JavaScript is disabled in your browser. Please enable JavaScript to view this website.
AB317144

Anti-CYR61 antibody [HL2144]

Be the first to review this product! Submit a review

|

(0 Publication)

Rabbit Monoclonal CYR61/CCN1 antibody. Suitable for IHC-P, ICC/IF, WB and reacts with Human, Mouse, Rat samples. Immunogen corresponding to Recombinant Fragment Protein within Human CCN1.

View Alternative Names

CYR61, GIG1, IGFBP10, CCN1, CCN family member 1, Cellular communication network factor 1, Cysteine-rich angiogenic inducer 61, Insulin-like growth factor-binding protein 10, Protein CYR61, Protein GIG1, IBP-10, IGF-binding protein 10, IGFBP-10

5 Images
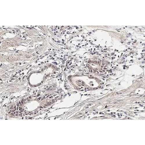
Immunohistochemistry (Formalin/PFA-fixed paraffin-embedded sections) - Anti-CYR61 antibody [HL2144] (AB317144)
  • IHC-P

Supplier Data

Immunohistochemistry (Formalin/PFA-fixed paraffin-embedded sections) - Anti-CYR61 antibody [HL2144] (AB317144)

ab317144 detects CYR61 protein at cytoplasm by immunohistochemical analysis. Sample : Paraffin-embedded human colon cancer. CYR61 stained by ab317144diluted at 1 : 100. Antigen Retrieval : Citrate buffer pH 6.0 15 min.

Immunocytochemistry/ Immunofluorescence - Anti-CYR61 antibody [HL2144] (AB317144)
  • ICC/IF

Supplier Data

Immunocytochemistry/ Immunofluorescence - Anti-CYR61 antibody [HL2144] (AB317144)

ab317144 detects CYR61 protein at secreted protein by immunofluorescent analysis. Sample : C2C12 cells were fixed in ice-cold MeOH for 5 min. Green : CYR61 stained by ab317144 diluted at 1 : 500. Blue : Fluoroshield with DAPI.

Western blot - Anti-CYR61 antibody [HL2144] (AB317144)
  • WB

Supplier Data

Western blot - Anti-CYR61 antibody [HL2144] (AB317144)

Various whole cell extracts (30 ug) were separated by 10% SDS-PAGE and the membrane was blotted with ab317144 diluted at 1 : 1000. The HRP-conjugated anti-rabbit IgG antibody was used to detect the primary antibody. Corresponding RNA expression data for the same cell lines are based on Human Protein Atlas program.

All lanes:

Western blot - Anti-CYR61 antibody [HL2144] (ab317144) at 1/1000 dilution

Lane 1:

786-O whole cell extracts at 30 µg

Lane 2:

MCF-7 whole cell extracts at 30 µg

Secondary

All lanes:

HRP-conjugated anti-rabbit IgG antibody

false

Western blot - Anti-CYR61 antibody [HL2144] (AB317144)
  • WB

Supplier Data

Western blot - Anti-CYR61 antibody [HL2144] (AB317144)

Rat tissue extract (50 ug) was separated by 10% SDS-PAGE and the membrane was blotted with ab317144 diluted at 1 : 1000. The HRP-conjugated anti-rabbit IgG antibody was used to detect the primary antibody.

All lanes:

Western blot - Anti-CYR61 antibody [HL2144] (ab317144) at 1/1000 dilution

All lanes:

Rat muscle tissue extract at 50 µg

Secondary

All lanes:

HRP-conjugated anti-rabbit IgG antibody

false

Western blot - Anti-CYR61 antibody [HL2144] (AB317144)
  • WB

Supplier Data

Western blot - Anti-CYR61 antibody [HL2144] (AB317144)

Whole cell extract (30 ug) was separated by 10% SDS-PAGE and the membrane was blotted with ab317144 diluted at 1 : 1000. The HRP-conjugated anti-rabbit IgG antibody was used to detect the primary antibody and the signal was developed with Trident ECL plus-Enhanced.

All lanes:

Western blot - Anti-CYR61 antibody [HL2144] (ab317144) at 1/1000 dilution

All lanes:

C2C12 whole cell extract at 30 µg

Secondary

All lanes:

HRP-conjugated anti-rabbit IgG antibody

true

Key facts

Host species

Rabbit

Clonality

Monoclonal

Clone number

HL2144

Isotype

IgG

Carrier free

No

Reacts with

Human, Mouse, Rat

Applications

ICC/IF, WB, IHC-P

applications

Immunogen

Recombinant Fragment Protein within Human CCN1.

