecanoic and 3-hydroxyoctadecanoic acids, likely participating in the biosynthesis of long-chain 3-hydroxydicarboxylic acids (PubMed : 18065749, PubMed : 19932081). Omega-hydroxylates and inactivates phylloquinone (vitamin K1), and menaquinone-4 (MK-4, a form of vitamin K2), both acting as cofactors in blood coagulation (PubMed : 24138531). Metabolizes with low efficiciency fatty acids, including (5Z,8Z,11Z,14Z)-eicosatetraenoic acid (arachidonate) and its oxygenated metabolite 8-hydroxyeicosatetraenoic acid (8-HETE) (PubMed : 15364545, PubMed : 19932081). Catalyzes N- and O-demethylation of drugs such as erythromycin, benzphetamine, ethylmorphine, chlorpromazine, imipramine and verapamil (PubMed : 15364545). Catalyzes the oxidation of dialkylresorcinol 2 (PubMed : 36565673).
See full target information CYP4F11

Product promise

We are committed to supporting your work with high-quality reagents, and we're here for you every step of the way. In the unlikely event that one of our products does not perform as expected, you're protected by our Product Promise.
For full details, please see our Terms & Conditions

Please note: All products are 'FOR RESEARCH USE ONLY. NOT FOR USE IN DIAGNOSTIC OR THERAPEUTIC PROCEDURES'.

For licensing inquiries, please contact partnerships@abcam.com