O00622

Reactivity data

{ "title": "Reactivity Data", "filters": { "stats": ["", "Species", "Dilution Info", "Notes"], "tabs": { "all-applications": {"fullname" : "All Applications", "shortname": "All Applications"}, "IHCP" : {"fullname" : "Immunohistochemistry (Formalin/PFA-fixed paraffin-embedded sections)", "shortname":"IHC-P"}, "ICCIF" : {"fullname" : "Immunocytochemistry/ Immunofluorescence", "shortname":"ICC/IF"}, "WB" : {"fullname" : "Western blot", "shortname":"WB"} }, "product-promise": { "all": "all", "testedAndGuaranteed": "tested", "guaranteed": "expected", "predicted": "predicted", "notRecommended": "not-recommended" } }, "values": { "Human": { "IHCP-species-checked": "testedAndGuaranteed", "IHCP-species-dilution-info": "1/100", "IHCP-species-notes": "<p></p> Perform heat-mediated antigen retrieval with citrate buffer pH 6 before commencing with IHC staining protocol.", "ICCIF-species-checked": "guaranteed", "ICCIF-species-dilution-info": "", "ICCIF-species-notes": "", "WB-species-checked": "testedAndGuaranteed", "WB-species-dilution-info": "1/1000", "WB-species-notes": "<p></p>" }, "Mouse": { "IHCP-species-checked": "guaranteed", "IHCP-species-dilution-info": "", "IHCP-species-notes": "", "ICCIF-species-checked": "testedAndGuaranteed", "ICCIF-species-dilution-info": "1/500", "ICCIF-species-notes": "<p></p>", "WB-species-checked": "testedAndGuaranteed", "WB-species-dilution-info": "1/1000", "WB-species-notes": "<p></p>" }, "Rat": { "IHCP-species-checked": "guaranteed", "IHCP-species-dilution-info": "", "IHCP-species-notes": "", "ICCIF-species-checked": "guaranteed", "ICCIF-species-dilution-info": "", "ICCIF-species-notes": "", "WB-species-checked": "testedAndGuaranteed", "WB-species-dilution-info": "1/1000", "WB-species-notes": "<p></p>" } } }

Properties and storage information

Form
Liquid
Storage buffer
pH: 7.4 Constituents: PBS
Shipped at conditions
Blue Ice
Appropriate short-term storage duration
1-2 weeks
Appropriate short-term storage conditions
+4°C
Appropriate long-term storage conditions
-20°C
Aliquoting information
Upon delivery aliquot
Storage information
Avoid freeze / thaw cycle

Supplementary information

This supplementary information is collated from multiple sources and compiled automatically.

CYR61 also known as CCN1 is a secreted protein involved in cell signaling. It belongs to the CCN family of proteins and weighs approximately 42 kDa. This protein is found in various tissues including the skin lungs and blood vessels. CYR61 is involved in cellular activities such as adhesion migration and proliferation by interacting with cell surface receptors. This active participation in cell signaling makes CYR61 essential to multiple cellular processes.
Biological function summary

CYR61 supports angiogenesis and wound healing by promoting cell survival and adhesion. It functions as a significant component of the extracellular matrix and often participates in complex formations with other CCN proteins. These complexes aid in mediating interactions between cells and their environments. Through these mechanisms CYR61 influences various biological outcomes impacting how tissues grow and repair.

Pathways

CYR61 contributes to both the integrin and TGF-beta signaling pathways. In the integrin pathway it interacts with proteins like integrin alphaVbeta3 to influence cell movement and survival. The TGF-beta pathway involves its regulation of cellular responses to growth factors. By playing important roles in these pathways CYR61 maintains essential cellular functions and intercellular communication impacting diverse physiological processes.

CYR61 has links to cancer and fibrosis. Its overexpression can contribute to tumor progression and metastasis often in connection with matrix metalloproteinases during cancer development. In fibrosis CYR61 collaborates with fibroblast growth factor receptors to promote tissue scarring and stiffness. These connections highlight the importance of CYR61 in pathological conditions offering potential targets for therapeutic intervention.

Product protocols

For this product, it's our understanding that no specific protocols are required. You can visit:

Target data

Promotes cell proliferation, chemotaxis, angiogenesis and cell adhesion. Appears to play a role in wound healing by up-regulating, in skin fibroblasts, the expression of a number of genes involved in angiogenesis, inflammation and matrix remodeling including VEGA-A, VEGA-C, MMP1, MMP3, TIMP1, uPA, PAI-1 and integrins alpha-3 and alpha-5. CCN1-mediated gene regulation is dependent on heparin-binding. Down-regulates the expression of alpha-1 and alpha-2 subunits of collagen type-1. Promotes cell adhesion and adhesive signaling through integrin alpha-6/beta-1, cell migration through integrin alpha-v/beta-5 and cell proliferation through integrin alpha-v/beta-3.
See full target information CCN1

Product promise

We are committed to supporting your work with high-quality reagents, and we're here for you every step of the way. In the unlikely event that one of our products does not perform as expected, you're protected by our Product Promise.
For full details, please see our Terms & Conditions

Please note: All products are 'FOR RESEARCH USE ONLY. NOT FOR USE IN DIAGNOSTIC OR THERAPEUTIC PROCEDURES'.

For licensing inquiries, please contact partnerships@abcam.com